Medlem i

13 years 1 month
Indholdselementer

Mycoplasma pneumoniae er en bakterie, som mangler cellevæg. Den er resistent over for betalaktamaseantibiotika, men følsom for makrolider. Den overføres ved dråbebåret smitte og spredes typisk på steder, hvor mange mennesker er tæt samlet. Inkubationstiden er 2-3 uger og organismen kan kultiveres fra sputum op til måneder efter klinisk effektiv behandling. Børn har tendens til at få øvre luftvejsinfektioner, mens ældre typisk får pneumoni. Infektionen er sjældent indlæggelseskrævende. Kardinalsymptomet er langvarig tør hoste.

I mindst 50% af infektionerne dannes der kuldeagglutininer, som i sjældne tilfælde kan forårsage klinisk betydende autoimmun hæmolytisk anæmi [1]. Her beskrives to patienter med M. pneumoniae-udløst autoimmun hæmolytisk anæmi.

SYGEHISTORIER

I. En 50-årig tidligere rask mand blev indlagt på en hæmatologisk afdeling efter to uger med vægttab, feber, træthed, hoste og dyspnø uden effekt af penicillin eller amoxicillin. Ved indlæggelsen var han dyspnøisk med en respirationsfrekvens på 36/min. En røntgenundersøgelse af thorax viste ingen samlede infiltrater. Paraklinisk blev der målt følgende værdier: leukocytter
50,7 mia./l med granulocytose, C-reaktivt protein (CRP) 127 mg/l, hæmoglobin 3,1 mmol/l, retikulocytter 63 mia./l, haptoglobin < 0,08 g/l, laktatdehydrogenase 2.280 E/l, bilirubin 67 mikromol/l. En direkte antiglobulintest (DAT) var positiv for anti-C3d og negativ for antiimmunglobulin (Ig)G. Kuldeagglutinintiterniveauet blev målt til 2.048.

Patienten blev sat i behandling med clarithromycin, cefuroxim, prednisolon og initialt også rituximab. Han fik opvarmet blod, og stuen blev opvarmet til 30 °C.
På dag tre var der en positiv polymerasekædereaktion (PCR) for M. pneumoniae i ekspektoratet. Patienten fik fortsat clarithromycin givet i.v. indtil dag fem, og hæmolyseaktiviteten aftog hurtigt. Han kunne udskrives med i alt ti dages peroral antibiotikakur.

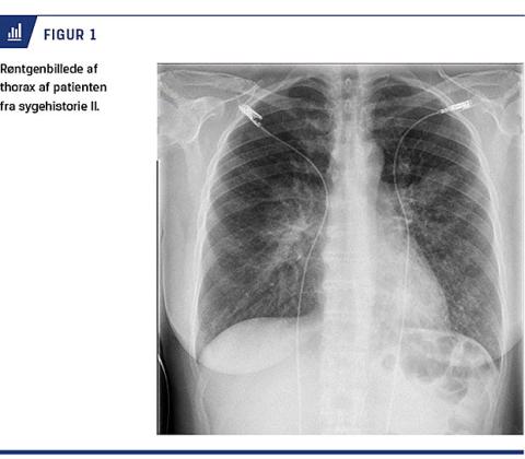
II. En 47-årig tidligere rask kvinde blev indlagt på en infektionsmedicinsk afdeling. Hun var svært dyspnøisk og febril efter seks dages influenzalignende symptomer uden effekt af en penicillinkur. Paraklinisk blev der målt følgende værdier: leukocytter 9,8 mia./l og CRP: 195. Der var normale værdier for hæmoglobin og P-bilirubin. En røntgenundersøgelse af thorax (Figur 1) viste infiltrater bilateralt, og hun blev sat i behandling med penicillin og clarithromycin givet i.v. Penicillinen blev
seponeret, efter at der var en positiv PCR-reaktion for M. pneumoniae. Pga. manglende effekt på dag fem tillagde man ciprofloxacin for at undgå evt. makrolidresistens. På dag seks faldt hæmoglobinniveauet til 3,2 mmol/l og P-haptoglobinniveauet til 0,08 g/l. P-bilirubinniveauet steg til 78 mikromol/l og retikulocytniveauet til 29 mia./l. På mistanke om kuldeagglutininudløst autoimmun hæmolytisk anæmi, kom patienten i behandling med prednisolon og blev optransfunderet med opvarmet blod. Dagen efter blev blodprøverne testet DAT-positive for antiC3d og negative for anti-IgG. Der blev desuden målt et kuldeagglutininniveau på 256. På dag otte fik patienten knugende brystsmerter og blev overflyttet til kardiologisk regi, hvor man diagnosticerede et iskæmiudløst type 2-akut myokardieinfarkt uden sequelae. Derefter aftog hæmolysen hurtigt, og på dag 15 kunne hun udskrives til ambulant kontrol. Ciprofloxacin blev seponeret på dag 14 og clarithromycin på dag 22. På dag 26 tog man en ny ekspektoratprøve, som viste makrolidresistente M. pneumoniae-bakterier.

Sidebar placering
Venstrestillet
Billede
Sidebar placering
Venstrestillet

DISKUSSION

Ved autoimmun hæmolyse med kuldeantistoffer forekommer autoantistoffer med virkningsoptimum ved en temperatur < 37 °C, hyppigst rettet mod erytrocytantigenet I/i. Som regel er der IgM- og sjældent IgG-antistoffer [2]. Hæmolysen sker dels intravaskulært pga. aktivering af den klassiske komplementkaskade, og dels ekstravaskulært som følge af binding til leverens Fc-receptorer[3]. Ved mistanke udføres DAT, der typisk er positiv for anti-C3d, men negativ for anti-IgG. IgM er svær at påvise, og der testes derfor ikke for anti-IgM. Om der in vivo er hæmolyse, afhænger af den termiske amplitude for antistoffet (Figur 2). Kuldeantistoffernes aktivitet tiltager med faldende temperatur, hvorimod aktiviteten af komplement aftager. Der kræves et overlap, før der ses hæmolyse. Ikke alle kuldeagglutininer har derfor biologisk betydning. Tilstanden ses bl.a. ved infektioner med M. pneumoniae og Epstein-Barr-virus. Behandlingen rettes mod den udløsende infektion og indebærer opvarmning af blod og omgivelser.

Sidebar placering
Venstrestillet
Billede
Sidebar placering
Venstrestillet

Den kliniske præsentation i de to sygehistorier var vidt forskellig, hvilket understreger vigtigheden af præcis mikrobiologisk diagnostik.

Makrolidresistens af M. pneumoniae ses sjældent i Danmark, men er et stigende problem, særligt i Asien, hvor man i undersøgelser har påvist resistens hos op til 90% hos børn [4] og 71% hos voksne [5]. Makrolidresistens undersøges ikke rutinemæssigt i Danmark, men kan være relevant ved manglende makrolidbehandlingsrespons.

Korrespondance: Anne Lisbeth Bohr.
E-mail: annebohr@hotmail.com

Antaget: 16. juni 2015

Publiceret på Ugeskriftet.dk: 19. oktober 2015

Taksigelse: Radiologisk Afdeling, Herlev Hospital, takkes for udlevering af røntgenbilleder.

Interessekonflikter: Forfatternes ICMJE-formularer er tilgængelige sammen med artiklen på Ugeskriftet.dk

Sidebar placering
Venstrestillet
Article type
Journal
Magazine
Section
References

<h2>Litteratur </h2>
<ol type="d">
<li><p>Roelcke D. Cold agglutination. Transfus Med Rev 1989;2:140-66.</p></li>
<li><p>Swiecicki PL, Hegerova LT, Gertz MA. Cold agglutinin disease. Blood 2013;122:1114.</p></li>
<li><p>Kirschfink M, Knoblauch K, Roelcke D. Activation of complement by cold agglutinins. Infusionsther Transfusionsmed 1994;21:405-9.</p></li>
<li><p>Zhao F, Liu G, Cao B et al. Surveillance of macrolide resistant Mycoplasma pneumonia in Beijing, China, from 2008-2012. Antimicrob Agents Chemother 2013;57:1521-3.</p></li>
<li><p>Yin YD, Cao B, Wang H et al. Survey of macrolide resistance in Mycoplasma pneumoniae in adult patients with community-acquired pneumonia in Beijing, China. Zhonghua Jie He He Hu Xi Za Zhi 2013;36:954-8.</p></li>
</ol>

Woodwing Id
61787
Fil
Conflict of interest
English title
Severe haemolysis caused by Mycoplasma pneumoniae
English summary

Mycoplasma pneumoniae is naturally resistant to beta&shy;lactamase antibiotics but is sensitive to macrolides. Occa&shy;sionally, infections with M. pneumoniae can lead to severe anaemia due to its ability to cause haemolysis when cold agglutination occurs. Increasing bacterial resistance to macrolid antibiotics is a growing concern worldwide. We present two cases where infection with M. pneumoniae caused severe haemolysis, one of which was macrolide-resistant.

Authors workplaces

1) Øre-næse-hals-afdelingen, Nordsjællands Hospital
2) Hæmatologisk Afdeling, Herlev Hospital
3) Infektionsmedicinsk Afdeling, Herlev Hospital

Ugeskr Læger 2015;177:V03150207

Bib ref
Ugeskr Læger 2015;177:V03150207
Article number
V03150207
Authors

Anne Lisbeth Bohr1, Thomas Granum Aagaard2, Henrik Birgens2 & Christian Søborg3

0 likes