Medlem i

12 years 10 months
Indholdselementer
Billede
Sidebar placering
Venstrestillet


Akut primær binyrebarkinsufficiens er en potentielt livstruende tilstand. Paraklinisk ses der hyponatriæmi (HN) og hyperkaliæmi. Osmotisk demyeliniseringssyndrom (ODS) kan i sjældne tilfælde udvikles efter korrektion af kronisk HN. Her beskrives et tilfælde af ekstrem HN med efterfølgende udvikling af ODS. HN er et klinisk dilemma. Ved for langsom korrektion er der risiko for udvikling af cerebralt ødem, hjernestammeherniering og hyponatriæmisk encefalopati, og ved hurtig korrektion af kronisk HN kan der forekomme ODS. Dilemmaet forstærkes af samtidig Addisonkrise.

Akut primær binyrebarkinsufficiens (Addisonkrise (AK)) er en livstruende tilstand. Paraklinisk ses der hyponatriæmi (HN) og hyperkaliæmi. Ved korrektion af HN udvikles der i sjældne tilfælde cerebralt osmotisk demyeliniseringssyndrom (ODS) [1]. Her beskrives et tilfælde af AK med svær HN med efterfølgende udvikling af ODS.

Sygehistorie

En 30-årig tidligere rask mand blev indlagt akut pga. konfusion og opkastninger. Der var ingen diare. I to måneder havde han følt sig træt, uoplagt og tørstig. Han var afebril, dehydreret, hypotensiv (100/60 mmHg), bevidsthedspåvirket, motorisk urolig og svarede med øget latenstid. Der var ingen fokale neurologiske udfald. En computertomografi af cerebrum viste normale forhold. Der var hyperpigmentering af gingivae og de palmare bøjefurer. P-natrium (P-Na) var 89 mM, P-kalium var 5,4 mM. Der var normalt hæmoglobinniveau, P-kreatinin, P-glukose og P-laktat. P-aldosteron og P-renin blev ikke målt i den akutte fase. En blodgasanalyse viste let respiratorisk alkalose (delvist metabolisk kompenseret).

Der blev lavet synactentest med stimuleret P-cortisol på 64 nM. Der blev på mistanke om AK indledt intravenøs (i.v.) glukokortikoidbehandling (hydrocortison) med en engangsdosis på 100 mg, herefter 3 × 100 mg i.v. over det første døgn. HN blev med inf. 0,9% NaCl korrigeret med 13 mM i det første døgn, 8 mM i det andet døgn og herefter langsommere. P-Na var først inden for normalområdet (136-146 mM) otte dage efter indlæggelsen. Blodprøvesvar viste senere svag positiv reaktion for binyrebarkantistoffer og P-adrenokortikotropt hormon på 1.695 ng/l (normalområde < 48 ng/l).

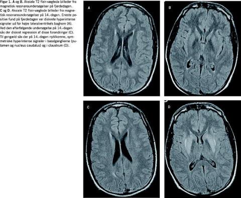
Efter to døgn var patienten cerebralt klar, men svarede stadig med latenstid. En magnetisk resonans (MR)-skanning fire dage efter indlæggelsen viste diskrete uspecifikke forandringer i den hvide substans ud for højre lateralventrikels baghorn (Figur 1 A+B).

Ti dage efter indlæggelsen var patienten motorisk urolig, dysartrisk, grædende, savlende, hypotensiv, havde sitrende trækninger i ansigtet og synkebesvær. Dosis af glukokortikoid var da 20 mg × 2 dagligt og P-Na var 140 mM. Resultaterne af et elektroencefalogram var foreneligt med diffus encefalopati, og patienten blev overflyttet til neurologisk regi på mistanke om ODS. Her fandt man påvirkning af kranienerverne VII, IX, X og XII samt ekstrapyramidal påvirkning med rigiditet, bradykinesi, amimisk ansigt og ændret kropsholdning. Der var ingen pyramidebanesymptomer. En MR-skanning 14 dage efter indlæggelsen viste symmetriske forandringer i basalganglierne, hvilket er foreneligt med ekstrapontin myelinolyse (EPM) (Figur 1 C+D). Forandringerne ud for baghornet var uændrede. Adrenomyeloneuropati, Wilsons sygdom og neurolues blev udelukket. Patienten blev behandlet med antiparkinsonmedicin med effekt på de ekstrapyramidale symptomer og blev efter genoptræning på Hammel Neurocenter udskrevet efter eget ønske 35 dage efter indlæggelsen. Ved udskrivelsen persisterede der kun let monoton tale, en højresidig primær hviletremor og en moderat afficeret diadokokinese.

Diskussion

Ved søgning i PubMed, Web of Science og EMbase fandt vi to tidligere beskrevne tilfælde af ODS ved AK med HN [2, 3]. ODS omfatter central pontinmyelinolyse (CPM) og ekstrapontinmyelinolyse (EPM) [1]. Ved CPM ses dysartri, dysfagi og quadriparese. Ved EPM ses stumhed, parkinsonisme, dystoni og katatoni samt påvirkning af bevidsthedsniveauet [1]. CPM blev beskrevet første gang i 1959 [4].

Den her omtalte patient havde en usædvanlig grad af HN, som tolkes at være forårsaget af svær gluko- og mineralokortikoidmangel kombineret med betydelig vandretention. Et meget lavt glukokortikoidniveau medfører øget frigørelse af corticotropin-releasing-hormone, som uafhængigt af P-Na stimulerer produktionen af antidiuretisk hormon (ADH). Patienten havde således formentlig dels en måned varende adaptation til den svære kroniske hypoosmolære tilstand via de normale volumenregulatoriske processer, og dels en akut primær binyrebarkinsufficiens.

Ved for hurtig korrektion af kronisk HN og dermed ekstracellulær osmolalitet kan cellerne ikke nå at gendanne intracellulære osmoler, hvilket medfører intracellulært ødem. Oligodendrocytter er specielt følsomme herfor, og ODS skyldes følgende apoptose af cellerne. Mikroskopisk ses demyelinisering, mens neuronerne er intakte [4]. ODS ses kun ved korrektion af kronisk HN (> 48 timer), ikke ved korrektion af akut HN [1]. Ved tvivl om varigheden af HN anbefales langsom korrektion [1, 5]. Store doser glukokortikoid i den akutte fase kan via den følgende øgede fritvands-clearance medføre signifikante ændringer i den osmotiske gradient.

Sygdomsforløbet er oftest trifasisk. Først ses symptomer på HN med konfusion og hyperventilation grundet øget intrakranialt tryk efterfulgt af en periode med bedring i takt med normalisering af P-Na. Herefter forværres tilstanden igen som følge af ODS. De kliniske symptomer forudgår de billeddiagnostiske fund [5, 1].

Her førte korrektion af den svære HN til symptomer på såvel EPM som CPM til trods for, at den var i overensstemmelse med de foreliggende anbefalinger (8-15 mM pr. døgn eller maksimalt 0,5 mM pr. time). Der er tendens til at anbefale lavere korrektionshastighed ned til en stigning på 4-5 mM pr. dag [1].

HN er et klinisk dilemma. Ved for langsom korrektion er der risiko for udvikling af cerebralt ødem, hjernestammeherniering og hyponatriæmisk encefalopati, og ved hurtig korrektion af kronisk HN kan der ses ODS [5]. Her forstærkes dilemmaet af samtidig AK.


Summary

Osmotic demyelination syndrome

Ugeskr Læger 2008;170(50):4142

Acute adrenal insufficiency is a life threatening disease with dehydration, hypotension, cerebral dysfunction and gastrointestinal symptoms accompanied by low plasma sodium and high plasma potassium. Osmotic demyelination syndrome (ODS) can occur rarely following correction of plasma sodium. We describe a case with extremely low plasma sodium and subsequent development of ODS. Correction which is too slow may lead to cerebral oedema, brain stem herniation and low sodium encephalopathy. Correction which is too fast may cause ODS. The dilemma is accentuated by concomitant Addison crisis.


Signe Elisabeth Bødker Andersen, Skovvangsvej 60, 3. th., DK-8200 Århus N.

E-mail: seba@studmed.au.dk

Antaget: 24. august 2007

Interessekonflikter: Ingen

Taksigelser: Professor Leif Mosekilde takkes for hjælp til udarbejdelse af manuskriptet. Afdelingslæge Einar Bech takkes for hjælp til diagnostik og for gennemlæsning af manuskriptet.



Sidebar placering
Venstrestillet
Article type
Journal
Magazine
Section
References

<ol class="Litt-list">
<li>Martin RJ. Central pontine and extrapontine myelinolysis: the osmotic demyelination syndromes. J Neurol Neurosurg Psychiatry 2004;75(suppl 3):iii22-iii28.</li>
<li>Udani VP, Dharnidharka VR, Gajendragadkar AR et al. Extra and central pontine myelinolysis in a child with adrenal insufficiency. Pediatr Neurol 1997; 17:158-60.</li>
<li>Kandt RS, Heldrich FJ, Moser HW. Recovery from probably central pontine myelinolysis associated with Addison's disease. Arch Neurol 1983;40:118-9.</li>
<li>Dams RD, Victor M, Mancell EL. Central pontine myelinolysis: a hitherto un-described disease occurring in alcoholic and malnourished patients. AMA Arch Neurol Psychiatry 1959;81:154-72.</li>
<li>Lampl C, Yazdi K. Central pontine myelinolysis. Eur Neurol 2002;47:3-10.</li>
</ol>

Woodwing Id
239839
Fil
Bib ref
Ugeskr Læger 2008;170(50):4142
Authors

Stud.med. Signe Elisabeth Bødker Andersen, afdelingslæge Brian Stausbøl-Grøn & reservelæge Torsten Bloch Rasmussen Århus Universitetshospital, Århus Sygehus, Medicinsk-endokrinologisk Afdeling C, Århus Universitetshospital, Skejby, MR-afsnittet, Billeddiagnostisk Afdeling

0 likes