Medlem i

13 years 1 month
Indholdselementer

Tumornekrosefaktor (TNF)-α-hæmmere er registreret til behandling af en række dermatologiske, gastrointestinale og reumatologiske lidelser, herunder
mb. Bekhterev. TNF-α har en central rolle i immunresponset og er afgørende for makrofagernes evne til fagocytose og granulomdannelse, der er essentiel i bekæmpelsen af blandt andet Mycobacterium tuberculosis.

I denne sygehistorie beskrives et nyopstået tilfælde af miliær tuberkulose (tb) kompliceret af tuberkuløst perikardieekssudat hos en mand, der var i behandling med TNF-α-hæmmer.

SYGEHISTORIE

En 45-årig etnisk dansk mand blev indlagt på mistanke om pneumoni; han havde 39,5 °C feber og havde haft produktiv hoste igennem et par uger. Manden var toethalvt år forinden påbegyndt behandling med TNF-α-hæmmeren adalimumab mod mb. Bekhterev med eklatant effekt på symptomerne. Han var ellers rask og fik ingen anden medicin. Inden behandlingen blev påbegyndt, havde man som anbefalet udelukket tb ved hjælp af røntgen af thorax og en negativ enzymimmunanalyse, der blev foretaget, mens patienten ikke var i anden immunsuppresiv behandling, der ellers kan give falsk negativt resultat. Han havde ingen kendte tb-risici i øvrigt. To måneder inden indlæggelsen havde man ved en rutinekontrol bemærket forhøjede koncentrationer af akutfasereaktanter, almensymptomer, træthed, madlede og et vægttab på 10 kg over et par måneder, hvilket man tilskrev opblussen i mb. Bekhterev og patientens egen forklaring om psykisk belastning i forbindelse med pårørendes sygdom. Patienten levede et almindeligt liv med familie og fuldtidsarbejde, havde intet alkoholmisbrug og benægtede social eller rejsemæssig risikoadfærd med mulig eksponering for tb.

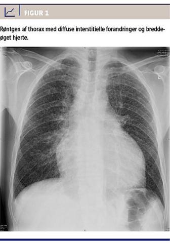
Ved indlæggelsen fandt man iltsaturation 94% uden ilttilførsel, respirationsfrekvens 30/min, normale forhold ved lungestetoskopi , en leukocytkoncentration på 4,6 mia./l (referenceinterval: 3,5-8,8 mia./l) og en koncentration af C-reaktivt protein på 65 mg/l (referenceinterval: 0,0-8,0 mg/l). På røntgen af thorax fandt man talrige interstitielle forandringer diffust i begge lunger og breddeøgning af hjertet (Figur 1); begge fund var tilkommet efter en kontrol to måneder tidligere.

På mistanke om miliær tb påbegyndte man antituberkuløs behandling, og diagnosen blev bekræftet med positiv mikroskopi og polymerasekædereaktion af ekspektorat. Ved ekkokardiografi sås et 3 cm perikardieekssudat, der omkransede hele hjertet og krævede akut perikardiocentese, da patienten blev
hæmodynamisk påvirket. Efter påbegyndelse af antibiotikabehandling sås hurtig bedring, og patienten var afebril i løbet af et par dage og blev efter eget
ønske udskrevet efter otte dage til ambulant opfølgning. For at mindske risikoen for constrictio cordis suppleredes behandlingen med en prednisolonkur. Smittekilden blev lokaliseret til et nydeligt værtshus, som patienten besøgte en gang ugentligt som medlem af en billardklub, og verificeredes ved påvisning af samme relativt sjældne stamme af M. tuberculosis (nr. 1873-157) hos to andre værtshusgæster, hvoraf den ene formentlig var indeksperson.

Sidebar placering
Venstrestillet
Billede
Sidebar placering
Venstrestillet

DISKUSSION

Forbruget af biologiske lægemidler er vokset betydeligt i de seneste år. I 2011 var 7.094 patienter i
biologisk behandling i Danmark, heraf 3.934 for reumatoid artritis og 1.220 for mb. Bekhterev [1]. TNF-α-hæmmere, herunder adalimumab, udgør størstedelen af behandlingsmedikamenterne (70%) [1].

Der er observeret en øget forekomst af tb hos behandlede patienter, oftest som følge af reaktivering af latent tb, hvorfor det inden behandlingsstart med TNF-α-hæmmere er anbefalet at udelukke aktiv eller latent tb [2].

I Danmark er der kasuistisk rapporteret om to tilfælde af tb hos patienter, der var i TNF-α–hæmmer-behandling, og Lægemiddelstyrelsen har i alt fået anmeldt 27 tilfælde uden nærmere specifikation [3]. De to tidligere beskrevne patienter har formentlig haft latent tb, idet den ene tidligere var behandlet for tb, og den anden kom fra et højendemisk område i udlandet og var smittet med en sjælden stamme af
M. tuberculosis [3]. Patienten i denne sygehistorie var en etnisk dansker uden social risikoadfærd og havde fulgt gældende retningslinjer for udredning af aktiv og latent tb. Han fik symptomer 2-2,5 år efter påbegyndelse af behandling med adalimumab og blev sandsynligvis smittet efter behandlingsstarten. Ekstrapulmonal eller dissemineret tb ses hos hovedparten af patienter, der har tb og er blevet behandlet med TNF-α-hæmmere, i modsætning til hos patienter, der ikke har fået behandlingen, hvor ca. 80% har isoleret pulmonal-tb [4, 5].

Denne sygehistorie understreger vigtigheden af, at alle patienter, der er i biologisk behandling, også dem uden risikoadfærd, ikke kun screenes for tb inden påbegyndelse af behandlingen, men også undersøges straks ved nytilkomne almene eller pulmonale symptomer under og efter TNF-α-behandling.

KORRESPONDANCE: Casper Lund-Andersen, Medicinsk Afdeling, Roskilde Sygehus, Køgevej 7-13, 4000 Roskilde. E-mail: casper@lund-andersen.com

ANTAGET: 22. januar 2013

Publiceret på Ugeskriftet.dk: 8 juli 2013

INTERESSEKONFLIKTER:

Sidebar placering
Venstrestillet
Article type
Journal
Magazine
Section
References

<h2>
<h2>LITTERATUR</h2>
<ol type="d">
<li><p>Danbio Årsrapport 2011. https://danbio-online.dk/om-danbio/arsrapport-<br>2012/at_download/file (17. jul 2012).</p></li>
<li><p>Retningslinjer for undersøgelse for latent og aktiv tuberkulose forud for behandling med TNF-hæmmere og andre biologiske lægemidler hos dermatologiske, reumatologiske, gastroenterologiske og lungemedicinske patienter. http://<br>lungemedicin.dk/TB%20og%20biologiske%20laegemidler.pdf (1. jun 2012).</p></li>
<li><p>Dahl M, Ravn P. Udvikling af tuberkulose efter behandling med TNF-α-inhibitoren infliximab. Ugeskr Læger 2005;167:527.</p></li>
<li><p>Keane J, Gershon S, Wise RP et al. Tuberculosis associated with infliximab, a tumor necrosis factor alpha-neutralizing agent. N Engl J Med 2001;345:1098-104.</p></li>
<li><p>Statens Serum Institut. Smitteberedskab. http://www.ssi.dk (1. jun 2012).</p></li>
</ol>
</h2>

Woodwing Id
44769
Fil
Conflict of interest
English title
Miliary tuberculosis in a patient with morbus Bechterew treated with tumour necrosis factor-alpha
English summary

Tumour necrosis factor (TNF)-&alpha; inhibitors are registered for treatment of several severe dermatologic, rheumatologic and gastrointestinal diseases. Due to TNF-&alpha;&rsquo;s important role in the immune system patients have increased risk of serious infections during treatment with TNF-&alpha; inhibitor. We here present a case of miliary tuberculosis complicated by pericardial effusion in a Danish man treated with TNF-&alpha; inhibitor that emphasizes the need for rapid examination of new symptoms in this patient category.

Authors workplaces

Medicinsk Afdeling, Roskilde Sygehus

Ugeskr Læger 2014;176:V11120642

Bib ref
Ugeskr Læger 2014;176:V11120642
Article number
V11120642
Authors

Casper Lund-Andersen, Mette Grove & Kirsten Rasmussen

0 likes