Medlem i

13 years 1 month
Indholdselementer
Billede
Sidebar placering
Venstrestillet
Billede
Sidebar placering
Venstrestillet


Magnetisk resonans (MR)-skanning er en billeddiagnostik metode, som inden for de nærmeste år forventes at vinde indpas i den kliniske vurdering af iskæmisk hjertesygdom. Denne artikel giver en kortfattet oversigt og et patienteksempel på anvendelsen af MR-skanning med intravenøs MR-kontraststof (gadolinium) til in vivo-adskillelse af store transmurale og mindre subendokardiale myokardieinfarkter.

Inddelingen i transmurale og subendokardiale myokardieinfarkter er patoanatomisk og som sådan forbeholdt patologer. Der har hidtil ikke været nogen klinisk tilgængelig metode til in vivo-diagnostisk af et infarkts udbredning gennem myokardievæggen. Non-invasive metoder såsom positronemissionstomografi (PET) og single photon emission computed tomography (SPECT) kan bruges til påvisning af infarktområder. Metoderne er veletablerede, men man kan på grund af en relativt lav billedopløsning ikke skelne mellem subendokardiale og transmurale myokardieinfarkter.

Kardiovaskulær MR-skanning med intravenøs injektion af det ikkeioniserende kontraststof gadolinium har vist sig egnet til vurdering af infarktområders udbredelse. Teknikkens høje billedopløsning muliggør visuel erkendelse in vivo af subendokardiale og transmurale infarkter [1-3]. Sammenholdes myokardieinfarktudbredelsen med en dynamisk undersøgelse af venstre ventrikels kontraktilitet og volumen, er det muligt med MR-teknik at vurdere, om et dysfungerende myokardium helt eller delvist vil kunne genvinde kontraktiliteten efter revaskulariserende behandling. Det er for nylig dokumenteret, at den transmurale udbredelse af arvæv i et dysfungerende myokardieområde er af prognostisk værdi for, om det pågældende område vil kunne genvinde kontraktiliteten. Hidtil er der kun publiceret et enkelt mindre enkeltcenterstudie med 50 patienter [4]. Ved en grænseværdi på en infarktudbredelse på 25% af myokardievæggens tykkelse fandt man en positiv prædiktiv værdi på 71% og en negativ prædiktiv værdi på 79% for forbedret kontraktilitet efter revaskularisering [4]. Inkluderes kun myokardiesegmenter med helt ophævet eller paradoks bevægelse, øges disse værdier til henholdsvis 88% og 89%.

Der pågår aktuelt en prospektiv multicenterundersøgelse med planlagt undersøgelse af 200 patienter, der rekrutteres fra ti deltagende hjertecentre i USA og Europa, herunder Skejby Sygehus. Undersøgelsen har til formål at vurdere den prædiktive værdi af MR-teknikken til påvisning af områder, der ud fra infarktudbredelsen formodes at opnå bedre kontraktilitet efter revaskulariserende behandling. Patienterne undersøges inden for to uger før den revaskulariserende behandling og igen fire måneder efter.

Princip, teknik og udførelse

En MR-undersøgelse til påvisning af et myokardieinfarkts udbredelse varer typisk 30-45 min. Undersøgelsen indledes med en vurdering af venstre ventrikels regionale pumpefunktion ved optagelse af dynamiske billeder, såkaldt cine-MR. Der optages typisk 8-10 tværsnit fra basis til apex af venstre ventrikel samt et tokammer- og firekammerbillede. Den regionale funktion af venstre ventrikel gradueres semikvantitativt ud fra en wall motion score for hvert af de 17 segmenter. Herefter indsprøjtes en intravenøs bolusinjektion af ekstracellulær kontraststof (0,2 mmol gadolinium/kg legemsvægt), der inden for et tidsrum på 15-40 min fordeles selektivt til de områder i myokardiet, som repræsenterer arvæv. Gadolinium sænker vævets T1 -værdi, hvilket ved en såkaldt T1 -vægtet skanning viser sig som et område med øget signalintensitet, hvorved det bliver muligt at skelne mellem arvæv og levende myokardievæv (Figur 1 ). Den sene wash-in og wash-out af gadolinium til infarktområder udnyttes således diagnostisk. Det anvendte kontraststof er baseret på grundstoffet gadolinium, som er et stærkt hydrofilt molekyle, der primært udskilles gennem nyrerne (halveringstid ca. 1,5 time afhængigt af stoffets fordeling i det ekstracellulære rum og den glomerulære filtrationsrate). Kontraststoffet har en gunstig bivirkningsprofil, hvor de mest almindelige bivirkninger som varmefornemmelse og metalsmag forekommer hos 1-2%. Anafylaktisk shock og allergiske reaktioner er meget sjældne.

På grund af hjertets pumpebevægelse må billedoptagelserne synkroniseres ud fra elektrokardiogrammet således, at optagelser kun sker inden for midtdiastolen, hvor hjertets egenbevægelse er mindst. Respirationens indflydelse på hjertets bevægelse reduceres ved, at patienten holder vejret under billedoptagelserne. Ved en tredimensional optagelse kan hele hjertet skannes inden for en respirationspause på 15-20 s. Da det ofte volder patienterne problemer at holde respirationspauser under skanningerne, arbejder vi med en såkaldt navigatorteknik, som tillader patienten at trække vejret frit under skanningen. Optagelserne foregår således kun i eksspirationsfasen og billedplanet flyttes synkront med diaphragma.

Sygehistorie

Teknikkens anvendelighed illustreres ved en patient med svært nedsat venstre ventrikel-funktion, der blev vurderet præoperativt med gadoliniumkontraststofbaseret MR-skanning før aortokoronar bypassoperation og igen fire måneder efter operationen.

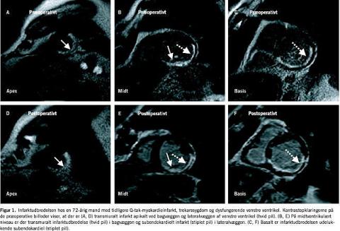
En 72-årig mand med stabil angina pectoris gennem 14 år, blev indlagt i 2001 på grund af pludselig indsættende retrosternale smerter med udstråling til begge arme. Ekg taget akut viste ST-elevation forenelig med inferiort myokardieinfarkt og patienten blev trombolyseret. Ved invasiv udredning med koronararteriografien blev der konstateret trekarssygdom, og patienten blev henvist til aortokoronar bypassoperation. MR-skanning med kontraststof udførtes dagen inden operationen og viste kontrastopladning svarende til, at der var transmural infarktudbredelse apikalt i bagvæggen og lateralvæggen af venstre ventrikel, mens infarktudbredelsen mere basalt i ventriklen var subendokardial (Fig. 1). MR-skannings-funktionsbillederne af venstre ventrikel viste en svært nedsat systolisk funktion. Venstre ventrikels slutdiastolisk volumen udmåltes således til 183 ml og et slutsystolisk volumen på 117 ml, (normalværdien for slutdiastolisk volumen er 115 ml og 36 ml for slutsystolisk volumen) [5], hvilket resulterede i en nedsat global ejektionsfraktion (EF) på 36%. Ved operationen anastomoseredes arteria mammaria til ramus interventricularis anterior a. coronariae sinistrae, der forsyner de forreste to tredjedele af septum interventriculare samt forvæggen af venstre ventrikel. En venegraft anastomeredes til arteria coronaria dextra som forsyner højre ventrikel samt den posteriore tredjedel af septum interventrik ulare og venstre ventrikels bagvæg. En anden venegraft anastomeredes til en margo obtusus gren fra ramus circumflexus, der forsyner lateralvæggen af venstre ventrikel. MR-skanningen med gadoliniumkontraststof fire måneder efter revaskulariserende behandling viste som ventet uændret infarktudbredelse (Fig. 1). Funktionsbillederne af venstre ventrikel viste nu et reduceret slutdiastolisk volumen på 153 ml, og et reduceret slutsystolisk volumen på 96 ml med en global EF på 38%. Regionalt sås en bedret kontraktion ved forvæggen, hvor der ikke var infarkt, samt ved basis af lateralvæggen, hvor infarktudbredelsen er subendokardial. Derimod var kontraktionen ophævet i det transmurale infarktområde apikalt i bagvæggen af venstre ventrikel både før og efter revaskulariserende behandling (Figur 2 A og B ).

Andre kontraststoffer

Flere andre kontraststoffer end gadolinium har været forsøgt til vurdering af myokardieinfarktudbredelsen med MR-skanning, dog uden at have fået klinisk anvendelse.

Mangandipyridoxyldifosfatase (MnDPDP) frigiver manganioner, som optages i levende myokardieceller. Manganionerne har en kort T1 -relaksationstid, hvilket ved en T1 -vægtet billedsekvens medfører øget og længerevarende signalintensitet i levende myokardievæv i forhold til infarktområder [6]. Gadophrin-2 (gadoliniummesoporfyrin) er et såkaldt nekrosis-avid kontraststof, som bindes specifikt til nekrotisk væv, hvilket kombineret med kontraststoffets korte T1 -tid medfører øget signalintensitet i infarktområder ved en T1 -vægtet billedsekvens [7].

Sidst skal nævnes jernoxid, der er et intravaskulært kontraststof med en lang halveringstid i blodet. Kontraststoffet forkorter både T1 - og T2 -relaksationstiderne, hvilket har været udnyttet til evaluering af myokardieinfarktstørrelsen [8]. Dette kontraststofs største potentiale synes dog at ligge i at kunne bruges til identifikation af beskadigelse i myokardiets mikrocirkulation.

Perspektiver og konklusioner

Kardiovaskulær MR-skanning til vurdering af myokardieinfarktudbredelsen er en lovende ny noninvasiv teknik, som muligvis inden for de nærmeste år vil kunne anvendes som et alternativ eller supplement til de eksisterende nuklearmedicinske metoder.

Flere studier har vist lovende resultater af kardiovaskulær MR-skanning anvendt til måling af den regionale myokardieperfusion [9] samt koronararteriografi [10]. Dette åbner op for et fremtidigt perspektiv hvor kardiovaskulær MR-skanning ved udredning af iskæmisk hjertesygdom vil være en integreret MR-undersøgelse, der vil kunne bibringe diagnostisk information om tilstedeværelsen af irreversible (myokardieinfarktudbredelsen) og reversible perfusionsdefekter i myokardiet kombineret med en MR-koronararteriografi til visuel fremstilling af epikardiale koronararteriestenoser. Ved en sådan enkel MR-undersøgelse (one-stop-shop) vil patienter med symptomer på iskæmisk hjertesygdom kunne evalueres med henblik på diagnostik samt egnethed af en revaskulariserende behandling.


Won Yong Kim, MR-centret, Skejby Sygehus, Brendstrupsgårdsvej, DK-8200 Århus N. E-mail: yong-kim@iekf.au.dk

Antaget: 11. september 2003.

Interessekonflikt: Ingen angivet




Sidebar placering
Venstrestillet
Article type
Journal
Magazine
Section
References

<ol class="Litt-list">
<li>Wu E, Judd RM, Vargas JD et al. Visualisation of presence, location, and transmural extent of healed Q-wave and non-Q-wave myocardial infarction. Lancet 2001;357:21-8.</li>
<li>McNamara MT, Tscholakoff D, Revel D et al. Differentiation of reversible and irreversible myocardial injury by MR imaging with and without gadolinium-DTPA. Radiology 1986;158:765-9.</li>
<li>De Ross A, van Rossum AC, van der Wall E et al. Reperfused and nonreperfused myocardial infarction: diagnostic potential og Gd-DTPA-enhanced MR imaging. Radiology 1989;172:717-20.</li>
<li>Kim RJ, Wu E, Rafael A et al. The use of contrast-enhanced magnetic resonance imaging to identify reversible myocardial dysfunction. N Engl J Med 2000;343:1445-53.</li>
<li>Salton CJ, Chuang ML, O'Donnell CJ et al. Gender differences and normal left ventricular anatomy in an adult population free of hypertension. JACC 2002;39:1055-60.</li>
<li>Saeed M, Wendland MF, Watzinger N et al. MR contrast media for myocardial viability, microvascular integrity and perfusion. Eur Radiol 2000;34:179-95.</li>
<li>Ni Y, Pislaru C, Bosmans H, et al. Intracoronary delivery of Gd-DTPA and Gadophrin-2 for determination of myocardial viability whit MR imaging. Eur Radiol 2000;11:876-83.</li>
<li>Krombach GA, Wendland MF, Higgins CB et al. MR imaging of spatial extent of microvascular injury in reperfused ischemically injured rat myocardium: value of blood pool ultrasmall superparamagnetic particles of iron oxide. Radiology 2002;225:479-86.</li>
<li>Schwitter J, Nanz D, Kneifel S et al. Assessment of myocardial perfusion in coronary artery disease by magnetic resonance. Circulation 2001;103: 2230-5.</li>
<li>Kim WY, Danias PG, Stuber M et al. Coronary magnetic resonance angiography for the detection of coronary stenoses. N Engl J Med 2001;345: 1863-9.</li>
</ol>

Woodwing Id
257444
Fil
English summary

Summary The use of contrast-enhanced magnetic resonance imaging (CMRI) in the evaluation of myocardial infarction Ugeskr L&aelig;ger 2004;166:261-266 Contrast-enhanced magnetic resonance imaging (CMRI) has been shown to be effective in identifying the presence and extent of myocardial infarction, as well as predicting improvements in contractile function after coronary revascularization ("viability"). The unique feature of this novel technique is its very high spatial resolution, which allows for precise anatomical assessment of the transmural extent of the infarction. In this article, we outline the CMRI procedure and demonstrate the ability of CMRI to predict functional recovery after coronary revascularization in a patient with severe left ventricular dysfunction.

Bib ref
Ugeskr Læger 2004;166(04):261-266
Authors

Stud.med. Steen Fjord Pedersen, reservelæge Won Yong Kim, overlæge Erik Lundorf & professor Torsten Toftegaard Nielsen Århus Universitetshospital, Skejby Sygehus, MR-centret og Hjertemedicinsk Afdeling B.

0 likes
Read time
8