Medlem i

13 years 1 month
Indholdselementer

Larynxmetastaser fra colonadenokarcinom forekommer ekstremt sjældent. Forekomsten er på 0,09-0,4% af alle larynxtumorer [1]. Oftest udgår larynxmetastaser fra et renalcellekarcinom eller fra et malignt melanom. Derudover er der i sjældne tilfælde beskrevet spredning fra colon-, pancreas- eller mammacancer [2]. Omkring 38% af alle larynxmetastaser er placeret supraglottisk og 18% subglottisk. I 35% af alle larynxmetastaser er der mere end et sted involveret, formentlig fordi lymfe- og blodkarrene i larynx er så veludviklede. I litteraturen er der kun beskrevet otte tilfælde af metastase til larynx, hvor primærcanceren var et colonadenokarcinom [1]. Med denne sygehistorie beskrives således det niende tilfælde i litteraturen.

SYGEHISTORIE

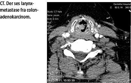
En 74-årig kvinde blev henvist fra egen otolog til den lokale øre-næse-hals-afdeling med diagnosen larynxtumor. Kvinden havde fem år forinden fået konstateret coloncancer med metastaser til lever og lymfeknuder. Hun var erklæret rask på undersøgelsestids-
punktet. Hun havde gennem 14 dage haft tiltagende kriller i halsen og let besværet vejrtrækning. Der var intet utilsigtet vægttab og ingen halssmerter. Objektivt fandt man, at stemmen var diskret forandret. Der var ingen stridor. En fiberlaryngoskopi viste en pendulerende benignt udseende tumor, hvor slimhinden var glat og ikke ulcerende eller polypøs og inddrog 70-80% af tracheas lumen. Tumoren udgik fra underkanten af højre plica vocalis. En CT af hals, thorax og øvre abdomen viste en tumor på 50 × 8 × 7 mm. Tumoren strakte sig fra plica vocalis og ned til overkanten af TH1 (Figur 1). Der blev ved samme skanning fundet et infiltrat i venstre lunges underlap. Dette infiltrat var uændret fra tidligere skanninger og gav ikke mistanke om lungemetastase. Larynxmetastasen var således den eneste metastase fra coloncanceren og ikke en del af en dissemineret sygdom på operationstidspunktet. Tumoren blev fjernet makroskopisk radikalt ved et mikrolaryngoskopisk indgreb. Den efterfølgende histologiske undersøgelse viste, at der var metastase fra et adenokarcinom med primær udgangspunkt i patientens tidligere colonadenokarcinom. Tumoren var kraftig positiv for CDX2 og dispers positiv i CK20 og negativ CK7. Patienten blev henvist til en onkologisk afdeling til videre opfølgning og fik efterfølgende strålebehandling på et lille larynxfelt, da man ikke kunne se, om der var frie resektionsrande. Ved en efterfølgende kontrol blev der ikke fundet recidiv i larynx, men derimod metastaser til lungerne og colon sigmoideum. Patienten var fortsat i live efter seks måneder.

Sidebar placering
Venstrestillet
Billede
Sidebar placering
Venstrestillet

DISKUSSION

Metastaser i larynx forekommer ekstremt sjældent. Patienter, der tidligere har haft kræft i nyrerne, prostata, brystet og tyktarmen eller modermærkekræft har en øget risiko for uventede larynxinvolvering ved metastatisk sygdom [2]. Den mest almindelige mekanisme for larynxmetastaser er hæmatogen spredning via vena cava inferior [3].

Symptomer på larynxmetastaser afhænger af lokalisation [1]. Metastaser, som ligger supraglottisk, opdages oftest ved, at de giver synkebesvær. Hæshed eller åndenød ses oftest ved metastaser på glottis.

Stridor og luftvejsobstruktion er hyppigste symptomer på subglottiske metastaser [4].

Symptomer fra meget vaskulære metastaser som f.eks. renalcellekarcinom kan give hæmoptyse [1]. Behandlingen af larynxmetastaser afhænger af, om der er andre samtidige metastaser og patientens almentilstand. Larynxmetastaser fra colonadenokarcinom behandles kun kurativ, hvis man klinisk kan udelukke andre metastaser [5]. Kirurgisk behandling i form af endoskopisk laserresektion er foretrukket. Hvis dette ikke er muligt, foretages der total laryngektomi eller strålebehandling.

Prognosen for patienter med larynxmetastaser er generelt dårlig, da cancercellerne har nået larynx ved hæmatogen spredning [5]. Oftest er der multiple metastaser. Kun fire andre tilfælde af isoleret colonadenokarcinommetastaser er beskrevet tidligere. Dette er det femte tilfælde. Gennemsnitlig overlevelse er
15 måneder for isolerede metastaser til larynx.

Kræftpatienter med vedvarende symptomer såsom hæshed, stridor, halssmerter og synkebesvær bør have foretaget øre-næse-hals-undersøgelse med fiberskopi for at udelukke eventuelle metastaser til larynx. CT af halsen anbefales mhp. at afgrænse omfanget af larynxinvolvering og metastaser til cervikale lymfeknuder. Endelig diagnose opnås i generelt anæstesi ved direkte laryngoskopi, hvor man kan tage biopsier fra synlige tumorer og hvis muligt foretage endoskopisk laserresektion af hele tumoren [2].

Korrespondance: Naser Dadkhah, Øre-næse-halsafdelingen, Rigshospitalet, Blegdamsvej 9, 2100 København Ø. E-mail: naser53@hotmail.com

Antaget: 3. maj 2013

Publiceret på Ugeskriftet.dk: 5. august 2013

Interessekonflikter:

Sidebar placering
Venstrestillet
Article type
Journal
Magazine
Section
References

<h2>Litteratur</h2>
<ol type="d">
<li><p>Puxeddu R, Pelagatti CL, Ambu R. Colon adenocarcinoma metastatic to the larynx. Eur Arch Otorhinolaryngol 1997;254:353-5.</p></li>
<li><p>Abemayor E, Cochran AJ, Calcaterra TC. Metastatic cancer to the larynx: diagnosis and management. Cancer 1983;52:1944-8.</p></li>
<li><p>Hilger AW, Prichard AJ, Jones T. Adenocarcinoma of the larynx – a distant metastasis from a rectal primary. J Laryngol Otol 1998;112:199-201.</p></li>
<li><p>Marioni G, de Filippis C, Ottaviano G et al. Laryngeal metastasis from sigmoid colon Adenocarcinoma followed by peristomal recurrence. Acta Otolaryngol 2006;<br>126:661-3.</p></li>
<li><p>Ramanathan Y, Rajagopalan R, Rahman NA. Laryngeal metastasis from a rectal carcinoma. Ear Nose Throat J 2007;86:685-6.</p></li>
</ol>

Woodwing Id
48773
Fil
Conflict of interest
English title
Secondary neoplasms of the larynx from a colonic adenocarcinoma
English summary

Secondary neoplasms of the larynx are rare and account for 0.09-0,4% of all laryngeal tumours. Cutaneous melanomas are the preponderant primaries metastasizing to the larynx, fol&shy;lowed by renal cell carcinomas, breast and lung carcinomas. Colonic adenocarcinoma metastases to the larynx are extremely rare. Tumours spreading to the larynx may be asymptomatic or may result in hoarseness, stridor or airway obstruction. Patients with metastasis of colonic adenocarcinoma to the larynx usually present with disseminated disease. We present a case of an isolated laryngeal metastasis from a colonic adenocarcinoma. The patient was treated with endoscopic surgery and radiation.

Authors workplaces

1) Øre-næse-halsafdelingen, Rigshospitalet
2) Øre-næse-halsafdelingen, Rigshospitalet

Ugeskr Læger 2015;177:V11110556

Bib ref
Ugeskr Læger 2015;177:V11110556
Article number
V11110556
Authors

Naser Dadkhah1 & Christoffer Hahn2

0 likes