Medlem i

12 years 10 months
Indholdselementer
Billede
Sidebar placering
Venstrestillet


I denne kasuistik beskrives et tilfælde af mesenteriel thrombangitis obliterans hos en 39-årig kvindelig ryger. Patienten blev henvist til gastroenterologisk udredning på grund af mavesmerter, kvalme og opkastning. Alle undersøgelser var normale. Et år senere blev patienten indlagt med akut abdomen og febrilia. Diagnostisk laparoskopi var normal. Patientens tilstand forværredes, og man foretog eksplorativ laparotomi. Man fandt inflammation og gangræn i tyndtarmen. Patologisk undersøgelse af resektatet viste forandringer, der var forenelige med thrombangitis obliterans.

Thrombangitis obliterans (TAO), der også er kendt som morbus Buerger, er en segmental, okklusiv inflammatorisk lidelse i små og mellemstore arterier. Tilstanden optræder oftest distalt i ekstremitetskar, men tilfælde med TAO i viscerale, cerebrale og koronare kar er beskrevet. Venerne kan være involveret i form af migrerende phlebitis. Ætiologien til TAO er ukendt. Sygdommen ses hovedsagligt hos yngre mandlige rygere. Kvinder udgør 8-20% af tilfældene [1, 2].

I denne kasuistik beskrives et tilfælde af mesenteriel TAO hos en kvindelig ryger.

Sygehistorie

En 39-årig kolecystektomeret kvindelig ryger med astma bronchiale blev henvist til udredning på grund af postprandiale mavesmerter, kvalme og diarré. Objektiv undersøgelse, laboratoriescreening inklusiv cøliakiscreening, laktosebelastning, sigmoideoskopi med biopsi, fæces for patogene tarmbakterier og parasitter var normale. Patienten (pt.) afsluttedes under diagnosen colon irritabile med diarré.

Et år efter blev pt. indlagt på grund af abdominalsmerter, opkastninger og et vægttab på syv kg. Man fandt C-reaktivt protein (CRP) på 135 mg/l, basisk fosfatase på 122 U/l og et leukocyttal på 19,0 × 10E9/l. Øvre endoskopi med endoskopisk ultralydsskanning og sigmoideoskopi var normale. Smerterne aftog, og patienten blev udskrevet.

Patienten blev genindlagt en måned senere med fornyede abdominalsmerter og febrilia. Man foretog diagnostisk laparoskopi, der var normal. Efterfølgende leukocytskintigrafi viste patologisk opladning i terminale ileum, hvorfor man på mistanke om morbus Crohn påbegyndte behandling med prednisolontabletter 50 mg daglig. Efter en uge blev dosis øget til 75 mg på grund af manglende effekt. Efterfølgende tyndtarmspassage viste et konglomerat af tykvæggede tyndtarme med præstenotisk dilatation. På trods af behandlingen fik patienten tiltagende abdominalsmerter, stigende CRP, s-orosomucoid og trombocyttal. Man foretog eksplorativ laparatomi, hvor man fandt de distale 50 cm af tyndtarmen inflammeret og med et gangrænøst område. Der blev foretaget ileocøkal resektion med primær anastomose. Postoperativt bedredes patienten ikke, og man foretog på ny eksplorativ laparotomi, man resecerede 40 cm tyndtarm med fuldvægsnekrose. Ved second look -laparotomi 12 timer senere blev der fjernet 30 cm iskæmisk tarm, og senere samme dag blev der fjernet yderligere 25 cm gangrænøs tyndtarm. Man anlagde høj ende-jejunostomi. Objektivt fandt man ingen tegn på perifer karaffektion, herunder vasculitis og dyb venøs trombose (DVT). Trombofili- og vasculitisudredning (inkl. antinuklære antistoffer, antineutrofile cytoplasmatiske antistoffer, kardiolipinantistoffer, lupus antikoagulans, D-dimer, tromboelastogram) kunne ikke påvise trombofili, vasculitis eller kollagen sygdom. På mistanke om trombosegenese påbegyndte man behandling med 75 mg acetylsalicylsyre intravenøst daglig.

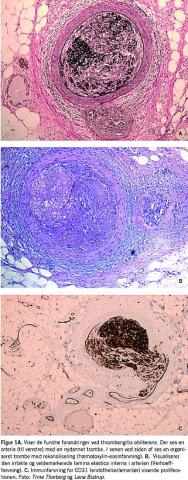
Makroskopisk undersøgelse af tyndtarmsresektatet viste ulcererende områder alternerende med normal tyndtarmsslimhinde. Histologisk fandt man udbredte vaskulære forandringer luminalt og perifert for tunica muscularis. Man fandt okklusion af vener og arterier med varierende grader af rekanalisering uden tilstedeværelse af kæmpeceller, granulomer eller fibrinoid nekrose. I flere tromboserede vener fandt man inflammation i karvæggen, ligesom en mindre del af arterierne havde intima proliferation. Lamina elastica interna var intakt. Patologerne fandt forandringerne forenelige med TAO.

Patienten fik det bedre og blev udskrevet med behandling i form af acetylsalicylsyretabletter, daglig injektion af enoxaparin og parenteral ernæring.

Diskussion

Der er ingen specifikke kriterier for diagnosen TAO. Der kræves, at patienten er ryger, og at reumatologisk og tromboembolisk sygdom, arteriosklerose og diabetes mellitus er udelukket [1, 2]. Patienten i denne case var ryger, ikke disponeret til arteriosklerose og havde ikke diabetes mellitus. Der blev ikke fundet tegn på reumatologisk eller tromboembolisk sygdom. Ved histologisk undersøgelse af den resecerede tyndtarm fandt man forandringer, der var forenelige med TAO (Figur 1 ).

I engelsksproget litteratur findes få rapporterede tilfælde af mesenteriel TAO. Oftest er ekstremitetskar afficerede før viscerale kar [3, 4]. Den patient, der beskrives i sygehistorien, adskiller sig ved manglende affektion af ekstremitetskar. Patientens primære symptomer var postprandiale mavesmerter og diarré, der udviklede sig til akut abdomen. Mesenteriel TAO er sjælden, men må indgå i de differentialdiagnostiske overvejelser ved iskæmilignende mavesmerter og diarré ved yngre rygere, specielt hvis der er tegn på ekstremitetsiskæmi, eller hvis patienten har TAO. Mortaliteten ved mesenteriel TAO anslås at være 40-50% trods behandling [4].


Christian Borbjerg Laursen , Organkirurgisk Afdeling A, Odense Universitetshospital, DK-5000 Odense C.

E-mail: fissirul_lohmand@hotmail.com

Antaget: 16. april 2008

Interessekonflikter: Ingen


  1. Schroeder TV, Sillesen H. Buergers sygdom - Thromboangiitis obliterans. I: Hansen NE, Haunsø S, Schaffalitzky De Muckadell OB, eds. Medicinsk Kompendium 16. Udg. København, Nyt Nordisk Forlag Arnold Busck, 2004:1219.
  2. Mills JL. Buerger's disease in the 21st century: Diagnosis, clinical features, and therapy. Semin Vasc Surg 2003;16:179-89.
  3. Kobayashi M, Kurose K, Kobata T et al. Ischemic intestinal involvement in a patient with Buerger's disease: Case report and literature review. J Vasc Surg 2003;38:170-4.
  4. Pfitzmann R, Nüssler NC, Heise M et al. Mesenterialarterienverschluss als seltene Komplikation bei Thromboangiitis obliterans. Der Chirurg 2002; 73:86-9.


Sidebar placering
Venstrestillet
Article type
Journal
Magazine
Section
References

<ol class="Litt-list">
<li>Schroeder TV, Sillesen H. Buergers sygdom - Thromboangiitis obliterans. I: Hansen NE, Haunsø S, Schaffalitzky De Muckadell OB, eds. Medicinsk Kompendium 16. Udg. København, Nyt Nordisk Forlag Arnold Busck, 2004:1219.</li>
<li>Mills JL. Buerger's disease in the 21st century: Diagnosis, clinical features, and therapy. Semin Vasc Surg 2003;16:179-89.</li>
<li>Kobayashi M, Kurose K, Kobata T et al. Ischemic intestinal involvement in a patient with Buerger's disease: Case report and literature review. J Vasc Surg 2003;38:170-4.</li>
<li>Pfitzmann R, Nüssler NC, Heise M et al. Mesenterialarterienverschluss als seltene Komplikation bei Thromboangiitis obliterans. Der Chirurg 2002; 73:86-9.</li>
</ol>

Woodwing Id
247894
Fil
Bib ref
Ugeskr Læger 2008;170(45):3678
Authors

Reservelæge Christian Borbjerg Laursen, 1. reservelæge Anette Hygum Knudsen & reservelæge Trine Thorborg Odense Universitetshospital, Kirurgisk Afdeling A, Medicinsk Gastroenterologisk Afdeling S og Afdeling for Klinisk Patologi

0 likes