Medlem i

12 years 10 months
Indholdselementer

Nekrobiotisk xantogranulom (NXG) er en sjælden, benign hudlidelse. Incidensen er ukendt, dog er der i litteraturen publiceret ca. 100 kasuistikker om sygdommen, siden den blev beskrevet for første gang af Kossard & Winkelmann i 1980’erne [1, 2]. Det er en histiocytisk sygdom, som er karakteriseret af langsom vækst af dermale og subkutane gule og røde noduli og plaques. Sårdannelse, atrofi og telangiektasier kan forekomme. Mere end 80% af tilfældene involverer orbitalregionen [2, 3]. Sygdommen er associeret med forskellige hæmatologiske lidelser, deriblandt non-Hodgkin-lymfom og myelodysplastisk syndrom. Patogenesen er ukendt, og behandlingen afhænger af den anatomiske lokalisation og evt. tilstedeværelse af anden hæmatologisk sygdom [4].

SYGEHISTORIE

En 89-årig kvinde med hjertesvigt og hypertension blev henvist til en øre-, næse- og halsafdeling med en subkutan tumor ved højre orbitarand. Hun havde haft den uømme knude i ca. seks måneder. Der kunne palperes en 10 × 10 × 5 mm stor, fast og frit forskydelig tumor uden hudaffektion. Ved et finnålsaspirat påvistes sammenhængende grupper af ensartede epitelialt udseende celler med kerner med jævn kromatinstruktur. Det drejede sig om cytomorfologisk benigne celler, som kunne stamme fra en benign hudadnekstumor. Patienten blev anbefalet eksstirpation af knuden, men valgte at afvente og se, om tumoren gav hende gener.

Knap et år senere blev hun genhenvist pga. tiltagende størrelse af tumoren og gennembrud til huden med sårdannelse, der var klinisk suspekt for nonmelanomhudkræft. Ultrasonisk sås et hypoekkoisk område, og der blev taget et finnålsaspirat, som var cellefattigt og inkonklusivt. Man valgte at foretage en knivbiopsi. Den histologiske diagnose var planocellulært karcinom (PCC) pga. udtalt epitelhyperplasi og uskarpt afgrænset epitel med atypi beliggende i dermis. Patienten blev med henblik på videre behandling henvist til en plastikkirurgisk afdeling, hvor man i tillæg til tidligere undersøgelser udførte en MR-skanning, som viste en 30 × 18 mm stor subkutan tumor ved højre laterale orbitavæg (Figur 1), samt en CT, som afkræftede mistanke om indvækst i knoglen. Patienten ønskede udelukkende kirurgisk behandling, og tilfældet blev derfor ikke drøftet på en multidisciplinær team-konference. Tumoren blev fjernet, og defekten lukket med direkte suturering. Det endelige histologisvar viste radikalt fjernet NXG uden tegn på det tidligere knivbiopterede PCC.

Sidebar placering
Venstrestillet
Billede
Sidebar placering
Venstrestillet

DISKUSSION

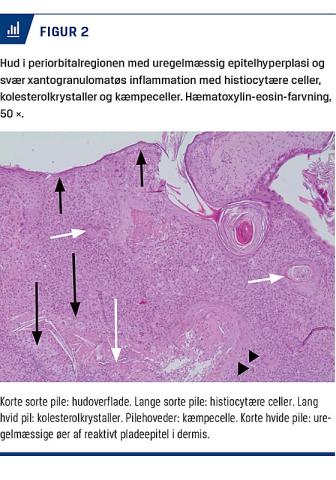
NXG er en sjælden lidelse, der kan omfatte huden på truncus, ekstremiteterne og periobitalregionen [1, 2]. Ud over subkutane noduli og plaques kan der forekomme uveitis, iritis og keratitis [5]. Patienten i sygehistorien havde i periorbitalregionen en langsomt progredierende subkutan udfyldning (Figur 2), der til sidst brød igennem til huden. Initialt blev der udført et finnålsaspirat, hvor man ikke fandt tegn til malignitet. Her kunne man have overvejet en grovnålsbiopsi, men patienten havde på dette tidspunkt ingen gener og ville kun have afkræftet mistanken om en kræftsygdom, hvilket finnålsaspiratet gjorde. Et år senere, da hun var generet af tumoren, blev der udført en knivbiopsi, som viste PCC. De objektive fund, såsom en subkutan tumor og ulcusdannelse, kan klinisk være forenelige med PCC eller måske nærmere basocellulært karcinom, og det ses ofte periorbitalt hos ældre. Men den langsomme og ikkeinvasive vækst taler imod diagnosen. NXG er en benign hudlidelse, der vokser lokalt og ikke metastaserer i modsætning til planocellulært karcinom. I litteraturen er det ikke kendt, at NXG histologisk kan mistolkes som PCC.

Sidebar placering
Venstrestillet
Billede
Sidebar placering
Venstrestillet

Der er ingen guldstandard for behandling af NXG. I litteraturen er der afprøvet mange forskellige behandlingsmodaliteter, såsom excision, lokale steriodinjektioner, kemoterapi, stråleterapi og interferon-alpha. NXG kan behandles med kirurgi eller laserbehandling hos patienter, som ikke har andre hæmatologiske lidelser, men pga. den høje risiko for recidiv på 42% anbefaler man ikke kirurgisk fjernelse af NXG i første omgang [2]. Hos patienten i sygehistorien blev NXG tolket som PCC og derfor eksstirperet. Patienter, der diagnosticeres med NXG, bør undersøges for hæmatologiske lidelser, da manifestation af disse kan forekomme flere år efter hudmanifestationen [5]. Patienten i sygehistorien blev tilbudt opfølgning og videreudredning, men fravalgte dette.

Sygdommens sjældenhed gør det svært at stille diagnosen, og formålet med denne artikel er at gøre læger opmærksomme på NXG.

Korrespondance: Wahida Chakari. E-mail: wahida.c@hotmail.com

Antaget: 7. februar 2019

Publiceret på Ugeskriftet.dk: 1. april 2019

Intressekonflikter: ingen. Forfatternes ICMJE-formularer er tilgængelige sammen med artiklen på Ugeskriftet.dk

Sidebar placering
Venstrestillet
Article type
Journal
Magazine
Section
References

LITTERATUR

  1. Kossard S, Winkelmann RK. Necrobiotic xanthogranuloma. Australas J Dermatol 1980;21:85-8.

  2. Miguel D, Lukacs J, Illing T et al. Treatment of necrobiotic xanthogranuloma – a systematic review. J Eur Acad Dermatol Venereol 2017;31:221-35.

  3. Flann S, Wain EM, Halpern S et al. Necrobiotic xanthogranuloma with paraproteinaemia. Clin Exp Dermatol 2006;31:248-51.

  4. Reeder CB, Connolly SM, Winkelmann RK. The evolution of Hodgkin’s disease and necrobiotic xanthogranuloma syndrome. Mayo Clin Proc 1991;66:1222-4.

  5. Luck J, Layton A, Noble BA. Necrobiotic xanthogranuloma with orbital involvement. J R Soc Med 1992;85:357-8.

Woodwing Id
1
Fil
Conflict of interest
English summary

Wahida Chakari, Filip Rangatchew, Navid Mohamadpour Toyserkani & Anette Andersen Pilt:

Necrobiotic xanthogranuloma misdiagnosed as a planocellular carcinoma

Ugeskr Læger 2019;181:V11180800

In this case report, an 89-year-old woman presented with a subcutaneous tumour in the orbital region. Fine needle aspiration showed no signs of malignancy. Following progressive tumour growth and cutaneous manifestation, an incisional biopsy was taken, which showed squamous cell carcinoma. The tumour was excised, and the pathological report showed necrobiotic xanthogranuloma being a rare histiocytic disease characterised by slow growth of nodules and plaques. Because it is rare, it can pose a diagnostic challenge, which is why, this report is an attempt to shed light on the disease and to aid its diagnosis.

Authors workplaces

1) Plastik- og Brystkirurgisk Afdeling, Sjællands Universitetshospital, Roskilde. 2) Patologisk Afdeling, Sjællands Universitetshospital, Roskilde

Ugeskr Læger 2019;181:V11180800
Bib ref
Ugeskr Læger 2019;181:V11180800
Article number
V11180800
Authors

Wahida Chakari1, Filip Rangatchew1, Navid Mohamadpour Toyserkani1 & Anette Andersen Pilt2

0 likes