Medlem i

13 years 1 month
Indholdselementer
Billede
Sidebar placering
Venstrestillet
Billede
Sidebar placering
Venstrestillet


Trods fremskridt i den ikkekirurgiske behandling af patienter med pancreascancer (PC) er den eneste kurative mulighed fortsat radikal operation. Resektabel sygdom findes hos ca. 20% af de vurderede patienter. I multicenterstudier er den mediane overlevelse efter radikal resektion 18-24 måneder, men kun omkring 10% er i live efter fem år. Derfor er effekten af supplerende behandling undersøgt i en række større studier (Tabel 1 ).

I et studie (ESPAC-1) blev 541 opererede patienter randomiseret til ingen efterbehandling, 5-fluorouracil (5FU) eller radiokemoterapi [1]. Studiedesignet var kompliceret, og der blev anvendt et nu forældet stråleterapiregime. Man fandt ingen effekt af radiokemoterapi, men hos patienter, der fik kemoterapi, blev femårsoverlevelsen signifikant øget fra 8% til 21%. Effekten af kemoterapi er senere bekræftet i et tysk studie, hvor 368 opererede patienter blev randomiseret til observation alene eller seks behandlingsserier med gemcitabin [2]. Kemoterapi forlængede den sygdomsfrie overlevelse, og overlevelsen efter fem år blev fordoblet fra 11,5% til 22,5% [3].

Postoperativ radiokemoterapi tilbydes i vid udstrækning i USA, men evidensen herfor er sparsom. I et amerikansk studie blev 451 patienter randomiseret til stråleterapi sammen med 5FU eller gemcitabin [4]. Efter tre år levede 22% af patienterne med tumorer i caput pancreatis, hvis der blev givet 5FU-baseret radiokemoterapi, mod 31%, hvis der blev givet gemcitabinbaseret radiokemoterapi.

I et fælles europæisk EORTC-studium blev 90 patienter randomiseret til fire serier gemcitabin eller to serier gemcitabin suppleret med gemcitabinbaseret radiokemoterapi. Den mediane overlevelse var 24 måneder i begge grupper [5].

Den største undersøgelse af adjuverende behandling er et europæisk studie (ESPAC-3) med mere end 1.000 patienter, der blev præsenteret i 2009 [6]. Patienterne blev randomiseret til behandling med enten 5FU eller gemcitabin efter operation. Der fandtes ingen forskel på effekt, men færre bivirkninger ved behandling med gemcitabin.

Samstemmende viser ovenstående undersøgelser og flere metaanalyser [7], at adjuverende behandling med gemcitabin eller 5FU øger femårsoverlevelsen fra omkring 10% til ca. 20%. Gemcitabin har den mest favorable toksicitetsprofil og anbefales som førstevalg. Der er ingen større undersøgelser af præoperativ kemo- eller radiokemoterapi, som derfor betragtes som eksperimentelle.

Den optimale efterbehandling til patienter, der er makro- men ikke mikroskopisk radikalt opererede, er ikke afklaret. Den mediane sygdomsfrie overlevelse er kort, og langtidsoverlevelse er sjælden. Studierne tyder på, at patienterne kan have gavn af både adjuverende radiokemoterapi [1] og gemcitabin [3].

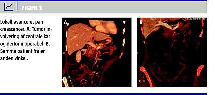
Lokalt avanceret pancreascancer

Omkring en tredjedel af alle patienter debuterer med lokalt avanceret pancreascancer (LAPC) (Figur 1 ), hvor det ikke er muligt at foretage radikal resektion, hyppigst på baggrund af indvækst i de centrale kar. Ubehandlet er den mediane overlevelse for disse patienter kun seks måneder [8]. Det er ikke afklaret, om standardbehandlingen bør være kemoterapi eller radiokemoterapi eller måske en kombination.

Strålebehandling af LAPC bør altid kombineres med kemoterapi. En randomiseret undersøgelse af best supportive care versus radiokemoterapi viste en forlængelse af den mediane overlevelse fra seks måneder til 13 måneder ved radiokemoterapi, og 10% opnåede så markant et tumorsvind, at efterfølgende radikal resektion var mulig [9]. Talrige fase I- og II-undersøgelser med forskellige kombinationer af strålebehandling og kemoterapi har vist samme tendens, men der er mangel på overbevisende randomiserede undersøgelser.

I et fransk studium blev 119 (af 176 planlagte) patienter med LAPC randomiseret til enten præoperativ strålebehandling med en totaldosis på 60 Gy og samtidig 5FU og cisplatin, eller kemoterapi med gemcitabin alene [10]. Overraskende var overlevelsen for de patienter, der fik behandling med gemcitabin, mediant 14,3 måneder, men kun 8,4 måneder i gruppen, der fik radiokemoterapi. Undersøgelsen kan kritiseres for, at den anvendte radiokemoterapi var for toksisk, og kun meget få patienter blev efterfølgende opereret.

Et lignende studium blev præsenteret i 2008 [11]. Patienter med LAPC blev randomiseret til seks serier gemcitabin eller gemcitabin og strålebehandling efterfulgt af fem serier gemcitabin. Studiet blev afbrudt efter inklusion af kun 74 patienter. Hos disse blev den mediane overlevelse øget signifikant fra 9,2 måneder til 11,0 måneder efter radiokemoterapi.

De danske erfaringer med radiokemoterapi er lovende [12]. Fra 2001 til 2005 er 63 patienter med LAPC behandlet i Odense med strålebehandling med en totaldosis på 50 Gy i kombination med ufteral - en peroral 5FU-analog. Alle patienter har fået revurderet sygdomsudbredelsen efter 4-6 uger. For hele gruppen er den mediane overlevelse 11 måneder, men hos de 11 patienter, der efterfølgende har fået foretaget en mikroradikal resektion, er den mediane overlevelse over 40 måneder. I Danmark kan patienter med LAPC, som er ikkeresektabel primært på grund af venøs indvækst, henvises til vurdering ved det multidisciplinære team i Odense og tilbydes behandling, hvis der skønnes at blive mulighed for resektion efter eventuelt tumorsvind.

Metastaserende pancreascancer

Patienter med metastatisk PC har en af de alvorligste prognoser af alle cancerlidelser. Kemoterapi bør reserveres patienter i god almentilstand, idet behandlingseffekt er dokumenteret for denne gruppe, som også tåler behandlingen bedst. Understøttende behandling omfatter bl.a. stentning af galdeveje og duodenum ved stenosering, medicinsk smertebehandling, palliativ strålebehandling, ernæringstiltag inklusive substitution ved manglende pancreasenzymer, samt behandling af komplicerende diabetes. Profylaktisk behandling med lavmolekylært heparin (enoxaprin) kan reducere hyppigheden af symptomatisk dyb venetrombose fra 11% til 4% [13].

Ændringer i serummarkører (specielt CA 19-9) anvendes klinisk til prædiktion af behandlingsrespons. CA 19-9 bør dog ikke bruges ukritisk, da ikkeprogressionsrelateret stigning i tumormarkøren forekommer ved f.eks. stenosering af galdeveje og ved effekt af behandlingen. Dertil kommer, at ca. en tredjedel af patienterne ikke udtrykker markøren.

Førstelinjesystemisk behandling

Indtil for ca. ti år siden anvendtes især 5FU, men behandlingen førte kun yderst sjældent til tumorsvind, og overlevelsesgevinsten var beskeden. Lovende resultater af fase II-studier med gemcitabin i starten af 1990'erne førte til en randomiseret undersøgelse af 126 patienter til sammenligning af gemci tabin og 5FU [14]. Gemcitabin øgede den mediane overlevelse med halvanden måned og 18% af de patienter, der blev behandlet med gemcitabin, var i live efter et år mod kun 5% af de, som blev behandlet med 5FU. Godkendelsen af gemcitabin var dog primært baseret på en overbevisende bedre effekt af gemcitabin på symptomscore (24% versus 5%). Ingen af efterhånden utallige fase III-undersøgelser har kunnet påvise tilsvarende effekt af andre enkeltstofkemoterapeutika.

Ved mange kræftsygdomme giver kombinationskemoterapi bedre sygdomskontrol end enkeltstofkemoterapi. Hos patienter med PC har det imidlertid ikke været muligt konsistent at påvise en fordel ved kombinationsterapi. F.eks. gav kombineret gemcitabin og 5FU ingen overlevelsesgevinst sammenlignet med gemcitabin alene [15]. Alligevel blev capecitabin - en peroral 5FU-analog - kombineret med gemcitabin undersøgt i to store fase III-undersøgelser med gemcitabin som reference [16, 17]. De to studier viste en insignifikant tendens mod forlænget overlevelse ved kombinationsbehandling, mens meta- og subgruppeanalyser tydede på en effekt, især hos patienter i god almen tilstand [16, 17]. Også platin-gemcitabin-kombinationer har været undersøgt i fase III med negativt resultat af enkeltstudierne, mens en samlet metaanalyse af kombinationskemoterapi med gemcitabin og platin, capecitabin eller 5FU har vist en overlevelsesgevinst på omkring to måneder i subgruppen af patienter, der var i god almentilstand [18]. Senest kunne den gavnlige effekt af cisplatin-gemcitabin-kombinationen dog ikke genfindes i en italiensk fase III-undersøgelse af 400 patienter [19].

I flere randomiserede undersøgelser har man fokuseret på effekten af nye biologiske kræftlægemidler, der er rettet mod bl.a. vaskulære endoteliale vækstfaktorer og epidermale vækstfaktorreceptorer. Trods lovende fase II-undersøgelser har resultaterne i fase III-undersøgelser været skuffende. Kun i en af undersøgelserne har man kunnet påvise en statistisk signifikant forbedring af overlevelsen. Moore et al [20] randomiserede 569 patienter til gemcitabin eller gemcitabin i kombination med den epidermale vækstfaktorreceptor (EGFR)-hæmmer erlotinib. Hazard ratio var 0,82, mens den absolutte forskel i den mediane overlevelse kun var 12 dage. I gruppen af patienter, der var behandlet med kombinationsterapi, levede 24% efter et år mod 17% i gruppen af patienter, der var behandlet med gemcitabin alene. På baggrund af dette studie er erlotinib i kombination med gemcitabin godkendt af såvel amerikanske Food and Drug Administration som af det europæiske lægemiddelagentur (EMA) til behandling af patienter med metastatisk PC. Erlotinib kan have bivirkninger som træthed, udslæt og diarre, og behandlingen er kostbar, hvorfor det er omdiskuteret, om behandlingen samlet set er »klinisk meningsfuld", så længe der ikke er anvendelige prædiktive markører. Retropektivt blev der i studiet påvist en sammenhæng mellem graden af hududslæt og overlevelse således at patienter, der udviklede grad 2-udslæt, levede dobbelt så længe (mediant 10,5 måneder) som patienter med grad 0- eller 1-udslæt (mediant 5,7 måneder). Der pågår derfor prospektive studier, i hvilke man randomiserer til stigende doser af erlotinib til hududslæt eller uændret dosis, sammen med gemcitabin, bl.a. med deltagelse af danske afdelinger. Retrospektivt kunne man ikke påvise en sammenhæng mellem mutation i det signalforstærkende KRAS-onkogen i EGFR-signalvejen og effekt af erlotinib.

Dansk Pancreas Cancer Gruppe (DPCG) anbefaler generelt monoterapi med gemcitabin til patienter med ikkeresektabel PC. Kombinationsbehandling med gemcitabin og erlotinib er også en acceptabel standard, som er godkendt til metastatisk PC. Værdien af tillæg af platin eller capecitabine til gemcitabin er usikker, men kombinationskemoterapi kan overvejes hos patienter i meget god almentilstand (WHO Performance Status 0). Generelt tilstræbes det, at patienter tilbydes deltagelse i protokollerede studier til afprøvning af nye behandlingsprincipper.

Andenlinjesystemisk behandling

Trods ringe dokumentation for effekt viser udenlandske opgørelser, at op mod halvdelen af patienter med PC får behandling efter progression på førstelinjebehandling. En planlagt fase III-undersøgelse af kombinationen oxaliplatin-5FU versus enkeltstof-5FU måtte lukke præmaturt efter inklusion af kun 46 patienter, men kombinationsbehandling forlængede signifikant den mediane overlevelse fra 2,3 til 4,6 måneder. Regimet kan anvendes hos patienter i god almentilstand i fravær af protokollerede behandlingstilbud, som er stærkt påkrævede hos denne patientgruppe.

For at sikre danske patienter et tilbud om protokolleret andenlinjebehandling er der i år startet en fase I-/randomiseret fase II-undersøgelse med kemoterapi og biologisk terapi. Undersøgelsen er koordineret af det Nationale Koordinationsudvalg for eksperimentel kræftbehandling.


Morten Ladekarl , Onkologisk Afdeling D, Århus Sygehus, 8000 Århus C. E-mail: mortlade@rm.dk

Antaget: 5. januar 2010

Først på nettet: 29. marts 2010

Interessekonflikter. Ingen

Taksigelser: Manuskriptet er godkendt af Dansk Pancreas Cancer Gruppes styregruppe den 27. august 2009.


  1. Neoptolemos JP, Stocken DD, Friess H et al. A randomized trial of chemoradiotherapy and chemotherapy after resection of pancreatic cancer. N Engl J Med 2004;350:1200-10.
  2. Oettle H, Post S, Neuhaus P et al. Adjuvant chemotherapy with gemcitabine vs observation in patients undergoing curative-intent resection of pancreatic cancer: a randomized controlled trial. JAMA 2007;297:267-77.
  3. Neuhaus P, Riess H, Post S et al. CONKO-001: Final results of the randomized, prospective, multicenter phase III trial of adjuvant chemotherapy with gemcitabine versus observation in patients with resected pancreatic cancer. J Clin Oncol 2008;26:LBA4504.
  4. Regine WF, Winter KA, Abrams RA et al. Fluorouracil vs gemcitabine chemotherapy before and after fluorouracil-based chemoradiation following resection of pancreatic adenocarcinoma: a randomized controlled trial. JAMA 2008;299:1019-26.
  5. Van Laethem JL, Mornex F, Azria D et al. Adjuvant gemcitabine alone versus gemcitabine-based chemoradiation after curative resection for pancreatic cancer: Updated results of a randomized EORTC/FFCD/GERCOR phase II study (40013-22012/9203). J Clin Oncol 2009;27:4527.
  6. Neoptolemos J, Buchler M, Stocken DD et al. ESPAC-3(v2): A multicenter, international, open-label, randomized, controlled phase III trial of adjuvant 5 -fluorouracil/folinic acid versus gemcitabin in patients with resected pancreatic adenocarcinoma. J Clin Oncol 2009;27:LBA 4505.
  7. Bergenfeldt M, Albertsson M. Current state of adjuvant therapy in resected pancreatic adenocarcinoma. Acta Oncol 2006;45:124-35.
  8. Bjerregaard JK, Pfeiffer P. Chemotherapy and radiotherapy for inoperable pancreatic cancer. A survey of a Cochrane-review. Ugeskr Læger 2007;169:3949-52.
  9. Shinchi H, Takao S, Noma H et al. Length and quality of survival after external-beam radiotherapy with concurrent continuous 5-fluorouracil infusion for locally unresectable pancreatic cancer. Int J Radiat Oncol Biol Phys 2002;53:146-50.
  10. Chauffert B, Mornex F, Bonnetain F et al. Phase III trial comparing intensive induction chemoradiotherapy (60 Gy, infusional 5-FU and intermittent cisplatin) followed by maintenance gemcitabine with gemcitabine alone for locally advanced unresectable pancreatic cancer. Definitive results of the 2000-01 FFCD/SFRO study. Ann Oncol 2008;19:1592-9.
  11. Loehrer PJ, Sr., Powell ME, Cardenes HR et al. A randomized phase III study of gemcitabine in combination with radiation therapy versus gemcitabine alone in patients with localized, unresectable pancreatic cancer: E4201. J Clin Oncol 2008;26:4506.
  12. Bjerregaard JK, Mortensen MB, Jensen HA et al. Long-term results of concurrent radiotherapy and UFT in patients with locally advanced pancreatic cancer. Radiother Oncol 2009;92:226-30.
  13. Riess H, Pelzer U, Deutschinoff G et al. A prospective, randomized trial of chemotherapy with or without the low molecular weight heparin (LMWH) enoxaparin in patients with advanced pancreatic cancer. Results of the CONKO 004 trial. J Clin Oncol 2009;27:LBA 4506.
  14. Burris HA, III, Moore MJ, Andersen J et al. Improvements in survival and clinical benefit with gemcitabine as first-line therapy for patients with advanced pancreas cancer: a randomized trial. J Clin Oncol 1997;15:2403-13.
  15. Berlin JD, Catalano P, Thomas JP et al. Phase III study of gemcitabine in combination with fluorouracil versus gemcitabine alone in patients with advanced pancreatic carcinoma: Eastern Cooperative Oncology Group Trial E2297. J Clin Oncol 2002;20:3270-5.
  16. Cunningham D, Chau I, Stocken DD et al. Phase III randomized comparison of gemcitabine versus gemcitabine plus capecitabine in patients with advanced pancreatic cancer. J Clin Oncol 2009;27:5513-8.
  17. Herrmann R, Bodoky G, Ruhstaller T et al. Gemcitabine plus capecitabine compared with gemcitabine alone in advanced pancreatic cancer: a randomized, multicenter, phase III trial of the Swiss Group for Clinical Cancer Research and the Central European Cooperative Oncology Group. J Clin Oncol 2007;25:2212-7.
  18. Heinemann V, Boeck S, Hinke A et al. Meta-analysis of randomized trials: evaluation of benefit from gemcitabine-based combination chemotherapy applied in advanced pancreatic cancer. BMC Cancer 2008;8:82.
  19. Colucci G, Labianca R, Constanzo D et al. A randomized trial of gemcitabine (G) versus G plus cisplatin in chemotherapy-naive advanced pancreatic adenocarcinoma: The GIP-1 (Gruppo italiano Pancreas- GOIM/GISCAD/GOIRC) study. J Clin Oncol 2009;4504.
  20. Moore MJ, Goldstein D, Hamm J et al. Erlotinib plus gemcitabine compared with gemcitabine alone in patients with advanced pancreatic cancer: a phase III trial of the National Cancer Institute of Canada Clinical Trials Group. J Clin Oncol 2007;25:1960-6.



Sidebar placering
Venstrestillet
Article type
Journal
Magazine
Section
References

<ol class="Litt-list">
<li>Neoptolemos JP, Stocken DD, Friess H et al. A randomized trial of chemoradiotherapy and chemotherapy after resection of pancreatic cancer. N Engl J Med 2004;350:1200-10.</li>
<li>Oettle H, Post S, Neuhaus P et al. Adjuvant chemotherapy with gemcitabine vs observation in patients undergoing curative-intent resection of pancreatic cancer: a randomized controlled trial. JAMA 2007;297:267-77.</li>
<li>Neuhaus P, Riess H, Post S et al. CONKO-001: Final results of the randomized, prospective, multicenter phase III trial of adjuvant chemotherapy with gemcitabine versus observation in patients with resected pancreatic cancer. J Clin Oncol 2008;26:LBA4504.</li>
<li>Regine WF, Winter KA, Abrams RA et al. Fluorouracil vs gemcitabine chemotherapy before and after fluorouracil-based chemoradiation following resection of pancreatic adenocarcinoma: a randomized controlled trial. JAMA 2008;299:1019-26.</li>
<li>Van Laethem JL, Mornex F, Azria D et al. Adjuvant gemcitabine alone versus gemcitabine-based chemoradiation after curative resection for pancreatic cancer: Updated results of a randomized EORTC/FFCD/GERCOR phase II study (40013-22012/9203). J Clin Oncol 2009;27:4527.</li>
<li>Neoptolemos J, Buchler M, Stocken DD et al. ESPAC-3(v2): A multicenter, international, open-label, randomized, controlled phase III trial of adjuvant 5 -fluorouracil/folinic acid versus gemcitabin in patients with resected pancreatic adenocarcinoma. J Clin Oncol 2009;27:LBA 4505.</li>
<li>Bergenfeldt M, Albertsson M. Current state of adjuvant therapy in resected pancreatic adenocarcinoma. Acta Oncol 2006;45:124-35.</li>
<li>Bjerregaard JK, Pfeiffer P. Chemotherapy and radiotherapy for inoperable pancreatic cancer. A survey of a Cochrane-review. Ugeskr Læger 2007;169:3949-52.</li>
<li>Shinchi H, Takao S, Noma H et al. Length and quality of survival after external-beam radiotherapy with concurrent continuous 5-fluorouracil infusion for locally unresectable pancreatic cancer. Int J Radiat Oncol Biol Phys 2002;53:146-50.</li>
<li>Chauffert B, Mornex F, Bonnetain F et al. Phase III trial comparing intensive induction chemoradiotherapy (60 Gy, infusional 5-FU and intermittent cisplatin) followed by maintenance gemcitabine with gemcitabine alone for locally advanced unresectable pancreatic cancer. Definitive results of the 2000-01 FFCD/SFRO study. Ann Oncol 2008;19:1592-9.</li>
<li>Loehrer PJ, Sr., Powell ME, Cardenes HR et al. A randomized phase III study of gemcitabine in combination with radiation therapy versus gemcitabine alone in patients with localized, unresectable pancreatic cancer: E4201. J Clin Oncol 2008;26:4506.</li>
<li>Bjerregaard JK, Mortensen MB, Jensen HA et al. Long-term results of concurrent radiotherapy and UFT in patients with locally advanced pancreatic cancer. Radiother Oncol 2009;92:226-30.</li>
<li>Riess H, Pelzer U, Deutschinoff G et al. A prospective, randomized trial of chemotherapy with or without the low molecular weight heparin (LMWH) enoxaparin in patients with advanced pancreatic cancer. Results of the CONKO 004 trial. J Clin Oncol 2009;27:LBA 4506.</li>
<li>Burris HA, III, Moore MJ, Andersen J et al. Improvements in survival and clinical benefit with gemcitabine as first-line therapy for patients with advanced pancreas cancer: a randomized trial. J Clin Oncol 1997;15:2403-13.</li>
<li>Berlin JD, Catalano P, Thomas JP et al. Phase III study of gemcitabine in combination with fluorouracil versus gemcitabine alone in patients with advanced pancreatic carcinoma: Eastern Cooperative Oncology Group Trial E2297. J Clin Oncol 2002;20:3270-5.</li>
<li>Cunningham D, Chau I, Stocken DD et al. Phase III randomized comparison of gemcitabine versus gemcitabine plus capecitabine in patients with advanced pancreatic cancer. J Clin Oncol 2009;27:5513-8.</li>
<li>Herrmann R, Bodoky G, Ruhstaller T et al. Gemcitabine plus capecitabine compared with gemcitabine alone in advanced pancreatic cancer: a randomized, multicenter, phase III trial of the Swiss Group for Clinical Cancer Research and the Central European Cooperative Oncology Group. J Clin Oncol 2007;25:2212-7.</li>
<li>Heinemann V, Boeck S, Hinke A et al. Meta-analysis of randomized trials: evaluation of benefit from gemcitabine-based combination chemotherapy applied in advanced pancreatic cancer. BMC Cancer 2008;8:82.</li>
<li>Colucci G, Labianca R, Constanzo D et al. A randomized trial of gemcitabine (G) versus G plus cisplatin in chemotherapy-naive advanced pancreatic adenocarcinoma: The GIP-1 (Gruppo italiano Pancreas- GOIM/GISCAD/GOIRC) study. J Clin Oncol 2009;4504.</li>
<li>Moore MJ, Goldstein D, Hamm J et al. Erlotinib plus gemcitabine compared with gemcitabine alone in patients with advanced pancreatic cancer: a phase III trial of the National Cancer Institute of Canada Clinical Trials Group. J Clin Oncol 2007;25:1960-6.</li>
</ol>

Woodwing Id
243504
Fil
Bib ref
Ugeskr Læger 2010;172(18):1373-1376
Authors

Overlæge Morten Ladekarl, overlæge Benny Vittrup Jensen & overlæge Per Pfeiffer Onkologisk Afdeling ved Århus Sygehus, Herlev Hospital og Odense Universitetshospital

0 likes