Medlem i

13 years 1 month
Indholdselementer
Billede
Sidebar placering
Venstrestillet


Sarkoidose er en multisystemisk og granulomatøs sygdom af ukendt ætiologi.

Neurosarkoidose optræder hos 5% af patienter med systemisk sarkoidose [1]. Neurosarkoidose inddeles i sarkoidose i centralnervesystemet (CNS) og i det perifere nervesystem.

Resultaterne fra post mortem-studier viser, at kun 50% af sarkoidosepatienterne med neurologiske symptomer diagnosticeres ante mortem [2].

Isoleret neurosarkoidose uden tegn på andre organpåvirkninger er sjælden [3].

Vi præsenterer samtlige seks sygehistorier med neurosarkoidose uden tidligere kendt systemisk sygdom, der i perioden 1990-2008 konsekutivt blev registreret med diagnosen sarkoidose på Neurologisk Afdeling, Glostrup Hospital. En ud af de seks patienter havde kun perifer involvering.

Sygehistorier

I. En 34-årig kvinde blev udredt på grund af hørenedsættelse, svimmelhed og papilødem. Magnetisk resonans (MR)-skanning af cerebrum viste subkortikale højsignallæsioner i højre frontallap og højre side af hjernestammen, desuden fandtes leptomeningeal opladning langs chiasma, begge nervi optici og infundibulum.

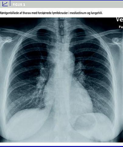
Den endelige diagnose blev stillet ved biopsi af de patologisk forstørrede lymfeknuder i mediastinum og lungehilii, der var påvist ved røntgen og computertomografi af thorax (Figur 1 ).

Undersøgelser af cerebrospinalvæske (CSV) viste leukocytose 38 (< 3) mio/l og forhøjet protein på 1,22 (0,15-0,50) g/l.

Patienten blev behandlet med methylprednisolon og azathioprin med god effekt.

II. En 59-årig mand havde for 16 år siden i begge ben uro og snurrende paræstesier, som svandt spontant. Han blev udredt på grund af imperiøs vandladning, progredierende dysæstesier i begge fødder og fingre samt spasticitet i begge arme og ben.

MR af cerebrum og medulla cervicalis viste højsignalforandringer periventrikulært bilateralt, i corpus callosum og ud for C2-C4.

Røntgen af thorax viste hilusadenitis, og biopsi bekræftede diagnosen sarkoidose. Patienten blev behandlet med højdosis-methotrexat.

III. En 32-årig kvinde debuterede med bilateral perifer facialisparese og aseptisk meningitis med leukocytose på 64 og forhøjet protein på 1,02 i CSV. Forhøjet serum-angiotensinkonverterende enzym (S-ACE) på 64 U/l.

Den histologiske diagnose stilledes ved biopsi fra den massive mediastinale glandelsvulst, der blev påvist ved CT af thorax. Facialisparesen remitterede spontant, men pga. et tiltagende perceptivt høretab opstartedes prednisolonbehandling.

IV. En 37-årig kvinde blev udredt pga. intermitterende fokuseringsbesvær og smertefulde øjenbevægelser.

Patienten havde forhøjet S-ACE: 114 U/l, forhøjet leukocyttal 11, og protein på 0,75 i CSV, MR af cerebrum var normal, og det var visual evoked potential også. Røntgenundersøgelse af thorax viste forstørrede glandler i begge lungehilii og i mediastinum. Biopsien fra en forstørret submandibulær lymfeknude var ikke repræsentativ, men patienten har responderet godt på pred-nisolonbehandling og var symptomfri efter udtrapningen.

V. En 62-årig kvinde blev indlagt med paræstæsier i hænderne, bælteformet strammende fornemmelse omkring abdomen og gangbesvær.

I løbet af seks uger udvikledes perifer facialisparese og generaliseret ataksi, herudover synkebesvær, hypofoni samt progredierende parese og sensibiltetsforstyrrelser i ekstremiteterne. Nerveledningshastig-hedsundersøgelse viste tegn på aksonal neuropati.

CSV: forhøjet leukocyttal på 28 og protein: 1,5.

Finnålsbiopsi fra de hilære forandringer, der blev påvist ved positronemissionstomografi (PET), bekræftede diagnosen.

Symptomerne remitterede efter prednisolonbehandling, men pga. recidiv efter nedtrapningsforsøg suppleredes behandlingen med azathioprin.

VI. En 55-årig kvinde debuterede med venstresidig hørenedsættelse, svimmelhed, balancebesvær og dysæstesier i ekstremiteterne. Hun blev et år efter set med bilateral opticus neuritis. MR af cerebrum viste opladning omkring nervi optici og chiasma. S-ACE og calcium-ion lå højt i normalområdet.

PET-CT viste forstørrede lymfeknuder i mediastinum og hilii og talrige konfluerende epiteloidcellegranulomer blev beskrevet ved histologi.

Patienten responderede initialt på steroid, men behandlingen suppleredes med azathioprin pga. utilstrækkelig effekt.

Konklusion

Neurosarkoidose er en sjælden, men betydningsfuld sygdom, der kan volde diagnostiske udfordringer. Fælles for patienterne er hilusadenitis, der ikke hos alle kan påvises ved røntgen af thorax.

S-ACE var kun forhøjet hos to ud af seks patienter. Diagnosen neurosarkoidose er svær at stille uden biopsi.

Patienterne responderer for det meste godt på kortikosteroider. Erfaring med andre stoffer er begrænsede [4].

De beskrevne seks tilfælde er færre end forventet ud fra hyppigheden opgjort i et landsdækkende incidensstudie [5]. Vores opgørelse gælder kun en enkelt afdeling og er ikke et epidemiologisk studie, men har til formål at belyse mangfoldigheden af denne sygdoms manifestationer.


Melinda Magyari , Nordhøjen 2, 4000 Roskilde. E-mail: melinda_magyari@dadlnet.dk

Antaget: 31. august 2009

Først på nettet: 1. februar 2010

Interessekonflikter: Ingen



Sidebar placering
Venstrestillet
Article type
Journal
Magazine
Section
References

<ol class="Litt-list">
<li>Milman N, Selroos O. Pulmonary sarcoidosis in the Nordic countries 1950-1982. Epidemiology and clinical picture. Sarcoidosis 1990;7:50-7.</li>
<li>Iwai K, Tachibana T, Takemura T et al. Pathological studies on sarcoidosis -autopsy. I. Epidemiological features of 320 cases in Japan. Acta Pathol Jpn 1993;43:372-6.</li>
<li>Nowak DA, Widenka DC. Neurosarcoidosis: a review of its intracranial manifestation. J Neurol 2001;248:363-72.</li>
<li>Zajicek JP, Scolding NJ, Foster O et al. Central nervous system sarcoidosis--diagnosis and management. QJM 1999;92:103-17.</li>
<li>Byg KE, Milman N, Hansen S. Sarcoidosis in Denmark 1980-1994. A registry--based incidence study comprising 5536 patients. Sarcoidosis Vasc Diffuse Lung Dis 2003;20:46-52.</li>
</ol>

Woodwing Id
250822
Fil
Bib ref
Ugeskr Læger 2010;172(48):3344-3345
Authors

Melinda Magyari & Jette Frederiksen Neurologisk Afdeling, Glostrup Hospital

0 likes