Medlem i

12 years 10 months
Indholdselementer
Billede
Sidebar placering
Venstrestillet
Billede
Sidebar placering
Venstrestillet


Kun 7% af danske lungekræftpatienter overlever i fem år. For at forbedre overlevelsen tages der stadig mere komplekse metoder i brug. Inden for de seneste år har forskning i forskellige aspekter af lungekræft involveret mange faggrupper: læger, biologer, humanbiologer, kemikere, biokemikere, ingeniører, medikoteknikere og fysikere. Samarbejdet og kombinationen af viden mellem disciplinerne skaber nye og til tider spektakulære resultater. I denne artikel vil vi præsentere en række fremskridt inden for avanceret og targeteret behandling af lungekræft, som er resultater af sådanne samarbejder.

Biologiske strategier

Aktuelle tiltag inden for lungekræftbiologi sigter mod at forbedre forståelsen, hindre udviklingen og hæmme progression af lungekræft.

Microarrays

Teknologiske fremskridt inden for genekspressionsprofiler muliggør samtidig analyse af tusinder af gener i vævsprøver. Microarray -teknologien bygger på komplementær hybridisering af cRNA eller cDNA fra en vævsprøve til prober, som repræsenterer de gener, der ønskes undersøgt. Teknikken muliggør en analyse af den enkelte vævsprøves genprofil og kan anvendes til undersøgelse af mange forskellige sygdomme.

Da overlevelsen ved lungekræft er dårlig, og behandlingsmulighederne er begrænsede, kan microarray -resultater anvendes til at skabe bedre forståelse for sygdommens biologi og forhåbentlig nye behandlingsstrategier baseret på molekylære mekanismer [1].

I en nyere undersøgelse udført på Strålebiologisk Laboratorium, Rigshospitalet, fandt man, at microarray -analysen kunne anvendes til at skelne mellem forskellige undergrupper af cellelinjer fra lungekræfttumorer af typen småcellet karcinom [2]. Viden, der i fremtiden kan tænkes anvendt til en mere differentieret behandling af patienter med lungekræft (Figur 1 ).

Kemoprævention

Kemoprævention defineres som brugen af naturlige eller kemiske stoffer til at hindre, hæmme eller ændre karcinogenesen, altså en interaktion med mekanismer, som fører til udvikling af kræft. En øget forståelse for lungekræfts molekylære og biologiske basis, som skitseret ovenfor, kan åbne nye muligheder for anvendelsen af kemoprævention ved lungekræft [3].

Man har endnu ikke i kemopræventionsstudier kunnet vise en reduktion i dødeligheden ved lungekræft, men ny bioteknologi har bl.a. muliggjort en bedre afgrænsning af højrisikopopulationer. Biologiske og genetiske markører, som Ki67, MCM2, p53, epithelial growth factor receptor (EGFR) og HER2, undersøges som mulige mål for kemoprævention, men også metoder, som de førnævnte microarrays, vil formentlig kunne anvendes til identifikation af højrisikopatienter [3].

Studier vedrørende kemoprævention og lungekræft har indtil nu været koncentreret på få internationale forskningscentre, herunder University of Colorado, USA, hvor en intensiv forskningsindsats har ført til øget viden om celleproliferation, apoptose, angiogenese og metastasering, der tænkes anvendt i kemopræventionsstudier [4].

Targeted therapy

Targeted therapy - målrettet behandling - er den nye behandlingsstrategi ved mange kræftformer, hvor konventionel behandling ikke har været sufficient. Forsøg på yderligere forbedring af klassisk kemoterapi til behandling af metastaserende ikkesmåcellet lungekræft har vist skuffende resultater mht. overlevelsen, og et plateau synes at være nået. Der er derfor også ved denne kræftform opstået nye behandlingsmodaliteter rettet mod specifikke tumorbiologiske karakteristika: targeted therapy .

Især har der i de seneste par år været stor opmærksomhed på stoffer, som interagerer med EGFR. Blandt andet har den additive effekt af gefitinib, en EGFR-hæmmer, været undersøgt i fase III-undersøgelser hos patienter med metastaserende ikkesmåcellet lungekræft, dog uden at der er fundet fordel af at kombinere konventionel kemoterapi med en sådan biologisk modifikator [5]. Imidlertid viser nylig publicerede resultater, at blot 10-20% af alle ikkesmåcellet lungekræftpatienter har den muterede form af EGFR, og at netop denne patientpopulation synes at reagere positivt på gefitinibbehandling [6]. Det skal pointeres, at der ud over behandling med gefitinib foregår undersøgelser af andre stoffer rettet mod EGFR, og at der naturligvis foregår forskning, der er fokuseret på andre mål.

For tiden indgår undergrupper af ikkesmåcellet lungekræftpatienter fra alle onkologiske afdelinger i Danmark i klinisk kontrollerede forsøg, hvori man søger at afdække effekten af gefitinib nærmere.

Moderne radioterapi

En udfordring i bestrålingen af lungekræft er at bestråle tumor med en tilstrækkelig høj dosis uden at påføre patienten livstruende bivirkninger. Den konventionelt anvendte dosis er ikke tilstrækkelig til at sikre lokalkontrol af tumoren i alle tilfælde, men der er fundet øget morbiditet ved at dosiseskalere. Strålebehandlingen virker kun, når tumor er i strålefeltet, og for lungetumorer må de respirationsbestemte ændringer i form og position af lungetumoren inkorporeres i nødvendige marginer omkring stråleområdet. Herved får områder med raskt lungevæv skadelig bestråling. I udviklingen inden for strålebehandling fokuserer man på at finde metoder til at minimere de nødvendige marginer og dermed minimere bestrålingen af raskt væv.

Stereotaktisk strålebehandling

Stereotaktisk strålebehandling, eller stereotaktisk radiokirurgi, blev oprindelig udviklet til bestråling af intrakraniale tumorer. Metoden bygger på at give et lille tumorområde en høj stråledosis over en kort tidsperiode (hypofraktionering).

Denne dosering af stråleenergi medfører omfattende bivirkninger for det væv, som omgiver det bestrålede område. Derfor kan der kun pålægges minimal margin på strålefeltet. Ved behandling af intrakraniale tumorer kan patientens hoved fikseres i en ramme, og tumor kan således immobiliseres. Dette er ikke muligt at gøre for lungetumorer, men i visse tilfælde hos medicinsk inoperable patienter med mindre lungetumorer eller til behandling af få solitære metastaser er metoden blevet afprøvet [7]. Nødvendige marginer søges minimeret ved at lejre patienterne i fiksationsskaller, samt ved visse centre ved brug af udstyr til mindskning af respirationsbevægelserne [8]. Der kræves et godt samarbejde med patienten og specialuddannet personale.

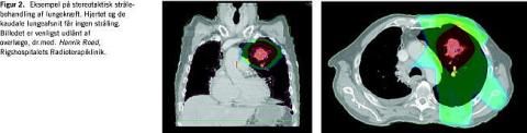
Teknikken er lovende, da den er virksom til lokalkontrol af mindre lungeinfiltrater, og toksiciteten er begrænset. I Figur 2 vises et eksempel på fordelingen af stråledosis mellem tumor og omgivende normalt væv i forbindelse med stereotaktisk strålebehandling af en lungetumor. På Rigshospitalet er metoden implementeret til en nøje afgrænset patientgruppe. Onkologisk Afdeling, Århus Universitetshospital, indgår i en skandinavisk undersøgelse til nærmere karakterisering af teknikkens værdi ved behandling af lungekræftpatienter.

Intensitetsmoduleret radioterapi

Den nyeste teknik til planlægning af strålebehandling, intensitetsmoduleret radioterapi (IMRT) giver mulighed for med høj præcision at bestemme, hvor i patientens krop den høje stråledosis skal ramme, og hvilke organer man skal undgå at bestråle. Med brug af denne teknik kan det lade sig gøre at skabe konkave strålefelter (f.eks. bestråle mediastinale glandler tæt på columna og samtidig skåne medulla spinalis).

Man fordeler stråledosis på 6-7 felter, som placeres rundt om hele patienten krop, og dermed kan den høje dosis koncentreres meget præcist. Der er foretaget studier, hvis resultater på baggrund af virtuelle behandlingsplaner indikerer en fordel ved IMRT anvendt til lungekræft. Ståledosis til tumoren bliver mere homogen, og det vil være muligt at nedsætte dosis til det raske lungevæv.

Teknikken er initialt udviklet til brug på ubevægelige tumorer, og det er endnu ikke fuldt belyst, om forudsætningerne for dosisberegningerne umiddelbart kan overføres til lungekræftpatienter, uden at behandlingen koordineres med patientens respiration.

Respirationstilpasning/gating

I den nyeste generation af stråleapparatur er der udviklet en teknik, som gør det muligt at tænde og slukke for stråleapparatet i takt med patientens respiration og hermed teoretisk opnå at bestråle en tumor, som er immobil. Teknikken kan koordineres med både fri respiration og med respiration gennem et spirometer, som præcist doserer luftmængden i patientens lunger.

Der er gjort forsøg med at anvende respirationstilpasset radioterapi til lungekræftpatienter. De offentliggjorte resultater vedrører indtil videre mindre grupper af patienter (n= 10-20), alle i ukontrollerede forsøg. Anvendelsen har været problematisk, da lungekræftpatienter kan have nedsat lungekapacitet samt uregelmæssig og uforudsigelig respiration, hvilket vanskeliggør indstillingen af stråleapparatet [9] og påvirker dag til dag-reproducerbarheden. For at mindske de daglige variationer i respirationen foretages der forsøg med audiovisuel instruktion af patienterne under strålebehandling.

Den optimale teknik til respirationstilpasning bliver måske et strålefelt, som ændrer form i takt med patientens respiration. Dette kræver et forudsigeligt og stabilt respirationsmønster over en hel strålebehandlingsperiode og mere viden om lungetumorers ændring under et behandlingsforløb. Der er udført initiale studier af teknikkens anvendelse til brystkræft [10] ved Rigshospitalet, og inden for respirations-gating har Danmark en førende rolle i Europa.

Konklusion

En fremtidig betydelig forbedring af prognosen for lungekræftpatienter er en tværfaglig og teknologisk udfordring. Forsøg på yderligere forbedring af klassisk kemoterapi til behandling af metastaserende ikkesmåcellet lungekræft har givet skuffende resultater. Målet skal formentlig nås ved tidligere diagnostik, kombineret med kemoprævention, targeted therapy og forbedret stråleterapi. Teknikkerne skal evalueres, og i Danmark eksisterer der miljøer, hvor man kan foretage denne evaluering på et højt internationalt niveau.


Trine Jakobi Nøttrup, Radioterapiklinikken, Afsnit 3994, Finsencentret, H:S Rigshospitalet, DK-2100 København Ø. E-mail: jakobi@rh.dk

Antaget: 23. september 2004

Interessekonflikter: Ingen angivet

Ovenstående artikel bygger på en større litteraturgennemgang end litteraturlistens ti numre. En fuldstændig litteraturliste kan fås ved henvendelse til forfatterne.




Sidebar placering
Venstrestillet
Article type
Journal
Magazine
Section
References

<ol class="Litt-list">
<li>Petty RD, Nicolson MC, Kerr KM et al. Gene expression profiling in non-small cell lung cancer: from molecular mechanisms to clinical application. Clin Cancer Res 2004;10:3237-48.</li>
<li>Pedersen N, Mortensen S, Sørensen SB et al. Transcriptional gene expression profiling of small cell lung cancer cells. Cancer Res 2003;63:1943-53.</li>
<li>Winterhalder RC, Hirsch FR, Kotantoulas GK et al. Chemoprevention of lung cancer -from biology to clinical reality. Ann Oncol 2004;15:185-96.</li>
<li>Hirsch F, Fischer JR, Niklinski J et al. Future developments in the treatment of lung cancer. Lung Cancer 2002;38:S81-85.</li>
<li>Giaccone G, Herbst RS, Manegold C et al. Gefitinib in combination with gemcitabine and cisplatin in advanced non-small cell lung cancer: a phase III trial - INTACT 1. J Clin Oncol 2004;22:759-61.</li>
<li>Paez JG, Janne PA, Lee JC et al. EGFR mutations in lung cancer: correlation with clinical response to gefitinib therapy. Science 2004;304:1497-500.</li>
<li>Von der Maase H, Høyer M. Ekstracerebral stereotaktisk strålebehandling et nyt behandlingsprincip. Ugeskr Læger 1999;161:2957.</li>
<li>Wulf J, Haedinger U, Oppitz U et al. Stereotactic radiotherapy for primary lung cancer and pulmonary metastases: a noninvasive treatment approach in medically inoperable patients. Int J Radiat Oncol Biol Phys 2004;60:186-96.</li>
<li>Rosenzweig KE, Hanley J, Mah D et al. The deep inspiration breath-hold technique in the treatment of inoperable non-small-cell lung cancer. Int J Radiat Oncol Biol Phys 2000;48:81-7.</li>
<li>Pedersen AN, Korreman S, Nystrom H et al. Breathing adapted radiotherapy of breast cancer: reduction of cardiac and pulmonary doses using voluntary inspiration breath-hold. Radiother Oncol 2004;72:53-60.</li>
</ol>

Woodwing Id
249080
Fil
Bib ref
Ugeskr Læger 2004;166(47):4243-4245
Authors

Afdelingslæge Helle Pappot, klinisk assistent Barbara Malene Bjerregaard Fischer, klinisk assistent Charlotte Elberling Almasi, reservelæge Halla Skuladottir & klinisk assistent Trine Jakobi Nøttrup H:S Rigshospitalet, Finsencentret, Onkologisk Klinik

0 likes