Medlem i

12 years 10 months
Indholdselementer

Clostridium perfringens er en grampositiv, anaerob bakterie, som producerer toksiner med vævsnedbrydende og gasproducerende egenskaber. C. perfringens kan forårsage gasgangræn i traumatiseret væv og infektion ved hæmatogen spredning. C. perfringens er naturligt forekommende i jord, og hos mennesker er C. perfringens en del af tarmfloraen og kan forekomme i vaginalfloraen hos raske kvinder [1]. Formålet med denne kasuistik er at belyse forløbet af en sjælden og livstruende årsag til intrauterin infektion.

 

SYGEHISTORIE

En 40-årig tidligere rask kvinde med et leiomyom i

uterus blev indlagt akut med febrilia og abdominalsmerter. Forinden havde hun haft feber, kvalme og alimentære opkastninger gennem tre døgn. Hun havde uændret afføringsmønster og ingen symptomer på urinvejsinfektion. Objektivt registrerede man et blodtryk

på 144/71 mmHg, en puls på 126 slag/min, en respirationsfrekvens på 20/min, en iltmætning på 98% og

en temperatur på 38,5 °C. Abdomen var udspilet og spændt med direkte ømhed overvejende over symfysen uden peritonealreaktion. Der var ingen ømhed i nyrelogerne. Paraklinisk fandt man positiv urinstiks (leukocytter 2+, nitrit+, blod 3+, protein 3+), negativ urin-humant choriongonadotropin, C-reaktivt protein-niveau på 260 mg/l, hæmoglobinniveau på 7,0 mmol/l og i øvrigt upåvirket biokemiske værdier. Den supplerende arteriepunktur var upåfaldende med normalt laktatniveau på 1,1 mmol/l. Efter urin- og bloddyrkning blev der påbegyndt behandling med intravenøst (i.v.) givet pivmecillinam og engangsdosis gentamicin på mistanke om urinvejsinfektion eller pyelonefritis. Senere samme døgn blev patienten revurderet, og der blev rejst mistanke om intraabdominal ætiologi, hvilket foranledigede, at der blev foretaget en CT af abdomen med i.v. givet kontraststof. Samtidig blev behandlingen ændret til i.v.-givet piperacillin/tazobactam. Ved CT’en verificeredes det kendte leiomyom, og der sås intraperitoneal væske omkring genitalia interna, muligvis fra en rumperet ovariecyste, hvorfor der blev bedt om et gynækologisk tilsyn.

Patienten havde ikke været gravid før, var i et

lesbisk forhold og havde seks måneder forinden fået foretaget ægudtagning til insemination af sin partner. Hendes menstruationscyklus havde overvejende været regelmæssig, men seks uger op til indlæggelsen havde hun haft uregelmæssige blødninger. Ved den gynækologiske undersøgelse fandt man ingen rokkeømhed af uterus. Den transvaginale ultralydskanning viste tegn på sammenfalden venstresidig ovariecyste og en beskeden mængde fri væske i fossa Douglasi. På andet indlæggelsesdøgn viste bloddyrkningen vækst af C. perfringens, og patienten havde fortsat mavesmerter og opkastninger. Infektionstallene var stigende med et C-reaktivt protein-niveau på 330 mg/l og leukocytniveau på 15 mia./l. Behandlingen blev suppleret med metronidazol, hvorefter patienten var mindre forpint og afebril. Arteriepunkturen blev gentaget uden fund

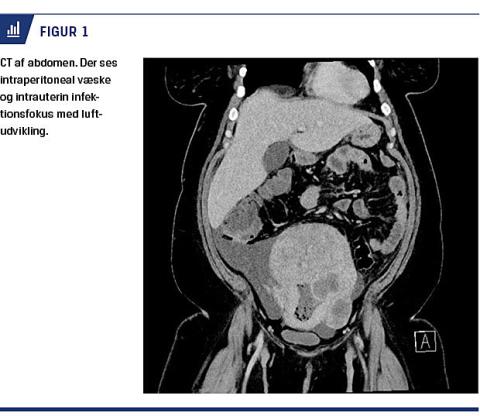
af laktatforhøjelse. Man afstod således fra diagnostisk laparoskopi og fortsatte med i.v.-givet antibiotisk behandling. Trods denne behandling fik patienten tiltagende abdominalsmerter om aftenen, hendes abdominalomfang tiltog, og hun var nu diffust direkte øm og slipøm i abdomen. Endvidere var hun blevet takykard og febril (puls 120 slag/min, temperatur 39,0 °C). CT’en blev gentaget; denne gang med fund af intrauterin luftudvikling og abscesdannelse (Figur 1). På mistanke om et intrauterint fokus for C. perfringens foretog et gynækologisk team på tredje døgn eksplorativ laparotomi med fund af svære nekroser og tegn til gasgangræn, hvorfor der blev udført total hysterektomi, bilateral salpingo-ooforektomi og appendektomi. Patologisvaret postoperativt påviste inflammation og nekroser, men ingen degenerative eller maligne forandringer i leiomyomet. Patientens kliniske tilstand blev langsomt bedre på kontinuerlig antibiotisk behandling, og hun kunne udskrives 11 dage postoperativt.

Sidebar placering
Venstrestillet
Billede
Sidebar placering
Venstrestillet

 

 

DISKUSSION

De involverede gynækologer, infektionsmedicinere,

radiologer og mave-tarm-kirurger kunne trods grundig udredning ikke afklare, hvordan patienten var blevet inficeret. C. perfringens er beskrevet i et fåtal af studier som en sjælden årsag til endometritis post partum eller efter instrumentering, herunder provokeret abort [2, 3]. Infektion med C. perfringens er også associeret til gynækologiske cancerformer [4]. I en lignende kasuistik skildres et leiomyom i uterus som fokus for C. perfringens-infektion uden forudgående instrumentering [5]. Det tidligere invasive fertilitetsindgreb hos patienten i sygehistorien kunne også have givet en sen manifestation af infektionen. Under alle omstændigheder var hurtig diagnostik og behandling hjørnestenen i hendes overlevelse, om end hun først blev opereret på tredjedagen.  

 

Korrespondance: Mona Meral Savran. E-mail: monasavran@gmail.com

Antaget: 30. april 2018

Publiceret på Ugeskriftet.dk: 9. juli 2018

Interessekonflikter: ingen.

Sidebar placering
Venstrestillet
Article type
Journal
Magazine
Section
References

LITTERATUR

  1. Larsen B, Monif GR. Understanding the bacterial flora of the female genital tract. Clin Infect Dis 2001;32:e69-e77.

  2. Halpin TF, Molinari JA. Diagnosis and management of clostridium perfringens sepsis and uterine gas gangrene. Obstet Gynecol Surv 2002;

    57:53-7.

  3. Finkielman JD, de Feo FD, Heller PG et al. The clinical course of patients with septic abortion admitted to an intensive care unit. Intensive Care Med 2004;30:1097-102.

  4. Kremer KM, McDonald ME, Goodheart MJ. Uterine Clostridium perfringens infection related to gynecologic malignancy. Gynecol Oncol Rep 2017;22:55-7.

  5. Bryant CS, Perry L, Shah JP et al. Life-threatening clostridial sepsis in a postmenopausal patient with degenerating uterine leiomyoma. Case Rep Med 2010;2010:541959-3.

Woodwing Id
114965
Fil
Conflict of interest
English title
Life-threatening intrauterine infection with Clostridium perfringens
English summary

In this case report, a 40-year-old woman with a history of a uterine leiomyoma presented with abdominal pain and fever. Initially, her symptoms were associated with a bleeding from an ovarian cyst seen on a CT scan of the abdomen showing free intraperitoneal fluid surrounding the internal genitals. Meanwhile, her blood cultures came out positive for Clostridium perfringens, and her condition deteriorated despite intravenous antibiotics. A new CT scan revealed intrauterine gas development. A laparotomy was performed with removal of the internal genitals, and the patient improved on continuous antibiotics.

Authors workplaces

1) Gynækologisk-obstetrisk Afdeling, Hvidovre Hospital 2) Copenhagen Academy for Medical Education and Simulation, Center for HR, Region Hovedstaden Ugeskr Læger 2018;180:V01180019

Bib ref
Ugeskr Læger 2018;180:V01180019
Article number
V01180019
Authors

Mona Meral Savran1, Ebbe Thinggaard1, 2, Mads Nielsen-Breining1 & Benny Kirschner1

0 likes