Medlem i

12 years 10 months
Indholdselementer

Fra 2003 til 2014 steg antallet af udførte CT’er med 250% [1], og i 2014 fik 6% af befolkningen udført en CT [1]. Binyreincidentalomer (BI) er billeddiagnostisk tilfældigt fundne tumorer hos personer uden kendt malign sygdom, hvilket ses hos 2% > 50 år og 10% > 70 år [2]. Konsekvensen er skønsmæssigt mere end 3.000 forundersøgelser årligt med risiko for sygeliggørelse af borgeren og tabt arbejdsfortjeneste. Belastningen kalder på mere rationel brug af sundhedsvæsenets ressourcer. No-need-to-see-forløb er et forløb, hvor den kliniske vurdering af borgeren kun vil have konsekvens, hvis de diagnostiske test falder abnorme ud. Hvis alle test er normale, kan undersøgelsen af borgeren afsluttes uden fremmøde. Design af no-need-to-see-forløb kræver viden om sygdommenes a priori-sandsynlighed, risikofaktorer og faldgruber samt en forståelse af den negative prædiktive værdi (NPV) af de diagnostiske modaliteter.

Sidebar placering
Venstrestillet
Hovedbudskaber
  • Alle veldefinerede binyretumorer > 1 cm på korteste akse skal vurderes mhp. kræft og hormonel hypersekretion.

  • Korrekt billeddiagnostisk terminologi er afgørende for udredning og henvisning til udredning.

  • Hormonel hypersekretion er sjælden, og udredning bør vurderes i forhold til alder og komorbiditet.

Ombryd tekst
0
Brødtekst
  • Alle veldefinerede binyretumorer > 1 cm på korteste akse skal vurderes mhp. kræft og hormonel hypersekretion.

  • Korrekt billeddiagnostisk terminologi er afgørende for udredning og henvisning til udredning.

  • Hormonel hypersekretion er sjælden, og udredning bør vurderes i forhold til alder og komorbiditet.

Udredning af BI er vigtig, idet 15% medfører hormononel overproduktion (aldosteron 2%, katekolaminer 5%, kortisol 8-12% (inkluderer autonom kortisolproduktion) og androgen/østrogen 0,1%) [3]. Malignitet ses hos 2%, hvis tumor er ≤ 4 cm og hos 6% ved tumor > 4 cm [3]. Alle patienter med veldefineret binyretumor > 1 cm bør henvises til en endokrinologisk klinik mhp. udelukkelse af kræft samt hormonel hypersekretion (Figur 1). Endvidere skal fæokromocytom udelukkes inden operation, anæstesi eller biopsitagning pga. risiko for hypertensiv krise.

Sidebar placering
Venstrestillet
Billede
Sidebar placering
Venstrestillet

Vi gennemgår i det følgende BI’s natur og kravet til udredning og diskuterer, om selekterede BI egner sig til no-need-to-see-forløb.

PATOFYSIOLOGI

BI er en veldefineret tumor > 1 cm på den korteste akse på et aksialt snit [5] (Figur 1B) i en binyre af i øvrigt normalt udseende hos borgere uden aktiv kræftsygdom. En plump/hypertrofisk binyre er ikke patologisk. Binyren består klassisk af to ben (bredde 2-9 mm) og et korpus (bredde 4-15 mm) [6, 7] med en længde på 2-4 cm i aksialt plan. Binyrebarken producerer aldosteron, kortisol og adrenale androgener, mens binyremarven producerer adrenalin og noradrenalin. Patogenesen bag BI er omdiskuteret [8-11], og den genetiske og epigenetiske baggrund er kun begyndt at blive afdækket [12, 13] og er specielt uklar for ikkehormonproducerende BI.

BI er bilaterale hos 10-15% og associeret med en overhyppighed af fæokromocytom, bilateral makronodulær hyperplasi, kongenit adrenal hyperplasi, adrenokortikotropt hormon (ACTH)-afhængig Cushings syndrom samt kræft, infektion, blødning og granulomatøs sygdom.

BILLEDDIAGNOSTISK TERMINOLOGI OG HENVISNING TIL UDREDNING

Den billeddiagnostiske beskrivelse er indgangen til udredning, og en entydig beskrivelse er afgørende for, om henvisning effektueres [14]. Trods korrekt beskrivelse henvises < 25%, og andelen falder til < 16% ved en uspecifik beskrivelse [14]. I beskrivelsen skal der tages stilling til de i Tabel 1 nævnte karakteristika [5], og henvisning er mere sandsynlig, når radiologen i konklusionen anbefaler henvisning til endokrinologisk udredning [15].

Sidebar placering
Venstrestillet
Billede
Sidebar placering
Venstrestillet

50% af binyretumorer påvises hos patienter med ekstraadrenal kræft, og udredningen følger som udgangspunkt den for BI, men risikoen for, at tumoren repræsenter en metastase er a priori højere, og NPV ved CT er lavere [16].

I den følgende gennemgang kan det være en fordel at følge Figur 2 og se det falsk positive og falsk negative antal i hhv. en regelret BI-population (Figur 2A) og i en population med ekstraadrenal kræft (Figur 2B).

Sidebar placering
Venstrestillet
Billede
Sidebar placering
Venstrestillet

KRÆFT ELLER GODARTET TUMOR

Billeddiagnostiske karakteristika (Tabel 1) er afgørende for at kunne skelne mellem kræft og en godartet tumor. Ikkekontrastforstærket CT er den bedst beskrevne modalitet. Benigne karakteristika er skarp afgrænsning, homogenicitet, Hounsfieldenheder (HU) ≤ 10, samt vækst < 3 mm/år [18].

Hounsfieldenheder på ikkekontrastforstærket CT

HU/vævets densitet (bløddelsvæv 20-40; vand 0; Fedt < -20) bestemt i en homogen, veldefineret tumor har størst NPV, og HU for ikkekontrastforstærket CT (HUtom) ≤ 10 udelukker for praktiske formål kræft i et BI. Derimod er HU-målingens prædiktive værdi tvivlsom i en heterogen tumor.

Høj snittykkelse (> 3 mm), lav strømstyrke (< 50-60 mA/s) samt høj rørspænding (> 120 kV peak (kVp)) øger risikoen for falsk lave HU-værdier. Effekten af lavere rørspænding (< 120 kVp) er uforudsigelig og kan lede til såvel falsk positive som negative [19]. Ved korrekt måling af HU skal region of interest andrage ca. to tredjedele af tumoren og undgå kant, nekroser, blødning, cyster og kalcifikationer. Tekniske krav til bedømmelse af binyretumorer på CT foretaget på anden indikation er angivet i Tabel 1.

Kontrastudvaskning

Ca. 30% af godartede binyretumorer har HUtom > 10 pga. lavt fedtindhold. CT-bestemt kontrastudvaskning rejser mistanke om malign tumor ved absolut udvaskning < 60% eller relativ udvaskning < 40% (Tabel 2). Ved kontrastudvaskning kan man således skelne fedtfattigt adenom fra malignsuspekt tumor med høj NPV, men lavere positiv prædiktiv værdi (PPV), med risiko for unødvendig operation [17]. Performance er ikke ens for forskellige kræfttyper, og falsk negative (falsk godartede) ses ved metastaser fra nyrekræft og hepatocellulært karcinom [16]. Tillige vil ikkehomogene tumorer med cyster, nekroser, blødning og kalcifikationer give risiko for ikkevalide resultater. Da kontrastudvaskning aldrig er valideret i en regelret BI-kohorte, er falsk positiv-raten for BI omdiskuteret, og i enkelte lande har man fravalgt brug af kontrastudvaskning.

Sidebar placering
Venstrestillet
Billede
Sidebar placering
Venstrestillet

Størrelse

I foreliggende opgørelser udgør tumorer > 4 cm 17% [20]. Selvom kræftrisikoen stiger med størrelsen (2% ved tumorer > 4 cm og 43% ved tumorer > 6 cm), er specificiteten for malignitet baseret på størrelse alene skuffende (34-61%) [20]. Det er uvist, om øvrige CT-karakteristiska ophæver størrelsens prædiktive værdi, men HU > 10 havde i en nyligt publiceret retrospektiv opgørelse af 705 BI > 4 cm en NPV på 100% [20]. Således taler HU ≤ 10, i en homogen, rund tumor hos et individ uden ekstraadrenal kræft, kraftigt for en benign tumor uafhængigt af tumorstørrelse.

Sidebar placering
Venstrestillet
Billede
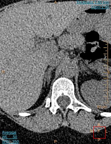
Højresidig godartet binyretumor, homogen, velafgrænset, Hounsfieldenheder < 10, størrelse > 1 cm på den korteste akse.
Caption
Højresidig godartet binyretumor, homogen, velafgrænset, Hounsfieldenheder < 10, størrelse > 1 cm på den korteste akse.
Sidebar placering
Venstrestillet

Vækst

Ved nyhenvist BI er tumoren ikke sjældent overset på tidligere skanninger, og vækstpotentialet kan ofte afgøres i visitationen, så yderligere billeddiagnostik er overflødig trods HUtom > 10, når tumoren er uden vækst i 24 måneder [18, 21].

Personer med kendt ekstraadrenal kræft

En binyretumor hos et individ med kendt ekstraadrenal kræft er pr. definition ikke et BI, om end patienten ofte bliver udredt i endokrinologisk regi, da hormonel hypersekretion skal udelukkes. HUtom > 10 er – som ved BI – den bedste prædiktor for ætiologi, men NPV er dårligere (flere falsk negative med HUtom ≤ 10 hos personer med kendt ekstraadrenal kræft). Den højere forekomst af falsk negative HUtom (5-7%) [16] er overraskende, og det er uvist, om det kan forklares ved udmåling af HU på ikkehomogene tumorer eller lav skanningskvalitet.

Sammenfattende taler fund af HU ≤ 10 på en ikkekontrastforstærket CT afgørende for en benign proces, men ingen enkelt parameter er diagnostisk, og studier, hvor man ser på den prædiktive værdi af kombinationer af CT-karakteristika, mangler. HU-værdier på ikkekontrastforstærket CT og årsagen til, at binyretumoren blev fundet (ekstraadrenal kræftudredning versus regelret incidentalom) giver den kraftigste oddsratio (OR) for malignitet (ikkeincidental binyretumor-OR = 5,92; OR = 1,08 pr. 1 øget HU) [20]. Kendskab til ovennævnte er essentielt for at mindske den høje falsk positiv-rate og skåne borgeren for unødvendig kirugi, illustreret ved at 52-75% af adrenalektomier faktisk resulterer i diagnosen ikkefunktionel benign tumor [16, 20].

MR-skanning

Ved chemical shift imaging baseret MR-skanning kan man ved sammenligning kvalitativt eller kvantitativt af in-phase- og out-phase-billeder skelne mellem lipidholdige adenomer og suspekte fedtfattige tumorer. I en nyligt publiceret metaanalyse af 18 studier med 1.138 patienter fandt man en sensitivitet for adenom på 94% og en specificitet på 95% uden forskel på kvantitativ og kvalitativ tolkning af MR-skanningsfundene [22]. Studierne er heterogene med en falsk negativ rate for kræft højere end for HUtom [16, 22]. Overordnet er brugen af MR-skanning ikke særlig undersøgt, har potentielt flere faldgruber og er kun en fordel, når der ikke kan bruges stråling [2, 22].

Fluordeoxyglukose-PET/CT

18F-fluordeoxyglukose (FDG)-PET/CT’s rolle i udredningen er ukendt, men ved mistanke om malign binyretumor kan undersøgelsen sandsynliggøre, om der er ekstraadrenal kræft. FDG-PET/CT til vurdering af mulig malign binyretumor indikerer høj NPV (98%) [23], men lavere PPV. Faldgruber er den billeddiagnostiske opløselighed, og at enkelte kræfttyper og specielt langsomtvoksende maligne tumorer med lav metabolisk aktivitet kan være falsk negative. Det er uvist, om der er yderligere informationsværdi af FDG-PET-CT hos personer, der har fået udført CT af binyrerne, men hvor man ikke havde mistanke om ekstraadrenal kræft.

HORMONEL OVERPRODUKTION

Hyperaldosteronisme

Hyperaldosteronisme dokumenteres hos 2% af BI, hvilket ikke er hyppigere end i den hypertensive del af befolkningen generelt (2-6%). Forhøjet P-aldosteron-renin-ratio har en NPV nær 100%, men ringe PPV (10-50%) afhængigt af prævalensen af hyperaldosteronisme (0,6-5%) [24]. Udredning kan lede til sygeliggørelse og tabt arbejdsfortjeneste. Desuden kan risiko for bivirkninger lede til behandlingsskift og forbigående hypertension med deraf afledte risici. PPV øges ved at forbeholde udredning til borgere med høj sandsynlighed for hyperaldosteronisme. I et nyligt publiceret prospektivt BI-studie fandt man, at 3% (9/269) havde hyperaldosteronisme, og at alle opfyldte en vanlig indikation for udredning for hyperaldosteronisme hos patienter uden binyreincidentalom [25]. Det synes derfor at være rimeligt at skele til vanlige indikationer for hyperaldosteronismeudredning, herunder om patienten er kandidat til operation. En pragmatisk tilgang er bestemmelse af P-aldosteron-renin-ratioen hos personer med: 1) ubehandlet veldokumenteret hypertension, 2) hjemmeblodtryk > 135/85 mmHg trods tre antihypertensiva i maksimal dosis, hvoraf et er et diuretikum, 3) normotensive med fire eller flere antihypertensiva, 4) hypertension og samtidig spontan hypokaliæmi eller behov for stort kaliumtilskud og 5) alder < 40 år.

Hyperkortisolisme

ACTH-uafhængig klinisk tydelig cushing er sjælden (incidens 0,6/million/år), men autonom kortisolsekretion (manglende suppression ved overnight dexametason suppressionstest > 50-138 nmol/l eller forhøjet døgnurin (dU)-kortisoludskillelse × 2 uden åbenlyse kliniske cushingstigmata) forekommer hos 8-12% af patienterne med BI. Risiko for progression til klinisk tydelig cushing er lav (< 0,3%) og i tre nyligt publicerede studier fandtes ingen progression efter op til 7,5 års followup [2]. Overnightdexamethasontest (1 mg dexamethason kl. 22 og P-kortisolmåling næste dag kl. 08) eller måling af dU-kortisolniveauet har en høj NPV [26], og et normalt testresultat udelukker Cushings syndrom. Overnightdexamethasonmåling anbefales som førstelinjetest. Ved abnorme værdier følges op med måling af ACTH og dU-kortisol. Et P-kortisolniveau på 50-138 nmol/l samt et dU-kortisolniveau < 3 × øvre reference skyldes oftest pseudocushing [27] eller analyseproblemer [28]. Selv ved et P-kortisolniveau > 138 nmol/l er diagnosen Cushings syndrom mindre sandsynlig, når der ikke er tegn på klinisk tydelig cushing. Opsummerende skal behovet for udredning sammenholdes med den potentielle kliniske gevinst og kan udelades hos skrøbelige ældre [3].

Fæokromocytom

Fæokromocytom er sjældent (incidens 4,65/mio. personår) [29]. Såvel P-metanefriner [2] som HUtom ≤ 10 i en homogen binyre udelukker fæokromocytom med næsten 100% NPV, og måling af P-metanefrinniveauet kan udelades ved entydigt beskrevet CT og HUtom ≤ 10 [30].

dU-katekolaminniveauet kan anvendes supplerende, men har lavere sensitivitet og specificitet (hhv. 86% og 88%) [3].

KONKLUSION

Binyretumorer identificeres i stigende grad og ofte hos raske personer samt patienter med kræft pga. udbredt brug af kræftpakker. Biokemisk screening for hormonel hypersekretion og ikkekontrastforstærket CT har næsten 100% NPV for udelukkelse af hypersekretion og malignitet. Den kliniske undersøgelse af borgeren bidrager oftest ikke med væsentlige fund, der omstøder den biokemiske og billeddiagnostiske konklusion. Den visiterende læge bør allerede i visitationen forsøge at afklare, om anamnese og objektiv undersøgelse vil ændre konklusionen af et negativt/benignt udfald af billeddiagnostik og biokemi. Hvis dette ikke er tilfældet, bør et no-need-to-see-forløb med brevsvar/telefonsvar overvejes.



KORRESPONDANCE: Christian Trolle. E-mail: Christian.Trolle@Midt.rm.dk
ANTAGET: 1. juli 2020
PUBLICERET PÅ UGESKRIFTET.DK: 31. august 2020
INTERESSEKONFLIKTER: ingen. Forfatternes ICMJE-formularer er tilgængelige sammen med artiklen på Ugeskriftet.dk
LITTERATUR: Findes i artiklen publiceret på Ugeskriftet.dk

Sidebar placering
Venstrestillet
Article type
Journal
Magazine
Section
References

Litteratur

  1. Sundhedsstyrelsen. Udviklingen i brug af røntgenundersøgelser i Danmark, 2015. https://www.sst.dk/-/media/Udgivelser/2015/Udviklingen-i-brug-af-r%C3%B8ntgenunders%C3%B8gelser-i-Danmark.ashx?la=da&hash=D543430343A6DC65C1E4C361E854191450C9D217 (26. jul 2020).

  2. Fassnacht M, Arlt W, Bancos I et al. Management of adrenal incidentalomas: European Society of Endocrinology Clinical Practice Guideline in collaboration with the European Network for the Study of Adrenal Tumors. Eur J Endocrinol 2016;175:G1-G34.

  3. Andersen M, Larsen CF, Trolle C et al. National behandlingsvejledning - Binyreincidentalomer. Dansk Endokrinologisk Selskab,2018.

  4. https://incidentaloma.shinyapps.io/incidentaloma/ (26. jul 2020).

  5. Mayo-Smith WW, Song JH, Boland GL et al. Management of incidental adrenal masses: a white paper of the ACR Incidental Findings Committee. J Am Coll Radiol 2017;14:1038-44.

  6. Vincent JM, Morrison ID, Armstrong P et al. The size of normal adrenal glands on computed tomography. Clin Radiol 1994;49:453-5.

  7. Schneller J, Reiser M, Beuschlein F et al. Linear and volumetric evaluation of the adrenal gland – MDCT-based measurements of the adrenals. Acad Radiol 2014;21:1465-74.

  8. Dobbie JW. Adrenocortical nodular hyperplasia: the ageing adrenal. J Pathol 1969;99:1-18.

  9. Reincke M, Fassnacht M, Vath S et al. Adrenal incidentalomas: a manifestation of the metabolic syndrome? Endocr Res 1996;22:757-61.

  10. Pillion DJ, Arnold P, Yang M et al. Receptors for insulin and insulin-like growth factor-I in the human adrenal gland. Biochem Biophys Res Commun 1989;165:204-11.

  11. Terzolo M, Pia A, Alì A et al. Adrenal incidentaloma: a new cause of the metabolic syndrome? J Clin Endocrinol Metab 2002;87:998-1003.

  12. Kirschner LS, Stratakis CA. 5th International ACC Symposium: the new genetics of benign adrenocortical neoplasia: hyperplasias, adenomas, and their implications for progression into cancer. Horm Cancer 2016;7:9-16.

  13. Bertagna X. Genetics of adrenal diseases in 2014: genetics improves understanding of adrenocortical tumours. Nat Rev Endocrinol 2015;11:77-8.

  14. de Haan RR, Schreuder MJ, Pons E et al. Adrenal incidentaloma and adherence to international guidelines for workup based on a retrospective review of the type of language used in the radiology report. J Am Coll Radiol 2019;16:50-5.

  15. Wickramarachchi BN, Meyer-Rochow GY, McAnulty K et al. Adherence to adrenal incidentaloma guidelines is influenced by radiology report recommendations. ANZ J Surg 2016;86:483-6.

  16. Dinnes J, Bancos I, di Ruffano LF et al. Management of endocrine disease: imaging for the diagnosis of malignancy in incidentally discovered adrenal masses: a systematic review and meta-analysis. Eur J Endocrinol 2016;175:R51-R64.

  17. Caoili EM, Korobkin M, Francis IR et al. Adrenal masses: characterization with combined unenhanced and delayed enhanced CT. Radiology 2002;222:629-33.

  18. Corwin MT, Navorro SM, Malik DG et al. Differences in growth rate on CT of adrenal adenomas and malignant adrenal nodules. AJR Am J Roentgenol 2019;213:632-6.

  19. Stadler A, Schima W, Prager G et al. CT density measurements for characterization of adrenal tumors ex vivo: variability among three CT scanners. AJR Am J Roentgenol 2004;182:671-5.

  20. Iniguez-Ariza NM, Kohlenberg JD, Delivanis DA et al. Clinical, biochemical, and radiological characteristics of a single-center retrospective cohort of 705 large adrenal tumors. Mayo Clin Proc Innov Qual Outcomes 2018;2:30-9.

  21. Young WF. The incidentally discovered adrenal mass. New Engl J Med 2007;356:601-10.

  22. Platzek I, Sieron D, Plodeck V et al. Chemical shift imaging for evaluation of adrenal masses: a systematic review and meta-analysis. Eur Radiol 2019;29:806-17.

  23. Guerin C, Pattou F, Brunaud L et al. Performance of 18F-FDG PET/CT in the characterization of adrenal masses in noncancer patients: a prospective study. J Clin Endocrinol Metab 2017;102:2465-72.

  24. Cawood TJ, Hunt PJ, O'Shea D et al. Recommended evaluation of adrenal incidentalomas is costly, has high false-positive rates and confers a risk of fatal cancer that is similar to the risk of the adrenal lesion becoming malignant; time for a rethink? Eur J Endocrinol 2009;161:513-27.

  25. Stavropoulos K, Imprialos KP, Katsiki N et al. Primary aldosteronism in patients with adrenal incidentaloma: is screening appropriate for everyone? J Clin Hypertens (Greenwich) 2018;20:942-8.

  26. Elamin MB, Murad MH, Mullan R et al. Accuracy of diagnostic tests for Cushing's syndrome: a systematic review and metaanalyses. J Clin Endocrinol Metab 2008;93:1553-62.

  27. Iversen, AB, Trolle, C & Poulsen, PL. Falsk positiv dexamethasonsuppressionstest hos en patient I behandling med carbamazepin. Ugeskr Læger 2014;176:V04130254.

  28. Plum I. Cortisol. Enkeltstående, dansk EQA-program til undersøgelse af rutineanalysemetoder til cortisol. DEKS, Rigshospitalet – Glostrup, 2019.

  29. Ebbehoj AL, Søndergaard E, Trolle C et al. The epidemiology of pheochromocytoma: increasing incidence and changing clinical presentation. A population-based retrospective study 1977-2015. Endocrine Abstracts 2017;49:OC1.4.

  30. Canu L, van Hemert JAW, Kerstens MN et al. CT characteristics of pheochromocytoma - Relevance for the evaluation of adrenal incidentaloma. J Clin Endocrinol Metab 2019;104:312-8.

Woodwing Id
27783
Fil
Conflict of interest
English title
The no-need-to-see process for adrenal incidentalomas
English summary

Christian Trolle, Atul Shukla, Kirsten Alstrup, Andreas Kaal, Stefan Harders, Klavs Würgler Hansen & Per Løgstrup Poulsen

Ugeskr Læger 2020;182:V04200291

With wider application and technical improvement of imaging the discovery of adrenal incidentalomas (AI) has been skyrocketing. AI need to be investigated for evidence of hormonal hypersecretion and malignancy, and this causes a considerable use of health resources and potential medicalisation. In the "no-need-to-see" process, the clinical assessment of the citizen will only take place, if the diagnostic tests are abnormal. In this review, we examine the predictive values of imaging and paraclinical testing and argue, that normal test results in people without extra-adrenal cancer exclude disease.

Authors workplaces

1) Diagnostisk Center Silkeborg, Medicinsk Afdeling, Hospitalsenhed Midt, 2) Medicinsk Afdeling Viborg, Hospitalsenhed Midt, 3) Medicinsk Afdeling, Regionshospitalet Randers, 4) Medicinsk Afdeling, Regionshospital Horsens, 5) Diagnostisk Center Silkeborg, Røntgen og Skanning, Hospitalsenhed Midt, 6) Diabetes og Hormonsygdomme, Aarhus Universitetshospital

Ugeskr Læger 2020;182:V04200291

Bib ref
UgeskrLæger 2020;182:V04200291
Article number
V04200291
Authors

Christian Trolle1, Atul Shukla2, Kirsten Alstrup3, Andreas Kaal4, Stefan Harders5, Klavs Würgler Hansen1 & Per Løgstrup Poulsen6

0 likes