Medlem i

12 years 10 months
Indholdselementer

Hænderne er vores vigtigste redskaber til at føle og interagere med vores omgivelser, hvorfor skader i hånden kan føre til nedsat funktion og livskvalitet. Metakarpalfrakturer forekommer hyppigt med en incidens på 14/100.000 årligt og udgør 33% af alle håndfrakturer. Det er overvejende drenge og unge mænd, der kommer til skade ved slag eller fald, oftest i hjemmet [1]. Den initiale diagnostik udføres i almen praksis samt på skadestuen, og behandlingen kan i de fleste tilfælde være konservativ [2]. Tidlig mobilisering er afgørende for optimal funktion af hånden. Klinisk stabilitet af metakarpalfrakturer opnås typisk, før der er radiologiske tegn til heling, hvorfor afbandagering og mobilisering primært beror på klinisk vurdering og bandageringsvarighed frem for radiologi [3]. Fejlagtig eller protraheret immobilisering medfører ofte nedsat fleksion i metakarpofalangeal (MCP)-leddene, hvilket kan være vanskeligt at korrigere [4]. I denne artikel belyses de mest almindelige metakarpalfrakturer, behandlingen af dem og retningslinjer for, hvornår patienterne bør henvises til ortopædkirurgisk eller håndkirurgisk vurdering.

Sidebar placering
Venstrestillet
Hovedbudskaber
  • Metakarpalfrakturer kan oftest behandles konservativt.

  • Ved osteosyntese skal frakturen blive stabil, for at der kan iværksættes tidlig mobilisering.

  • Korrekt tidlig diagnostik, behandling og mobilisering er afgørende.

Ombryd tekst
0
Brødtekst
  • Metakarpalfrakturer kan oftest behandles konservativt.

  • Ved osteosyntese skal frakturen blive stabil, for at der kan iværksættes tidlig mobilisering.

  • Korrekt tidlig diagnostik, behandling og mobilisering er afgørende.

ANATOMI

Metakarpalknoglerne I-V udgør fundamentet for håndfladen og håndryggen samt agerer bindeled mellem håndrod og fingre. Proksimalt artikulerer trapezium med metakarpalknogle I i karpometakarpal (CMC)-led I, der er et saddelled, hvilket muliggør opposition, som er afgørende for håndens gribefunktion. Flere ligamenter stabiliserer CMC-led I både intra- og ekstrakapsulært i alle leddets bevægeretninger [5-6]. Trapezoideum, capitatum og hamatum danner sammen med metakarpalknoglerne II-V CMC-leddene II-V, der er glideled, hvor bevægeudslag aftager fra CMC-led V til II. CMC-leddene II og III er næsten uden bevægelighed, hvorfor kompensationsevne og dermed acceptabel fejlstilling er mindst i metakarpalknogle II og størst i metakarpalknogle V ved subkapitale brud [7]. Distalt dannes MCP-leddene I-V mellem metakarpalknogler og grundfalanges I-V. Leddene er indskrænkede kugleled med asymmetriske ledhoveder på metakarpalknoglerne, hvilket muliggør stort bevægelsesomfang. Kollaterale ligamenter radialt og ulnart på forskellige niveauer samt volarpladen medfører ligeledes god stabilitet [8]. Mellem caput på metakarpalknoglerne II-V er der tværgående ligamenter, der forankrer knoglerne til hinanden og ved brud fungerer stabiliserende [4]. Karforsyning til metakarpalknoglerne og resten af hånden udgår fra dorsale og volare arkader fra a. radialis og a. ulnaris [9].

KLINISK UNDERSØGELSE OG DIAGNOSTIK

God klinisk undersøgelse er afgørende for korrekt diagnostik og skal som altid ved mistanke om brud omfatte undersøgelse af evt. ledsagende kar-, sene- og nervelæsioner. Rotationsfejlstilling kan kun vurderes ved klinisk undersøgelse, hvor der i bekræftende fald ved strakte fingre og fleksion i MCP-leddene (med strakte mellem- og yderled) ses malrotation/overkrydsning af fingre. Ved klinisk mistanke om metakarpalfraktur tages der røntgenbilleder i tre projektioner, postero-anteriort, direkte sideprojektion og skråprojektion med friprojicering af mellemhåndsknoglerne. Man vurderer forkortning, vinkling og ledfladernes involvering. CT bruges ved behov for yderligere diagnostik af ossøs skade, især ved lednære frakturer eller brud i den distale række af håndrodsknoglerne.

METAKARPALFRAKTURER HOS BØRN

Traumemekanismen er overvejende fald og klemskader eller sammenstød med nogen eller noget. Størstedelen af de pædiatriske metakarpalfrakturer sker hos børn i aldersgruppen 13-16 år [10, 11]. Frakturer i hånden hos børn kan pga. epifyseskiverne være radiologisk udfordrende, og knap 10% fejldiagnosticeres [12]. Ved tvivl behandles barnet som havende en fraktur, og der foretages opfølgende klinisk og radiologisk kontrol efter en uge. Til frakturer i epifysen (epifysiolyse) bruges Salter-Harris-klassifikation [13], og der vil som regel være behov for lukket reposition og kun i sjældne tilfælde åben reposition [12]. Derefter behandles der i op til tre uger med bandagering i skinne samt klinisk og radiologisk kontrol efter en uge. Frakturer uden for epifysen opdeles i subkapitale og diafysære og kan, hvis de er udislocerede, behandles konservativt. Ved brud i metakarpalknogle I bruges der radial kantbandage (Figur 1), og til brud i metakarpalknogle II-IV bruges der dorsal skinne/gips (fra øverste tredjedel af underarmen til knoerne) og sambandagering med f.eks. buddy loop til en rask finger samt mobilisering af alle ikkelåste led for begge bandageringer. For at undgå, at frakturskred opdages for sent, bør frakturen kontrolleres radiologisk efter en uge. Hvis frakturstillingen stadig findes acceptabel, fortsættes bandageringen i maksimalt tre uger i alt. Subkapital fraktur i metakarpalknogle V kan behandles med en funktionel håndskinne i tre uger, hvilket hurtigere giver fuld gribestyrke [14] eller dorsal skinne/gips og sambandagering med f.eks. buddy loop til fjerde finger samt mobilisering af alle ikkelåste led for begge bandageringer. De subkapitale frakturer udgør 75% af alle metakarpalfrakturer hos børn. Der er indikation for åben eller lukket reposition af subkapitale frakturer i metakarpalknogle II til V, hvis den palmare vinkel overstiger respektive 10, 20, 30 og 40 grader [11], og hvis der foreligger en fejlrotation, en forkortning over 2-5 mm eller en forskydning. Repositionen foretages i generel anæstesi, og der kan være behov for osteosyntese for at fastholde stillingen. Efter en uge skal der foretages ambulant kontrol med røntgenoptagelse ved lukket reposition. Efter en operation foretages der ambulant kontrol alt efter operationsmetode efterfulgt af tidlig mobilisering.

Sidebar placering
Venstrestillet
Billede
Sidebar placering
Venstrestillet

METAKARPALFRAKTURER HOS VOKSNE

Skademekanismen ved brud i hånden er afhængig af alder og køn: Ældre kvinder pådrager sig hyppigst brud ved fald og unge mænd ved at uddele knytnæveslag [3, 15]. Bruddene inddeles efter lokalisation i intrakapitale, subkapitale, diafysære og basale.

METAKARPALKNOGLE I

Udislocerede, ekstraartikulære frakturer på første metakarpalknogle behandles konservativt med radial kantbandage (Figur 1) i fire uger samt røntgenkontrol efter 7-10 dage [16]. Dislocerede ekstraartikulære frakturer kan reponeres ved abduktion og indadrotation af tommelfingeren efterfulgt af anlæggelse af en radial kantbandage, men de vil ofte kræve operation med perkutane K-tråde (PCP) eller intern fiksering med skruer og plade (ORIF). Spiralfrakturer og skråfrakturer kan være ustabile, og en operation kan være nødvendig [3, 4]. Brud i basis af metakarpalknogle I giver flere udfordringer end brud i metakarpalknogle II-IV pga. muskeltræk fra flere af tommelens muskler. Intraartikulære frakturdislokationer i basis af første metakarpalknogle har to eponymer, der kræver operation pga. både ledinvolvering og muskeltræk.

BENNETTS FRAKTUR

Bennetts fraktur er avulsion fra den ulnare del af basis, hvilket medfører, at diafysen trækkes proksimalt af abductor pollicis longus-senen og dislocerer frakturen [3]. Denne fraktur er operationskrævende, idet det er vigtigt at ophæve subluksationen og genskabe ledfladen. Som regel anvendes der lukket reposition og PCP med to K-tråde. Derefter bandagering i 4-5 uger, initialt med radial kantbandage (Figur 1) og efter ti dage radiologisk kontrol samt ombandagering til cirkulær tommelspica efterfulgt af mobilisering, når K-trådene er fjernet efter overstået bandageringstid. Alternativt kan der anvendes ORIF, artroskopisk assisteret fiksering, tension band wiring eller ekstern fiksering. Der er dog ikke evidens for, at disse alternativer har fordele fremfor PCP [17].

ROLANDOS FRAKTUR

Rolandos fraktur består af tre fragmenter og er typisk Y- eller T-formet, hvilket betyder, at diafysen adskilles fra basis, der er delt i et ulnart og et radialt fragment. Derudover vil abductor pollicis longus-musklen, der insererer radialt på basis, og et basoulnart ligament efterlade metakarpalknogle I i næranatomisk position, men uden kontakt mellem diafyse og den fragmenterede basis [3]. Denne fraktur er mere udfordrende og har dårligere prognose end Bennets fraktur. Den behandles med ORIF eller ekstern fiksering, når intern fiksering ikke er mulig [18].

METAKARPALKNOGLE II-V

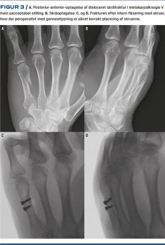
Udislocerede brud uden rotationsfejlstilling og dislocerede brud, der kan reponeres til tilfredsstillende stilling (Tabel 1), behandles med dorsalskinne/gips fra den øverste tredjedel af underarmen til knoerne og sambandagering til en rask nabofinger (f.eks. med buddy loop) i fire uger [19] eller med en funktionel bandage og tilsvarende sambandagering i tre uger [20-22]. Efter dette påbegyndes bevægeøvelser under sambandagering. Reposition af subkapitale frakturer udføres i lokalanalgesi med Jahss’ manøvre [23] (Figur 2). De maksimalt acceptable værdier for volar vinkling af subkapitale frakturer er angivet i Tabel 1. Hvis der ikke opnås tilfredsstillende reposition, anbefales brug af antegrad PCP eller ORIF (Figur 3) [24]. Skråfrakturer, avulsionsfrakturer, komminute frakturer og frakturer af multiple metakarpalknogler anses for at være ustabile og kræver ofte operation [4].

Sidebar placering
Venstrestillet
Billede
Sidebar placering
Venstrestillet
Billede
Sidebar placering
Venstrestillet
Billede
Sidebar placering
Venstrestillet

OMVENDT BENNETTS FRAKTUR

Frakturer i basis af metakarpalknogle V kaldes omvendt Bennetts fraktur eller Tennebs fraktur. Den disloceres ved, at extensor carpi ulnaris-musklen trækker metakarpalknoglen i proksimal og dorsal retning og derved sublukserer CMC-led V. I tilfælde af dislokation og inkongruent ledflade behandles denne fraktur med PCP eller ORIF [25].

GENERELT

Ved kombineret skade på bløddele og metakarpalknogle(r) er det oftest nødvendigt med ORIF med enten skruer (med eller uden plade), K-tråde eller metaflekspinde, således at både bløddele og fraktur(er) i passende omfang forsørges [26]. Derved opnås der mulighed for tidlig mobilisering, hvilket bedrer håndens funktion. For at opnå dette kræves der håndkirurgisk ekspertise. Kun ved omfattende kontaminering og risiko for infektion bør der overvejes ekstern fiksering, senere åben operation med stabil fiksering og tidlig mobilisering. Ved slag mod tænder er der risiko for dybere infektion i hånden med behov for revision og antibiotika samt risiko for artritis i MCP-leddet, hvis der har været et åbent sår og kommunikation hertil [27]. Den største udfordring ved mobilisering i forbindelse med metakarpalbrud er opretholdelsen af bevægeligheden i MCP-leddene, hvilket opnås bedst med tidlig mobilisering [28, 29]. Det er ligeledes vigtigt at bibeholde bevægeligheden i de proksimale interfalangealled.

KONKLUSION

Frakturer, der vurderes at være stabile, i god stilling og uden rotationsfejlstilling kan behandles konservativt. Optimal konservativ behandling kræver nøje klinisk undersøgelse, diagnostik af eventuelle ledsagende skader, præcis radiologisk diagnostik af alle brud og korrekt bandagering. Tidlig mobilisering instrueret af læger, sygeplejersker, fysioterapeuter eller ergoterapeuter er vigtig for at sikre den bedst mulige funktion af hånden. Ved ustabile eller intraartikulære frakturer, frakturer hos børn eller uacceptabel stilling skal der konfereres med en ortopædkirurg eller håndkirurg. Åbne brud kræver håndkirurgisk ekspertise.



KORRESPONDANCE: Karl Viktor Strange Guldagger. E-mail: guldfod@gmail.com
ANTAGET: 24. september 2020
PUBLICERET PÅ UGESKRIFTET.DK: 16. november 2020
INTERESSEKONFLIKTER: ingen. Forfatternes ICMJE-formularer er tilgængelige sammen med artiklen på Ugeskriftet.dk
LITTERATUR: Findes i artiklen publiceret på Ugeskriftet.dk

Sidebar placering
Venstrestillet
Article type
Journal
Magazine
Section
References

Litteratur

  1. Nakashian MN, Pointer L, Owens BD et al. Incidence of metacarpal fractures in the US population. Hand (N Y) 2012;7:426-30.

  2. Ben-Amotz O, Sammer DM. Practical management of metacarpal fractures. Plast Reconstr Surg 2015;136:370e-379e.

  3. Meals C, Meals R. Hand fractures: a review of current treatment strategies. J Hand Surg Am 2013;38:1021-31.

  4. Hardy MA. Principles of metacarpal and phalangeal fracture management: a review of rehabilitation concepts. J Orthop Sports Phys Ther 2004;34:781-99.

  5. Ladd AL, Weiss APC, Crisco JJ et al. The thumb carpometacarpal joint: anatomy, hormones, and biomechanics. Instr Course Lect 2013;62:165-79.

  6. Imaeda T, An KN, Cooney 3rd WP et al. Anatomy of trapeziometacarpal ligaments. J Hand Surg Am 1993;18:226-31.

  7. Nakamura K, Patterson RM, Viegas SF. The ligament and skeletal anatomy of the second through fifth carpometacarpal joints and adjacent structures. J Hand Surg 2001;26:1016-29.

  8. Minami A, An KN, Cooney 3rd WP et al. Ligamentous structures of the metacarpophalangeal joint: a quantitative anatomic study. J Orthop Res 1984;1:361-8.

  9. Uysal AC, Alagöz MS, Tüccar E et al. Vascular anatomy of the metacarpal bones and the interosseous muscles. Ann Plast Surg 2003;51:63-8.

  10. Ljungberg E, Dahlin LB, Granath F et al. Hospitalized Swedish children with hand and forearm injuries: a retrospective review. Acta Paediatr 2006;95:62-7.

  11. Godfrey J, Cornwall R. Pediatric metacarpal fractures. Instr Course Lect 2017;66:437-45.

  12. Kreutz-Rodrigues L, Gibreel W, Moran SL et al. frequency, pattern, and treatment of hand fractures in children and adolescents: a 27-year review of 4356 pediatric hand fractures Hand (N Y) 10. feb 2020 (e-pub ahead of print).

  13. Salter R, Harris W. Injuries involving the epiphyseal plate. J Bone Joint Surg Am 1963;45:587-622.

  14. Davison PG, Boudreau NL, Burrows RB et al. Forearm-based ulnar gutter versus hand-based thermoplastic splint for pediatric metacarpal neck fractures: a blinded, randomized trial. Plast Reconstr Surg 2016;137:908-916.

  15. Gudmundsen TE, Borgen L. Fractures of the fifth metacarpal. Acta Radiol 2009;50:296-330.

  16. Gade B. Metacarp fraktur I. National ortopædkirurgisk metodebog til skadestuebehandling. https://noms.dk/metacarp-fraktur-i/#toggle-id-5 (22. feb 2020).

  17. Rivlin M, Fei W, Mudgal CS. Bennett fracture. J Hand Surg 2015;40:1667-8.

  18. Carlsen BT, Moran SL. Thumb trauma: Bennett fractures, Rolando fractures, and ulnar collateral ligament injuries. J Hand Surg Am 2009;34:945-52.

  19. Gade B. Metacarp fraktur 2-5. National ortopædkirurgisk metodebog til skadestuebehandling. https://noms.dk/metacarp-fraktur-ii-v/#toggle-id-5 (22. feb 2020).

  20. Konradsen L, Nielsen PT, Albrecht-Beste E. Functional treatment of metacarpal fractures: 100 randomized cases with or without fixation. Acta Orthop Scand 1990;61:531-4.

  21. Hansen PB, Hansen TB. The treatment of fractures of the ring and little metacarpal necks: a prospective randomized study of three different types of treatment. J Hand Surg Br 1998;23:245-7.

  22. Poolman RW, Goslings JC, Lee J et al. Conservative treatment for closed fifth (small finger) metacarpal neck fractures. Cochrane Syst Rev 2005;3:CD003210.

  23. Jahss SA. Fractures of the metacarpals. J Bone Joint Surg 1938;20:178-86.

  24. Zong SL, Zhao G, Su LX et al. Treatments for the fifth metacarpal neck fractures: a network meta-analysis of randomized controlled trials. Medicine (Baltimore) 2016;95:e3059.

  25. Cobb WA, Dingle L, Adami RZ et al. Management of fracture-dislocations of the little finger carpometacarpal joint: a systematic review. J Hand Surg Eur 2018;43:530-8.

  26. Tang JB, Blazar PE, Giddins G et al. Overview of indications, preferred methods and technical tips for hand fractures from around the world. J Hand Surg Eur 2015;40:88-97.

  27. Søe NH, Vendel-Jensen N, Dahlin L et al. Håndens akutte infektioner. Ugeskr Læger 2009;171:1189-93.

  28. Xing SG, Tang JB. Surgical treatment, hardware removal, and the wide-awake approach for metacarpal fractures. Clin Plast Surg 2014;41:463-80.

  29. Tang JB. On the safe position for hand immobilization. J Hand Surg Eur 2019;44:993-5.

Woodwing Id
33195
Fil
Conflict of interest
English title
Metacarpalfractures
English summary

Karl Viktor Strange Guldagger, Lars B. Dahlin, Elisabeth Brogren & Niels Henrik Søe

Ugeskr Læger 2020;182:V08190477

Metacarpal fractures are common. Stable, extra-articular fractures can often be treated non-operatively with or without closed reduction, splinting and then mobilisation with buddy taping. Unstable or displaced extra-articular fractures, where adequate reduction cannot be maintained, and most intra-articular fractures require osteosynthesis. The goal for any treatment is early mobilisation. Intra-articular fractures, open fractures and certain paediatric fractures can lead to poor functional outcome; hence, referral to a hand surgeon is recommended in this review.

Authors workplaces

1) Ortopædkirurgisk Afdeling, Herlev Hospital, 2) Handkirurgiavdelning, Skånes Universitetssjukhus, 3) Klinik for Håndkirurgi, Gentofte Hospital

Ugeskr Læger 2020;182:V08190477

Bib ref
UgeskrLæger 2020;182:V08190477
Article number
V08190477
Authors

Karl Viktor Strange Guldagger1, Lars B. Dahlin2, Elisabeth Brogren2 & Niels Henrik Søe3

0 likes