Medlem i

12 years 10 months
Indholdselementer
Billede
Sidebar placering
Venstrestillet


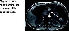
Pancreaslæsioner ses hos 3-12% af børn, som har været udsat for et stumpt abdominalt traume [1-4]. Læsioner af pancreas inddeles i fem kategorier (Tabel 1 ). Lette former for pancreaslæsioner (grad I og II) behandles nonoperativt hos både børn og voksne [1, 3]. Alvorlige pancreaslæsioner (grad III-V) hos voksne patienter behandles generelt operativt, mens valget af operativ versus nonoperativ behandling af disse læsioner hos børn er kontroversielt [1-3]. Vi beskriver et barn med en grad III-pancreaslæsion, som blev behandlet nonoperativt.

Sygehistorie

En niårig dreng kørte med gokart ind i et rækværk og fik rattet i maven. Han blev set i skadestuen og blev sendt hjem. I hjemmet havde patienten opkastninger og var utilpas og blev efterfølgende indlagt på et lokalt sygehus. Objektivt fandt man direkte ømhed i øvre abdomen. Biokemisk fandt man amylase på 1.198 U/l. Ultralyd af abdomen viste fri væske intraabdominalt, og ved computertomografi (CT) af abdomen fandt man læsion af pancreas. Patienten blev efterfølgende overflyttet til en specialafdeling. Der blev foretaget magnetisk resonans-kolangiopankreatikografi (MRCP), som viste en grad III-pancreaslæsion. Patienten blev behandlet nonoperativt og fik normal enteral ernæring. Klinisk fik patienten det gradvist bedre. Kontrolultralydsskanning af abdomen 11 dage efter traumet viste en pancreaspseudocyste på tre centimeter. Patienten blev udskrevet i velbefindende 12 dage efter traumet. Pseudocysten i pancreas var forsvundet ved kontrolultralydsskanning en måned efter traumet. Biokemisk normaliseredes amylasen først to måneder efter traumet, hvor patienten var velbefindende.

Sidebar placering
Venstrestillet
Billede
Sidebar placering
Venstrestillet
Billede
Sidebar placering
Venstrestillet



Diskussion

Ovenstående sygehistorie illustrerer de diagnostiske vanskeligheder, som pancreaslæsioner medfører. De abdominale symptomer er uspecifikke på grund af den retroperitoneale beliggenhed af pancreas [1]. Amylasen er forhøjet hos 49-90% af patienter med pancreaslæsion, når de ankommer til hospitalet [1, 3]. Ultralyd af abdomen er en relevant undersøgelse hos børn, der har været udsat for traumer. Undersøgelsen kan påvise evt. fri væske intraperitonealt, men er mindre sensitiv, når det drejer sig om at påvise læsioner af selve pancreas [3]. CT af abdomen indebærer en betydelig risiko for at under- eller overvurdere omfanget af pancreaslæsioner [3]. MRCP virker lovende til at gradere pancreaslæsioner, men erfaringen hermed er sparsom. Endoskopisk retrograd kolangiopankreatikografi (ERCP) har været anvendt med god effekt til at påvise eventuelle læsioner af ductus pancreaticus og for at undgå nonterapeutiske laparotomier. Der er dog beskrevet en risiko for post-ERCP-pankreatitis på 3-14% [3]. Terapeutisk ERCP med papillotomi over ductus pancreaticus og stenting af ductuslæsioner er anvendt hos børn med pancreaslæsioner, men erfaringen hermed er begrænset [1].

Operativ behandling indebærer oftest en distal pankreatektomi ved grad III-læsioner, mens kirurgisk drænage oftest anvendes ved grad IV-læsioner. Pankreatikojejunostomi kan anvendes ved både grad III- og IV-læsioner [1-4]. Ved grad IV- og V-læsioner kan Whipple's operation sekundært komme på tale til damage control -kirurgi.

Nonoperativ behandling af alvorlige pancreaslæsioner (grad III-V) hos børn er beskrevet som et godt alternativ til den operative behandling [1, 2]. Dette er i modsætning til hos voksne patienter, hvor grad III-V-læsioner generelt kræver kirurgisk intervention.Risikoen for senere kirurgi var på ca. 10% blandt børn, som primært blev behandlet nonoperativt [1].

De hyppigste komplikationer efter pancreaslæsioner er udvikling af pseudocyster (13-100%), pankreatitis (18%) og pancreasfistler (4%) [1, 4]. I nogle studier har man fundet en højere risiko for disse komplikationer efter nonoperativ behandling [2, 4]. Komplikationerne er dog oftest forbigående og kan som regel behandles nonoperativt, endoskopisk eller ved perkutan drænage [1], hvilket er en medvirkende årsag til den generelle tendens til at foretrække nonoperativ frem for operativ behandling ved pancreaslæsioner af enhver grad.

Konklusion

Ovenstående sygehistorie illustrerer i overensstemmelse med litteraturen, at nonoperativ behandling kan være et sikkert behandlingstilbud til børn med selv svære pancreaslæsioner. Dette er i overensstemmelse med den generelle tendens til at foretrække nonoperativ behandling af traumatiske organlæsioner i børn. Evidensen for valg af nonoperativ versus operativ behandling af alvorlige pancreaslæsioner hos børn er ikke klar, og flere undersøgelser vedrørende alvorlighed og varighed af komplikationer er nødvendige.

src="/LF/images_ufl/ufl_bla.gif">
Luit Penninga, Afsnit 3344, Rigshospitalet, 2100 København Ø. E-mail: LP@ctu.rh.dk

Antaget: 14. september 2010

Først på nettet: 7. marts 2011

Interessekonflikter: ingen

En fuldstændig litteraturliste kan fås ved henvendelse til forfatterne.


  1. de Blaauw I, Winkelhorst JT, Rieu PN et al. Pancreatic injury in children: good outcome of nonoperative treatment. J Pediatr Surg 2008;9:1640-3.
  2. Wood JH, Partrick DA, Bruny JL et al. Operative vs nonoperative management of blunt pancreatic trauma in children. J Pediatr Surg 2010;2:401-6.
  3. Kertai MA, Boehner C, Maiss J et al. Nonoperative management of the child with severe pancreatic and splenic injury: should this become our preferred approach? J Trauma 2010;2:44-8.
  4. Mattix KD, Tataria M, Holmes J et al. Pediatric pancreatic trauma: predictors of nonoperative management failure and associated outcomes. J Pediatr Surg 2007;2:340-4.
  5. Moore EE, Cogbill TH, Malangoni MA et al. Organ injury scaling, II: Pancreas, duodenum, small bowel, colon, and rectum. J Trauma 1990;11:1427-9.


Sidebar placering
Venstrestillet
Article type
Journal
Magazine
Section
References

<ol class="Litt-list">
<li>de Blaauw I, Winkelhorst JT, Rieu PN et al. Pancreatic injury in children: good outcome of nonoperative treatment. J Pediatr Surg 2008;9:1640-3.</li>
<li>Wood JH, Partrick DA, Bruny JL et al. Operative vs nonoperative management of blunt pancreatic trauma in children. J Pediatr Surg 2010;2:401-6.</li>
<li>Kertai MA, Boehner C, Maiss J et al. Nonoperative management of the child with severe pancreatic and splenic injury: should this become our preferred approach? J Trauma 2010;2:44-8.</li>
<li>Mattix KD, Tataria M, Holmes J et al. Pediatric pancreatic trauma: predictors of nonoperative management failure and associated outcomes. J Pediatr Surg 2007;2:340-4.</li>
<li>Moore EE, Cogbill TH, Malangoni MA et al. Organ injury scaling, II: Pancreas, duodenum, small bowel, colon, and rectum. J Trauma 1990;11:1427-9.</li>
</ol>

Woodwing Id
254732
Fil
English summary

Summary Non-operative treatment of severe blunt pancreatic trauma in children Ugeskr L&aelig;ger 2011;173(38):2346-2347 Diagnosis and treatment of pancreatic trauma in children is challenging. Grade I and II lesions of the pancreas (Organ Injury Scale of the American Association of Trauma) are generally treated non-operatively. However, the optimal treatment of pancreatic lesions with involvement of the pancreatic duct (grade III-V) has still to be determined. In this report, we describe a child with a grade III traumatic lesion of the pancreas, who was successfully treated conservatively. Furthermore, we discuss diagnostic and treatment strategies of paediatric pancreatic injuries.

Bib ref
Ugeskr Læger 2011;173(38):2346-2347
Authors

Luit Penninga & Jens Hillingsø Kirurgisk Afdeling C, Rigshospitalet

0 likes
Read time
5