Medlem i

12 years 10 months
Indholdselementer
Billede
Sidebar placering
Venstrestillet

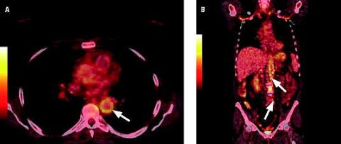
A. Positronemissionstomografi/computertomografi, tværsnitsbillede hvor der ses opladning i aortas væg.

B. Positronemissionstomografi/computertomografi, koronalsnit hvor der ses opladning i aa. subclaviae, aorta samt overgangen til aa. iliacae communis.

En 51-årig kvinde henvendte sig til egen læge, da hun havde haft febrilia og hoste i 14 dage. På mistanke om pneumoni blev der påbegyndt behandling med phenoxymethylpenicillin. Denne behandling og senere behandling med clarithromycin var uden effekt, og patienten blev henvist til udredning på en infektionsmedicinsk afdeling under diagnosen febrilia med ukendt fokus.

Generne havde på det tidspunkt stået på i en måned. Patientens symptomer var træthed, fryseture, smerter i yderled på alle fingre og mavesmerter, der var lokaliseret til epigastriet og var værst efter måltider. Desuden havde hun haft et utilsigtet vægttab på 10 kg. Objektivt blev hun fundet febril med en temperatur på 38,3 °C, gusten i hudkuløren, hævede distale/proksimale led og palpatorisk ømhed i epigastriet. Paraklinisk var der forhøjelse af C-reaktivt protein til 198 mg/l og sænkningsreaktion på 98 arbitrære enheder. Som led i udredningen blev der foretaget positronemissionstomografi/computertomografi (PET/CT), der viste en opladning i væggen af aortas forløb fra aortaklap til iliacakar og aa. subclaviae. På mistanke om storkarsvaskulitis blev der foretaget en arteria temporalis-biopsi, der viste histologisk kæmpecellearteritis.

Et typisk tilfælde af arteritis temporalis ses med almensymptomer samt lokalsymptomer i form af hovedpine og synsforstyrrelser [1, 2]. Denne tilstand er atypisk med Raynaudfænomen, ledaffektion og mavesmerter, formentlig pga. vaskulitisbetinget iskæmi.

PET/CT er et værktøj, som kan give mistanke om diagnosen, og denne kan i 60% af tilfældene bekræftes ved a. temporalis-biopsi [3, 4].

Redigeres af: Tove Agner, Margrethe Herning, Jens Otto Lund og Peter Skinhøj


Sidebar placering
Venstrestillet
Article type
Journal
Magazine
Section
References

<ol class="Litt-list">
<li>Gran JT, Myklebust G. The incidence of polymyalgia rheumatica and temporal arteritis in the county of Aust Agder, south Norway: a prospective study 1987-94. J Rheumatol 1997;24:1739-43.</li>
<li>Unwin B, Williams CM, Gilland W. Polymyalgia rheumatica and giant cell arteritis. Am Fam Physician 2006;74:1547-54.</li>
<li>Treglia G, Mattoli MV, Leccisotti L et al. Usefulness of whole-body fluorine-18-fluorodeoxyglucose positron emission tomography in patients with large-vessel vasculitis: a systematic review. Clin Rheumatol 2011;30:1265-75.</li>
<li>Papathanasiou ND, Du Y, Menezes LJ et al. 18F-fluorodeoxyglucose PET/CT in the evaluation of large-vessel vasculitis: diagnostic performance and correlation with clinical and laboratory parameters. Br J Radiol 2012;85:e188-e194.</li>
</ol>

Woodwing Id
267470
Bib ref
Ugeskr Læger 2013;175(5):
Authors

Line Anker Bang Andersen, Infektionsmedicinsk Afdeling, Odense Universitetshospital. E-mail: lineankerbang@hotmail.com Martin Meienburg, Reumatologisk Afdeling, Odense Universitetshospital. Sys Vestergaard, Nuklearmedicinsk Afdeling, Odense Universitetshospital. Svend Stenvang Pedersen, Infektionsmedicinsk Afdeling, Odense Universitetshospital

0 likes
Read time
2