Medlem i

12 years 10 months
Indholdselementer
Billede
Sidebar placering
Venstrestillet
Billede
Sidebar placering
Venstrestillet

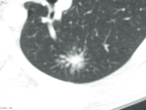
En 25-årig mand havde gennem flere måneder bemærket hævelse af lymfeknuder på halsen, træthed og let hoste. På mistanke om lymfom blev der foretaget eksstirpation af en lymfeknude, og man fandt granulomatøs inflammation med tætliggende epitelcellegranulomer og kæmpeceller. Mange granulomer havde central nekrose. En high resolution-CT af hals og thorax viste flere patologisk forstørrede lymfeknuder cervikalt og mediastinalt samt flere > 1 cm store noduli i lungerne, hvilket var foreneligt med galaxy sign (A). På baggrund af radiologiske og histologiske fund samt en positiv familieanamnese med sarkoidose konkluderede man, at den mest sandsynlige diagnose måtte være sarkoidose. Galaxy sign er et sjældent radiologisk tegn, hvor noduli ligger så tæt, at de morfologisk ligner en stor nodulus omgivet af mange mindre noduli og hermed får lighed med en galakse (B) [1, 2]. Forandringen er ikke patognomonisk for sarkoidose, men kan bruges som diagnostisk ledetråd og interessant supplement til den samlede vurdering af patienten [2, 3]. Galaxy sign kan ses hos patienter med sarkoidose, aktiv tuberkulose, spikulerende lungetumorer eller pneumokonioser [2, 4].

Andreas Hjelm Brandt

E-mail: andreaskr5@gmail.com

Birgit Holten

Radiologisk Afdeling, Rigshospitalet.

INTERESSEKONFLIKTER:

Sidebar placering
Venstrestillet
Article type
Journal
Magazine
Section
Woodwing Id
17923
Images
63339.jpg
Conflict of interest
0 likes