Medlem i

12 years 10 months
Indholdselementer
Billede
Sidebar placering
Venstrestillet


Invagination, eller intussusception, sker, når et proksimalt tarmsegment teleskoperes ind i lumen på et distalt segment. Invagination hos personer i voksenalderen er sjælden og udgør kun 5% af alle tilfælde. I 90% af tilfældene findes en kendt ætiologi i form af en patologisk proces.

SYGEHISTORIE

En 46-årig tidligere rask kvinde blev indlagt via egen læge efter seks dage med epigastrielle smerter og tynd, slimet og rødbrun afføring samt en enkelt opkastning.

Der var ingen luftafgang eller normal afføring i forløbet. Smerterne rykkede til nedre abdomen og var jagende og veagtige.

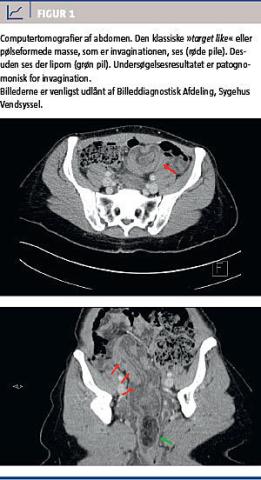
Objektivt fandtes patienten ikke akut påvirket. Hun var direkte øm og slipøm i venstre fossa og over symfysen. Der var ingen positive fund i øvrigt. Der var normale biokemiske værdier, fraset et C-reaktivt protein-niveau på 63 mg/l. En akut computertomografi (CT) af abdomen viste invagination i sigmoideum (Figur 1). Den strakte sig ned i øvre del af rectum til noget, der lignede reaktionsløst fedt. Slim-hinden i invaginationen havde dårlig opladning som tegn på kompromitteret perfusion. Derudover så man fri væske, men ingen fri luft.

Man påbegyndte laparoskopi kombineret med colonindhældning og derefter koloskopi, men invaginationen kom ikke helt op, hvorfor man konverterede til laparotomi. Invaginationen blev reponeret manuelt, og man kunne konstatere, at den skyldtes en stor bredbaset polyp. Da det ikke var muligt at afklare, om polyppen var malign eller benign, blev der udført onkologisk resektion med primær anastomose. Efter-forløbet var ukompliceret.

En histologisk undersøgelse viste, at polyppen var et benignt submukøst lipom på 3 × 6 cm. Ved kontrol seks måneder efter var der stenose ved anastomosestedet, men den kunne passeres med gastroskop, og i tarmen blev der fundet normale forhold.

DISKUSSION

Symptomerne hos voksne med invagination er ukarakteristiske og indimellem subakutte eller endda kroniske, hvorfor tilstanden let kan overses. Mave-smerter er det hyppigste symptom, desuden kan der forekomme kvalme, opkastninger og tegn på obstruktion. Yderligere ses der blødning per rectum, diare, feber, vægttab og fund af palpabel masse [1-3].

Invagitationer klassificeres i forhold til placeringen, således at det teleskoperede tarmafsnit nævnes først som enteroenterisk, ileokolisk, ileocøkalt og kolokolisk [4]. I sygehistorien drejede det sig om en kolokolisk invagination, som er den sjældneste og sammen med ileocøkale invaginationer udgør knap en fjerdedel af alle tilfælde hos voksne [1, 2].

Ætiologien er enten malign, benign eller idiopatisk, og fordelingen varierer i forhold til invaginationens lokalisation. Der er overvægt af underliggende malign lidelse, hvis invaginationen er lokaliseret i colon (50-66%), hvor adenokarcinom er langt den hyppigste form. Benigne årsager i colon kan være lipomer eller adenomer, eller de kan være iatrogene [1-4].

Ved kolokolisk invagination er der således risiko for spredning af tumorcellerne ved reponering, samtidig med at risikoen for anastomoseproblemer øges [4]. Anbefalingerne er derfor også, at der operativt reseceres en bloc uden forudgående forsøg på reponering [1-4].

I tilfælde, hvor der er tale om tyndtarmsinvagination, ses der oftere benigne årsager, og der kan derfor være fordel ved primært at forsøge med reponering. Dette må dog ikke forsøges, hvis der er iskæmi af tarmen, inflammation eller ved mistanke om malignitet [2-4]. Vi har ikke fundet anbefalinger i litteraturen, mht. om der skal reponeres endoskopisk eller operativt.

CT af abdomen vil med høj sensitivitet (58-100%) være førstevalg af radiologisk undersøgelse [4]. De typiske fund er en målskive- eller pølseformet masse med lagdeling. Desuden kan der ses mesenteriske kar i lumen [2-4].

Ugeskrift for Læger bragte i 2006 en artikel med en lignende sygehistorie, hvor der blev brugt ultralydskanning (UL) som billeddiagnostisk undersøgelse med efterfølgende bariumindhældning [5]. CT foretrækkes, da UL er operatørafhængig samt ikke kan bruges ved patienter med adipositas og ved gasfyldte tarme. Bariumindhældning er kontraindiceret ved perforation og iskæmi af tarmen og havde således også været kontraindiceret hos patienten i sygehistorien trods hendes gode almentilstand.

Invagination hos voksne er sjælden, og diagnosen kan nemt forsinkes pga. de ukarakteristiske symptomer. Forløbet i sygehistorien var påvist sub-akut, og patienten var ikke alment påvirket, trods billeddiagnostisk og peroperativt iskæmisk tarm. Det anbefales operativt at resecere en bloc uden forudgående forsøg på reponering pga. den store risiko for malignitet. Til præoperativ diagnostik er CT den mest sensitive undersøgelse.



KORRESPONDANCE:
Jeanette Sørensen, Kirurgisk Afdeling, Sygehus Vendsyssel, Bispensgade 37, 9800 Hjørring. E-mail: soerensenjeanette@gmail.com

ANTAGET: 14. juni 2012

FØRST PÅ NETTET: 1. oktober 2012

INTERESSEKONFLIKTER:Hent PDF

TAKSIGELSER: Kirurgisk Afdeling, Sygehus Vendsyssel, takkes for patientmateriale og vejledning. Rasa Niedvaraite, Radiologisk Afdeling, Sygehus Vendsyssel, takkes for fremskaffelse og behandling af billedmateriale.


Summary

Jeanette Sørensen & Helene Nygaard:

Lipoma as the cause of intussusception of the rectum in a 46-year-old woman

Ugeskr Læger 2013;175:662-663

We present a case with a 46-year-old woman who had expe rienced six days of abdominal pain and some days of anal bleeding. She had no prior medical history. At the clinical examination it was found that she had a soft abdomen, but there was tenderness in the lower part. A computed tomogra-phy showed an intussusception of the sigmoideum into the rectum. An oncological resection was performed, since it could not at the time of the operation be determined if it was a malignant proces. The histology showed a benign submucosal lipoma.



 

Litteratur

  1. Azer T, Berger DL. Adult intussusception. Ann Surg 1997;226:134-8.

  2. Chiang JM, Lin YS. Tumor spectrum of adult intussusception. J Surg Oncol 2008;98:444-7.

  3. Yakan S, Caliskan C, Makay O et al. Intussuscpetion in adults: clinical characteristics, diagnosis and operative strategies. World J Gastroentrol 2009;15:1985-9.

  4. Marinis A, Yiallourou A, Samanides L et al. Intussuscpetion of the bowel in adults: a review. World J Gastroenterol 2009;15:407-11.

  5. Jensen V, Hovendal C, Karstoft J. Tumorinduceret kolokolisk invagination hos voksen. Ugeskr Læger 2006;168:3228-9.



Sidebar placering
Venstrestillet
Article type
Journal
Magazine
Section
Woodwing Id
255738
Fil
Conflict of interest
English summary

Summary Jeanette Sørensen & Helene Nygaard: Lipoma as the cause of intussusception of the rectum in a 
46-year-old woman Ugeskr Læger 2013;175:662-663 We present a case with a 46-year-old woman who had experienced six days of abdominal pain and some days of anal bleeding. She had no prior medical history. At the clinical examination it was found that she had a soft abdomen, but there was tenderness in the lower part. A computed tomogra-phy showed an intussusception of the sigmoideum into the rectum. An oncological resection was performed, since it could not at the time of the operation be determined if it was a malignant proces. The histology showed a benign submucosal lipoma.

Bib ref
Ugeskr Læger 2013;175(10):662-663
Authors

Jeanette Sørensen & Helene Nygaard Kirurgisk Afdeling, Sygehus Vendsyssel

0 likes
Read time
5