Medlem i

13 years 1 month
Indholdselementer
Billede
Sidebar placering
Venstrestillet


Det har gennem en årrække været muligt at foretage funktionel og anatomisk karakteristik af hjertet ved kombination af forskellige billeddannende modaliteter baseret på nuklearmedicinsk teknik, Doppler-ultralyd og røntgenteknik.

Med magnetisk resonans (MR)-skanning er det muligt med en og samme modalitet at fremstille dynamiske optagelser med en spatial og temporal billedopløsning, som er på højde med eller overgår andre modaliteter. MR-skanning giver en mangfoldig information om anatomi og funktion, hvilket ikke kan opnås med nogen anden enkeltstående teknologi.

Volumen og systolisk funktion

MR-undersøgelse af hjertet er internationalt etableret som guldstandard til vurdering af anatomi ved f.eks. kongenit hjertesygdom og til bestemmelse af højre og venstre hjerteventrikels masse, volumen og funktion uden geometriske antagelser.

Man benytter elektrokardiogram (EKG)-synkroniserede snitbilledoptagelser, hvor kavitetsvolumen af et antal kortaksebilleder med kendt snitbilledtykkelse summeres fra ventriklernes apex til basis efter Simpsons metode. MR-skanning har en akkuratesse til volumenbestemmelse, som ikke overgås af andre metoder. Samtidig opnår man både regional og global beskrivelse af den systoliske funktion.

Vævskarakteristik

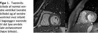
Med kontrastforstærket billeddannelse med gadolinium-diethylen-triamin-penta-acetat (DTPA) er det muligt at skelne mellem vitalt og ikkevitalt myokardievæv. Gadolinium er et paramagnetisk stof, som ved sin tilstedeværelse i vævet medfører signalforstærkning. Når gadolinium er hæftet til DTPA (Ga-DTPA), kan dette kompleks ikke passere den intakte cellemembran i normale myokardieceller. Ved iskæmisk skade og ved tilstedeværelse af fibrose ses derimod optagelse af Ga-DTPA i vævet og en karakteristisk langsom udvaskningskinetik, som gør det muligt, 15-20 min efter intravenøs injektion med Ga-DTPA, at se veldefineret signaløgning som lyse områder (late enhancement ) i billedet (Figur 1). Ved at kombinere optagelser med fremstilling af regional kontraktilitet og vævskarakteristik får man mulighed for at karakterisere områder med kontraktil dysfunktion som vitalt (viabelt) eller ikkevitalt. Dette har potentiel klinisk betydning for stillingtagen til revaskulariserende behandling hos patienter med hjertesvigt.

Vurdering af hjerteklapper

Gradering af klapstenose og klapinsufficiens kan bestemmes med fasekodningsteknik, velocity mapping, på tværs af skanneplanet (i modsætning til ekko-Doppler-teknik).

Peak velocity kan via den modificerede Bernouilli-sammenhæng omsættes til en estimeret trykgradient over klappen - ligesom ved ekko-Doppler-teknik.

Lineære flowhastigheder kan integreres over klappens (eller karrets) tværsnitsareal med bestemmelse af flux (= volumenflow). Ved yderligere at integrere klapflowet over en hjertecyklus bestemmes slagvolumen og evt. regurgiterende volumen. Disse teknikker er veldokumenterede og robuste.

Koronararterier og myokardieperfusion

Gennem mere end ti år har der været arbejdet med MR-skanning-koronar-angiografi. Opgaven er en stor metodologisk udfordring, idet der stilles store krav til meget hurtig billeddannelse af meget små strukturer, som bevæger sig i forhold til skanneplan svarende til hjertecyklus og respiration. Flotte koronarangiografier har været præsenteret, men metoden er ikke robust og er ikke moden til rutinemæssig klinisk brug.

Der pågår studier til vurdering af myokardieperfusion, men denne teknik er ligeledes ikke moden til klinisk implementering. For tiden er de enkle og validerede nuklearmedicinske metoder at foretrække til dette formål.

Konklusion

Med MR-skanning er der åbnet mulighed for dynamisk fysiologisk billedfremstilling, hvorved kombineret morfologisk og funktionel organkarakteristik er blevet en realitet. Vi har på H:S Frederiksberg Hospital i et tværfagligt samarbjde implementeret hjerte-MR-undersøgelser som et klinisk og videnskabeligt tilbud.



Korrespondance: Claus Leth Petersen, Klinisk-fysiologisk Nuklearmedicinsk Afdeling, H:S Frederiksberg Hospital, Nordre Fasanvej 57-59, 2000 Frederiksberg. E-mail: claus.leth.petersen@fh.hosp.dk

Interessekonflikter: Ingen angivet


Sidebar placering
Venstrestillet
Article type
Journal
Magazine
Section
Woodwing Id
243666
Fil
Bib ref
Ugeskr Læger 2005;167(12):
Authors

Ledende overlæge Claus Leth Petersen & professor Andreas Kjær

0 likes