Medlem i

12 years 10 months
Indholdselementer
Billede
Sidebar placering
Venstrestillet

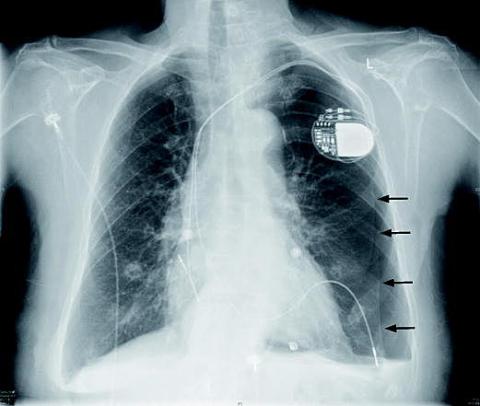
En 89-årig kvinde blev indlagt på grund af stikkende brystsmerter. Der var ingen sikker effekt af nitroglycerin. Patienten havde to måneder tidligere fået anlagt en pacemaker på indikationen intermitterende tredjegradsatrioventrikulært blok. Ved en rutinerøntgenundersøgelse af thorax sås der på det tidspunkt ingen påfaldende forhold.

Elektrokardiografi ved indlæggelsen viste sinusrytme med pace-spikes og exitblok. På grund af de atypiske smerter blev der taget et nyt røntgenbillede af thorax. Billedet viste en venstresidig pneumothorax udløst af en pacemakerelektrode, der havde arbejdet sig igennem højre ventrikels væg og ind i venstre lunge. Patienten blev overført til et center med invasiv funktion til ekstraktion af elektroden og anlæggelse af pleuradræn.

Ved enhver patient med uafklarede brystsmerter bør akut røntgenundersøgelse af thorax indgå i diagnostikken. Undersøgelsen er billig, hurtig og noninvasiv.

Redigeres af: Tove Agner, Margrethe Herning, Jens Otto Lund og Peter Skinhøj

Sidebar placering
Venstrestillet
Article type
Journal
Magazine
Section
Woodwing Id
271321
Fil
Bib ref
Ugeskr Læger 2012;174(39):
Authors

Bo Lauridsen, Medicinsk Afdeling, Køge Sygehus. E-mail: bo_max@yahoo.com

0 likes
Read time
1