Medlem i

12 years 10 months
Indholdselementer
Billede
Sidebar placering
Venstrestillet


Nocardia er en sjælden, men alvorlig årsag til infektioner hos immunsupprimerede patienter. Hyppigst ses pulmonal nocardiosis. Nocardias evne til hæmatogen spredning forårsager ofte infektioner i andre organer, hvorved mortaliteten øges betydeligt. Her præsenteres to sygehistorier, hvor Nocardia var årsag til henholdsvis cerebral absces og bakteriæmi. Anvendelse af 16S rDNA-sekventering til identifikation afkorter svartiden og betyder, at relevant behandling kan startes tidligt i forløbet, hvilket forbedrer prognosen.

Nocardia er en aerob, svagt syrefast, grampositiv, filamentøs stav, der er forgrenet. Bakterien findes som saprofyt i jord, organisk materiale og vand og er opportunistisk patogen for mennesker.

Mennesker smittes oftest ved indånding af bakterien med lungerne som det primære infektionsfokus. Primær kutan nocardiosis efter traumatisk inokulation i huden ses overvejende hos immunkompetente. Pulmonal nocardiosis ses hyppigst hos immunsupprimerede, men også hos patienter med kroniske lungesygdomme, diabetes mellitus og alkoholmisbrug. Systemisk steroidbehandling øger risikoen for Nocardia- infektion [1]. Dødeligheden ved lungeinfektion er ca. 10-15% og stiger ved spredning af sygdom til op imod 50% ved cerebrale abscesser [2].

Forekomsten af Nocardia- infektioner har været stigende gennem de seneste to årtier. Årsagen kan være et stigende antal immunsupprimerede patienter, men en forbedret laboratorieteknik med anvendelse af molekylærbiologiske teknikker spiller også ind [2].

Sygehistorier

I. En 44-årig kvinde, der var kendt med svær astma samt recidiverende Pseudomonas- pneumonier, blev indlagt på grund af tiltagende hovedpine, synsforstyrrelser på højre øje, samt ændret fornemmelse i højre hånd gennem en uges tid. Patienten havde fået flere antibiotika og steroidkure gennem det foregående halvandet år. Sidste kur var påbegyndt ca. en måned før indlæggelse (initial dosis 37,5 mg/dag i to uger, herefter nedtrapning).

Computertomografiskanning (CT-C) og magnetisk resonansskanning (MR-C) af cerebrum viste ringopladende proces paritooccipitalt på venstre side. På mistanke om metastase blev der givet steroid, hvorefter symptomerne svandt. Sekundær gennemgang af CT-C og MR-C gav dog tillige mistanke om absces, og ved biopsitagning blev der udtømt puslignende materiale og startet behandling med penicillin, ceftriaxon og metronidazol.

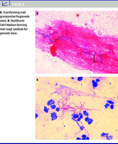
Direkte mikroskopi af materialet viste grampostive forgrenede stave (Figur 1 A), der var svagt syrefaste ved modificeret Ziehl-Neelsen-farvning ( Figur 1 B). Nocardia blev mistænkt som årsag til patientens cerebrale absces, og behandlingen ændret til intravenøs sulfamethoxazol-trimethoprim.

CT af thorax blev udført med henblik på et primært lungefokus, men var normal. Dyrkning af ekspektorat var uden vækst af Nocardia.

Efter 14 dages intravenøs behandling sås regression af absces. Den intravenøse behandling blev efter en måned ændret til peroral behandling, planlagt til i alt 11 måneder. Efter tre måneder viste CT-C fortsat regression, og ny CT-C er planlagt inden behandlingsophør.

II. En 75-årig mand, der var kendt med inoperabel cancer pancreatis, blev indlagt med feber og mistanke om pneumoni. Patienten havde modtaget kemoterapi kort forinden, samt været i steroidbehandling i fire måneder (dosis 37,5 mg/dag). Radiologisk sås diffuse infiltrative forandringer på lungerne, og efter bloddyrkning blev der startet antibiotisk behandling med cefuroxim og gentamicin.

Fra blod påvistes efter fire døgns inkubation vækst af grampositive forgrenede stave, der var svagt syrefaste ved modificeret Ziehl-Neelsen-farvning. På mistanke om Nocardia- bakteriæmi blev behandlingen skiftet til intravenøs sulfamethoxazol-trimethoprim og meropenem.

Patienten ønskede sig udskrevet på grund af sin stærkt progredierende cancer og fik kun kort tids intravenøs behandling. En måned efter påvist Nocardia- bakteriæmi døde patienten.

I begge tilfælde var der kun svag vækst af tørre, støvlignende kolonier efter et døgns dyrkning på rutinemedier. Ved hjælp af 16S rDNA-sekventering blev isolaterne artsbestemt til Nocardia farcinica.

Diskussion

Hos patienter med dissemineret nocardiosis ses ofte fokale læsioner i centralnervesystemet i form af cerebrale abscesser, som også forekommer hos ca. 1/3 af patienter med pulmonal nocardiosis [1]. Bakteriæmi med Nocardia er derimod sjælden [4, 5].

Gramfarvning og modificeret Ziehl-Neelsen-farvning (påvisning af svagt syrefaste stave) er vigtige metoder til hurtig at stille en sandsynlig diagnose direkte på materiale. Nocardia gror på de fleste medier inden for fire døgn, men 2-4 ugers inkubation kan være nødvendig. Det har tidligere været svært at stille en hurtig og præcis arts- og speciesdiagnose, da de fleste Nocardia- stammer er meget inaktive i de konventionelle biokemiske test.

Med molekylær diagnostik er det blevet muligt at udføre en hurtigere og mere præcis identifikation af Nocardia. Dette har betydning for den efterfølgende behandling, da visse Nocardia specier er meget resistente, og speciesnavnet vil derfor have betydning for valget af antibiotika [3]. Dette gælder bl.a. for N. farcinica, der er resistent over for mange antibiotika [2].

Sulfamethoxazol-trimethroprim er førstevalgsbehandling af Nocardia- infektioner, men kombinationsterapi anbefales specielt i starten ved svære infektioner[1].

Konklusion

Mikroskopi af primært materiale, der er farvet med modificeret Ziehl-Neelsen-farvning, er stadig en vigtig undersøgelse ved mistanke om infektion med Nocardia. Anvendelse af 16S rDNA-sekventering giver mulighed for en hurtigere og mere præcis identifikation end brug af konventionelle biokemiske test. Derved forkortes svartiden, og relevant behandling kan initieres tidligere, hvilket sandsynligvis vil forbedre overlevelsen.


Summary

Nocardiosis

Ugeskr Læger 2009;171(23):1940-1941

Nocardia is a rare, but serious cause of infection in immunosuppressed patients. Pulmonal nocardiosis is the most frequent manifestation. The ability of Nocardia to disseminate haematogenously frequently causes infection in other organs and increases mortality. We present two cases caused by Nocardia: a patient with a cerebral abscess and a patient with bacteremia. The use of 16S rDNA sequencing for identification reduces the time spent on the final diagnosis, why relevant treatment can be initiated early which improves the prognosis.


Gitte Nyvang Hartmeyer, Klinisk Mikrobiologisk Afdeling, Odense Universitetshospital, DK-5000 Odense C. E-mail: gitte.hartmeyer@ouh.regionsyddanmark.dk

Antaget: 5. november 2008

Interessekonflikter: Ingen




Sidebar placering
Venstrestillet
Article type
Journal
Magazine
Section
References

<ol class="Litt-list">
<li>Brown-Elliott BA, Brown JM, Conville PS et al. Clinical and laboratory features of the Nocardia spp., based on current molecular taxonomy. Clin Microbiol Rev 2006;19: 259-82.</li>
<li>Sorrell TC, Mitchell DH, Iredell JR. Nocardia species. In: Mandel GL, Bennet JE, Dolin R, eds. Principles and practice of infectious diseases. 6th ed. Philadelphia: Churchill Livingstone 2005;2916-24.</li>
<li>Cloud JL, Convile PS, Craft A et al. Evaluation of partial 16S ribosomal DNA sequencing for identification of Nocardia species by using the Microseq 500 system with an expanded database. J Clin Microbiol 2004;42:578-84.</li>
<li>Kontoyiannis DP, Ruoff K, and Hooper DC. Nocardia bacteremia: report of 4 cases and review of literature. Medicine (Baltimore) 1998;77:255-67.</li>
<li>Kontoyiannis DP, Jacobson K L, Whimbey EE et al. Central venous catheter-associated Nocardia bacteremia: an unusual manifestation of nocardiosis. Clin Infect Dis 2000;31:617-8.</li>
</ol>

Woodwing Id
245009
Fil
Bib ref
Ugeskr Læger 2009;171(23):1940-1941
Authors

Reservelæge Gitte Nyvang Hartmeyer & dyrlæge Marianne N. Skov Odense Universitetshospital, Klinisk Mikrobiologisk Afdeling

0 likes