Medlem i

12 years 10 months
Indholdselementer
Billede
Sidebar placering
Venstrestillet


Mycoplasma genitalium blev første gang isoleret og beskrevet for godt 20 år siden. Diagnostikken var initialt besværliggjort af en op til to måneder lang dyrkningstid. Udvikling af polymerasekædereaktionsteknikken har betydet en væsentlig forenkling af undersøgelse for M. genitalium i klinisk praksis. Der foreligger nu undersøgelser, som synes at vise, at organismen forårsager urogenital infektion i et omfang, der nærmer sig Chlamydias. De fleste isolationsstudier er foretaget fra urethra hos mænd og M. genitalium og C. trachomatis kan påvises med stort set samme frekvens fra dette område og uden nogen indbyrdes relation mellem de to organismer. Hos kvinder er M. genitalium isoleret fra urethra, men der er ikke påvist en sikker sammenhæng mellem organismen og nongonoroisk uretritis. Der er ligeledes ikke påvist nogen sammenhæng mellem vaginitis og bakteriel vaginose og forekomst af M. genitalium. Der er derimod registreret en øget isolationsfrekvens af M. genitalium hos kvinder med cervicitis, om end en direkte ætiologisk sammenhæng med patogenisitet ikke er påvist. Resultaterne af både dyreeksperimentelle, serologiske og kliniske undersøgelser tyder på, at M. genitalium i de øvre genitalier måske kan fremkalde akut inflammation i tubaepitelet, men frekvensen af senfølger i form af tubar graviditet, nedsat fertilitet og sterilitet er uafklaret. Der foreligger kun ganske få opgørelser over en mulig sammenhæng mellem positiv hiv-status og genital infektion med M. genitalium. Resultaterne tyder dog på, at blandt mænd med aids er isolationsfrekvensen højere end blandt hiv-smittede uden aids og blandt raske. In vitro er M. genitalium følsom for makrolider, tetracykliner og fluoroquinoloner. In vivo synes det mest effektive at være behandling med azithromycin.

I 1980 blev en ny mykoplasma, Mycoplasma genitalium, isoleret fra urethra hos to af 13 mænd med nongonoroisk uretrit [1]. Hermed blev antallet af kendte mykoplasmer hos mennesker øget til 14, hvoraf M. pneumonia, som årsag til mykoplasmapneumoni, og M. hominis, som mulig patogen i urogenitalsystemet, er de bedst kendte.

M. genitalium er vanskelig at dyrke og kræver op mod to måneders inkubationstid. Ved udvikling af polymerasekædereaktion (PCR)-teknik til identifikation af M. genitalium er diagnostikken blevet væsentlig mere tilgængelig specielt i forbindelse med kliniske undersøgelser. Dette har medført en række publikationer, hvori M. genitalium udlægges som årsag til seksuelt transmitteret uretritis og cervicitis, og det i et omfang, der nærmer sig tilsvarende infektioner forårsaget af Chlamydia trachomatis. Resultaterne af dyreeksperimentelle studier og serologiske undersøgelser tyder desuden på, at organismen er patogen i de øvre genitalier hos kvinder.

I forbindelse med udarbejdelsen af nærværende artikel har vi søgt i MEDLINE under Mycoplasma genitalium. Originaliteten og kvaliteten af disse artikler har primært været grundlag for at inkludere dem i de maksimalt 40 referencer, som må citeres i en oversigtsartikel. Der fandtes ingen rapporter omhandlende M. genitalium på Cochrane.

Karakteristika

M. genitaliums genom har en størrelse på 580 kb, og den er dermed den mindste af alle kendte mykoplasmer hos mennesker [2]. Organismen er som andre mykoplasmer pleomorf. Den har i enden et kroglignende vedhæng, som bevirker, at M. genitalium kan fæste sig på epitelceller, glas og plastikoverflader, en egenskab som også M. pneumoniae, men ikke M. hominis har. Desuden er den terminale ende i stand til at penetrere celler [3]. Der er beskrevet en vis motilitet af organismen.

M. genitalium danner karakteristiske spejlæglignende kolonier. Væksten er meget langsom; 50-60 dage [1, 4, 5]. Der er udviklet molekylærteknik til påvisning af infektion med M. genitalium som erstatning for den meget tidskrævende dyrkningsteknik. DNA-test til identifikation af M. genitalium blev først anvendt til påvisning af organismen blandt mænd med akut eller kronisk uretritis, der blev sammenlignet med en gruppe raske mænd [6]. I de følgende år blev PCR-teknikken til påvisning af infektion med M. genitalium udviklet først og fremmest af Jørgen Skov Jensen et al på Statens Serum Institut [7]. Samme gruppe har fundet, at undersøgelse af friskladt morgenurin fra både mænd og kvinder har en sensitivitet på 95% testet ved PCR og dermed synes at være mere sikker end prøvetagning med en podepind [8]. Serologisk kan M. genitalium adskilles fra alle andre mykoplasmer, om end der er en moderat krydsreaktion med M. pneumoniae [9, 10].

Forekomst af M. genitalium i urinvejene

M. genitalium blev først fundet hos to ud af 13 mænd med akut nongonoroisk uretritis (NGU) [1]. Efterfølgende fandt samme forskergruppe M. genitalium i urethra hos syv ud af 22 mænd med akut NGU. Identifikationen af disse mykoplasmer foregik ved dyrkning, som var meget besværlig og tidsrøvende. Karakteristikken af M. genitaliums udbredelse har dog først taget fart efter udviklingen af PCR-teknik, hvorved identifikationen er blevet væsentlig hurtigere. Det har resulteret i en række arbejder med hovedvægt på M. genitaliums rolle i uretritis hos mænd. I undersøgelser rapporteres der om en isolationsfrekvens på 13-33% blandt mænd med akut NGU [11, 12]. M. genitalium er primært isoleret fra urethra og de nedre genitalier hos kvinder. Det er i både seroepidemiologiske studier og undersøgelser af seksualpartnere til M. genitalium- positive personer [12] påvist, at organismen tilhører gruppen af seksuelt overførbare organismer. M. genita lium er desuden isoleret fra rectum [13] og fra respirationsvejene [14, 15].

Blandt mænd med akut nonklamydia, nongonoroisk uretritis varierer isolationsfrekvensen af M. genitalium fra 18% til 45% [12, 16] og skal sammenlignes med en isolationsfrekvens på 1-10% blandt mænd uden tegn på uretritis [17, 18]. M. genitalium findes således signifikant hyppigere i urethra hos mænd med akut NGU end hos asymptomatiske mænd.

I et nyligt publiceret oversigtsarbejde blev 20% af mændene med NGU fundet at være positive for M. genitalium sammenholdt med 8% af mændene uden NGU (p < 0,00001) [19]. Sammenlignet med C. trachomatis finder man, at de to organismer isoleres stort set lige hyppigt, men at M. genitalium ikke isoleres hyppigere fra mænd med chlamydia- fremkaldt uretritis. M. genitalium synes således at være patogen i urethra hos mænd og med en hyppighed, som er sammenlignelig med chlamydias.

M. genitalium som årsag til kronisk NGU er mindre belyst. I et studie er M. genitalium og ureaplasmer isoleret signifikant hyppigere fra mænd med kronisk uretritis end fra mænd i en kontrolgruppe [20]. Det må konkluderes, at der er en stærk og entydig relation mellem M. genitalium og akut NGU, og at forekomsten er uafhængig af tilstedeværelsen af C. trachomatis.

Resultaterne af dyreeksperimentelle forsøg understøtter M. genitaliums patogenesitet i uro-genitalsystemet. Direkte inokulation af organismen i urethra på hanchimpanser resulterede i en inflammatorisk tilstand, der var stort set identisk med NGU hos mænd. Den eksperimentelt fremkaldte mykoplasmainfektion var karakteriseret af uretralt fluor, der indeholder talrige polymorfnukleære leukocytter [21, 22].

M. genitalium er blevet isoleret fra prostata hos nogle få procent af mænd med kronisk prostatitis [23]. Organismens betydning for prostatitis er langtfra klarlagt, dog må det inflammatorisk nære slægtskab mellem M. genitalium og C. trachomatis give mistanke om, at mykoplasma ikke alene er patogen i urethra, men også i prostata og epididymis. Blandt homoseksuelle mænd er M. genitalium blevet isoleret fra rectum [13]. Kommende undersøgelser kan forhåbentlig kaste yderligere lys over disse sammenhænge.

M. genitaliums rolle som årsag til uretritis hos kvinder er ikke klarlagt. Mykoplasmen er isoleret fra uretra, men der synes ikke at være en sikker sammenhæng mellem organismen og NGU [24].

Forekomsten af M. genitalium i genitalier hos kvinder

Der er ikke påvist nogen sammenhæng mellem forekomst af M. genitalium og vaginitis eller bakteriel vaginose [25, 26].

Cervicitis er ikke en veldefineret tilstand, men er baseret på klinisk fund af cirkumorificiel rødme, cervikalt fluor og letblødende portiooverflade; fund, der vanskeligt kan skelnes fra fund hos kvinder med ikkeinflammatorisk induceret ektopi af cylinderepitel på portioslimhinden. Med dette forbehold er det i flere arbejder fundet, at M. genitalium synes at være relateret til cervicitis. I et japansk arbejde [17] isoleredes organismen hos fem ud af 57 (9%) kvinder med cervicitis og hos ingen af 79 kvinder med normal cervix. I et senere amerikansk arbejde [26] fandt man M. genitalium i 30 ud af 470 (6,4%) kvinder med cervicitis. Kvinder med klassisk mukopurulent cervicitis havde i denne undersøgelse fem gange så høj isolationsfrekvens som kvinder uden kliniske tegn på cervicitis.

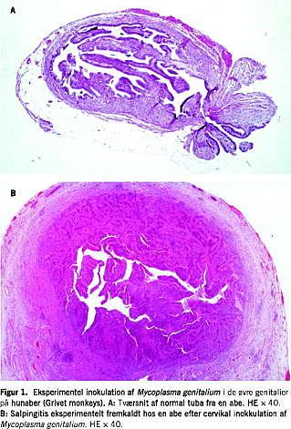
M. genitaliums patogene potentiale er bedre belyst i relation til infektion i de øvre genitalier hos kvinder. I en række dyreeksperimentelle undersøgelser er disse kliniske observationer blevet bestyrket. Eksperimentel inokulation af M. genitalium på aber fremkaldte moderat til svær endosalpingitis (Figur 1 ). Et serologisk antistofrespons blev ligeledes påvist hos samtlige aber [27]. De inflammatoriske fund i tuba er stort set identiske med de forandringer, der ses ved Chlamydia salpingitis. Derimod ligner infektionen ikke det inflammatoriske respons, der ses ved inokulation med andre genitale mykoplasmer, primært M. hominis og M. fermentans, der begge fremkalder parametritis og eventuelt eksosalpingitis, men ikke endosalpingitis [27, 28]. Denne forskel i patogenesitet blandt de genitale mykoplasmer er formentlig relateret til det forhold, at M. genitalium har en kroglignende struktur, der muliggør adhæsion til forskellige overflader og herunder specielt tubaepitelet. En egenskab de andre genitale mykoplasmer ikke har.

I et klinisk studie [29] blev M. genitalium isoleret fra ni ud af 58 (16%) kvinder med histologisk verificeret endometritis og kun hos en ud af 57 (2%) kvinder uden tegn på endometritis. Et vægtigt indicium på M. genitaliums patogene rolle i de øvre genitalier er en serologisk signifikant stigning i antistof mod mycoplasmen [30]. Blandt 166 kvinder med akut pelvic inflammatory disease (PID) var der således hos 31 kvinder intet antistof mod hverken C. trachomatis eller M. hominis. Ved undersøgelsen af denne gruppe for udvikling af antistof mod M. genitalium i sygdomsforløbet var der hos ca. halvdelen (16 ud af 31 (52%)) stadig intet M. genitalium- antistof. Ni af kvinderne havde stationær titerforhøjelse mod M. genitalium. Dette fund tyder på en tidligere infektion med M. genitalium, men uden relation til den aktuelle PID. De resterende 12 (39%) kvinder havde en signifikant (firefold eller højere) ændring i specifikke antistoffer mod M. genitalium gennem sygdomsforløbet registreret over en måned. Et sådant serologisk forløb forklares utvunget af et akut inflammationsforløb fremkaldt af den pågældende organisme. I en lille undersøgelse af patienter med PID blev der påvist M. genitalium hos seks ud af 45 kvinder, mens den ikke kunne påvises i endocervikale prøver fra 37 raske kontrolpersoner [31]. Vi mangler fortsat kliniske undersøgelser med påvisning af M. genitalium fra tubae i den akutte fase og serologiske antistofundersøgelser, før en sikker sammenhæng mellem forekomsten af M. genitalium og akut PID kan fastlægges.

Forekomsten af præmatur fødsel eller abort forårsaget af M. genitalium er sparsomt belyst. I et enkelt arbejde rapporteres der om fund af organismen fra cervix hos 4% af kvinder, der har haft præterm fødsel [32]. Overførelse af organismen fra mor til barn i forbindelse med en fødsel er beskrevet kasuistisk, og signifikansen af denne observation er uklar [32].

Infektion med M. genitalium hos patienter med hiv

Der foreligger kun få og til dels modstridende undersøgelser af forekomsten af M. genitalium i urogenitalsystemet hos patienter med hi v. Urinundersøgelser af 54 hiv-inficerede mænd for mycoplasmen faldt negativt ud [33]. Derimod blev organismen i et andet arbejde isoleret fra ni ud af 16 (56%) mænd med aids, men kun hos to ud af 19 (11%) hiv-inficerede mænd, der ikke tidligere havde haft aids-definerede sygdomme. I en mindre kontrolgruppe på 14 raske personer blev der ikke fundet M. genitalium [34]. I en senere og større undersøgelse blev der fundet praktisk taget samme fordeling mellem grupperne, dog var 6% (otte ud af 144) i kontrolgruppen M. genitalium- positive [35]. I et sydafrikansk studie med 337 mænd med uretritis, hvoraf 45% var hiv-positive, fandt man ingen sammenhæng mellem hiv og tilstedeværelsen af M. genitalium [36].

I en mindre undersøgelse sættes der fokus på en mulig øget risiko for hiv-transmission mellem heteroseksuelle partnere, der er dyrkningspositive for M. genitalium fra urogenitalia [37]. De beskedne data muliggør på nuværende tidspunkt ikke en endelig konklusion, hvad angår M. genitaliums rolle ved hiv-infektionen.

Ekstragenitale infektioner med M. genitalium

M. genitalium har i et tilfælde været beskrevet som den sandsynligste årsag til encefalitis hos en femårig pige [38] og er påvist i øjenvæsken hos en patient med konjunktivitis [39].

Behandling

Der foreligger i dag tilstrækkelige data til at retfærdiggøre undersøgelse for M. genitaluim med PCR hos patienter med uspecifik uretritis, specielt mænd, og et positivt fund i denne lokalitet bør afføde antibiotisk behandling. Ligeledes skal M. genitalium forsøges påvist ved infektioner i de øvre genitalier hos kvinder, og ved et positivt fund bør den antibiotiske behandling planlægges således, at den omfatter organismen. Ved andre urogenitale infektioner er patogenesen som ovenfor anført langt mere uklar, og rekommandationer for prøvetagning og konsekvens af positive fund må afvente yderligere kliniske undersøgelser.

In vitro er M. genitalium følsom for fluoroquinoloner, tetracykliner og - i modsætning til den anden velkendte genitale mycoplasme, M. hominis - makrolider. In vivo er forholdene imidlertid ikke helt så enkle. Der er således rapporteret om fortsat tilstedeværelse af M. genitalium hos patienter med akut NGU efter behandling med doxycyklin, erythromycin eller levofloxacin i 14 dage [21]. Fem dages behandling med azitromycin (500 mg den første dag og 250 mg daglig de følgende fire dage) synes at være effektiv i behandling af urogenital infektion og må nok for nuværende anses for at være den mest optimale behandling. Rekommandationen er dog baseret på et lille materiale. Større undersøgelser er nødvendige, før et endeligt antibiotisk regimen kan rekommanderes.

Konklusion

Den nuværende viden om M. genitalium er begrænset. De foreliggende undersøgelser er forholdsvis beskedne både i patientantal og i antallet af undersøgte sygdomsgruppe. PCR-teknikken har åbnet mulighed for større kliniske undersøgelser, hvorved man endeligt vil kunne afklare M. genitaliums patogene rolle i urogenital infektion.

Der hersker dog næppe tvivl om, at M. genitalium er årsag til NGU. Mycoplasmen opfører sig næsten identisk med C. trachomatis, hvad angår infektionsveje og inflammatorisk respons. Der synes dog ikke at være nogen forbindelse mellem de to organismer i øvrigt. M. genitalium synes i de foreliggende arbejder at fremkalde uretritis med omtrent samme hyppighed som C. trachomatis gør. I kvindelige genitalier er M. genitalium stærkt mistænkt for at fremkalde cervicitis, endometritis og salpingitis med eventuelle tubaskader til følge. Organismens rolle i epididymitis, prostatitis og neonatal infektion er ikke afklaret. Ved såvel uretritis som øvre genitale infektioner hos kvinder bør der undersøges for M. genitalium med molekylærbiologiske metoder, og et positivt svar medføre relevant antimikrobiel terapi.


Birger R. Møller, Gynækologisk-obstetrisk Afdeling D, Odense Universitetshospital, DK-5000 Odense C

Antaget: 5. november 2004

Interessekonflikter: Ingen angivet


  1. Tully JG, Taylor-Robinson D, Cole RM et al. A newly discovered mycoplasma in the human urogenital tract. Lancet 1981;1:1288-91.
  2. Krause DC, Mawn CB. Physical analysis and mapping of the Mycoplasma pneumoniae chromosome. J Bacteriol 1990;172:4790.
  3. Jensen JS, Blom J, Lind K. Intracellular location of Mycoplasma genitalium in cultured Vero cells as demonstrated by electron microscopy. Int J Exp Pathol 1994;75:91.
  4. Taylor-Robinson D, Tully JG, Furr PM et al. Urogenital mycoplasma infections of man: a review with observation on a recently discovered mycoplasma. Isr J Med Sci 1981;17:524.
  5. Mernaugh GR, Dallo SF, Holt SC et al. Properties of adhering and nonadhering populations of Mycoplasma genitalium. Clin Infect Dis 1993;17:S69.
  6. Hooton TM, Roberts MC, Roberts PL et al. Prevalence of Mycoplasma genitalium determined by DNA probe in men with urethritis. Lancet 1988;1:266.
  7. Jensen JS, Uldum SA, Sondergard-Andersen J et al. Polymerase chain reaction for detection of Mycoplasma genitalium in clinical samples. J Clin Microbiol 1991;29:46.
  8. Jensen JS, Björnelius E, Dohn B et al. Comparison of first void urine and urogenital swab specimens for detection of mycoplasma ge
Sidebar placering
Venstrestillet
Article type
Journal
Magazine
Section
References

<ol class="Litt-list">
<li>Tully JG, Taylor-Robinson D, Cole RM et al. A newly discovered mycoplasma in the human urogenital tract. Lancet 1981;1:1288-91.</li>
<li>Krause DC, Mawn CB. Physical analysis and mapping of the Mycoplasma pneumoniae chromosome. J Bacteriol 1990;172:4790.</li>
<li>Jensen JS, Blom J, Lind K. Intracellular location of Mycoplasma genitalium in cultured Vero cells as demonstrated by electron microscopy. Int J Exp Pathol 1994;75:91.</li>
<li>Taylor-Robinson D, Tully JG, Furr PM et al. Urogenital mycoplasma infections of man: a review with observation on a recently discovered mycoplasma. Isr J Med Sci 1981;17:524.</li>
<li>Mernaugh GR, Dallo SF, Holt SC et al. Properties of adhering and nonadhering populations of Mycoplasma genitalium. Clin Infect Dis 1993;17:S69.</li>
<li>Hooton TM, Roberts MC, Roberts PL et al. Prevalence of Mycoplasma genitalium determined by DNA probe in men with urethritis. Lancet 1988;1:266.</li>
<li>Jensen JS, Uldum SA, Sondergard-Andersen J et al. Polymerase chain reaction for detection of Mycoplasma genitalium in clinical samples. J Clin Microbiol 1991;29:46.</li>
<li>Jensen JS, Björnelius E, Dohn B et al. Comparison of first void urine and urogenital swab specimens for detection of mycoplasma genitalium and Chlamydia trachomatis by polymerase chain reaction in patients attending a sexually transmitted disease clinic. Sex Transm Dis 2004;31:499-507.</li>
<li>Lind K, Lindhardt BO, Schutten HJ et al. Serological cross-reactions between Mycoplasma genitalium and Mycoplasma pneumoniae. J Clin Microbiol 1984;20:1036.</li>
<li>Lind K. Serological cross-reactions between Mycoplasma genitalium and M. pneumoniae. Lancet 1982;2:1158.</li>
<li>Maeda S, Tamaki M, Nakano M et al. Detection of Mycoplasma genitalium i patients with urethritis. J Urol 1998;159:405.</li>
<li>Keane FEA, Thomas BJ, Gilroy CB et al. The association of Chlamydia trachomatis and Mycoplasma genitalium with non-gonococcal urethritis: observations on heterosexual men and their female partners. Int J STD &amp; AIDS 2000;11:435-9.</li>
<li>Taylor-Robinson D, Gilroy CB, Keane FEA. Detection of several Mycoplasma species at various anatomical sires of homosexual men. Eur J Clin Microbiol Infect Dis 2003;22:291-3.</li>
<li>Samra Z, Borin M, Bukowsky Y et al. Non-occurence of Mycoplasma genitalium in clinical specimens. Eur J Clin Microbiol Infect Dis 1988;7:49-51.</li>
<li>De Barbeyrae B, Bernet-Poggi C, Fébrer F et al. Detection of Mycoplasma genitalium in clinical samples by polymerase chain reaction. Clin Infect Dis 1993;17:83-9.</li>
<li>Deguchi T, Maeda SI. Mycoplasma genitalium: another important pathogen of non-gonococcal urethritis. J Urol 2002;167:1210-7.</li>
<li>Uno M, Deguchi T, Komeda H et al. Mycoplasma genitalium in the cervix of Japanese women. Sex Transm Dis 1997;24:284-6.</li>
<li>Björnelius E, Lidbrink P, Jense JS. Mycoplasma genitalium in non-gonococcal urethritis - a study in Swedish male STD patients. Int J STD AIDS 2000; 11:292.</li>
<li>Taylor-Robinson D. Mycoplasma genitalium - an up-date. Int J STD &amp; AIDS 2002;13:145-51.</li>
<li>Horner P, Thomas B, Gilroy CB et al. The role of Mycoplasma genitalium and Ureaplasma urealyticum in acute and chronic non-gonococcal urethritis. Clin Infect Dis 2001;32:995-1003.</li>
<li>Tully JG, Taylor-Robinson D, Rose DL et al. Urogenital challenge of primate species with Mycoplasma genitalium and characteristics of infection induced in chimpanzees. J Infect Dis 1986;153:1046-54.</li>
<li>Taylor-Robinson D, Tully JG, Barile MF. Urethral infection in male chimpanzees produced experimentally by Mycoplasma. Br J Exp Pathol 1985;66:95-101.</li>
<li>Krieger JN, Riley DE, Roberts MC et al. Prokaryotic sequences in patients with chronic idiopathic prostatitis. J Clin Microbiol 1996;34:3120-8.</li>
<li>Blanchard A, Hamrick W, Duffy L et al. Use of the polymerase chain reaction for detection of Mycoplasma fermentans and Mycoplasma genitalium in the urogenital tract and amniotic fluid. Clin Infect Dis 1993;29:46-50.</li>
<li>Keane FEA, Thomas BJ, Gilroy CB et al. the association of Mycoplasma hominis, Ureaplasma urealyticum and Mycoplasma genitalium with bacterial vaginosis: observations on heterosexual women and their male partners. Int J STD &amp; AIDS 2000;11:356-60.</li>
<li>Manhart LE, Dutro SM, Holmes KK et al. Mycoplasma genitalium is associated with mucopurulent cervicitis. Int J STD &amp; AIDS 2001;12(suppl 2):69.</li>
<li>Møller BR, Taylor-Robinson D, Furr PM et al. Acute upper genital-tract disease in female monkeys provoked experimentally by Mycoplasma genitalium. Br J Exp Path 1985;66:417-26.</li>
<li>Møller BR, Freundt EA. Monkey animal model for study of mycoplasmal infections of the urogenital tract. Sex Trans Dis 1983;10:359-62.</li>
<li>Cohen CR, Manhart LE, Bukusi EA et al. Association of Mycoplasma genitalium and acute endometritis. Lancet 2002;359:765-66.</li>
<li>Møller BR, Taylor-Robinson, Furr PM. Serological evidence implicating Mycoplasma genitalium in pelvic inflammatory disease. Lancet 1984;I:1102-3.</li>
<li>Simms I, Eastick K, Mallinson H et al. Associations between Mycoplasma genitalium, Chlamydia trachomatis and pelvic inflammatory disease. Sex Transm Infect 2003;79:154-6.</li>
<li>Lu CC, Schsebke JR, Duffy LB et al. Midtrimester vaginal Mycoplasma genitalium in women with subsequent spontaneous preterm birth. Am J Obstet Gynecol 2001;185:163-5.</li>
<li>Lobinoux J, Piroux V, Guyot PY et al. Genital mycoplasmas in patients with acquired immunodeficiency syndrome. New Microbiol 1998;21:403-5.</li>
<li>Sturm PDJ, Moodley P, Khan N et al. Aetiology of male uretritis in patients recruited from a population with a high HIV prevalence. Int J Antimicrob Agents 2004;24(suppl 1):8-14.</li>
<li>Savio ML, Caruso A, Allegri R et al. Detection of Mycoplasma genitalium from urethral swabs of human immunodeficiency virus-infected patients. New Microbiol 1996;19:203-9.</li>
<li>Martinelli F, Garrafa E, Rutano A et al. Increased frequency of detection of Ureaplasma urealyticum and Mycoplasma genitalium in AIDS patients without urethral symptoms. J Clin Microbiol 1999;37:2042-4.</li>
<li>Perez G, Skurnick JH, Denny IN et al. Herpes simplex type II and Mycoplasma genitalium as risk factors of heterosexual HIV transmission: report from the Heterosexual HIV Transmission Study. Int J Infect Dis 1998;3:5-11.</li>
<li>Sakata H, Hatyashi T, Hirano Y et al. Brain stem encephalitis due to Mycoplasma genitalium. Kansenshogaku Zasshi 1993;67:500-4.</li>
<li>Björnelius E, Jensen JS, Lidbrink P. Conjunctivitis associated with Mycoplasma genitalium infection. Clin Infect Dis 2004;39:e67-9.</li>
</ol>

Woodwing Id
241051
Fil
Bib ref
Ugeskr Læger 2005;167(35):
Authors

Overlæge Birger R. Møller, overlæge Niels Obel & læge Troels R. Møller Odense Universitetshospital, Gynækologisk-obstetrisk Afdeling D og Medicinsk Afdeling C, og Vejle Sygehus, Øre-, næse-, halsafdelingen

0 likes