Medlem i

12 years 10 months
Indholdselementer

Akut cerebral iskæmi ses typisk ved neurologiske udfald såsom pareser eller afasi, men i 1962 beskrev Charles Miller Fisher sammenhængen mellem a. carotis-stenose og positive neurologiske symptomer i form af ikkerytmiske trækninger i de kontralaterale ekstremiteter [1]. I løbet af 1980’erne og 1990’erne blev symptomatologien navngivet limb-shaking transient ischaemic attacks (LS-TIA). LS-TIA er episoder af hemiforme ikkerytmiske trækninger udløst af en akut hæmodynamisk påvirkning ved kronisk cerebral hypoperfusion. Desværre overses eller mistolkes LS-TIA ofte. LS-TIA tolkes tit som uspecifikke rystelser, fokale kramper eller en funktionel tilstand, hvilket kan medføre forsinket eller forkert behandling. Formålet med denne artikel er at beskrive forekomst, patofysiologi, klinisk præsentation, udredning, forløb, prognose og eksisterende behandlingsmuligheder ved LS-TIA.

Sidebar placering
Venstrestillet
Hovedbudskaber
  • Limb-shaking transient ischaemic attacks (LS-TIA) er intermitterende hemiforme ikkerytmiske trækninger som følge af fokal cerebral hypoperfusion ved svær storkarssygdom.

  • Akut udredning omfatter påvisning af svær storkarssygdom oftest ved CT-angiografi.

  • Behandling ved LS-TIA er primært intensiv farmakologisk, sekundært profylakse; til udvalgte patienter tilbydes operation.

Ombryd tekst
0
Brødtekst
  • Limb-shaking transient ischaemic attacks (LS-TIA) er intermitterende hemiforme ikkerytmiske trækninger som følge af fokal cerebral hypoperfusion ved svær storkarssygdom.

  • Akut udredning omfatter påvisning af svær storkarssygdom oftest ved CT-angiografi.

  • Behandling ved LS-TIA er primært intensiv farmakologisk, sekundært profylakse; til udvalgte patienter tilbydes operation.

FOREKOMST

LS-TIA ses hos 7,6-28,6% af patienterne med symptomatisk carotisstenose [2-4], incidensen af symptomatisk carotisstenose er opgjort til 13,4 (95% konfidens-interval (KI): 11,4-15,4) pr. 100.000 personår [5]; hvilket svarer til, at 50-200 personer har LS-TIA i Danmark. Gennemsnitsalderen ved debut af LS-TIA er ca. 60 år [2-4, 6], men tilstanden kan ses hos patienter i alle aldre. Hos børn og yngre ses tilstanden stort set kun ved moyamoya [7].

PATOFYSIOLOGI

Selvom den præcise mekanisme for udløsning af rystelser ved iskæmi er ukendt, er LS-TIA næsten patognomonisk for svær storkarssygdom, der medfører hæmodynamisk svigt. På baggrund af trækningernes ikkerytmiske karakter og det faktum, at generalisering ikke forekommer, vurderes symptomerne ikke at være epileptiforme [1], hvilket flere gange er understøttet af EEG-undersøgelse også under LS-TIA [8-11] . Symptomerne udløses oftest af en akut hæmodynamisk påvirkning af hjernen, såsom stillingsskift. Andre udløsende årsager fremgår af Tabel 1 [4, 7]. Ved tillukning af a. carotis interna vil hjernens blodforsyning ofte kunne kompenseres ved hjælp af kollateral blodforsyning via circulus Willisi eller de leptomeningeale kar. Patienter med LS-TIA er ikke i stand til at kompensere på grund af opbrugt cerebrovaskulær reservekapacitet (CVR) (Tabel 2) [4].

Sidebar placering
Venstrestillet
Billede
Sidebar placering
Venstrestillet

ANAMNESE OG KLINISKE FUND

Anamnesen er vigtig i diagnostikken, da symptomerne ikke kan forventes at kunne fremprovokeres under en konsultation. Den klassiske anamnese omfatter ryk af arm og/eller ben langt oftest unilateralt af sekunder til minutters varighed [4]. Symptomerne udløses ofte ved stillingsskift, fysisk aktivitet og hyperventilation (Tabel 1) [7, 9]. Kan symptomerne fremprovokeres, vil disse normalt vare fra ca. 20 sekunder efter start af stimulus til ca. 20 sekunder efter stimulus’ ophør [12]. Rystelserne vil ofte være ledsaget af en oplevelse af svaghed i de afficerede ekstremiteter, mens rystelserne pågår, og der ses aldrig påvirkning af bevidstheden eller involvering af ansigtet. Symptomerne kan være enkeltstående, men som oftest vil der have været flere ensartede episoder tidligere [4]. Hvis et anfald observeres klinisk, vil man pga. de uregelmæssige rystelser kunne skelne et LS-TIA fra regelmæssige ryk ved et fokalt epileptisk anfald [12]. Klinikere kan mistolke de uregelmæssige ryk som tremor ved Parkinsons sygdom, asteriksi eller chorea [6]. Trækningerne vil oftest være unilaterale og svare til innervationsområdet som forsynes af det afficerede kar, men bilaterale trækninger er beskrevet ved bilateral a. carotis-okklusion. Et typisk tilfælde kan ses i en publiceret videooptagelse af en patient, der udvikler LS-TIA ved kompression af anastomosen fra en ekstra-intrakraniel bypassoperation [12].

Sidebar placering
Venstrestillet
Billede
Sidebar placering
Venstrestillet

Paraklinik

LS-TIA kan ikke erkendes entydigt, uden at der foretages angiografi af hjernen og halskarrene samt perfusionsundersøgelse af hjernen [8, 11], idet diagnosen forudsætter påvisning af både svær storkarspatologi og fokalt hæmodynamisk svigt [8, 11].

En stenose over 70% kan give hæmodynamisk påvirkning og kan bedst påvises ved CT-angiografi eller digital subtraktionsangiografi [13-15]. Halskar-Doppler- og transkraniel Doppler-UL-skanning kan bruges til identifikation af stenoser, men kan ikke bruges til sikker skelnen mellem okklusion og nærokklusion. Med MR-angiografi skelner man dårligt mellem stenoser og okklusioner, hvis denne udføres som time-of-flight, som er det hyppigst klinisk anvendte. Perfusionsskanninger med MR og CT samt vurdering af flow i hjernens kar med transkraniel Doppler-UL-skanning kan ofte give et indtryk af påvirket cerebral hæmodynamik, men er dog ikke tilgængelige på alle radiologiske eller neurologiske afdelinger. Herudover er disse teknikker ofte ikke valideret til kvantitative målinger af hjernens blodgennemstrømning eller bestemmelse af CVR og bruges primært til screening for hæmodynamisk svigt.

Den mest valide metode til påvisning af cerebral hypoperfusion og CVR er en 15O-H2O-PET [14], hvor der foretages en baselineskanning i hvile og en skanning 20 minutter efter infusion med acetazolamid eller under inhalation af CO2, som medfører dilatation af de cerebrale kar, og dermed gør det muligt at bestemme hjernens perfusion ved induceret hyperæmi. Ved at sammenligne hvileskanningen med skanningen, der blev foretaget efter indgift af acetazolamid eller CO2 fås et mål for CVR. En lav eller endda negativ CVR (såkaldt steal) indikerer, at den vaskulære reserve er opbrugt [16], hvilket betegnes som hæmodynamisk svigt og øger risikoen for apopleksi pga. nedsat blodgennemstrømning fokalt i hjernen i forsyningsområdet for det afficerede kar.

Andre undersøgelser som EEG, bestemmelse af syre-base-status samt brug af ammonium og anden biokemi kan være indiceret for at udelukke differentialdiagnoser som epilepsi og metaboliske tilstande.

Prognose

Der er beskrevet flere forskellige kliniske forløbsformer: Nogle patienter har en enkelt episode af LS-TIA få dage før et større cerebral insult, mens andre har flere daglige anfald eller symptomer igennem måneder til år uden at udvikle en manifest apopleksi [4, 8, 9, 17, 18]. I retrospektive studier er det påvist, at forekomst af LS-TIA er forbundet med markant øget risiko (hazard ratio: 7,7; 95% KI: 2,6-26)) for apopleksi [2]. Endvidere er risikoen for invaliderende funktionstab (modified Ranking Scale: 4-6) inden for 90 dage højere for personer med LS-TIA end for personer med symptomatisk stenose uden LS-TIA (45,2% vs. 21,9%, p = 0,005) [3].

BEHANDLING

Konservativ og medicinsk behandling

Den akutte behandling består i optimering af den cerebrale perfusion ved lejring af patienten og at sikre hydrering og overveje pausering af antihypertensiva. Der er eksempler på patienter, som har haft mange episoder med LS-TIA, men hvor symptomerne er reduceret eller ophørt alene efter reducering i antihypertensiv behandling [8, 9, 19]. Der vides meget lidt om den optimale blodtryksregulering hos patienter med cerebral hypoperfusion, herunder mål for blodtryk og varighed ved pausering af antihypertensiv behandling [20]. Øgning af hjernens blodgennemstrømning ved pressorstoffer eller brug af vandretinerende behandling er forsøgt på individuel eller eksperimentel basis [21], men anvendes sjældent i klinikken og er da en specialistopgave. Sekundær profylakse kan ikke forventes at bedre den cerebrale perfusion direkte, men vil udelukkende reducere risiko for dannelse af tromboembolier samt progression af arteriosklerosen og omfatter henholdsvis den generelle medikamentelle profylakse til patienter efter iskæmisk apopleksi med pladehæmmer (clopidogrel, acetylsalicylsyre) og statiner [22]. Da tilstanden ikke er epilepsi, kan antiepileptisk medicinering ikke forventes at have effekt [18].

En stor andel af disse patienter er aktive rygere, og motivering til rygeophør er vigtig, ligesom der henstilles til de generelle råd om nonfarmakologiske tiltag ved arteriosklerose som kost og motion.

Kirurgisk behandling

Der foreligger kasuistikker og et retrospektivt studie med beskrivelse af patienter, der havde hyppige LS-TIA-episoder og har haft komplet ophør af symptomer efter kirurgisk revaskularisering [8, 18, 23-25]. Eksempler på typer af kirurgi er carotistrombendarterektomi (carotis-TEA), stentbehandling og ekstrakraniel-intrakraniel (EC-IC) bypass. Carotis-TEA kan i visse tilfælde udføres hos patienter med LS-TIA og signifikant carotisstenose. Det er dog ikke hos alle patienter med svær cerebral hypoperfusion, at carotis-TEA kan udføres. I tilfælde hvor carotis-TEA ikke er mulig kan stentbehandling overvejes [21, 22]. Indsættelse af en stent i a. carotis interna kan ligesom carotis-TEA ikke foretages i tilfælde af carotisokklusion.

Ved EC-IC-bypass laves en anastomose fra a. temporalis superficialis til en af a. cerebri medias forgreninger på hjernens overflade via en transtemporal kranietomi [26]. Operationen anvendes ved totale okklusioner eller intrakranielle stenoser og er påvist at øge den cerebrale blodgennemstrømning hos patienter med hæmodynamisk svigt. Det eneste randomiserede studie, der er baseret på påvisning af svær hæmodynamisk svigt, viste ingen effekt på risiko for ny apopleksi inden for to år. Dette er tilskrevet en høj perioperativ vaskulær morbiditet og en bedre spontan prognose i kontrolgruppen end forventet [26]. Et nyere dansk retrospektivt studie viste, at centralisering af EC-IC-bypassoperationen sænkede morbiditeten markant [24]. Operationen udføres ikke i Danmark, og årligt sendes 10-15 danske patienter til operation på to centre med erfarne behandlere i Tyskland og Schweiz.

Sidebar placering
Venstrestillet
Billede
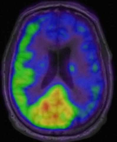
15O-H2O-PET/MR-skanning viser nedsat perfusion i venstre hemisfære efter indgift af acetazolamid.
Caption
15O-H2O-PET/MR-skanning viser nedsat perfusion i venstre hemisfære efter indgift af acetazolamid.
Sidebar placering
Venstrestillet

KONKLUSION

LS-TIA er et symptom på transitorisk cerebral iskæmi og er forbundet med dårlig prognose med øget risiko for ny iskæmisk apopleksi og lavt funktionsniveau. Ved manglende kendskab til symptomet overses eller mistolkes det let. Da der er tale om et symptom, som kræver yderligere udredning, stiller det ekstra krav til opmærksomhed ved anamneseoptagelse og kliniske observationer. Tilstanden skyldes cerebral hypoperfusion på grund af storkarssygdom, hvilket sjældent ses på CT eller MR-skanning uden angiografi eller perfusionssekvenser. CT-angiografi vil oftest være førstevalg, da man med den med sikkerhed kan både afvise og påvise svær storkarssygdom. I det akutte forløb sikres det, at den cerebrale perfusion optimeres ved normohydrering, lejring og evt. pausering af antihypertensiv medicin. Udredningen og behandlingen er kompleks og vil ofte foregå i et multidiciplinært samarbejde imellem flere specialiserede afdelinger, som alle bør have specifik erfaring med cerebral hypoperfusion. Patienter, som har relevant storkarspatologi, og hvor man har mistanke om LS-TIA bør derfor henvises til neurologiske afdelinger med neurovaskulær kompentence med henblik på videre udredning og forløb. I Danmark er ekspertisen samlet på Aarhus Universitetshosptial og Bispebjerg Hospital/Rigshospitalet. Forløbet vil ofte inkludere en 15O-H2O-PET og en efterfølgende løbende vurdering af den medicinske behandling og stillingtagen til kirurgisk intervention.



KORRESPONDANCE:Alexander Cuculiza Henriksen. E-mail: ahen0070@regionh.dk
ANTAGET: 25. juni 2020
PUBLICERET PÅ UGESKRIFTET.DK: 10. august 2020
INTERESSEKONFLIKTER: Forfatternes ICMJE-formularer er tilgængelige sammen med artiklen på Ugeskriftet.dk
LITTERATUR: Findes i artiklen publiceret på Ugeskriftet.dk

Sidebar placering
Venstrestillet
Article type
Journal
Magazine
Section
References

Litteratur

  1. Fisher CM. Concerning recurrent transient cerebral ischemic attacks. Can Med Assoc J 1962;86:1091-9.

  2. Persoon S, Luitse MJA, De Borst GJ et al. Symptomatic internal carotid artery occlusion: a long-term follow-up study. J Neurol Neurosurg Psychiatry 2011;82:521-6.

  3. Knoflach M, Matosevic B, Meinhart M et al. Prognostic relevance of limb shaking in symptomatic carotid artery occlusion. Cerebrovasc Dis 2011;32:35-40.

  4. Persoon S, Kappelle LJ, Klijn CJM. Limb-shaking transient ischaemic attacks in patients with internal carotid artery occlusion: a case-control study. Brain 2010;133:915-22.

  5. Flaherty ML, Kissela B, Khoury JC et al. Carotid artery stenosis as a cause of stroke. Neuroepidemiology 2012;40:36-41.

  6. Ma QF, Huang Q, Zhang Q et al. Association between clinical features and prognosis of patients with limb-shaking transient ischemic attack. Chin Med J (Engl) 2013;126:4354-7.

  7. Im SH, Oh CW, Kwon OK et al. Involuntary movement induced by cerebral ischemia: pathogenesis and surgical outcome. J Neurosurg 2004;100:877-82.

  8. Ranasinghe T, Boo S, Adcock A. Rare phenomenon of limb-shaking TIA, resolved with intracranial wingspan stenting. Neurologist 2019;24:37-9.

  9. Tiseo C, Ornello R, Degan D et al. Not all intermittent shakings are epilepsy. Intern Emerg Med 2017;12:705-8.

  10. Aackerstaff RGA, Jansen C, Moll FL et al. Carotid endarterectomy and intraoperative emboli detection: correlation of clinical, transcranial doppler, and magnetic resonance findings. Echocardiography 1996;13:543-50.

  11. Obayashi T, Takeda T, Iijima M et al. Unilateral flapping tremor associated with internal carotid artery stenosis – a subtype of limb shaking. Eur J Neurol 2018;25:e56-e57.

  12. Rosenbaum S, Ovesen C, Futrell N et al. Inducible limb-shaking transitory ischemic attacks: a video-documented case report and review of the literature. BMC Neurol 2016;23:78.

  13. Spencer MP, Reid JM. Quantitation of carotid stenosis with continuous-wave (C-W) Doppler ultrasound. Stroke 1979;10:326-30.

  14. Wintermark M, Sesay M, Barbier E et al. Comparative overview of brain perfusion imaging techniques. Stroke 2005;32:294-314.

  15. Johansson E, Fox AJ. Carotid near-occlusion: a comprehensive review. Part 1 - Definition, terminology, and diagnosis. Am J Neuroradiol 2016;37:2-10.

  16. Imaizumi M, Kitagawa K, Oku N et al. Clinical significance of cerebrovascular reserve in acetazolamide challenge – comparison with acetazolamide challenge H 2 O-PET and Gas-PET. Ann Nucl Med 2004;18:369-74.

  17. Littleton ET, Glover N, Tiwari A. Recurrent amaurosis fugax and hemichorea: limb-shaking TIA. Pract Neurol 2015;15:218-20.

  18. Alonso JV, del Pozo FJF, Simón JC et al. Limb-shaking TIA presenting as hemichorea-hemiballismus: TIA chameleons diagnostic challenge in the emergency department. J Stroke Cerebrovasc Dis 2015;24:327-31.

  19. Leira EC, Ajax T, Adams HP. Limb-shaking carotid transient ischemic attacks successfully treated with modification of the antihypertensive regimen. Arch Neurol 1997;54:904-5.

  20. Rothwell PM, Howard SC, Spence JD. Relationship between blood pressure and stroke risk in patients with symptomatic carotid occlusive disease. Stroke 2003;34:2583-90.

  21. Ahmed N, Steiner T, Caso V et al. Recommendations from the ESO-Karolinska Stroke Update Conference, Stockholm 13–15 November 2016. Eur Stroke J 2017;2:95-102.

  22. Dansk Selskab for Apopleksi. Referenceprogram for behandling af patienter med apopleksi og TCI. http://www.dsfa.dk/referenceprogram-2/ (4. jul 2020).

  23. Goldstein ED, Cannistraro R, English S et al. Brachiocephalic arterial occlusive disease presenting as limb-shaking transient ischemic attacks. J Stroke Cerebrovasc Dis 2018;27:e34-e35.

  24. von Weitzel-Mudersbach P, Andersen G, Rosenbaum S. Low morbidity after extracranial-intracranial bypass operation. Cerebrovasc Dis 2018;45:252-7.

  25. Joseph JR, Delavari N, Wilkinson DA et al. A case of complete resolution of hemiballismus after carotid endarterectomy. World Neurosurg 2016;95:624.e5-624.e7.

  26. Powers WJ, Clarke WR, Grubb RL et al. Extracranial-intracranial bypass surgery for stroke prevention in hemodynamic cerebral ischemia: The Carotid Occlusion Surgery Study Randomized Trial. JAMA 2011;306:1983-92.

Woodwing Id
26803
Fil
Conflict of interest
English title
Limb-shaking transient ischaemic attack
English summary

Alexander Cuculiza Henriksen, Jacob Marstrand, Hanne Christensen & Sverre Rosenbaum

Ugeskr 2020;182:V02200099

Limb-shaking transient ischaemic attack (LS-TIA) is a symptom of cerebral haemodynamic failure caused by large vessel disease. LS-TIA often remains unrecognised though associated with a poor prognosis. The patient presents with irregular hemiform jerks caused by ischaemia. Imaging demonstrating reduced perfusion or/and flow is essential for the diagnosis, and treatment is aimed at reducing development in atherosclerosis and improving perfusion. As described in this review, management is focused optimising secondary prevention, and in selected cases surgical interventions are considered. Evidence remains weak, especially as to surgical interventions.

Authors workplaces

Neurologisk Afdeling, Bispebjerg Hospital

Ugeskr 2020;182:V02200099

Bib ref
UgeskrLæger 2020;182:V02200099
Article number
V02200099
Authors

Alexander Cuculiza Henriksen, Jacob Marstrand, Hanne Christensen & Sverre Rosenbaum

0 likes