Medlem i

12 years 10 months
Indholdselementer
Billede
Sidebar placering
Venstrestillet

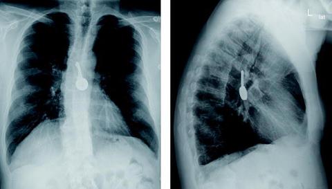
En 56-årig alkoholiker blev indlagt akut på grund af mistanke om hæmatemese. Dette blev dog afkræftet, idet der var tale om tidligere indtaget kirsebærvin. På grund af infektionstegn blev der udført røntgenoptagelse af thorax i to planer. Billederne viste en nøgle beliggende i øsofagus. Patienten havde ingen erindring om, hvornår eller hvordan nøglen var indtaget. Med rigidt øsofagoskop fjernedes nøglen, der lå 37 cm fra tandrækken. En efterfølgende fleksibel øsofagoskopi i samme anæstesi viste overraskende også en tikrone, der lå på nøjagtigt samme sted som nøglen. Denne blev ligeledes fjernet. Øsofagusslimhinden var hyperæmisk i det område, hvor fremmedlegemerne havde ligget, men der var ingen tegn til perforation. På en postoperativ røntgenoptagelse af thorax sås der ingen fremmedlegemer. Patienten blev behandlet med antibiotika og udskrevet i velbefindende kort tid efter.

Ovenstående sygehistorie illustrerer vigtigheden af kontroløsofagoskopi distalt for området, hvor et fremmedlegeme er blevet fjernet. Røntgenoptagelse af thorax med fremstilling af fremmedlegemer bør være i to planer, så tilstedeværelsen af flere fremmedlegemer ikke overses [1, 2]. Selv med røntgenoptagelse i to planer kan flere fremmedlegemer dog - i sjældne tilfælde som vores - fejltolkes som et enkelt fremmedlegeme [3].

Månedens billede redigeres af: Tove Agner, Margrethe Herning, Jens Otto Lund og Peter Skinhøj


Sidebar placering
Venstrestillet
Article type
Journal
Magazine
Section
References

<ol class="Litt-list">
<li>Whelan-Johnson S, Hall CE. Multiple oesophageal foreign bodies: the importance of two radiological views. J Laryngol Otol 2009;123:121-2.</li>
<li>Raney LH, Losek JD. Esophageal coin and atypical radiograph. Pediatr Emerg Care 2008;24:645-6.</li>
<li>Smith SA, Conners GP. Unexpected second foreign bodies in pediatric esophageal coin ingestions. Pediatr Emerg Care 1998;14:261-2.</li>
</ol>

Woodwing Id
256021
Fil
Bib ref
Ugeskr Læger 2012;174(5):
Authors

Anders Tendal Paulsen Øre-næse-halskirurgisk Afdeling F, Odense Universitetshospital. E-mail: atp_sessions@hotmail.com Christian Emil Faber

0 likes
Read time
2