Medlem i

12 years 10 months
Indholdselementer
Billede
Sidebar placering
Venstrestillet


Calciumantagonisten verapamil benyttes til behandling af hypertensio arterialis og supraventrikulær takykardi, til frekvensregulering ved atrieflimren og som angina pectoris-profylakse.

Enhver overskridelse af døgndosis på 480 mg er potentielt toksisk. Her beskrives et tilfælde af massiv verapamiloverdosering i suicidalt øjemed, hvilket medførte en bilateral cerebral iskæmilignende tilstand, en kendt, men sjælden bivirkning i forbindelse med verapamilforgiftning.

Sygehistorie

En 48-årig kvinde, der havde et erkendt alkoholmisbrug, hypertensio arterialis, steatosis hepatis, type II-diabetes mellitus, mb. cordis inkompensatus og depression, blev indlagt ca. 12 timer efter at have indtaget 10,08 g af calciumantagonisten verapamil i suicidalt øjemed. Dødsfald er set efter indtag af 1,4 g ifølge forgiftningsdatabasen Poisindex micromedex. Patienten var bevidsthedspåvirket, men vækbar og reagerende på smertestimuli. Der var bradykardi med frekvens < 40, elektrokardiografi (EKG) viste uregelmæssig nodalrytme, højresidig grenblokskonfiguration og multifokale ventrikulære ekstrasystoler. Middelarterieblodtryk var 50 mmHg, saturation 100% på 15 l O2 på maske. A-punktur viste pH = 7,25, pCO2 = 3,02 kPa, pO2 = 14,8 kPa, standard-base-exces = -16,4 mmol/l, laktat 5,3 mmol/l. Øvrige laboratorieværdier viste glukose = 11,5 mmol/l, pK = 3,4 mM, p-Na = 135 mmol/l, p-ioniseret calcium = 1,16 mmol/l (der blev givet 10 mmol calcium i lægeambulancen), p-karbamid 11,9 mmol/l, p-kreatinin 213 mmol/l, normale levertal og koagulationsfaktorer.

Initialt blev der indgivet aktivt kul, da der var tale om et depotpræparat. Der blev påbegyndt isoprenalininfusion og volumenterapi (2 l hydroxyethylenstivelse og 2 l NaCl i løbet af tre timer) samt højdosis glukoseinsulininfusion efter afdelingens instruks.

Efter tre timer opstod der behov for noradrenalininfusion og kortvarigt eksternt pacebehov. Patienten blev sederet og respiratorbehandlet. Efter et døgn udvikledes der lavtrykslungeødem, og der blev skiftet til adrenalinlinfusion. Efter yderligere et døgn kunne adrenalininfusionen stoppes.

Der fandtes leverpåvirkning med p-aspartataminotransferase på 805 U/l, laktatdehydrogenase på 695 U/l, p-bilirubin =19 μ mol/l, koagulationsfaktor 2,7,10 = 0,51, international normalized ratio (INR) = 1,3, D-dimer = 2,8 mg/l og fortsat nyrepåvirkning med karbamid 13,9 mmol/l, kreatinin 266 μ mol/l, stigende infektionstal med C-reaktivt protein = 56 mg/l, leukocytter 14,8 mia./l. Patienten blev sat i behandling med cefuroxim.

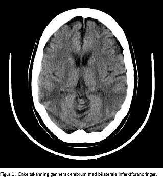
I det fjerde døgn ændredes patienten cerebralt, og der opstod krampeanfald, som blev behandlet med diazepam og valproat. En computertomografi (CT) af cerebrum viste bilaterale symmetriske iskæmiske områder på overgangen mellem a. cerebri media og a. cerebri posteriors forsyningsgebet, hvilket blev fortolket som hypoksisk encefalopati (Figur 1). En elektroencefalografi (EEG) viste svært abnorme forhold. En transkranial Doppler-sonografi var uden tegn på abnormt flowmønster og gav ikke mistanke om rebound vasospasmer eller cirkulationsstop i de større intracerebrale kar.

Patienten var i det femte døgn kardiopulmonalt stabil, men uafklaret cerebralt. Over de næste fire døgn klarede hun cerebralt op, blev ekstuberet i det niende døgn og blev efter 14 dage udskrevet til stamafdeling med henblik på genoptræning. På det tidspunkt var hun vågen og reagerede relevant. Ved udskrivelsen var der fortsat parese i alle fire ekstremiteter, hvilket blev tolket som severe illness polyneuropathy.

Diskussion

Calciumantagonisten verapamil blokerer i terapeutiske doser selektivt calciumtransporten gennem de spændingsafhængige calciumkanaler i myocardieceller og hjertets ledningssystem. Effekten er bradykardi og negativ inotropi. Verapamil er 90% proteinbundet og omsættes hovedsageligt ved oxidation i leveren.

Ved forgiftning ses arytmier (atrioventrikulært blok) og blodtryksfald som følge af nedsat myokardiefunktion og direkte vasodilaterende effekt, ultimativt udvikles der kardiogent shock. Ikkekardialt lungeødem kan ses og skyldes øget kapillærpermeabilitet. I forgiftningsdoser ophæves selektivi-teten over for Ca++-kanaler, idet også Na+-kanaler påvirkes. Flere organfunktioner påvirkes, og bl.a. insulinfrisætningen, som er calciumafhængig nedsættes, hvilket fører til hyperglykæmi, og cerebrale funktioner (nerveledning og transmitterfrisætning) kan hæmmes, ligesom metabolisk acidose som følge af generel hypoperfusion ses [1]. Der er beskrevet få tilfælde af cerebralt infarkt som følge af generel hypotension efter verapamilforgiftning [2, 3]. Den her omtalte patient blev behandlet efter gældende retningslinjer for calciumantagonistforgiftning med aktivt kul, inotropika, vasopressorstøtte, ekstern pacing og højdosis insulinglukoseinfusion. Trods dette udvikledes der cerebrale forandringer, der initialt blev tolket ved CT af cerebrum og EEG som hypoksisk skade og senere viste sig at være reversible og måske kunne være relateret til direkte verapamilbetingent »tystlægning« af neuronaktivitet. I dyreeksperimentelle studier har man påvist effekt af behandling med 4-amino-pyridin (4-AP), en kaliumkanalblokker, og Bay K 8644, en calciumkanalaktivator. Der er kun enkelte kasuistikker, hvor 4-AP beskrives brugt til behandling af mennesker, hos hvem verapamilforgiftningen har været refraktær over for anden behandling [4]. Der findes ikke randomiserede undersøgelser af behandlingsregimener. Verapamil er et almindeligt anvendt medikamina, og forgiftning ses både accidentielt og i suicidalt øjemed, hvorfor det er vigtigt at kende til symptomer og behandlingsmuligheder ved overdosis.


Karina K. Johansen, Dampfærgevej 16, 5.-4, DK-2100 København Ø. E-mail: karinakjohansen@hotmail.com

Antaget: 28. marts 2006

Interessekonflikter: Ingen angivet


Taksigelser: Tak til Røntgenafdelingen, Bispebjerg Hospital, læge Susanne Enehjelm for udlån og beskrivelse af computertomografibilleder.



Sidebar placering
Venstrestillet
Article type
Journal
Magazine
Section
References

<ol class="Litt-list">
<li>De Roos F. Calcium channel blockers. I: Goldfrank's Toxicologic Emergencies. 7th edition. New York: McGraw Hill, 2002:762-71.</li>
<li>Samniah N. Cerebral infarction associated with oral verapamil overdose. J Toxicol Clin Toxicol 1988;26:365-9.</li>
<li>Shah AR. Sustained-release verapamil overdose causing stroke. Am J Med Sci 1992;304:357-9.</li>
<li>Magdalan J. New treatment methods in verapamil poisoning: experimental studies. Pol J Pharmacol 2003;55:425-32.</li>
</ol>

Woodwing Id
259775
Fil
English summary

Summary A 48-year-old woman's survival from a massive verapamil overdose Ugeskr L&aelig;ger 2007;169(47):4074-4075 We present a case report of survival from a massive verapamil overdose. The patient, a 48-year-old female, was admitted 12 hours after suicidal ingestion of 10.08 grams of Isoptin Retard, a sustained release calcium channel blocker. On admittance, the patient had altered mental status, was hypotensive, and ECG showed bradycardia with nodal rhythm. The patient was treated with activated charcoal, colloids, crystalloids, norepinephrine, isoprenalin and epinephrine infusion, high dose glucose-insulin infusion and calcium. The patient was discharged for rehabilitation after two weeks.

Bib ref
Ugeskr Læger 2007;169(47):4074-4075
Authors

Reservelæge Karina K. Johansen & afdelingslæge Bo Belhage Bispebjerg Hospital, Anæstesiologisk Afdeling Z

0 likes
Read time
5