Medlem i

12 years 10 months
Indholdselementer
Billede
Sidebar placering
Venstrestillet

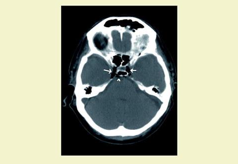
En 48-årig mand, der havde hovedtraume, blev indlagt på hospitalet. Computertomografier (CT) viste subdurale hæmatomer, subaraknoidalblødning og bilaterale frontale kontusionsinfarkter med blødning. På fjerdedagen fik patienten hjertestop, og en CT viste nytilkommen luft i begge sinus cavernosus (pile) og i veneplekserne bag clivus (pilehoved) samt ophævet diskriminering mellem grå og hvid substans. På thoraxbilledet sås det centrale venekateter (CVK) med spidsen i højre atrium. En efterfølgende firkarsangiografi viste ophævet cerebralt flow, og patienten var dermed hjernedød.

Luft i de intrakraniale vener ses efter hjertestop, hvor der har været foretaget usuccesfuld genoplivning [1]. Luften kommer utilsigtet fra et CVK og løber retrogradt i venerne, og dette retrograde flow tilskrives hjertemassagen, hvor der sker samtidig kompression af alle fire hjertekamre og de centrale vener. Luften samler sig i de venøse sinus i fossa posterior og sinus cavernosus og transporteres ikke væk på grund af den ophævede cerebrale cirkulation. Luft i venerne er tegn på en dårlig prognose.


Sidebar placering
Venstrestillet
Article type
Journal
Magazine
Section
References

<ol class="Litt-list">
<li>Imanishi M, Nishimura A, Tabuse H et al. Intracranial gas on CT after cardiopulmonary resuscitation: 4 cases. Neuroradiology 1998;40:154-7.</li>
</ol>

Woodwing Id
265396
Fil
Bib ref
Ugeskr Læger 2008;170(9):
Authors

Professor Carsten Thomsen E-mail rh02070@rh.dk Rigshospitalet, Radiologisk Afdeling X

0 likes
Read time
1