Medlem i

12 years 10 months
Indholdselementer
Billede
Sidebar placering
Venstrestillet

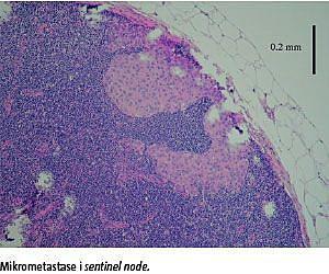
Sentinel node (SN)-proceduren er i dag standardmetode til statuering af aksillen hos patienter med brystkræft. Ved denne procedure fjernes der kun i gennemsnit to lymfeknuder. Reduktionen i antal fjernede lymfeknuder har gjort det muligt for patologerne at undersøge lymfeknuderne mere ekstensivt. Det har bevirket, at der findes flere mikrometastaser og isolerede tumorceller (ITC). Man har indtil for nylig anbefalet alle patienter med spredning til SN en efterfølgende aksilrømning. Det er dog kun 10-20% af patienterne med mikrometastaser eller ITC i SN, der har spredning til andre aksillymfeknuder [1]. Størsteparten af disse patienter har derfor ikke gavn af den supplerende aksilrømning, men risikerer efterfølgende armmorbiditet. I et større dansk studie med mere end 3.000 patienter med brystkræft har man påvist, at over halvdelen af de aksilrømmede patienter med brystkræft oplever kroniske smerter, og 58% får lymfødem [2].

Internationale studier tyder nu på, at det ikke er alle metastaser, som efterlades i aksillen, der bliver klinisk erkendelige. Til trods for at SN-proceduren generelt har en falsk negativ-rate på 5%, er risikoen for aksilrecidiv under 1% hos SN-negative patienter. Det er således muligt, at man kan undlade at aksilrømme udvalgte patienter, selvom de potentielt har spredning til andre lymfeknuder end SN, uden at det forringer deres prognose.

I internationale studier har man undersøgt betydningen af aksilrømning hos patienter med mikrometastaser eller ITC i SN. Man har ikke i nogen af studierne kunnet påvise, at aksilrømning forbedrede overlevelsen, og andelen af patienter, der får aksilrecidiv, er minimal både med og uden aksilrømning [3].

I Danmark bliver næsten alle patienter med brystkræft registreret i Danish Breast Cancer Cooperative Group (DBCG)’s database. I perioden 2002-2008 er der registreret 2.137 patienter med mikrometastaser eller ITC i SN. 12% af disse patienter har ikke fået foretaget aksilrømning. Efter fem års opfølgning har kun 1,4% af patienterne fået aksilrecidiv, uafhængigt af om der var udført aksilrømning. Når der justeres for efterbehandling og højrisikofaktorer, er der desuden ingen forskel på overlevelsen [4]. Aksilrømning ser således heller ikke i det danske materiale ud til at gavne disse patienter.

På baggrund af den stigende evidens for, at aksilrømning hos patienter med mikrometastaser eller ITC i SN ikke forbedrer prognosen, har DBCG i 2012 ændret anbefalingerne, så aksilrømning kan undlades hos disse patienter. Aksilrømning udføres dog stadig ved makrometastaser og ved mikrometastaser i tre eller flere SN.

Der foretages årligt ca. 3.000 SN-procedurer hos patienter med brystkræft i Danmark. Heraf har ca. 15% enten mikrometastaser eller ITC i SN. De nye retningslinjer vil derfor årligt kunne spare ca. 450 kvinder for en aksilrømning og halvdelen af disse for betydelig armmorbiditet.



KORRESPONDANCE: Tove Filtenborg Tvedskov, Brystkirurgisk Klinik, Rigshospitalet, Blegdamsvej 9, 2100 København Ø. E-mail: tft@dadlnet.dk

INTERESSEKONFLIKTER: Hent PDF



  1. Tvedskov TF, Jensen MB, Lisse IM et al. High risk of non-SN metastases in a group of breast cancer patients with micrometastases in the SN. Int J Cancer 2012;131:2367-75.

  2. Gartner R, Jensen MB, Nielsen J et al. Prevalence of and factors associated with persistent pain following breast cancer surgery. JAMA 2009;302:1985-92.

  3. Erb KM, Shapiro-Wright HM, Julian TB. Axillary recurrences following positive sentinel lymph node biopsy with individual tumor cells or micrometastases and no axillary dissection. Breast Dis 2010;31:83-90.

  4. Tvedskov TF, Jensen MB, Balslev E et al. Prognostic significance of axillary lymph node dissection in breast cancer patients with micrometastases or ITC in SN: a nationwide study. Eur J Cancer 2012;48(Suppl 1):S45.



Sidebar placering
Venstrestillet
Article type
Journal
Magazine
Section
Woodwing Id
239317
Fil
Conflict of interest
Bib ref
Ugeskr Læger 2013;175(12):
Authors

Tove Filtenborg Tvedskov Dansk Mammakirurgisk Selskab

0 likes