Medlem i

12 years 10 months
Indholdselementer

Neurogen autonom dysfunktion (NAD) med samtidig polyneuropati ses ved metaboliske sygdomme, vitaminmangel, infektioner samt neurotoksiske og arvelige tilstande og kan være immunmedieret. NAD uden oplagt årsag kan være udtryk for en sjælden lidelse [1] som beskrevet i denne kasuistik.

 

SYGEHISTORIE

En 56-årig mand blev indlagt med subakut udvikling af sympatisk dysfunktion med ortostatisk hypotension og synkoper. Han havde tegn på parasympatisk dysfunktion med lysintolerans, problemer med at fokusere, tørhed i munden, urinretention og erektil dysfunktion. Mave-tarm-kanalens nervesystem var påvirket, og han havde vekslende diarré og obstipation, mavesmerter samt hurtig mæthedsfornemmelse. Han havde haft et vægttab på 30 kg over ca. seks måneder. Composite Autonomic Symptom Scale 31 [2] blev anvendt til at screene for NAD (Figur 1).

Sidebar placering
Venstrestillet
Billede
Sidebar placering
Venstrestillet

 

Patienten var tidligere rask, fraset operation for en lumbal diskusprolaps og tidligere depression. Objektivt havde han ortostatisk hypotension med et fald i det systoliske blodtryk på > 30 mmHg. Der var tegn på stor- og småfiberpolyneuropati med sviende og brændende fornemmelser i hænder og fødder, nedsat sensibilitet for stik og kulde og allodyni bilateralt fra midt på underbenet og distalt. Vibrationssansen på tæer og ankler manglede, og der var ophævede dybe senereflekser, hammertæer og høj svang.

Den autonome udredning viste småfiberneuropati i et længdeafhængigt mønster med nedsat svedsekretion på venstre fod. Der fandtes svær kardiovagal dysfunktion med stort set fraværende sinusarytmi og svær kardiovaskulær adrenerg dysfunktion ved Valsalvas test og synkope ved vippelejetest. Ved vippelejetest faldt det systoliske/diastoliske blodtryk fra 108/74 til 59/40 mmHg med en samtidig pulsstigning på kun 14 slag/min. Patientens autonome profil er gengivet i [3]. Den elektrofysiologiske undersøgelse viste tegn på aksonal sensomotorisk polyneuropati og muligt højresidigt karpaltunnelsyndrom.

Autoimmun autonom ganglionopati og paraneoplastisk autonom neuropati [4] blev udelukket ved cancerscreening med CT af thorax, abdomen og pelvis samt PET-CT. De paraneoplastiske prøver (bl.a. Hu neuronal nukleær antistof (anti-Hu), collapsin-respons-mediator-protein 5-antistof (anti-CV2/CRMP5) og neuronal acetylkolinreceptor-subunit alfa-3-antistof) var normale. Der blev foretaget kolo- og gastroskopi, som viste normale forhold. På mistanke om immunologisk genese blev der uden klinisk effekt forsøgt fem plasmaferesebehandlinger.

Patienten gennemgik en bred biokemisk polyneuropatiscreening [1]. Der var normal urin, plasma M-

komponent og sænkningsreaktion. Lambdakæder var forhøjede til 140 mg/l (referenceværdi: 5,7-26,3 mg/l) med samtidigt normale kappakæder på 19,2 mg/l (referenceværdi: 3,3-19,4 mg/l) og reduceret kappa-lambda-kæde-ratio på 0,14 mg/l (referenceværdi: 0,26-1,65 mg/l). Den relative forskel mellem kæderne rejste mistanke om plasmacelledyskrasi. En flowcytometri viste 1,2% klonale plasmaceller i knoglemarven med immunfænotypen CD38+/CD138+/icLambda+. En patologisk undersøgelse viste 5-10% klonale plasmaceller i knoglemarven, og ved immunhistokemi var plasmacellerne CD38-positive, multiple myeloma oncogene 1 (MUM1) positive og lambdapositive. Der var ingen amyloidaflejringer i knoglemarv, fedtaspirat eller tyndtarm- og nervus suralis-biopsi. Der var mikroalbuminuri og let troponin T- og pro-brain natriuretic-peptidforhøjelse. Ekg var patologisk med difasiske T-takker i afledning II og V4-V6. Ekkokardiografi viste fænotypisk tegn på restriktiv kardiomyopati med små ventrikelkaviteter, store atrier, betydelig biventrikulær hypertrofi og septumtykkelse på 15 mm. Global longitudinal strain var nedsat med såkaldt apical sparring, hvilket tydede på kardial amyloidose. En højresidig hjertekateterisation viste normalt minutvolumen og tryk.

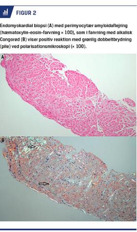
En endomyokardial biopsi viste kardial amyloidose ved bl.a. alkalisk Congorødfarvning (Figur 2). Immunfarvningen tydede på amyloidaflejring med lambdamonoklonalitet. Pga. presserende behandlingsbehov blev der ikke foretaget massespektroskopi, som kunne have sikret undertypen af amyloid hos patienten, som havde plasmacelledyskrasi.

Sidebar placering
Venstrestillet
Billede
Sidebar placering
Venstrestillet

Patienten havde en svær autonom dysfunktion, perifer autonom neuropati, let nyrepåvirkning og restriktiv kardiomyopati pga amyloid-letkæde-amyloidose [5] og blev overflyttet til en hæmatologisk afdeling til kemoterapeutisk behandling.

 

 

DISKUSSION

Sygehistorien illustrerer, at en sjælden lidelse kan unddrage sig diagnose ved rutinescreening. Påvisning af systemisk amyloidose kræver flere screeningsbiopsier herunder fra et formodet involveret organ. NAD og polyneuropati uden oplagt årsag kræver således en multidisciplinær indsats. Det er afgørende, at en neurologisk afdeling med kompetencer i udredning af autonome forstyrrelser er tovholder for en standardiseret udredning som beskrevet i [3].

 

Korrespondance: Astrid Juhl Terkelsen. E-mail: astrterk@rm.dk

Antaget: 15. februar 2018

Publiceret på Ugeskriftet.dk: 2. april 2018

Interessekonflikter: ingen. Forfatternes ICMJE-formularer er

tilgængelige sammen med artiklen på Ugeskriftet.dk

Sidebar placering
Venstrestillet
Article type
Journal
Magazine
Section
References

LITTERATUR

  1. Terkelsen AJ, Karlsson P, Lauria G et al. The diagnostic challenge of small fibre neuropathy: clinical presentations, evaluations, and causes. Lancet Neurol 2017;16:934-44.

  2. Sletten DM, Suarez GA, Low PA et al. COMPASS 31: a refined and abbreviated composite autonomic symptom score. Mayo Clin Proc 2012;87:

    1196-201.

  3. Terkelsen AJ, Hansen J, Klostergaard A et al. Neurogen autonom dysfunktion hos voksne. Ugeskr Læger 2018;180:V08170612.

  4. Iodice V, Sandroni P. Autonomic neuropathies. Continuum (Minneap Minn) 2014;20:1373-97.

  5. Palladini G, Merlini G. What is new in diagnosis and management of light chain amyloidosis? 2016;128:159-68.

Woodwing Id
111509
Fil
Conflict of interest
English title
Neurogenic autonomic dysfunction in primary amyliodosis
English summary

Neurogenic autonomic dysfunction (NAD) and polyneuropathy occur in common conditions like diabetes and alcoholism. However, it can also be seen in rare diseases like in this case report of amyloid light-chain amyloidosis: primary amyloidosis. A 56-year-old man presented with polyneuropathy, a sympathetic dysfunction causing orthostatic intolerance, syncope, parasympathetic dysfunction and involvement of the enteric nervous system. The report illustrates, that routine screening can be insufficient in diagnosing amyloidosis. NAD and polyneuropathy without clear aetiology may require a multidisciplinary elucidation of more rare diseases.

Authors workplaces

1) Neurologisk Afdeling F, Aarhus Universitetshospital 2) Medicinsk Informatik, Institut for Medicin og Sundhedsteknologi, Aalborg Universitet 3) Hæmatologisk Afdeling, Aarhus Universitetshospital 4) Neurofysiologisk Afdeling, Aarhus Universitetshospital 5) Hjertesygdomme, Aarhus Universitets-hospital 6) Medicinsk Hepato-Gastroenterologisk Afdeling V, Aarhus Universitetshospital 7) Urinvejskirurgi, Aarhus Universitets-hospital 8) Patologi, Aarhus Universitetshospital Ugeskr Læger 2018;180:V12170927

Bib ref
Ugeskr Læger 2018;180:V12170927
Article number
V12170927
Authors

Astrid Juhl Terkelsen1, John Hansen2, Anja Klostergaard3, Marit Otto4, Henning Mølgaard5, Christian Lodberg Hvas6, Klaus Krogh6, Hans Jørgen Kirkeby7, Line Bille Madsen8, Henning Andersen1 & Troels Staehelin Jensen1

0 likes