Medlem i

13 years 1 month
Indholdselementer
Billede
Sidebar placering
Venstrestillet


Klinisk stilles diagnosen multipel sklerose (MS) i reglen, når patienterne henvender sig med klager over et vidt spektrum af forskellige neurologiske udfaldssymptomer. Irritative fænomener som for eksempel epileptiske anfald giver sjældent anledning til diagnosticering af MS [1-3], og det er endnu mere usædvanligt, at diagnosen stilles på baggrund af status epilepticus.

Sygehistorie

En 30-årig udisponeret, tidligere rask kvinde blev indlagt på grund af status epilepticus med generaliserede toniske, kloniske kramper. Patienten blev behandlet akut med diazepam initialt i refrakte doser, i alt 30 mg, herefter som infusion 16 mg/time. Patienten blev intuberet og sederet og loaded med fosphenytoin 20 mg fenytoinnatriumækvivalenter/kg, hvorefter kramperne ophørte. Efter et døgn blev patienten gradvist vækket og efter yderligere tre døgn ekstuberet. Der var ikke yderligere krampetilfælde under indlæggelsen.

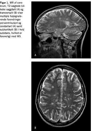
Akut neurologisk blev patienten udredt med CT af cerebrum to gange, hvilket ud over cerebellar atrofi intet abnormt viste. Der blev foretaget spinalvæskeundersøgelse, hvor der fandtes normalt celletal, normalt spinalprotein og -glukose og ingen xantokromi. Som led i den videre neurologiske udredning blev der foretaget MR-skanning af cerebrum, hvilket viste multiple white-matter-lesions periventrikulært, subkortikalt og infratentorialt, hvilket er foreneligt med MS (Figur 1 ). En supplerende spinalvæskeundersøgelse viste forhøjet IgG-indeks og tydelig oligokloni. Visual evoked potentials (VEP) var med normale VEP-latenser bilateralt.

Patienten blev behandlet med infusion methylprednisolon 1 g intravenøst dagligt i fem dage og fortsatte i antiepileptisk behandling med phenytoin 150 mg to gange dagligt suppleret med valproat 1.200 mg dagligt. Klinisk havde patienten neurologiske udfald i form af sakkaderede øjenbevægelser, diskret højresidigt koordinationsbesvær og let ataktisk og bredsporet gang. Der var ingen kognitive deficit.

Retrospektivt blev det oplyst, at patienten gennem de seneste 11 år havde haft kortvarige perioder med sensoriske forstyrrelser, balanceproblemer og styringsbesvær af ekstremiteterne, uden at dette førte til neurologisk udredning. På baggrund af de supplerende anamnestisk oplysninger, den kliniske undersøgelse og de parakliniske fund blev diagnosen MS af attakvis type stillet. Ved kontrol henholdsvis en og tre måneder efter udskrivelsen havde patienten fået paraklinisk tegn på leverpåvirkning med alaninaminotransferasestigning til 47 U/l (referenceinterval: 10-35 U/l) og stigning i gammaglutamyltransferase til 225 U/l (referenceinterval: 5-50 U/l). Dette blev tilskrevet den antiepileptiske behandling, hvorfor patienten blev udtrappet af phenytoin, og den antiepileptiske behandling blev forsøgt fortsat med valproat som monoterapi.

Diskussion

MS forekommer i tempereret klima med en årlig incidens på 4-5 pr. 100.000 indbyggere. Den årlige incidens af epilepsi i Nordeuropa er på 40-70 pr. 100.000 indbyggere [4].

I et islandsk populationsbaseret studie har man vist, at MS er en uafhængig risikofaktor for udvikling af epileptiske anfald med en tre gange øget risiko for anfald hos patienter med MS ift. det forventede hos baggrundsbefolkningen [5]. Epilepsi hos MS-patienter er dog ikke hyppigt forekommende, således fandt man i det islandske studie, at prævalensen af epilepsi var 1,9% ti år efter, at MS var diagnosticeret.

Epileptiske anfald er sjældne som debutsymptom på MS [1-3], og status epilepticus er endnu mere usædvanligt forud for diagnosen. Hos de få patienter, der får status epilepticus, var diagnosen MS allerede stillet - ofte år i forvejen [1-3], og i to af studierne var det hos alle patienterne forbundet med kognitive deficit [1, 2].

Hos de patienter med MS, der har epileptiske anfald, klassificeres anfaldene som partielle med eller uden sekundær generalisering hos halvdelen eller flere af patienterne, hvilket indikerer fokal læsion som baggrund for anfaldsfænomenerne [1-3, 5, 6]. I flere undersøgelser støttes formodningen om, at der er en sammenhæng mellem forekomsten af subkortikale læsioner og epileptisk anfald hos patienter med MS [2, 6].


Annette Brinkmann Sørensen, Hundslevvej 16, DK-5350 Rynkeby.

Antaget: 28. juli 2003

Interesskonflikt: Ingen angivet



Sidebar placering
Venstrestillet
Article type
Journal
Magazine
Section
References

<ol class="Litt-list">
<li>Nyquist PA, Cascino GD, Rodriquez M. Seizures in patients with multiple sclerosis seen at Mayo Clinic, Rochester, Minn, 1990-1998. Mayo Clin Proc 2001;76:983-6.</li>
<li>Sokic DV, Stojsavljevic N, Drulovic J et al. Seizures in multiple sclerosis. Epilepsia 2001;42:72-9.</li>
<li>Engelsen BA, Grønning M. Epileptic seizures in patients with multiple sclerosis. Seizure 1997;6:377-82.</li>
<li>Bradley WG, Daroff RB, Fenichel GM et al. Neurology in clinical practice. Vol 1-2. 3. edition. Woburn: Butterworth-Heinemann, 2000.</li>
<li>Olafsson E, Benedikz J, Hauser WA. Risk of epilepsy in patients with multiple sclerosis: a population-based study in Iceland. Epilepsia 1999;40:745-7.</li>
<li>Moreau T, Sochurkova D, Lemesle M et al. Epilepsy in patients with multiple sclerosis: radiological-clinical correlations. Epilepsia 1998;39:893-6.</li>
</ol>

Woodwing Id
266432
Fil
English summary

Summary Multiple sclerosis diagnosed on the background of status epilepticus Ugeskr L&aelig;ger 2004;166:167-168 We report a case of a 30-year-old woman diagnosed with multiple sclerosis after being admitted with status epilepticus. Status epilepticus is rare among patients with multiple sclerosis and occurs in most cases long after the diagnosis has been established and is then often associated with cognitive impairment.

Bib ref
Ugeskr Læger 2004;166(03):167-168
Authors

Læge Annette Brinkmann Sørensen & læge Mehry Eizadishaijani Odense Universitetshospital, Neurologisk Afdeling og Radiologisk Afdeling

0 likes
Read time
4