Medlem i

12 years 10 months
Indholdselementer
Billede
Sidebar placering
Venstrestillet

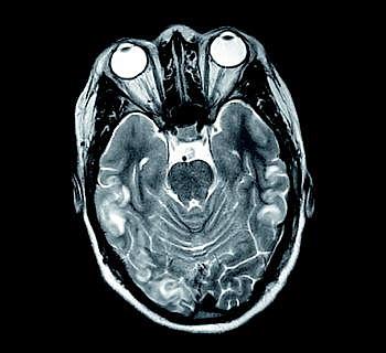
En 25-årig kvinde med præeklampsi fik generaliseret krampeanfald to dage efter fødsel (blodtryk 170/125 mmHg). Computertomografi (CT) af cerebrum viste bilaterale hypodensiteter overvejende occipitalt. Magnetisk resonans (MR)-skanning viste asymmetriske hyperintense signalforandringer på en T2-vægtet sekvens (billedet) kortikalt og subkortikalt i temporal- og occipitallapperne samt basalganglierne. På en diffusionsvægtet sekvens sås nedsat diffusion, som udtryk for intracellulært cytotoksisk ødem. Forandringerne på CT og MR-skanning var forenelige med posterior reversibel encefalopatisyndrom (PRES). Ved kontrol efter seks uger var patienten normotensiv og neurologisk helt intakt.

PRES ses ved eklampsi, nyresygdomme, transplantationer og autoimmune sygdomme [1] udløst af vasogent hjerneødem (75%) eller neurotoksicitet (25%) [2]. På MR-skanninger ses hyperintense læsioner hyppigst i områder, der er forsynet af a. cerebri posteriores, men også i vandskelsområderne og sjældnere i basalganglierne. Patienter med eklampsi har sværere forandringer og hyppigere involvering af basalganglier end andre patienter med PRES [3]. Normalt er der fuld klinisk og radiologisk remission, dog kan forandringer på den diffusionsvægtede sekvens være indikator for en blivende læsion.


Sidebar placering
Venstrestillet
Article type
Journal
Magazine
Section
References

<ol class="Litt-list">
<li>Hinchey J, Chaves C, Appignani B et al. A reversible posterior leukoencyphalopathy syndrome. N Engl J Med 1996;334:494-500.</li>
<li>Bartynski WS. Posterior reversible encyphalopathy syndrome, part 1: Fundamental imaging and clinical features. Am J Neuroradiol 2008;29:1036-42.</li>
<li>Mueller-Mang C, Mang T, Pirker A et al. Posterior reversible encyphalopathy syndrome do predisposing risk factors make a difference in MRI appearance? Neuroradiol 2009;51:373-83.</li>
</ol>

Woodwing Id
246782
Fil
Bib ref
Ugeskr Læger 2011;173(39):
Authors

Layla H. Abdulahad, Røntgen-ultralydafdelingen, Glostrup Hospital E-mail: layla@dadlnet.dk Dorte Hallam Røntgen-ultralydafdelingen, Glostrup Hospital Vibeke Andrée Larsen Røntgen-ultralydafdelingen, Glostrup Hospital,

0 likes