Medlem i

13 years 1 month
Indholdselementer

Tumor til tumor-metastaser og metastaser fra et mammakarcinom til ventriklen er begge sjældent forekommende. Vi beskriver begge tilstande hos en patient, hvor det symptomatisk og histopatologisk initialt tydede på en primær ventrikelcancer.

SYGEHISTORIE

En 71-årig kvinde blev henvist til gastroskopi pga. øvre dyspepsi, kvalme, opkastninger og et utilsigtet vægttab på 5 kg. Hun var fem år forinden blevet behandlet for østrogenreceptorpositivt invasivt lobulært mammakarcinom, og ved den seneste kontrol fire måneder forinden var der ikke fundet tegn til lokoregionalt recidiv, hvorfor antiøstrogenbehandlingen blev seponeret.

Ved gastroskopi påvistes der øsofagitisforandringer og pletvise gastritisforandringer i antrum. Området omkring pylorus var ødematøst og vulnerabelt, og pylorus var ikke passabel for gastroskopet. Man vurderede, at fundene var forenelige med ulcerogen pylorusstenose. Der blev taget biopsier.

Ved en CT af abdomen påviste man udefrakommende kompression af pylorus pga. en stor højresidig nyretumor, der målte 102 × 86 × 91 mm, let intra- og ekstrahepatisk galdestase, peritoneal karcinomatose og diffuse skleroserende knoglemetastaser.

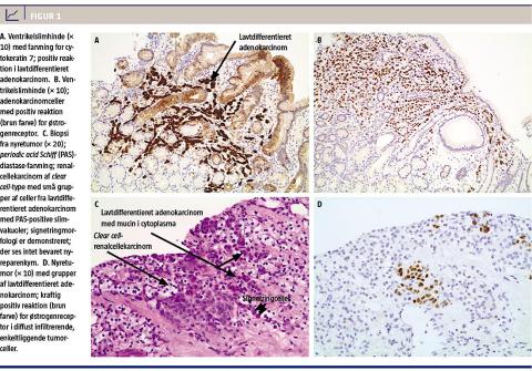
Ved en urologisk vurdering med henblik på palliativ nefrektomi forelå der svar på ventrikelbiopsierne, som viste lavtdifferentieret adenokarcinom, immunhistokemisk med positiv farvning for bredspektret cytokeratin (CK) og CK7 (Figur 1A), negativ CK20 og caudal-related homeobox transcription factor 2.

Sidebar placering
Venstrestillet
Billede
Sidebar placering
Venstrestillet

Man vurderede, at der ikke var kirurgiske behandlingstilbud til patienten. Hun blev tilbagehenvist med henblik på onkologisk behandling af nyre- og ventrikelcancer, hvorfor nyretumoren blev biopteret. Histologien viste renalcellekarcinom af clear cell-type (ccRCC) med typisk vækstmåde og glykogenholdige tumorceller (Figur 1C og Figur 1D). Der var desuden små mucinholdige cellegrupper i nyretumoren med kraftig positiv reaktion for CK7 (Figur 1C). Da man fandt det bemærkelsesværdigt, at der var konstateret tre cancertyper hos patienten, foretog man yderligere farvninger på både nyre- og ventrikelbiopsierne, hvor tumorvævet i begge lokalisationer viste positiv reaktion for østrogenreceptor- (Figur 1B og Figur 1D) og mammamarkøren gross cystic disease fluid protein og negativ reaktion for mammaglobin og anti-paired box gene 8. Således var der tale om ccRCC med tumor til tumor-metastase fra et mammakarcinom i nyren og metastase fra et mammakarcinom i ventriklen.

Efter at diagnosen var blevet stillet, blev patientens almentilstand hurtigt forværret, hvorfor hun ikke var egnet til kemoterapi. Hun gik ad mortem efter få måneder.

DISKUSSION

Tumor til tumor-metastase er et kendt, om end sjældent fund [1]. RCC er den hyppigste lokalisation for metastaser, formentlig på grund af den rige vaskularisering af både nyren og tumoren, og fordi RCC indeholder en høj koncentration af lipider og glykogen, hvilket skaber et gunstigt miljø for metastaser [2]. Den hyppigste donor af tumorceller ved tumor til tumor-metastaser er lungekarcinom. Metastaser fra mammakarcinom til nyretumorer er meget usædvanligt [1].

Mammacancer metastaserer hyppigst til lymfeknuder, knogler, lunger, lever og hjerne [3, 4]. Derimod er gastrointestinale metastaser sjældne [3-5], og de fleste rapporterede tilfælde består af obduktionsfund og kasuistiske beretninger [5]. I et retrospektivt studie over 15 år, hvor der var inkluderet 12.001 patienter med histologisk påvist metastatisk mammacancer, fandt man, at 0,6% var dissemineret til mave-tarm-kanalen [4]. Incidensen er formentlig underestimeret, da symptomerne – bl.a. dyspepsi, madlede og epigastrielle smerter – er uspecifikke, hvorfor metastaserne kan overses [5]. Som det var tilfældet hos patienten i sygehistorien, kan metastaser fra et mammakarcinom i ventriklen makroskopisk være svære at differentiere fra benigne tilstande [5], og histologisk kan et lobulært mammakarcinom ligne en lavtdifferentieret primær ventrikelcancer [5].

Det gennemsnitlige interval mellem den primære diagnose af brystcancer og fremkomsten af metastaser i mave-tarm-kanalen er syv år [4]. Undertypen af mammakarcinom, som hyppigst metastaserer til ventriklen, er invasivt lobulært karcinom [4, 5]. Antineoplastisk og endokrin behandling kan være effektiv, hvorimod kirurgi ikke forbedrer prognosen [4]. Medianoverlevelsen ved metastaser til ventriklen er 28 måneder [4]. I tilfælde af, at en patient med mammacancer i anamnesen får uspecifikke gastrointestinale symptomer eller får påvist en primær ventrikelcancer, skal man være opmærksom på mulig forekomst af metastaser til ventriklen [3].

Korrespondance: Karina Sif Søndergaard Mosholt, Urologisk Afdeling, Roskilde Sygehus, Køgevej 7-13, 4000 Roskilde. E-mail: mosholt@hotmail.com

Antaget: 22. januar 2015

Publiceret på Ugeskriftet.dk: 6. april 2015

Interessekonflikter: ingen.

Sidebar placering
Venstrestillet
Article type
Journal
Magazine
Section
References

<h2>LITTERATUR</h2>
<ol type="d">
<li><p>Diego E, McGuire KP. A rare case of tumor-to-tumor metastasis: breast cancer metastatic to a benign renal mass. J Surg Case Rep 2013;2013(2)pii:rjt006.</p></li>
<li><p>Val-Bernal JF, Villoria F, Pérez-Expósito MA. Concurrent angiomyolipomas and <br>renal cell carcinoma harboring metastatic foci of mammary carcinoma in the same kidney: an incidental autopsy finding in a patient with a follow-up of thirty years. Ann Diagn Pathol 2001;5:293-9.</p></li>
<li><p>Hara F, Kiyoto S, Takabatake D et al. Metastatic breast cancer to the stomach resembling early gastric cancer. Case Rep Oncol 2010;3:142-7.</p></li>
<li><p>McLemore EC, Pockaj BA, Reynolds C et al. Breast cancer: presentation and intervention in women with gastrointestinal metastasis and carcinomatosis. Ann Surg Oncol 2005;12:886-94.</p></li>
<li><p>Taal BG, Petersen H, Boot H. Clinical presentation, endoscopic features, and treatment of gastric metastases from breast carcinoma. Cancer 2000;89:2214-21.</p></li>
</ol>

Woodwing Id
52508
Fil
Conflict of interest
English title
Breast carcinoma metastasis to the gastrointestinal tract and tumour-to-tumour metastasis to renal cell carcinoma
English summary

Breast carcinoma metastasis to the gastrointestinal tract and tumour-to-tumour metastasis is rare. We describe a case of a 71-year-old woman with previous breast cancer presenting with dyspepsia, nausea and weight-loss. Biopsies from the pylorus revealed what appeared to be a gastric carcinoma. A CT scan showed large kidney mass and biopsies revealed clear cell renal cell carcinoma with areas of poorly differentiated adeno&shy;car&shy;cin&shy;oma. Subsequent immunohistochemical analysis revealed the presence of breast carcinoma in both locations.

Authors workplaces

1) Urologisk Afdeling, Roskilde Sygehus
2) Patologisk Afdeling, Roskilde Sygehus

Ugeskr Læger 2015;177:V10140574

Bib ref
Ugeskr Læger 2015;177:V10140574
Article number
V10140574
Authors

Karina Sif Søndergaard Mosholt1, Anette Pedersen Pilt2 & Hans-Erik Wittendorff1

0 likes