Medlem i

12 years 10 months
Indholdselementer

Basalcellekarcinom (BCC) er den hyppigste cancerform i Danmark med 15.000 nye tilfælde årligt [1]. Forløbet er ofte fredeligt, men det er velkendt, at BCC kan være lokalt aggressivt. Det er mindre kendt, at BCC i meget sjældne tilfælde kan metastasere. I sygehistorien beskrives en patient med lymfeknudemetastase fra BCC.

Sygehistorie

En rask kaukasid mand uden tidligere cancerhistorik, men med familiær disposition til hudkræft fik som 47-årig BCC, og over ti år fik han behandlet ca. 20 BCC’er.

Det første BCC var lokaliseret på højre regio pectoralis. Det blev initialt tolket som udbrud af akne og var vokset til ca. 2 cm i diameter og 1 cm i dybden på diagnosetidspunktet. På plastikkirurgisk afdeling exciderede man karcinomet i 8 mm afstand til siderne, profund medtog man en tynd bræmme subcutis. Patologisk undersøgelse viste BCC af nodulær type i den superficielle del, men med mere infiltrativt præg i dybden. Tumoren var ikke radikalt fjernet i dybden, hvorfor man reexciderede, idet man medtog subcutis ned til muskelfascien uden fund af resttumor.

Omkring seks år efter debuten af primærtumoren henvendte patienten sig til sin egen læge, fordi han havde haft en udfyldning i højre aksil i seks måneder. Klinisk fandt man en ærtstor udfyldning i højre aksil og en CT viste en let forstørret lymfeknude på 1,1 × 0,9 cm. På en efterfølgende UL-skanning sås en ca. 2 cm stor lymfeknude, hvorfra man foretog grovnålsbiopsi. Denne viste overraskende BCC, og patienten blev henvist til en plastikkirurgisk afdeling.

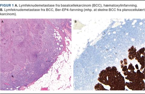
Lymfeknuden blev excideret for verificering af den sjældne diagnose, der histologisk bekræftede BCC. Man formodede, at metastaserne stammede fra patientens første BCC, grundet primærtumorens størrelse, dybde og histologi. Ved PET/CT blev recidiv i primærarret og yderligere metastaser afkræftet. Patienten blev behandlet med højresidig aksileksairese med fund af lymfeknudemetastase fra BCC i tre af 23 lymfeknuder (Figur 1).

Sidebar placering
Venstrestillet
Billede
Sidebar placering
Venstrestillet

Patientens far og onkel havde også talrige BCC’er, hvorfor han blev vurderet på en klinisk genetisk afdeling. Her blev det konstateret, at der ikke var tegn på Gorlins syndrom.

På en tværfaglig konference fandt man ikke indikation for systemisk behandling med vismodegib, da patienten ikke havde aktive BCC.

Han blev fulgt i plastikkirurgisk regi med kliniske kontroller og flere PET/CT’er, og kontrollerne blev afsluttet efter fem år, hvor der ikke havde været tegn på recidiv.

Diskussion

BCC er den hyppigste kræftform i Danmark og har generelt en god prognose, da den vokser langsomt og sjældent metastaserer [1].

Diagnosen stilles ved biopsi og efterfølgende histologisk undersøgelse af vævet. Histologisk findes der forskellige subtyper, hvor de hyppigste lavrisikotyper er nodulær og superficiel BCC, og de hyppigste højrisikotyper er morfea, infiltrerende og basoskvamøs [2, 3].

Langvarig ultraviolet-B-bestråling, røntgenstråler og arsenik menes at være risikofaktorer for at få BCC.

I de europæiske guidelines anslår man, at der sker metastasering i 0,0028-0,55% af alle tilfælde, men incidensen er behæftet med usikkerhed [4]. I et dansk studie analyserede man 170 potentielle metastaserende BCC (mBCC) i perioden 1997-2010, men kunne histologisk kun bekræfte fem [3].

Det basoskvamøse karcinom har et metastaseringspotentiale på omkring 5%. Den mere aggressive udvikling ved disse tumorer skyldes formentlig den pladecellelignende komponent [3].

Der foreligger ikke danske guidelines for behandling af mBCC, men i oversigtsartikler har patienterne typisk fået kirurgi, stråleterapi og medicinsk onkologisk behandling [4]. Der findes nyere studier, hvor man har inkluderet patienter, der fik vismodegib, som har vist sig at være effektivt til downstaging af BCC. Vismodegib er et antineoplastisk middel, der hæmmer Hedgehog-signalvejen og er godkendt til medicinsk behandling af lokalt avancerende BCC og mBCC [3, 5].

Risiko for udvikling af mBCC er hankøn, persisterende tumor, resistens over for tidligere behandling og tumorer > 2 cm. De mere aggressive histologiformer, som morfeaform og infiltrerende form har også et større metastaseringspotentiale.

mBCC spredes hæmatogent og lymfogent, primært til lymfeknuder og lunger [3, 4].

Man har tidligere fundet en femårsoverlevelse på < 10% for mBCC. Et nyere studie viser bedre overlevelse med kun et dødsfald, og af de resterende var halvdelen i live med sygdom og den anden halvdel uden tegn på sygdom ved femårsfollowup [5].

Da BCC sjældent metastaserer, kan det være en klinisk udfordring at genkende og få mistanke om metastase fra BCC, men det er ikke desto mindre vigtigt for at forbedre overlevelsen fra diagnosetidspunktet.



Korrespondance Julie Tastesen Johannessen. E-mail: julietastesen@gmail.com
Antaget 23. juli 2021
Publiceret på ugeskriftet.dk 13. september 2021
Interessekonflikter ingen. Forfatternes ICMJE-formularer er tilgængelige sammen med artiklen på ugeskriftet.dk
Referencer findes i artiklen publiceret på ugeskriftet.dk
Artikelreference Ugeskr Læger 2021;183: V01210044

Sidebar placering
Venstrestillet
Article type
Journal
Magazine
Section
References

Referencer

  1. Nye kræfttilfælde i Danmark – Årsrapport Cancerregistret Bilag 4. Sundhedsdatastyrelsen, 2019.

  2. Peris K, Fargnoli M, Garbe C et al. Diagnosis and treatment of basal cell carcinoma: European consensusebased interdisciplinary guidelines. Eur J Cancer 2019;118:10-34.

  3. Bisceglia M, Panniello G, Galliani C et al. Metastatic basal cell carcinoma of the skin. Adv Anat Pathol 2020;27:331-53.

  4. McCusker M, Basset-Seguin N, Dummer R et al. Metastatic basal cell carcinoma: Prognosis dependent on anatomic site and spread of disease. Eur J Cancer 2014;50:774-83.

  5. Laga A, Schaefer I, Sholl L et al. Metastatic basal cell carcinoma. Am J Clin Pathol 2019;152:706-17.

Woodwing Id
55871
Fil
Conflict of interest
English title
Metastatic basal cell carcinoma
English summary

Julie Tastesen Johannessen & Michael Prangsgaard Møller

Ugeskr Læger 2021;183:V01210044

Basal cell carcinoma (BCC) is the most common diagnosed skin cancer. It often has a benign course, and metastatic BCC is extremely rare with an incidence of 0,0028-0,55%. It spreads by lymphatic and haematogenous routes, primarily to lymph nodes and lungs. The more aggressive histological types as infiltrating and morphea form is more likely to undergo metastasis. This is a case report of a patient with a primary neglected BCC on the trunk. The BCC underwent metastasis to the axillary lymph nodes. Radical axillary lymph node dissection was performed, and no further treatment was initiated.

Authors workplaces

1) Plastik- og Brystkirurgi, Aarhus Universitetshospital, 2) Afdeling for Plastikkirurgi, Københavns Universitetshospital – Herlev Hospital

Ugeskr Læger 2021;183:V01210044

Bib ref
Ugeskr Læger 2021;183:V01210044
Article number
V01210044
Authors

Julie Tastesen Johannessen1 & Michael Prangsgaard Møller2

0 likes