Medlem i

12 years 10 months
Indholdselementer
Billede
Sidebar placering
Venstrestillet


Mesenteriel fibromatose (MF) er en benign proliferativ fibroblastær neoplasi, der er karakteriseret ved infiltrativ vækst, som udgår fra mesenteriet eller retroperitoneum. Lidelsen kan forekomme spontant eller hyppigere i association med Gardners syndrom (familiær polypose). Selvom den er sjælden (2-4 tilfælde pr. million pr. år) er det den hyppigst forekommende mesenterielle tumor [1]. Den kan ses i alle aldersklasser og er rapporteret helt ned i toårs alderen. MF forekommer dog hyppigst hos ældre.

Vi finder det relevant pga. den lave forekomst at gennemgå et tilfælde med MF, idet litteraturen er gennemsøgt særligt med henblik på opfølgning af denne patientkategori.

Sygehistorie

En 41-årig kvinde blev henvist til ambulant udredning for intraabdominal proces. Patienten havde gennem seks måneder haft et tiltagende abdominal omfang. Ultrasonisk undersøgelse af abdomen viste en 15 × 16 × 11 cm stor proces beliggende kaudalt for leveren. Efterfølgende computertomografi viste tumor velafgrænset og solid med let broget opladning og beliggende i det lille bækken, hvilket indikerede, at det kunne dreje sig om en mobil tumor. Der var ikke relation til genitalia interna; pancreas, milt og binyrer var normale, og der var ingen ascites. Blodprøver (væsketal, nyretal og levertal) var normale.

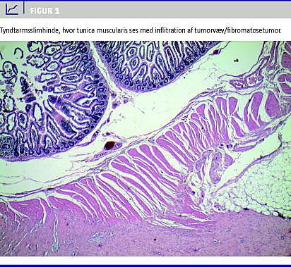
Patienten havde haft ganske lille afføringsændring i form af lidt mere fedtet afføring, men var i øvrigt uden gener. Der blev foretaget eksplorativ laparatomi, hvor man 140 cm fra Treitz ligament fandt en 1.262 g stor tumor, der sad fast til tyndtarmskrøset. En del af tyndtarmen var fuldstændig indlejret i tumor. På snitfladen sås tumorvævet let nodulært opbygget, men relativt ensartet og ensfarvet. Mikroskopisk sås en uskarpt afgrænset proces, der var opbygget af storiformt arrangerede tynde fibroblaster (Figur 1 ). Derudover sås brede strøg af keloidlignende kollagene strøg. Tumorcellerne infiltrerede op i tarmvæggen og således igennem tunica muscularis og ind i lamina propria samt ind i det omgivende krøs fedtvæv. Der var ingen perineuralvækst eller karinvasion. Ved immunhistokemisk farvning sås negativ reaktion for bredspektret keratin (AE1/AE3), melanom/neuromarkør (S100) og glatmuskelmarkører (actin, desmin) CD34 og GIST-markøren (CD117). Det drejede sig således morfologisk og immunhistokemisk om MF.

Der var i øvrigt normale intraabdominale forhold. Operationen forløb ukompliceret og patienten blev udskrevet på sjette postoperative dag i velbefindende. Der blev planlagt ambulant opfølgning med ultralydskanning efter seks måneder.

Diskussion

MF er sædvanligvis asymptomatisk indtil tumor komprimerer tyndtarm, colon eller ureter og resulterer i ubehag/smerter, mesenteriel iskæmi eller symptomer på ureter- eller tarmobstruktion. Det er i de fleste tilfælde ikke muligt at stille diagnosen præoperativt, idet de ikke kan differentieres fra mere aggressive tumorer såsom gastrointestinale stromatumorer (GIST) [2].

Kirurgisk resektion er den primære behandlingsform. De ses aldrig at metastasere, men lokalt recidiv er meget hyppig, da det er vanskeligt at se tumors afgrænsning, og da den kan infiltrere organer og strukturer såsom mesentericakarrene [3]. Hvor aggressiv, man skal være i forbindelse med resektionen, er uvist og kontroversielt. Der er ikke fundet andre ikkekirurgisk tilfredstillende behandlingsformer. Idet der ikke ses dysplasi, vil kemoterapi ikke komme på tale.

Der findes kun sparsom viden omkring alternative behandlingsformer og morbiditet hos denne patientgruppe. Et ældre followupstudie med 72 opererede patienter viste en recidivrate på 22% efter gennemsnitligt 25 måneder (2-60 måneder) [4]. Hos patienter med Gardners syndrom sås der tidligere og multiple recidiver, som tydede på, at sygdommen er mere aggressiv hos denne patientgruppe. Planlægning af opfølgning må baseres på et skøn, idet viden om sygdommens histopatologi inddrages.

Vi valgte at se patienten igen allerede efter seks måneder, men sandsynligvis vil der på dette tidspunkt ikke være tegn på recidiv. Da der ikke er noget malignt potentiale ved disse tumorer kan man formentlig lade intervallerne mellem de ambulante konsultationer strække sig til 12-24 måneder. Ultralydskanning må være den foretrukne initiale undersøgelsesmåde ved kontrollerne hos patienten uden symptomer. Ved recidiv må operabiliteten og i det hele taget nødvendigheden af operation vurderes ved computertomografi.


Helle Lund , Kirurgisk Klinik C, Abdominalcentret, Rigshospitalet, DK-2100 København Ø. E-mail: h.lund@dadlnet.dk

Antaget: 11. august 2008

Interessekonflikter: Ingen



Sidebar placering
Venstrestillet
Article type
Journal
Magazine
Section
References

<ol class="Litt-list">
<li>Straniero A, Casella G, Casella MC. Giant mesenteric fibromatosis. Eur Rev Med Pharmacol Sci 2005;9:223-5.</li>
<li>Giuliani A, Demoro M, Ciardi A et al. Mesenteric fibromatosis: case report. J Exp Clin Cancer Res 2007;26:425-8.</li>
<li>Holubar S, Dwivedi AJ, O´Connor J. Giant mesenteric fibromatosis presenting as a small bowel obstruction. Am Sur 2006;72:427-9.</li>
<li>Burke AP, Sobin LH, Shekitha KM. Mesenteric fibromatosis. Arch Pathol Lab Med 1990;114:832-5.</li>
</ol>

Woodwing Id
267182
English summary

Summary Mesenterial fibromatosis Ugeskr L&aelig;ger 2009;171(48):3539-3540 Mesenterial fibromatosis is a benign proliferating neoplasia that originates from the mesenterium or retroperitoneum. It occurs spontaneously and in patients with Gardner's syndrome. The only known treatment is resection but recurrence is frequent. We describe a case in a young woman.

Bib ref
Ugeskr Læger 2009;171(48):3539-3540
Authors

Læge Helle Lund & læge Bettina Filtenborg Ekvall Glostrup Hospital, Kirurgisk Afdeling

0 likes
Read time
4