Medlem i

12 years 10 months
Indholdselementer

I Danmark blev der i 2018 isat 10.413 primære total hoftealloplastikker (THA), og af disse havde omkring 15% en såkaldt dual mobility cup (DMC) [1]. DMC har i modsætning til standardcuppen to artikulationer: en artikulation mellem caput (ledhoved) og liner (plastikindsats) samt en mellem liner og cup. Designet mindsker risikoen for luksation, som er den hyppigste komplikation i forbindelse med THA og var den næsthyppigste årsag til revision i Danmark i 2018 [1]. Risikoen for luksation ved primær THA er 3,4% [2]. DMC bruges især til patienter, hvor det vurderes, at der er høj risiko for luksation. Således vil DMC med fordel kunne overvejes hos meget adipøse patienter, patienter med kognitiv svækkelse, som forventeligt vil have svært ved at overholde de postoperative restriktioner, patienter med neurologisk lidelse eller ældre med nedsat proprioception og dermed øget risiko for fald [3]. Pga. stigende anvendelse af DMC er det nødvendigt med øget fokus på de specielle forholdsregler, der skal tages ved hofteluksation med en DMC. Vi beskriver en sygehistorie med en iatrogen intraprostetisk dislokation (IPD) af lineren efter lukket reponering af lukseret THA med DMC.

Sidebar placering
Venstrestillet
Billede
Den lukserede liner, der kom til syne i operationsfeltet med koaguleret blod efter gennembrydning af fascien.
Caption
Den lukserede liner, der kom til syne i operationsfeltet med koaguleret blod efter gennembrydning af fascien.
Sidebar placering
Venstrestillet

SYGEHISTORIE

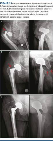
En 83-årig kognitivt velbevaret mand fik pga. hofteartrose isat en højresidig THA med DMC på et regionshospital. Operationen og efterforløbet var ukompliceret. Fem uger senere opsøgte han en skadestue på et andet regionshospital, da han havde smerter omkring højre hofte. Han havde siddet på et toiletbræt og bøjet sig ned for at smøre fødder, hvilket medførte dyb fleksion samt indadrotation og adduktion i den opererede hofte og resulterede i smerter og immobilisering. En røntgenoptagelse af højre hofte viste bagerste hofteluksation (Figur 1A). På skadestuen blev hoften reponeret i rus med pethidin og stesolid, og den efterfølgende røntgenoptagelse af hoften blev vurderet som normal. Patienten blev indlagt på en medicinsk afdeling pga. svimmelhed i dagene op til luksationen. Til næste dags røntgenkonference blev det konstateret, at caput stod excentrisk i cuppen, og at lineren ikke var på plads (Figur 1B), et såkaldt bubble sign [4]. Patienten var i velbefindende og uden tegn på neurovaskulær påvirkning i højre underekstremitet. Han blev opereret dagen efter, hvor lineren kom frem i operationsfeltet ved gennembrydning af fascien. Liner og caput blev udskiftet, og halslængden blev øget for at give mere stabilitet (Figur 1C). Forløbet efter revisionen var ukompliceret.

Sidebar placering
Venstrestillet
Billede
Sidebar placering
Venstrestillet

DISKUSSION

IPD efter primær THA med DMC er et sjældent, men kendt fænomen. Oftest ses det pga. mange års slid på lineren og hos revisionshofterne [3-5]. Der skal store kræfter til at disintegrere lineren fra caput, da denne under operationen mekanisk bliver presset ned over caput under brug af store kræfter. En ukorrekt samling vil kunne give IPD ved luksation, og lineren bør derfor ses på caput på en røntgenoptagelse, inden man forsøger en lukket reponering. Da røntgenoptagelser ikke altid afslører den lukserede liner, kan en CT derfor være relevant til præoperativt at identificere linerens placering. IPD kan aldrig reponeres lukket og kræver altid kirurgisk intervention, og hvis caput er excentrisk placeret i cuppen, bør man få mistanke om IPD.

IPD forekommer hyppigst iatrogent og beskrives som resultat af en »øloplukkereffekt«, hvor lineren fanges på kanten af cuppen eller af et knoglefremspring [4]. Den større ydre diameter på lineren ift. en standard-THA gør, at der skal større distraktion til at få lineren fri af cuppen, hvorfor den er sværere at reponere. Hvis distraktionen bliver for lille, kan der forekomme impingement og sekundær risiko for »øloplukkereffekt«. Addona et al [5] fandt, at 71% (fem af syv) IPD skete efter lukket reponering – heraf to efter primær THA. Dette er i overensstemmelse med resultaterne af et review, hvor man fandt, at 79% (15 af 19) opstod iatrogent – heraf fem efter primær THA [4].

På baggrund af stigende brug af DMC anbefales det, at reponering af en lukseret THA med DMC altid foregår med røntgengennemlysning under generel anæstesi med muskelrelaksation. Da åben reponering kan blive nødvendig, anbefales lukket reponering kun (medmindre der er neurovaskulær påvirkning af benet), hvis en kirurg med erfaring i åben hoftekirurgi kan tilkaldes. Alle læger, der foretager reponering af lukseret THA, bør således kunne vurdere, om det er en DMC, der er isat, og om lineren er fastsiddende på caput for at sikre reponering under optimale betingelser.



KORRESPONDANCE: Anders Elneff Graversen. E-mail: anders.elneff.graversen@rsyd.dk
ANTAGET: 23. juli 2020
PUBLICERET PÅ UGESKRIFTET.DK: 7. september 2020
INTERESSEKONFLIKTER: ingen. Forfatternes ICMJE-formularer er tilgængelig sammen med artiklen på Ugeskriftet.dk
LITTERATUR: Findes i artiklen på Ugeskriftet.dk

Sidebar placering
Venstrestillet
Article type
Journal
Magazine
Section
References

Litteratur

  1. Dansk Hoftealloplastik Register. National årsrapport, 2019. http://danskhoftealloplastikregister.dk/da/publikationer/aarsrapporter/ (12. aug 2020).

  2. Hermansen LL, Viberg B, Hansen L et al. True frequency and risk factors for hip dislocation within two years after primary total hip arthroplasty (THA) – a Danish nationwide population-based study. Abstract. DOS Kongressen 2019. https://www.ortopaedi.dk/wp-content/uploads/2019/10/DOS-Abstract-bog-2019.pdf (12.aug 2020).

  3. Cuthbert R, Wong J, Mitchell P et al. Dual mobility in primary total hip arthroplasty: current concepts. EFORT Open Rev 2019;4:640-6.

  4. De Martino I, D’Apolito R, Waddell BS et al. Early intraprosthetic dislocation in dual-mobility implants: a systematic review. Arthroplast Today 2017;3:197-202.

  5. Addona JL, Gu A, De Martino I et al. High rate of early intraprosthetic dislocations of dual mobility implants: a single surgeon series of primary and revision total hip replacements. J Arthroplasty 2019;34:2793e2798.

Woodwing Id
28922
Fil
Conflict of interest
English title
Dislocated dual mobility liner after hip dislocation
English summary

Anders Elneff Graversen & Claus Varnum

Ugeskr Læger 2020;182:V04200258

Intraprosthetic dislocation (IPD) during closed reduction in primary total hip arthroplasty (THA) with a dual mobility cup (DMC) is a well-known, but rare complication. DMC accounted for 15% of all cups in primary THA in Denmark in 2018, and the prevalence of DMC is increasing. We present a case report of an 83-year-old man, who had an atraumatic hip dislocation five weeks after primary THR. After closed reduction with sedation in the emergency department, IPD occurred. We recommend repositioning of a dislocated THA with DMC to be done by use of fluoroscopy under general anesthaesia with muscle relaxation.

Authors workplaces

1) Ortopædkirurgisk Afdeling, Sygehus Lillebælt Vejle, 2) Institut for Regional Sundhedsforskning, Det Sundhedsvidenskabelige Fakultet, Syddansk Universitet

Ugeskr Læger 2020;182:V04200258

Bib ref
UgeskrLæger 2020;182:V04200258
Article number
V04200258
Authors

Anders Elneff Graversen1 & Claus Varnum1, 2

0 likes