Medlem i

13 years 1 month
Indholdselementer
Billede
Sidebar placering
Venstrestillet


Angioødem er en sjælden bivirkning ved behandling med ACE-hæmmere (ACE-I). Forekomsten er opgjort til 0,1%. Angioødem optræder hyppigst inden for den første uge efter behandlingsstart, men tilfælde, der er opstået efter års behandling, er beskrevet (1).

Sikre risikofaktorer er ikke identificeret; adipositas, kvindekøn og idiopatisk angioødem har været foreslået (2). Mekanismen bag ACE-I-induceret angioødem er ukendt. Undersøgelser tyder på, at øget vævskoncentration af bradykinin, substans P og prostaglandiner har betydning. Immunglobulinmedieret genese er mindre sandsynlig (3, 4).

Effekten af ACE-I-behandling af patienter med risikofaktorer for kardiovaskulære hændelser er veldokumenteret (5), og en forventelig udvidelse af indikationsområdet vil kunne betyde en øget forekomst af ACE-I-induceret angioødem.

Angioødemet involverer hudens dybere lag og slimhinder. Oftest begrænser det sig til hævelse af ansigt og mundhulestrukturer. Ved involvering af oropharynx og larynx er tilstanden potentielt livstruende og kræver akut behandling.

Sygehistorie

En 60-årig, adipøs mand i antihypertensiv behandling med enalapril 20 mg × 1 gennem syv måneder, blev indbragt med udtalt vejrtrækningsbesvær. Han havde gennem nogle dage følt sig tiltagende hævet i hals og mund, og havde tidligere oplevet to lignende, selvlimiterende tilfælde, men var i øvrigt rask uden kendte medikamentelle allergier eller fødevareallergier.

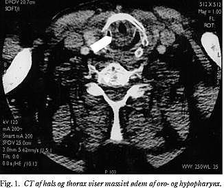
Patienten havde inspiratorisk stridor og ødematøs hals. En laryngoskopi viste blegt ødem, dette blev bekræftet af en CT (Fig. 1 ). Der blev givet adrenalin som inhalation, samt methylprednisolon og clemastin i.v. Herpå skete der en kortvarig bedring, men efter få minutter indtrådte der komplet luftvejsobstruktion og respirationssvigt. Patienten blev anæsteseret, og der blev gjort to forsøg på oral intubation med laryngoskop, samt forsøg på fiberskopisk intubation. Patienten kunne ikke maskeventileres, og det var ikke muligt at udføre nødtrakeotomi grundet ødem på den ydre hals. Endnu et forsøg på oral intubation lykkedes. Patienten fik undervejs minutter varende asystoli. Sinusrytme genetableredes efter intubation, ventilation og adrenalin i.v. Senere blev der med nogen besvær anlagt regelret trakeostomi. Steroidterapien fortsatte, og ødemet aftog over nogle dage. Patienten blev udskrevet med enkelte neurologiske skader til planlagt opfølgning i neuropsykologisk regi.

Diskussion

Ovenstående sygehistorie henleder opmærksomheden på en potentielt fatal bivirkning ved ACE-hæmmer-behandling. Der var ikke holdepunkter for infektiøs eller allergisk genese til ødemet. Der foreligger ikke kausal behandling. Behandlingen er konservativ og skal fokusere på tæt observation og sikring af frie lufveje med løbende vurdering af behov for intubation eller nødtrakeotomi. Det må forventes, at såvel intubation som maskeventilation kan være yderst vanskelige.

En anerkendt algoritme for luftvejshåndtering (6) anbefaler vågen intubation - eventuelt fiberlaryngoskopisk vejledt eller via retrograd teknik. Udstyr til nødtrakeotomi skal være til stede. Såfremt årsagen til et luftvejsødem er ukendt, må man som udgangspunkt behandle efter kendte principper med antihistamin, steroid og adrenalininhalation. Såfremt det drejer sig om ACE-I-induceret angioødem, anses effekten af antihistamin og steroid for at være tvivlsom (7).

Tranexamsyre har en veldokumenteret plads i behandlingen af heriditært angioødem (8), men dokumenteret effekt ved behandlingen af ACE-I-induceret angioødem foreligger ikke. Ved opstart af ACE-I-behandling, skal patienten informeres om denne sjældne bivirkning og behandlingen skal seponeres straks ved tegn på udvikling af angioødem. Ved behandlingsskift, skal det anføres, at angioødem også ses ved behandling med AT-II-antagonister (9). Patienter med symptomer på ødem af øvre luftveje bør observeres og behandles under indlæggelse.


Anne Lindhardt Olesen, Kaas Allé 31, DK-2900 Hellerup.

Antaget den 5. november 2002.

Amtssygehuset i Glostrup, Anæstesiologisk Afdeling Y og Medicinsk Afdeling.

Niels Skovgaard, Billeddiagnostisk Afdeling, Amtssygehuset i Glostrup, takkes for levering af billeddiagnostisk materiale.



Sidebar placering
Venstrestillet
Article type
Journal
Magazine
Section
References

<ol class="Litt-list">
<li>Slater EE, Merrill DD, Guess HA et al. Clinical profile of angioedema associated with angiotensin converting-enzyme inhibition. JAMA 1988;260: 967-70.</li>
<li>Jain M, Armstrong L, Hall J. Predisposition to and late onset of upper airway obstruction following angiotensin-converting enzyme inhibitor therapy. Chest 1992;102:871-4.</li>
<li>Lapaostolle F, Borron SW, Bekka R et al. Lingual angioedema after perindopril use. Am J Cardiol 1992;81:523.</li>
<li>Thompson T, Frable MA. Drug-induced, life-threatening angioedema revisited. Laryngoscope 1993;103:10-2.</li>
<li>Yosuf S, Sleight P, Pouge J et al. Effects of an angiotensin-enzyme inhibitor, ramipril, on cardiovascular events in high-risk patients. The Heart Outcomes Prevention Evaluation Study Investigators. N Engl J Med 2000;342: 145-53.</li>
<li>American Society of Anesthesiologists. Practice guidelines for management of the difficult airway. Anesthesiology 1993;78:597-602.</li>
<li>Roberts JR, Wuertz RC. Clinical characteristics of angiotensin-converting enzyme inhibitor-induced angioedema. Ann Emerg Med 1991;20:555-8.</li>
<li>Crosher R. Intravenous tranexamic acid in the management of hereditary angioedema. Br J Oral Maxillofac Surg 1987;25:500-6.</li>
<li>Cosentino M, Leoni O, Michielotto D et al. Increased reporting of adverse reactions to ACE-inhibitors associated with limitations to drug reimbursement for Angiotensin-II receptor antagonists. Eur J Clin Pharmacol 2001; 57:509-12.</li>
</ol>

Woodwing Id
246483
Fil
Bib ref
Ugeskr Læger 2003;165(10): 1041-2.
Authors

Anne Lindhardt Olesen, Carsten Tollund, Inger Søndergaard & Jens Johan Strøm

0 likes