Medlem i

12 years 10 months
Indholdselementer
Billede
Sidebar placering
Venstrestillet

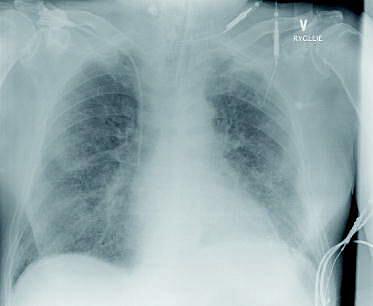
En 74-årig mand var blevet behandlet med penicillin af sin egen læge og senere med roxithromycin pga. uproduktiv hoste og åndenød. Han blev indlagt med forværring af luftvejssymptomerne. På trods af intravenøs behandling med penicillin og erythromycin progredierede symptomerne, og efter seks dage opstod der behov for respiratorbehandling. Efter en kortvarig stabilisering forværredes tilstanden, og patienten fik kredsløbsshock og nyresvigt (akut tubulær interstitiel nefropati, ATIN). Efter ti dage blev han overflyttet til et andet hospital mhp. dialyse. Der skiftedes til bredspektrede antibiotika: meropenem og ciprofloxacin. Alle mikrobiologiske undersøgelser for bakterier i forløbet viste negative resultater. En røntgenundersøgelse af thorax viste bilaterale udbredte interstitielle infiltrater.

En hurtigtest for influenzavirus i trakealsekretet gav positive resultater og blev efterfølgende konfirmeret som type A med polymerasekædereaktion-teknik. Patienten døde af kredsløbssvigt 25 dage efter symptomdebuten.

Konklusion: Influenzavirus kan forårsage en svær pneumoni med interstitielle infiltrater, som kan konstateres på et røntgenbillede af thorax og ved symptomer på akut respiratorisk distress- syndrom (ARDS). Influenza kan forebygges med vaccination. Sygdomsforløbet kan afkortes ved hurtig indsat behandling med osetalmivir.

Sidebar placering
Venstrestillet
Billede
Sidebar placering
Venstrestillet
Article type
Journal
Magazine
Section
Woodwing Id
265602
Fil
Bib ref
Ugeskr Læger 2006;168(47):
Authors

Afdelingslæge Claus Bohn Christiansen, e-mail: cbc@ssi.dk H:S Rigshospitalet, Klinisk Mikrobiologisk Afdeling 9301

0 likes
Read time
1