Medlem i

12 years 10 months
Indholdselementer
Billede
Sidebar placering
Venstrestillet
Billede
Sidebar placering
Venstrestillet


Vi præsenterer et tilfælde af akut livstruende respirationsinsufficiens som følge af en intratorakalt beliggende colonslynges kompression af den nedre halsregion.

Den hyppigste form for transdiafragmal herniering er gennem hiatus oesophageus [1]. Herudover findes posterolaterale hernier (Bochdalek) og retrosternale hernier (Morgagni). Herniering gennem hiatus aorticus ses sjældent.

Der foreligger adskillige kasuistiske beskrivelser af akut abdomen på grund af diafragmahernier [2]. Vi har fundet en kasuistisk beskrivelse af akut respirationsinsufficiens på grund af et stort hiatushernie [3]. Os bekendt findes der i litteraturen ikke berettet om eksempler, hvor colon har fremstået kranialt for apertura thoracis superior med livstruende respirationsinsufficiens til følge.

Sygehistorie

En 85-årig kvinde uden kendte kroniske lidelser blev indlagt med akut opstået respirationsbesvær. Patienten havde en time inden indlæggelsen indtaget et større måltid. En halv time efter fik hun pludselig vejrtrækningsbesvær og blev indlagt akut. Muligheden for aspiration af et fremmedlegeme blev afvist af patienten og pårørende. Patienten havde ingen smerter. Hun havde aldrig røget og havde ingen kendte allergier.

Ved ankomsten var patienten cyanotisk med udtalt stridorøs og meget besværet vejrtrækning. Hun var urolig og svedende. Stemmen var upåfaldende. På nederste del af halsen i midtlinjen sås en udfyldning på 7 × 7 cm i frontalplanet med peristaltiske bevægelser. Udfyldningen var blød, uøm og kompressibel. Der blev ikke auskulteret over udfyldningen. Ved hjertestetoskopi hørtes ingen mislyde. Perkussion af lungerne gav ingen mistanke om pneumothorax. Ved lungestetoskopi hørtes stridorøs vejrtrækning. Abdomen var blødt og uømt uden patologiske fund.

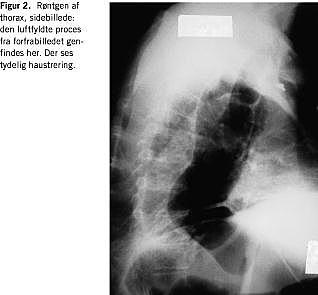
Blodtrykket var 220/120. Et elektrokardiogram (ekg) viste sinustakykardi, frekvens 134, uden tegn på iskæmi. Patientens saturation ved ankomsten var 92% på 8 l ilt pr. min. A-punktur viste svær respiratorisk acidose, pH=7,13. Røntgen af thorax viste en dilateret subdiafragmalt beliggende ventrikel og en dilateret colonslynge i mediastinum strækkende sig helt op i halsregionen, der sås normale lungefelter (Figur 1 og Figur 2 ).

Initialt blev patienten ventileret på maske med 15 l ilt pr. min og behandlet medicinsk på mistanke om en allergisk reaktion. Ventriklen blev dekomprimeret med en ventrikelsonde. Patienten blev intuberet blindt nasotrakealt og ventileret. Herefter bedredes patientens tilstand betydeligt. Hævelsen på halsen forsvandt, og vitalparametre samt blodgasser normaliseredes. Et nyt røntgenbillede af thorax viste, at colonslyngen nu var deflateret. Patienten blev ekstuberet.

Efter 21/2 måned uden gener blev der foretaget CT af thorax og øvre abdomen med peroral kontrastindgift. Herniet kunne ikke genfindes. Colon var subdiafragmalt beliggende.

Diskussion

I den foreliggende sygehistorie har der formodentlig været tale om herniering gennem hiatus oesophageus. Dette blev vurderet af en speciallæge i radiologi ud fra røntgen af thorax i to planer.

Ved større hiatushernier ses livstruende komplikationer hyppigst som akut abdomen med symptomer, som generelt kan henføres til torsion/volvolus af ventriklen evt. med samtidig strangulation og iskæmi [1].

Som nævnt i indledningen har vi fundet en kasuistisk beskrivelse af akut respirationsinsufficiens på baggrund af et stort hiatushernie [3]. Denne patient havde ligeledes ventrikeldilatation - dog var ventriklen intratorakalt beliggende, hvilket førte til et klinisk billede foreneligt med trykpneumothorax. Dekompression af ventriklen førte i dette tilfælde til hurtig og markant forbedring af patientens tilstand ligesom i den foreliggende sygehistorie.

Den patologiske mekanisme bag patientens stridorøse vejrtrækning ligger ikke fast. Vi mener ikke, at det er sandsynligt, at trachea er blevet komprimeret af den hernierede colonslynge. Colonslyngen var blød og gav ikke anledning til akutte iskæmiske smerter. En mulig forklaring på den stridorøse vejrtrækning er, at colonslyngen har påvirket nervus laryngeus recurrens bilateralt, hvilket har medført stemmelæbeparese i median/paramedianstilling. Dette ville kunne give en funktionel obstruktion på stemmelæbeniveau med stridor og respirationsinsufficiens uden påvirkning af taleevnen [4].

Denne sygehistorie understreger vigtigheden af røntgen af thorax som akut undersøgelse i forbindelse med akut respirationsinsufficiens.


Jakob Heeholm Sønderstrup, Langelandsvej 34, 2. th., DK-2000 Frederiksberg. E-mail: hoejlund@hotmail.com

Antaget: 18. august 2004

Interessekonflikter: Ingen angivet

Taksigelser: Tak til overlæge Zbigniew Sroczynski , tidligere Anæstesiologisk Afdeling, Storstrømmens Sygehus i Fakse og overlæge Carsten Sloth, Radiologisk Afdeling, Storstrømmens Sygehus i Næstved.




Sidebar placering
Venstrestillet
Article type
Journal
Magazine
Section
References

<ol class="Litt-list">
<li>Lord RVN, Demeester TR. Reflux disease and hiatus hernia. Morris PJ, Wood WC. Oxford Textbook of Surgery, 2.nd edition. New York: Oxford University Press, 2000:1257-61.</li>
<li>Rahr HB, Grønlund J, Johnsen FMA. Intrathorakal perforation af ventrikelulcus i et stort hiatushernie. Ugeskr Læger 1993;155:891-2.</li>
<li>Berkman N, Simon Z, Almog Y et al. Acute gastric dilatation causing respiratory failure and "Tension Pneumothorax" in an elderly woman with a diaphragmatic hernia. Chest 1993;104:317-8.</li>
<li>Bretlau P, Pedersen BC. Øre- næse- halssygdomme hoved-halskirurgi. 10. udg. København: Munksgaard, 2002: 282-4.</li>
</ol>

Woodwing Id
256430
Fil
English summary

Summary Life-threatening obstruction of the airway caused by a herniated colon loop Ugeskr L&aelig;ger 2004;166:4058-4059 Large hiatal hernias have a high frequency of serious complications, usually presenting as a case of acute abdomen. We report a case of acute obstruction of the airway in a patient with a large hiatal hernia. The patient was cyanotic with stridor. A chest X-ray showed a dilated colon loop in the mediastinum and above the apertura thoracis superior. The patient had a dilated stomach in its normal intraabdominal position. After decompression of the stomach the patient became asymptomatic.

Bib ref
Ugeskr Læger 2004;166(45):4058-4059
Authors

Reservelæge Jakob Heeholm Sønderstrup & reservelæge Jakob Højlund Rasmussen Storstrømmens Sygehus Fakse, Medicinsk Afdeling

0 likes
Read time
4