Medlem i

12 years 10 months
Indholdselementer
Billede
Sidebar placering
Venstrestillet


Mucocele appendicis (MA) beskrives som en tilstand med et dilateret mucinfyldt appendixlumen. Mucoceledannelse ses ved en række vidt forskellige processer, såsom inflammatorisk striktur ofte forårsaget af en fækolit, endvidere appendixkarcinom, appendixendometriose, appendixkarcinoid, appendixpolyp, appendixvolvulus og caecumkarcinom [1, 2]. Ved appendektomi foretaget på mistanke om appendicitis acuta findes MA med en hyppighed på få promille, hyppigst hos midaldrende personer, oftere kvinder end mænd [3].

I det følgende beskrives et tilfælde af MA, hvor sygdomsbilledet gav mistanke om abdominal tumor. Ved den billeddiagnostiske udredning viste det sig at være et mucocele appendicis. Den præoperative diagnostik diskuteres.

Sygehistorie

En 68-årig mand blev henvist til ultralydskanning (UL) af abdomen på mistanke om abdominal tumor. Patienten havde haft diffuse smerter i ca. seks måneder. Afføringen var normal uden blod eller slim. Der havde ikke været noget vægttab.

Ved palpation af abdomen fandtes en ca. ti cm stor udfyldning i højre fossa. Ved UL-undersøgelse sås der mellem colon ascendens og de aksiale kar en langstrakt 13 × 6 × 5 cm stor velafgrænset proces med kapsellignende epitel i periferien, enkelte spredte forkalkninger og strøgformede fortætninger internt, hvilket var foreneligt med MA.

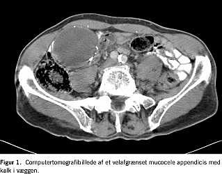
En supplerende Dopplerundersøgelse viste ikke øgede Dopplersignaler. Ved en computertomografi (CT) bekræftedes fundet (Figur 1 ). Ved laparotomi blev der fundet en makroskopisk benign, mobil tumor, beliggende i appendix 2,5 cm fra basis af appendix. Der blev foretaget appendektomi. Det postoperative forløb var ukompliceret. En mikroskopi viste mucocele uden malignitetssuspicio.

Diskussion

Patogenetisk opdeles MA i tre grupper: fokal/diffus hyperplasi, mucinøst cystadenom eller mucinøst cystadenokarcinom [1]. MA er ofte asymptomatisk (23%), men kan debutere med smerter i højre fossa iliaca (64%). Hos 38% af patienterne findes der ømhed i højre fossa og hos 18-50% findes der palpatorisk udfyldning [2, 3]. De fleste mucoceler er 3-6 cm i diameter. Undertiden ses forkalkninger i mucocelets væg og lumen [4]. Der ses ingen inflammation periappendikulært. Samtidig med MA ses der undertiden pseudomyxoma peritonei som følge af ruptur eller sekundært til adenomer, adenokarcinomer i colon eller rectum [4].

Den konventionelle røntgenoversigt over abdomen kan vise normale forhold eller vise udfyldning i højre fossa. Ved en kontrastundersøgelse af colon ses der ingen kontrast i appendix. Eventuelt ses en fyldningdefekt i caecum. Ved en CT med kontrast ses mucocelet med CT-værdier som vand eller i sjældne tilfælde med CT-værdier som bløddele [1]. Ved en UL-skanning ses mucocelet som en stor, mobil, poselignende og velafgrænset struktur i højre fossa. Indholdet kan være hypo- eller isoekkoisk og kan vise sig som såkaldt onion skin pattern .

UL-vejledt punktur undlades sædvanligvis pga. fare for lækage og spredning [5]. Billeddiagnostisk kan man ikke skelne mellem cystadenom og cystadenokarcinom. Behandlingen er normalt appendektomi, ved maligne forandringer dog højresidig hemikolektomi.


Mirela Claude Jensen , Røntgenafdelingen, Herning Sygehus, DK-7400 Herning. E-mail: miriva66@hotmail.com

Antaget: 12. juni 2004

Interessekonflikter: Ingen angivet



Sidebar placering
Venstrestillet
Article type
Journal
Magazine
Section
References

<ol class="Litt-list">
<li>Gore RM, Levine MS. A textbook of gastrointestinal radiology. Philadelphia: W.E. Saunders Company 2000:1142-5.</li>
<li>Isaacs KL, Warshauer DM. Mucocele of the appendix: computed tomographic, endoscopic and pathologic correlation. Am J Gastroenterol 1992;87:787-9.</li>
<li>Wackym PA, Gray GF. Tumors of the appendix. I: Neoplastic and nonneoplastic mucoceles. South Med J 1984;77:283-7.</li>
<li>Novetsky GJ, Berlin L, Epstein AJ et al. Pseudomyxoma peritonei. J Comput Assist Tomogf 1982;6:398-9.</li>
<li>Zuzarte JC, Liu YC, Cohen AM. Fine needle aspiration cytology of appendiceal mucinous cystadenoma: a case report. Acta Cytol 1996;40:327-30.</li>
</ol>

Woodwing Id
244021
Fil
Bib ref
Ugeskr Læger 2005;167(05): 526
Authors

Reservelæge Mirela Claude Jensen & reservelæge Dennis Baun Christensen Herning Sygehus, Røntgenafdelingen

0 likes