Medlem i

13 years 1 month
Indholdselementer

Malrotation skyldes mangelfuld eller ufuldstændig rotation af den primære intestinalslynge hos embryonet. Malrotation af mellemtarmen medfører en forkortelse af tarmens mesenterium og forårsager ændringer af tarmens lejring, hvilket øger risikoen for volvulus. Tilstanden er associeret med ændringer i tarmens fiksering og med dannelse af fibrøse peritoneale strøg, laddske bånd, som kan forårsage duodenal obstruktion (Figur 1) [1].

Sidebar placering
Venstrestillet
Billede
Sidebar placering
Venstrestillet

SYGEHISTORIE

En 49-årig kvinde blev indlagt med akutte abdominalsmerter. Hun havde gennem mere end 20 år haft uspecifikke tarmsymptomer, postprandielle og lejringsbetingede smerter samt lejlighedsvise opkastninger. Patienten havde tidligere været indlagt med samme symptomer og var på mistanke om galdestenslidelse blevet kolecystektomeret. Et halvt år forud for den aktuelle indlæggelse var hun blevet udredt med magnetisk resonans (MR)-kolangiopankreatiografi og efterfølgende endoskopisk retrograd kolangiopankreatikografi med papillotomi uden varig effekt.

Ved ankomsten havde hun smerter under højre kurvatur, hun var afebril, uden ekskretmisfarvning, og biokemien var upåfaldende. Man fandt isoleret direkte ømhed under højre kurvatur uden ledsagende opkastninger.

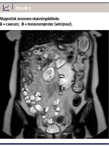
En ultralydskanning af øvre abdomen viste normale forhold. På baggrund af en colonindhældning foretaget 13 år tidligere blev der rejst mistanke om malrotation. Efterfølgende MR-skanning og computertomografi (CT) viste malroteret colon med caecum placeret til venstre for midtlinjen i umbilikalniveau. Skanningen viste desuden torsionsmønster i tyndtarmskrøset beliggende i højre øvre kvadrant, vægfortykkelse af duodenum og inflammation i krøset i det torkverede område (Figur 2). Patienten blev efterfølgende indkaldt til laparoskopisk deling af de laddske bånd, hvor man verificerede diagnosen. Der blev foretaget deling af et langstrakt fladt bånd mellem colon ascendens/caecum og duodenum/lever/laterale bugvæg samt detorkvering af mesenteriet. Operationen forløb planmæssigt med et ukompliceret postoperativt forløb.

Sidebar placering
Venstrestillet
Billede
Sidebar placering
Venstrestillet

DISKUSSION

Malrotation hos voksne er en sjælden tilstand, og prævalensen estimeres til 0,2%, hvor der langt overvejende er tale om asymptomatiske tilfælde. Malrotation diagnosticeres og behandles næsten udelukkende i neonatalperioden, ca. 90% får symptomer inden for det første leveår, og størstedelen af de resterende tilfælde forbliver asymptomatiske hele livet [2].

Hos den voksne patient med symptomgivende malrotation er der oftest tale om kroniske intermitterende obstruktionssymptomer i form af abdominalsmerter og opkastninger eller akut debuterende volvulus eller tarmiskæmi [3]. Patienterne har oftest kroniske ukarakteristiske obstruktionssymptomer og udgør derfor en diagnostisk udfordring.

Den foretrukne billeddiagnostiske undersøgelse er CT af tyndtarmen med peroral indgivet kontrastvæske, vha. hvilken man kan visualisere dilatation af duodenum, torsionsmønsteret samt ændret duodenalkonfiguration [3]. Diagnosen stilles i stigende grad ud fra standard-CT, hvor de abnorme anatomiske forhold af mellemtarmen samt evt. torsionsmønster viser sig. Denne undersøgelse har dog vist sig i visse studier at give op mod 25% falsk negative resultater [4].

Standardbehandlingen for malrotation er Ladds operation. Den involverer laparotomi og efterfølgende deling af laddske bånd, udvidelse af mesenteriet, evt. detorkvering af tarmen samt appendektomi. Ladds operation bliver i stigende omfang udført laparoskopisk, hvilket i hænderne på erfarne laparoskopører har vist sig at være en sikker og effektiv procedure, særligt i tilfælde uden manifest volvulus [2, 5].

Den symptomatiske patient med kendt malrotation har stor gavn af operation, som ofte giver komplet remission af symptomerne. Den præventive effekt af kirurgi med henblik på at reducere risikoen for volvulus er omdiskuteret, da incidensen af volvulus hos asymptomatiske patienter med malrotation er ukendt [3].

KORRESPONDANCE: Poul Edling, Hans Schourupsgade 9, 5. tv., 8000 Aarhus C. E-mail: poul.edling@gmail.com

Antaget: 27. februar 2013

Publiceret på Ugeskriftet.dk: 22. juli 2013

Interessekonflikter: Forfatternes ICMJE-formularer er tilgængelige sammen med artiklen på Ugeskriftet.dk

Sidebar placering
Venstrestillet
Article type
Journal
Magazine
Section
References

<h2>Litteratur</h2>
<ol type="d">
<li><p>Strouse PJ. Disorders of intestinal rotation and fixation (“malrotation”). Pediatric Radiology 2004;34:837-51.</p></li>
<li><p>Seymour NE, Andersen DK. Laparoscopic treatment of intestinal malrotation in adults. JSLS 2005;9:298-301.</p></li>
<li><p>Emanuwa OF, Ayantunde AA, Davies TW. Midgut malrotation first presenting as acute bowel obstruction in adulthood: a case report and literature review. World J Emerg Surg 2011;6:22.</p></li>
<li><p>Matzke GM, Dozois EJ, Larson DW et al. Surgical management of intestinal malrotation in adults: comparative results for open and laparoscopic Ladd procedures. Surg Endosc 2005;19:1416-9.</p></li>
<li><p>Fraser JD, Aguayo P, Sharp SW et al. The role of laparoscopy in the management of malrotation. J Surg Res 2009;156:80-2.</p></li>
</ol>

Woodwing Id
44749
Fil
Conflict of interest
English title
Congenite intestinal malrotation as cause of intermittent abdominal pain
English summary

Intestinal malrotation occurs during foetal development when the normal rotation and fixation of the midgut fails to take place. This condition may lead to volvulus and duodenal obstruction. It is almost exclusively a paediatric diagnosis, but it can become symptomatic much later in life. A 49-year-old woman, who had been suffering from intermittent abdominal pain for most of her adult life, was admitted to the hospital with severe abdominal pain. A computed tomography showed a displaced caecum and mesenteric whirlpool sign. She was diagnosed with intestinal malrotation and underwent a laparoscopic Ladd&rsquo;s procedure.

Authors workplaces

1) Kirurgisk Afdeling, Regionshospitalet Horsens
2) Kirurgisk Afdeling P, Aarhus Universitetshospital

Ugeskr Læger 2014;176:V01130062

Bib ref
Ugeskr Læger 2014;176:V01130062
Article number
V01130062
Authors

Poul Edling1 & Anders Tøttrup2

0 likes