Medlem i

12 years 10 months
Indholdselementer
Billede
Sidebar placering
Venstrestillet

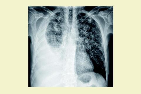
En 49-årig mand med svær morbus Bekhterev (aksial og perifer artritis) diagnosticeret i 2004 blev behandlet med tumornekrosefaktor (TNF)-a-inhibitoren infliximab 500 mg givet intravenøst hver sjette uge samt tablet methotrexat 20 mg ugentligt. Patienten henvendte sig til den 23. infliximab-infusion med klager over åndenød, tør hoste, træthed og vægttab. Han var akut medtaget og hviledyspnøisk med perifer O2-saturation 87%. Stetoskopisk blev der fundet svækket respirationslyd på højre lungefelt. Patientens antireumatiske behandling blev seponeret. Røntgen af thorax viste diffuse nodulære fortætninger i begge lungefelter og højresidig pleuraansamling. Mikroskopi af pleuravæsken viste ingen syrefaste stave, men polymerasekædereaktionsdiagnostik var positiv for Mycobacterium tuberculosis. Endvidere var der positiv plasma-gamma-interferon. Før behandlingsstart med infliximab var der negativt resultat af en Mantouxtest og normale forhold set ved røntgenfotografering af thorax. Patienten kendte ikke sin tuberkulosevaccinationsstatus.

TNF-a-hæmmere anvendes til behandling af aktiv reumatoid artritis, morbus Bekhterev og morbus Crohn. Grundet den immunsupprimerende virkning af behandlingen er jævnlig ambulant kontrol nødvendig. Negativ screening for tuberkulose inden behandlingsstart udelukker ikke med sikkerhed latent tuberkulose, patienter, som får tegn på infektion, må derfor udredes grundigt.

Sidebar placering
Venstrestillet
Article type
Journal
Magazine
Section
Woodwing Id
245041
Fil
Bib ref
Ugeskr Læger 2009;171(23):
Authors

Reservelæge Bente Glintborg, E-mail: glintborg@dadlnet.dk. Afdelingslæge Søren Hvidberg, overlæge Ida Gjørup, overlæge Edith Grossmann, medicinsk Reumatologisk Afdeling Q og Radiologisk Afdeling Herlev Hospital

0 likes