Medlem i

12 years 10 months
Indholdselementer
Billede
Sidebar placering
Venstrestillet

En 39-årig afrikansk mand, bosat i Danmark, henvendte sig til lægevagten med feber, kulderystelser, hovedpine, diare og mørk urin. Patienten havde hiv, men havde ikke passet sin behandling det seneste år. Vagtlægen fik hverken information om dette eller om, at patienten fem dage tidligere var vendt hjem efter tre måneders ophold i hjemlandet Togo, Vestafrika, uden at have taget malariaprofylakse. Patienten blev behandlet for urinvejsinfektion.

Fem dage senere henvendte patienten sig på en infektionsmedicinsk afdeling med vedvarende symptomer og svækket almentilstand.

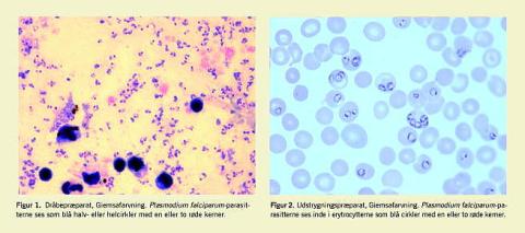
Der blev fundet bl.a. hepatosplenomegali, Hb på 3,5 mmol/l og CD4-tal < 10 celler/μ l. I blodet blev der fundet Plasmodium falciparum med en parasitæmigrad på 30%. Patienten blev indlagt og kunne efter seks dages behandling udskrives til opfølgning i ambulatoriet.

Konklusion

Patienter med feber af ukendt årsag og en nyere (op til et halvt år) rejseanamnese til malariaområder bør undersøges akut for malaria. Dette er specielt vigtigt hos patienter, der er af anden etnisk oprindelse end dansk og fejlagtigt tror, at de er beskyttet mod malaria ved besøg i deres hjemland.

Der bør sendes såvel udstrygnings- som dråbepræparat til undersøgelse tre på hinanden følgende dage.

Sidebar placering
Venstrestillet
Article type
Journal
Magazine
Section
Woodwing Id
267012
Fil
Bib ref
Ugeskr Læger 2007;169(22):
Authors

Reservelæge Sanne Degn Simonsen, e-mail: sannedsimonsen@yahoo.dk Odense Universitetshospital, Klinisk Mikrobiologisk Afdeling 1. reservelæge Christian Backer Mogensen, Odense Universitetshospital, Infektionsmedicinsk Afdeling

0 likes
Read time
1