Medlem i

12 years 10 months
Indholdselementer
Billede
Sidebar placering
Venstrestillet


En 37-årig kvinde blev indlagt med svær tonsillitis, hvor den ene tonsil var nekrotisk. Patientens symptomer i form af feber, almen utilpashed, synkebesvær og smerter i halsen opstod akut og forværredes trods fire dages penicillinbehandling. Under indlæggelsen fik hun mavesmerter, og blodprøver viste, at hun led af pancytopeni.

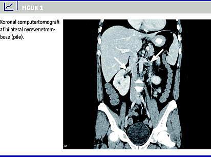
Hun blev overflyttet til en hæmatologisk afdeling, hvor resultaterne af en knoglemarvsbiopsi viste, at der var tale om akut myeloid leukæmi (AML). Ved en senere computertomografi (CT) af abdomen foretaget med intravenøs kontrastvæske sås bilateral nyrevenetrombose (Figur 1 ), formentlig pga. koagulopati, der var forårsaget af leukæmien.

SYGEHISTORIE

En 37-årig kvinde blev henvist af lægevagten pga. svær tonsillitis. Patientens symptomer var begyndt fire døgn forinden i form af udtalt træthed, feber, kulderystelser, kvalme, en enkelt tynd afføring, tiltagende synkebesvær og ondt i halsen. Dagen efter, at hendes tonsillitis var blevet konstateret, blev hun sat i penicillinbehandling af lægevagten. Tilstanden blev værre, og i de sidste to dage op til indlæggelsen spiste hun sparsomt og kun tyndtflydende kost.

Derudover var hun igennem tre uger blevet svimmel i forbindelse med fysisk anstrengelse, og igennem et halvt år havde hun ugentligt lidt af nattesved i en grad, så der var behov for at skifte nattøj. Igennem det seneste år havde hun haft to penicillinkrævende halsbetændelser. Hun havde ingen andre symptomer, heller ikke vægttab.

Ved den objektive undersøgelse var hun akut påvirket af smerter og lettere dehydreret, respirationen var normal (iltmætning 98%), og blodtrykket var 116/60 mmHg. Hun havde feber og let sinustakykardi, men intet septisk præg.

Ved undersøgelse af mundhulen så man, at tonsillerne var inflammerede med belægninger, uden peritonsillær absces, men med en nekrotisk øvre pol på venstre side. Ved fiberlaryngoskopi fandt man ingen abnormiteter ud over det anførte.

Initialt blev der påbegyndt gængs regime med intravenøst givet højdosispenicillinbehandling, smertestillende midler og væsketerapi.

Under indlæggelsen fik hun pludseligt indsættende mavesmerter af et kvarters varighed under højre kurvatur. Efter at smerterne var klinget af, var der fortsat murren og objektiv ømhed under højre kurvatur uden peritoneal reaktion samt let ømhed i epigastriet. Hun havde ingen galdestensanamnese.

Blodprøverne viste pancytopeni med et lavt hæmoglobinniveau på 4,8 mmol/l, et trombocytniveau på 57 mia./l, et leukocytniveau under 0,5 mia./l og en umålelig differentialtælling. Derudover var de væsentligste fund: C-reaktivt protein på 279 mg/l, forhøjede levertal med basisk fosfatase på 132 E/l, aspartat-aminotranaminase på 59 E/l, international normalised ratio på 0,39 og kaliumniveau på 2,8 mmol/l.

På grundlag af paraklinikken fik man mistanke om, at der var tale om leukæmi, og patienten blev overflyttet til en hæmatologisk afdeling. Forinden påbegyndte man bredspektret intravenøs piperacillin-, tazobactam- og ciprofloxacinbehandling samt gav blodtransfusion og oral kaliummikstur.

En knoglemarvsbiopsi viste, at der var tale om AML, og patienten blev sat i relevant behandling.

En efterfølgende subakut CT af abdomen viste bilateral nyrevenetrombose (Figur 1), som blev tolket som koagulopati, der var forårsaget af leukæmien, og patienten blev sat i behandling med tinzaparin [1].

DISKUSSION

Det er velkendt, at hæmatologiske lidelser kan have otolaryngologiske manifestationer i form af infektioner pga. immunsupprimering (nedsat antistofrespons og cellemedieret respons pga. leukopeni) enten patologisk eller som følge af behandlingen. Der kan være tale om tonsillitis, faryngitis, akut epiglottitis, masto-iditis, dental absces, parafaryngeal absces, peritonsillær absces, otitis externa eller otitis media. Toksiske manifestationer forekommer også i form af oral stomatitis, facialis parese, sensorineuralt høretab og dysfunktion af plicae vocales. Blødninger, primært i form af anterior og posterior epistaxis, kan forårsages af trombocytopeni [2]. Der kan forekomme infiltration af leukæmiceller i tonsiller, gingiva, ører, larynx og spytkirtler eller lymfom i lymfeknuder [2, 3].

Tonsillitis acuta forekommer hyppigt, og der ses årligt mindst 400.000 tilfælde i Danmark [4]. Imid-lertid er tilstanden sjælden som første tegn på akut myeloid leukæmi [4].

Det er vigtigt at være opmærksom på muligheden for alvorlig tilgrundliggende sygdom ved et svært og usædvanligt forløb af akut tonsillitis. Det tværfaglige samarbejde mellem otolaryngologer og hæmatologer er essentielt i diagnosticeringen og behandlingen af otolaryngologiske manifestationer af hæmatologiske lidelser.

src="/LF/images_ufl/ufl_bla.gif">
Javed Akram, Øre-næse-halskirurgisk Afdeling E, Køge Sygehus, Lykkebækvej 1, 4600 Køge. E-mail: javedakram@hotmail.com

ANTAGET: 7. marts 2012

FØRST PÅ NETTET: 9. april 2012

INTERESSEKONFLIKTER: Forfatternes ICMJE-formularer er tilgængelige sammen med artiklen på Ugeskriftet.dk


  1. Neegaard HF, Iversen PO, Østenstad B et al. Hypercoagulability in patients with haematological neoplasia: no apparent initiation by tissue factor. Thromb Haemost 2008;99:1040-8.
  2. Fierstein JT, Thawley SE. Otolaryngologic manifestations of acute leukemia and lymphoma. South Med J 1978;71:277-80.
  3. de Vincentiis GC, Sitzia E, Bottero S et al. Otolaryngologic manifestations of pediatric immunodeficiency. Int J Pediatr Otorhinolaryngol 2009;73(suppl 1):S42-8.L>
  4. Ovesen T, Buchwald Cv. Lærebog i øre-næse-hals-sygdomme og hoved-hals-kirurgi. København: Munksgaard, 2011:265-6.
Sidebar placering
Venstrestillet
Article type
Journal
Magazine
Section
References

<ol class="Litt-list">
<li>Neegaard HF, Iversen PO, Østenstad B et al. Hypercoagulability in patients with haematological neoplasia: no apparent initiation by tissue factor. Thromb Haemost 2008;99:1040-8.</li>
<li>Fierstein JT, Thawley SE. Otolaryngologic manifestations of acute leukemia and lymphoma. South Med J 1978;71:277-80.</li>
<li>de Vincentiis GC, Sitzia E, Bottero S et al. Otolaryngologic manifestations of pediatric immunodeficiency. Int J Pediatr Otorhinolaryngol 2009;73(suppl 1):S42-8.</li>
<li>Ovesen T, Buchwald Cv. Lærebog i øre-næse-hals-sygdomme og hoved-hals-kirurgi. København: Munksgaard, 2011:265-6.</li>
</ol>

Woodwing Id
241232
Fil
Conflict of interest
Bib ref
Ugeskr Læger 2012;174(36):2082-2083
Authors

Javed Akram, Pernilla Josefsson & Frans Rømeling Øre-næse-halskirurgisk Afdeling, Køge Sygehus

0 likes