Medlem i

12 years 10 months
Indholdselementer
Billede
Sidebar placering
Venstrestillet

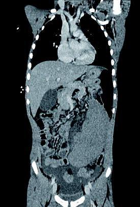
En seksårig dreng blev indlagt med førstegangsmavesmerter, der havde varet i et døgn, opkastninger og subfebrilia. Der blev taget blodprøver, og ved en analyse af disse blev der påvist infektion. Der var mistanke om appendicitis. Ved palpation blev der opdaget en glat, forskydelig udfyldning til venstre for umbilicus. Man havde også mistanke om atypisk infektion, men kunne ikke udelukke leukæmi eller lymfom. En ultralydskanning (US) viste, at der ikke var perfusion af milten. En computertomografi (CT), hvor der forinden var blevet givet intravenøst (i.v.)-kontrastmiddel, viste, at milten var forstørret, og at der var ødematøs milthilum uden kontrast i hilumkarrene. Hounsfieldværdier i milten var 55 mod 85 i leveren. Ved en hurtig gennembladning af CT-billederne sås der en tydelig torsion af miltkrøset, hvorimod appendix var normal. Der var lidt fri væske i fossa rectovesicalis. Drengen blev splenektomeret, og der blev iværksat vanlig vaccinationsprofylakse. Ved kontrolbesøg efter en måned var han rask.

Vandremilt er en medfødt, utilstrækkelig ligamentøs fiksering af milten i den venstre del hypokondriet [1]. En tredjedel af torsionstilfældene ses hos børn [2]. Tilstanden medfører i begyndelsen stase, siden kompromitteret tilløb, og der kan udvikles nekrose. Tilstanden bevirker, at patienten får smerter, der opstår tryk på de omliggende organer, og patienten får kvalme og opkastninger [3].

Klinisk er diagnosen vanskelig. Derfor skal US med farve-Doppler og CT med i.v.-kontrast udføres hurtigst muligt. Husk hurtig gennembladning af CT-billederne.

Redigeres af: Tove Agner, Margrethe Herning, Jens Otto Lund og Peter Skinhøj.


Sidebar placering
Venstrestillet
Article type
Journal
Magazine
Section
References

<ol class="Litt-list">
<li>Burcharth J, Parvaiz I, Moesgaard FA. Vandremilt. Ugeskr Læger 2005;167:3058-9.</li>
<li>Buehner M, Baker MS. The wandering spleen. Surg Gynecol Obstet 1992;175:373-87.</li>
<li>Abell I. Wandering spleen with torsion of the pedicle. Ann Surg 1933;98: 722-35.0</li>
</ol>

Woodwing Id
253711
Fil
Bib ref
Ugeskr Læger 2013;175(9):
Authors

Ming-Yuan Nielsen, E-mail: minni@noh.regionh.dk, Billeddiagnostisk Afdeling, Radiologisk Afsnit, Hillerød Hospital, Ilia Haupter, Billeddiagnostisk Afdeling, Radiologisk Afsnit, Hillerød Hospital, Rene Kærgaard Jensen, Billeddiagnostisk Afdeling, Gentofte Hospital

0 likes
Read time
2