Medlem i

12 years 10 months
Indholdselementer
Billede
Sidebar placering
Venstrestillet

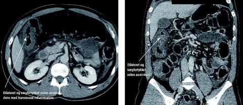
En 48-årig mand blev indlagt med en verotoksinproducerende Escherichia coli (VTEC)-gastroenteritis, som han havde erhvervet i Tyskland. Patienten blev indlagt på grund af tiltagende mavekrampelignende smerter og blodige afføringer. Han fik foretaget akut computertomografi af abdomen. Skanningen viste patologisk vægfortykkelse af colon ascendens og transversum med transmural inflammation samt caecum dilateret til 8 cm. På billederne ses en vægfortykket og dilateret colon ascendens med transmural inflammation. Man valgte at observere patienten natten over, men da smerterne tiltog i det første døgn under indlæggelsen, foretog man en oversigt over abdomen, der viste en tiltaget caecum dilatation på op til 15 cm. Abdominalkirurgerne foretog akut højresidig hemikolektomi, da caecum var perforationstruet. Patologisvaret viste forandringer, der svarede til en pseudomembranøs enterokolitis. Operationen og det postoperative forløb, hvor patienten fik meropenemtrihydrat 1 g × 3 dagligt i fem dage, var ukompliceret.

Dette var blandt de første 22 danske VTEC-tilfælde, der ifølge Statens Serum Institut havde udspring i Tyskland.

VTEC-enterokolitis kan i ca. 10% af tilfældene kompliceres med hæmolytisk uræmisk syndrom (HUS); en tilstand, der er kendetegnet ved feber, hæmolytisk anæmi, trombocytopeni, hypertension og akut nyresvigt. Denne komplikation er hyppigst hos børn < 10 år og hos ældre. Mortaliteten er på ca. 5% ved VTEC-induceret HUS.

Redigeres af:Margrethe Herning, Jens Otto Lund, Margit Mantoni og Peter Skinhøj

TAKSIGELSER: Læge Maria Serifi , Radiologisk Afdeling, Odense Universitetshospital, takkes for hjælp med computertomografirekonstruktion.

Sidebar placering
Venstrestillet
Article type
Journal
Magazine
Section
Woodwing Id
242355
Fil
Bib ref
Ugeskr Læger 2011;173(46):
Authors

Zaid Al-Dakhiel E-mail: zaidaldakhiel@gmail.com Bassam Hamid Mahdi Radiologisk Afdeling, Odense Universitetshospital

0 likes