Medlem i

12 years 10 months
Indholdselementer
Billede
Sidebar placering
Venstrestillet

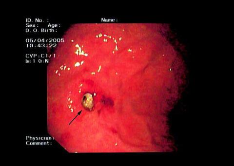
En patient, der blev overflyttet til en medicinsk gastroenterologisk afdeling, var hypotensiv, havde takykardi og tegn på øvre gastrointestinal blødning. Der var tidligere konstateret B-celle-lymfom i cardiaregionen. Patienten havde en perkutan endoskopisk gastrostomi (PEG)-sonde pga. tidligere hypofarynxcancer. Der blev aspireret ca. 500 ml frisk blod fra sonden. Der var ikke oplysninger om indtag af ulcerogen medicin. Ved en øsofagoduodenoskopi (ØGD) fandt man oversigtsforholdene vanskeliggjort pga. blod i ventriklen, og sikkert focus for blødningen kunne ikke identificeres. Efter stabilisering af tilstanden og gentagelse af ØGD fandt man pladen fra PEG-sonden næsten begravet i submucosa og let blødning fra området (se pil på billedet).

Konklusion: Det drejede sig om et tilfælde af buried bumper syndrome , som har medført kraftig akut blødning efter erosion af ventrikelvæggen. Buried bumper syndrome er et velbeskrevet fænomen [1], som kun sjældent giver anledning til så voldsom blødning. Syndromet er dog beskrevet med dødelig udgang i form af perforation og efterfølgende peritonitis [2].

Sidebar placering
Venstrestillet
Billede
Sidebar placering
Venstrestillet
Article type
Journal
Magazine
Section
References

<ol class="Litt-list">
<li>Klien S, Heare BR, Soloway RD. The ``buried bumper syndrome'': a complication of percutaneous endoscopic gastrostomy. Am J Gastroenterol 1990;85:448-51.</li>
<li>Anagnostopoulos GK, Kostopoulos P, Arvanitidis DM. Buried Bumper Syndrome with a fatal outcome. J Postgrad Med 2003;49:325-7.</li>
</ol>

Woodwing Id
264780
Fil
Bib ref
Ugeskr Læger 2006;168(17):
Authors

Reservelæge Michael Dall, e-mail: mdall@health.sdu.dk Overlæge Jens Kjeldsen Odense Universitetshospital, Medicinsk Gastroenterologisk Afdeling S

0 likes
Read time
1