Medlem i

12 years 10 months
Indholdselementer
Billede
Sidebar placering
Venstrestillet


Vandremilt er en sjælden tilstand, der ses ved 0,2-0,3% af alle splenektomier [1, 2]. Ca. en tredjedel af tilfældene diagnosticeres hos børn, og fra 1889 til nu er der i verdenslitteraturen kun beskrevet 74 tilfælde af vandremilt hos børn [1].

Vandremilt ses i to former, en erhvervet og en kongenit form. Hos børn ses den kongenitte form, som skyldes manglende dannelse af de gastrospleniske og frenikospleniske ligamenter ved dannelsen af lille sæk i føtallivet [1-4].

Vandremilt kan i sig selv være asymptomatisk, men medfører pga. en forlængelse af miltpediklen en øget risiko for akut milttorsion [1] og deraf følgende akut abdomen. Vi gennemgår en sygehistorie med en seksårig dreng med milttorsion.

SYGEHISTORIE

En seksårig tidligere rask dreng blev indlagt med mavesmerter. Smerterne havde varet i et døgn og forværredes ved gang. Patienten havde haft en enkelt opkastning. Ved den objektive undersøgelse var drengen sløv og subfebril (38,0 °C). Den abdominale undersøgelse var præget af palpationsømhed med direkte og indirekte ømhed samt slipømhed. Smerterne var diffuse, men tolkedes som maksimale i højre fossa. Der var naturlige tarmlyde. På mistanke om akut appendicitis blev det besluttet at foretage en diagnostisk laparoskopi.

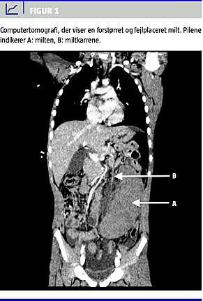
På operationsstuen blev drengen lagt i generel anæstesi, hvorefter man observerede en stor, frit forskydelig proces til venstre i abdomen. Der blev på denne baggrund bestilt en akut ultralydskanning (UL). Da denne var inkonklusiv, og da flowforholdene ikke kunne ikke afklares, fulgte man op med en computertomografi, som viste en forstørret milt, en muligvis fortykket appendix og fri væske i det lille bækken (Figur 1 ). Paraklinisk var der følgende niveauer: C-reaktivt protein over 200 mg/l, leukocytter 17 × 10 9 /l, hæmoglobin 5,3 mM, trombocytter 103 × 10 9 /l, K+ 5,7 mM, Na + 131 mM og spontan plasma protrombintid på 46%.

På indikationen peritoneal reaktion af uafklaret årsag blev der udført diagnostisk laparoskopi, hvor appendix blev fundet normal, mens milten var forstørret og iskæmisk. På mistanke om akut milttorsion konverterede man til åben operation. Torsionen blev ophævet, hvilket medførte en mindre, om end utilstrækkelig, farveændring, og pga. risikoen for reperfusionsmedieret shock valgte man at foretage splenektomi. Den udtagne milt målte 14 × 8 × 5 cm og vejede 493 g.

Efterforløbet var ukompliceret, og patienten blev udskrevet på femtedagen. Samtidig blev patientens tvillingebror henvist til ambulant UL på mistanke om vandremilt. Ved denne undersøgelse fandt man en milt med normal størrelse og placering.

DISKUSSION

Torsion af abdominalorganer ses meget sjældent hos børn og er vanskelig at diagnosticere præoperativt. Galdeblæretorsion er f.eks. i den engelsksprogede verdenslitteratur kun rapporteret hos børn i 19 tilfælde [5]. Milttorsion er ligeledes en sjælden tilstand, hvor diagnosen kun stilles præoperativt i 50-55% af tilfældene [3, 4].

De hyppigste debutsymptomer for milttorsion hos børn er akutte mavesmerter [2], og tilstanden forveksles oftest med appendicitis [4]. Billeddiagnostik er således oftest nødvendig for at stille diagnosen [2, 4]. Billeddiagnostik kan desuden anvendes, hvor der findes behov for at undersøge tvillingesøskende. Da vandremilt er en kongenit tilstand og ofte kan være symptomfri, bør raske tvillingesøskende undersøges for vandremilt med henblik på at forebygge milttorsion.

Historisk set har splenektomi været den foretrukne behandling af milttorsion. I løbet af de seneste årtier har en øget forståelse af miltens rolle i immunsystemet dog medført et ønske om at undgå splenektomi, især hos børn. I dag anbefaler man at behandle milttorsion med detorkvering og efterfølgende splenopeksi enten udført med mesh , peritoneal pouch eller suturering. Splenektomi er dog stadig indiceret ved direkte operative tegn til infarkt, trombosedannelse eller nekrose af milten. Hos patienter med asymptomatisk vandremilt anbefales torsionsforebyggende splenopeksi [2, 4].

Milttorsion er en sjælden, men vigtig differentialdiagnose ved akut abdomen hos børn. Det er en vanskelig diagnose at stille klinisk, men tidlig billeddiagnostik med f.eks. UL kan medføre hurtigere behandling og dermed lavere risiko for splenektomi og de deraf følgende infektionsrisici. I de sjældne tilfælde, hvor det drejer sig om et enægget tvillingepar, bør begge tvillinger undersøges med henblik på at diagnosticere en evt. asymptomatisk vandremilt hos den raske tvilling og tilbyde patienten forebyggende splenopeksi.

src="/LF/images_ufl/ufl_bla.gif">
Neel Maria Helvind , Istedgade 116, 5. tv., 1650 København V. E-mail: neelhe@stud.ku.dk

ANTAGET: 14. juni 2012

FØRST PÅ NETTET: 24 september 2012

INTERESSEKONFLIKTER: Forfatternes ICMJE-formularer er tilgængelige sammen med artiklen på Ugeskriftet.dk



Sidebar placering
Venstrestillet
Article type
Journal
Magazine
Section
References

<ol class="Litt-list">
<li>Lamesch P, Lamesch A. Anomalies of the position of the spleen in the child. Langenbecks Arch Chir 1993;378:171-7.</li>
<li>Soleimani M, Mehrabi A, Kashfi A et al. Surgical treatment of patients with wandering spleen: report of six cases with a review of the literature. Surg Today 2007;37:261-9.</li>
<li>Brown CVR, Virgilio GR, Vazquez WD. Wandering spleen and its complications in children: a case series and review of the literature. J Pediatr Surg 2003;3:1676-9.</li>
<li>Allen KB, Andrews G. Pediatric wandering spleen - the case for splenopexy: review of 35 reported cases in the literature. J Pediatr Surg 1989;24:432-5.</li>
<li>Matsuda A, Sasajima K, Miyamoto M et al. Laparoscopic treatment for torsion of the gallbladder in a 7-year-old female. JSLS 2009;13:441-4.</li>
</ol>

Woodwing Id
253649
English summary

Summary Splenic torsion as cause of acute abdomen in children Ugeskr L&aelig;ger 2013;175(9):587-588 A six-year-old boy was admitted with symptoms consistent with acute appendicitis. Immediately before placement of the first trocar, a large abdominal mass was observed which on imaging was identified as a torsioned spleen. Due to suboptimal reperfusion and risk of reperfusion-mediated morbidity a splenectomy was performed. The recovery was uneventful. The child had a twin brother who on a routine ultrasound examination was found to have a normally positioned spleen. Challenges in diagnosis and treatment of children with splenic torsion is discussed.

Bib ref
Ugeskr Læger 2013;175(9):587-588
Authors

Neel Maria Helvind1, Ismail Gögenür1 & Morten Stadeager2 1) Center for Perioperativ Optimering, Gastroenheden, Herlev Hospital 2) Kirurgisk Afdeling, Hillerød Hospital

0 likes
Read time
5