Medlem i

12 years 10 months
Indholdselementer
Billede
Sidebar placering
Venstrestillet

En 60-årig kvinde fik frontal hovedpine, opkastninger og diare. Pga. tiltagende uklarhed blev hun indlagt. Objektiv undersøgelse viste: en temperatur på 39,1 °C, blodtryk på 80/50 og konfusion. Ikke nakke-ryg-stiv. I klar cerebrospinalvæske blev der fundet 925 celler pr. mikroliter 98% polymorfkernede, protein 4,67 gram pr. liter og glukose < 0,2 mmol pr. liter samt vækst af Streptococcus pneumoniae . Ved behandling med benzylpenicillin og dexamethason restituerede patienten helt.

Patienten havde i måneden op til indlæggelsen bemærket dryp af klar væske fra næsen, uden samtidig kataralia. Det vedvarende næseflåd blev undersøgt med stiks og blev fundet glukoseholdigt, hvilket indikerer rinolikvoré.

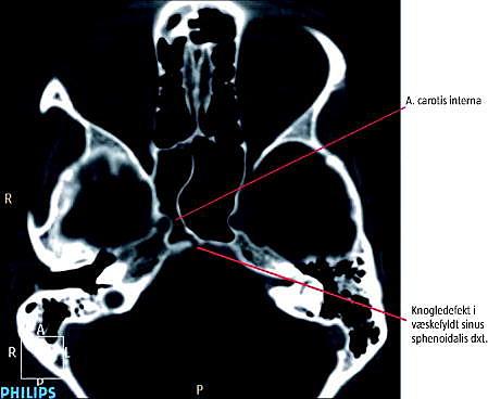
Ved en computertomografi (1-mm-snit) af ansigtsskelettet blev der påvist en 2-mm-knogledefekt.

Patienten blev overflyttet til øre-næse-hals-afdeling. Der blev injiceret fluorescein intratekalt lumbalt, og få timer efter kunne durafistlen visualiseres og lukkes endoskopisk. Likvoréen ophørte herefter. Der var ingen anamnese om operation eller kranietraume, og peroperativt var der ingen malignitetsmistanke (ingen biopsi). Idiopatisk duradefekt er den sandsynligste forklaring.

Rinolikvoré øger risikoen for meningitis [1] og afdækkes ved grundig anamnese. Glukoseholdigt næseflåd bestyrker mistanken, men bedste metode er β2-transferrin-bestemmelse i cerebrospinalvæsken. Mistanken om rinolikvoré bør konfereres med en neurokirurg eller en øre-næse-hals-læge.

1. reservelæge Lotte Ebdrup , Infektionsmedicinsk Afdeling Q,

Århus Universitetshospital, Skejby

E-mail: lotteebdrup@dadlnet.dk

Overlæge Merete Storgaard, Infektionsmedicinsk Afdeling Q,

Århus Universitetshospital, Skejby

Overlæge Claus Gregers Petersen, Øre-næse-hals-afdeling,

Århus Universitetshospital, Århus Sygehus

Overlæge Gratien Andersen , Billeddiagnostisk Afdeling,

Århus Universitetshospital, Skejby


Sidebar placering
Venstrestillet
Article type
Journal
Magazine
Section
References

<ol class="Litt-list">
<li>Daudia A, Biswas D, Jones NS. Risk of meningitis with cerebrospinal fluid rhinorrhea. Ann Otol Rhinol Laryngol 2007;116:902-5.</li>
</ol>

Woodwing Id
245221
Fil
Bib ref
Ugeskr Læger 2010;172(36):
0 likes