Medlem i

12 years 10 months
Indholdselementer
Billede
Sidebar placering
Venstrestillet


Dabigatran er en direkte trombinhæmmer til forebyggelse af postoperativ venøs tromboemboli samt apopleksi og emboli hos patienter med nonvalvulær atrieflimren og dermed et alternativ til K-vitamin-antagonister.

I RELY-studiet har man belyst forskelle mellem warfarin og dabigatran og påvist, at der ikke er signifikant forskel i incidensen af emboli/apopleksi eller alvorlig blødning efter behandling med dabigatran 150 mg × 2 og warfarin i op til 30 dage efter 1.983 DC-konverteringer [1].

Ifølge de nuværende kliniske retningslinjer kræves der ingen monitorering af antikoagulation ved brug af dabigatran, og der er færre, om end andre, lægemiddelinteraktioner end ved brug af warfarin [2]. På den anden side skal dabigatran doseres oftere og koster mere end warfarin, og der findes ingen antidot.

SYGEHISTORIE

En 65-årig mand, der vejede 150 kg og havde velbehandlet hypertension samt hjertesvigt (NYHA-klasse III, venstre ventrikel-uddrivningsfraktion 35-40%) pga. atrieflimren, fik foretaget elektiv DC-konvertering uden umiddelbare komplikationer efter 66 dages behandling med dabigatran 150 mg × 2 og metoprolol. Patienten var desuden i behandling med amiodaron, ramipril, furosemid og spironolacton. Komplians blev verificeret ved indløste recepter og interview med patienten. Værdier og biokemi ved konverteringen var upåfaldende.

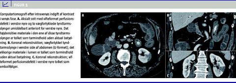
Fem dage efter konverteringen blev patienten indlagt med stærke abdominalsmerter, opkastninger og blodig afføring. Biokemi viste forhøjede infektionstal, normal trombocytkoncentration, international normalized ratio (INR) 1,3, alaninaminotransferasekoncentration 109 U/l og laktatdehydrogenasekoncentration 727 U/l. En computertomografi (CT) af abdomen (Figur 1 ) viste tegn på tyndtarmssubileus, vægfortykkelse af den proksimale jejunum og et hypodenst område i venstre nyre. En magnetisk resonans-skanning på dag 7 viste fri væske i abdomen.

Patienten blev opereret på dag 7 og reopereret på dag 8 med resektion af iskæmisk nekrotisk tynd- og tyktarm. Der blev efterladt 50 cm jejunum og en blindlukket venstre hemicolon. Han blev sat i behandling med terapeutiske doser dalteparin, og dabigatran blev seponeret. På dag 10 fik patienten snøvlende tale, højresidig hemiparese, neglect og anopsi. Ved en CT af cerebrum påviste man et nyligt infarkt. Behandling blev tillagt acetylsalicylsyre og clopidogrel. Dalteparinbehandlingen blev fortsat. Man afstod fra trombolyse pga. blødningsrisikoen.

Trombofiliprøver, der blev taget efter det akutte forløb og efter påbegyndelse af warfarinbehandlingen, viste nedsat protein S-koncentration (0,52 kU/l), let nedsat antitrombinkoncentration (0,73 × 10 3 U/l), normal faktor V- og protrombinkoncentration, forhøjet fibrinogenkoncentration (24 mikromol/l), negativ lupusantikoagulans og normal protein C-koncentration.

DISKUSSION

Den kliniske erfaring med dabigatran er endnu begrænset. Sygehistorien viser, at dabigatran ikke nødvendigvis forhindrer komplikationer i forbindelse med DC-konvertering. Patienten scorede 3 på CHA 2 DS 2 -VASc pga. hjertesvigt, hypertension og alder og havde derfor en 3,2% risiko for emboli pr. år.

Dabigatran er en direkte trombinhæmmer, hvorfor hverken INR-, activated partial thromboplastin time - og thrombin time -målinger optimalt afspejler graden af antikoagulation [3]. Selv hvis plasmaværdier af dabigatran var let tilgængelige, gør døgnvariationen i koncentrationen fortolkningen af enkeltmålinger vanskelig [3].

RELY-studiet viste, at patienter, som vejede under 50 kg havde plasmakoncentrationer, der var 1,5 gange højere end plasmakoncentrationerne hos patienter, som vejede over 100 kg [3]. Det kan tænkes, at svært adipøse personer som patienten i sygehistorien ikke er tilstrækkeligt behandlet med antikoagulans.

Dabigatran er et substrat for efflukstransporteren P-glykoprotein (P-gp) [3]. P-gp-hæmmere øger optagelse ved at hæmme udskillelse tilbage til tarmlumen, mens de samtidig øger udskillelse i urinen [3]. RELY-studiet viste en stigning af dabigatranplasmakoncentrationen ved samtidig indtagelse af P-gp-hæmmeren amiodaron og dabigatran [3]. Man ville derfor forvente, at patienten havde højere plasmakoncentration.

Information om behandling af apopleksi hos patienter, der er i behandling med dabigatran, er yderst sparsom [3]. I en sygehistorie beskrev man god effekt af trombolyse [4], og i en anden beskrev man fatal hjerneblødning [5]. Behandlingen af tromber, der er opstået under dabigatranbehandling, er uafklaret, mens tillæg af yderligere blodfortyndende medicin må forventes at øge blødningsrisikoen.

Denne sygehistorie beskriver livstruende komplikationer i form af multiple tromboembolier efter DC-konvertering hos en patient, der var forbehandlet med dabigatran i standarddosering. Sygehistorien tjener til at illustrere det problematiske ved DC-konvertering hos patienter, hvor der ikke er anden sikkerhed for en effektiv antikoagulerende forbehandling end anamnesen, da det modsat K-vitamin-antagonisterne ikke kan dokumenteres biokemisk.

src="/LF/images_ufl/ufl_bla.gif">
Torben Nicolai Buch , Medicinsk Afdeling, Køge Sygehus, Lykkebækvej 1, 4600 Køge. E-mail: torbenbuch@gmail.com

ANTAGET: 7. maj 2012

FØRST PÅ NETTET: 20. august 2012

INTERESSEKONFLIKTER: ingen

TAKSIGELSER: Jens Friederich Maier , Billeddiagnostisk Afdeling, Køge Sygehus, takkes for computertomografibilleder og beskrivelse, og Bo Hainau, Patologiafdelingen, Roskilde Sygehus, takkes for mikroskopi af tarmresektion.


  1. Nagarakanti R, Ezekowitz MD, Oldgren J et al. Dabigatran versus warfarin in patients with atrial fibrillation: an analysis of patients undergoing cardioversion. Circulation 2011;123:131-6.
  2. Eriksson BI, Quinlan DJ, Eikelboom JW. Novel oral factor Xa and thrombin inhibitors in the management of thromboembolism. Ann Rev Med 2011;62:41-57.
  3. Gulseth MP, Wittkowsky AK, Fanikos J et al. Dabigatran etexilate in clinical practice: confronting challenges to improve safety and effectiveness. Pharmacotherapy 2011;31:1232-49.
  4. De Smedt A, De Raedt S, Nieboer K et al. Intravenous thrombolysis with recombinant tissue plasminogen activator in a stroke patient treated with dabigatran. Cerebrovasc Dis 2010;30:533-4.
  5. Casado Naranjo I, Portilla-Cuenca JC, Jiménez Caballero PE et al. Fatal intracerebral hemorrhage associated with administration of recombinant tissue plasminogen activator in a stroke patient on treatment with dabigatran. Cerebrovasc Dis 2011;32:614-5.


Sidebar placering
Venstrestillet
Article type
Journal
Magazine
Section
References

<ol class="Litt-list">
<li>Nagarakanti R, Ezekowitz MD, Oldgren J et al. Dabigatran versus warfarin in patients with atrial fibrillation: an analysis of patients undergoing cardioversion. Circulation 2011;123:131-6.</li>
<li>Eriksson BI, Quinlan DJ, Eikelboom JW. Novel oral factor Xa and thrombin inhibitors in the management of thromboembolism. Ann Rev Med 2011;62:41-57.</li>
<li>Gulseth MP, Wittkowsky AK, Fanikos J et al. Dabigatran etexilate in clinical practice: confronting challenges to improve safety and effectiveness. Pharmacotherapy 2011;31:1232-49.</li>
<li>De Smedt A, De Raedt S, Nieboer K et al. Intravenous thrombolysis with recombinant tissue plasminogen activator in a stroke patient treated with dabigatran. Cerebrovasc Dis 2010;30:533-4.</li>
<li>Casado Naranjo I, Portilla-Cuenca JC, Jiménez Caballero PE et al. Fatal intracerebral hemorrhage associated with administration of recombinant tissue plasminogen activator in a stroke patient on treatment with dabigatran. Cerebrovasc Dis 2011;32:614-5.</li>
</ol>

Woodwing Id
248923
Fil
Conflict of interest
Bib ref
Ugeskr Læger 2013;175(6):333-334
Authors

Torben Nicolai Buch, Jakob Holm & Lars Kristian Munck Medicinsk Afdeling, Køge Sygehus

0 likes