Medlem i

13 years 1 month
Indholdselementer
Billede
Sidebar placering
Venstrestillet


Skader forårsaget af fyrværkeri er hyppigst forbrændinger og ekstremitetsskader. Typisk ses hånd- og fingerlæsioner [1]. De næsthyppigste skader er hovedlæsioner, oftest i form af ansigts- og øjeskader [1, 2]. Fyrværkeriinducerede skader af indre organer er yderst sjældne [1, 3]. I denne artikel beskriver vi diagnostik og behandling af et tilfælde af leverruptur forårsaget af fyrværkeri.

Sygehistorie

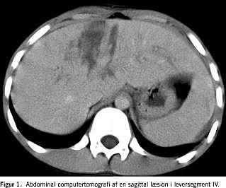
Patienten, en 11-årig dreng, blev nytårsaften ramt i abdomen af en ca. 1 m lang raket. Rakettens stativ faldt under affyringen, hvorefter raketten vendte sig i retning af patienten, der stod 10-15 m derfra. Raketten ramte ham i epigastriet, sprang tilbage og eksploderede derefter. Patienten havde abdominalsmerter resten af natten, hvorfor han blev bragt til skadestuen den næste dag. En objektiv undersøgelse viste en mindre ekskoriation i epigastriet, abdomen var blødt, men med direkte ømhed i epigastriet. Ved en abdominal ultralyd (UL)-skanning blev der fundet en væskeansamling bag galde- og urinblæren og svarende til milten. Der blev ikke fundet lever- eller miltlæsioner, og patienten blev indlagt til observation. Han havde et hæmoglobinfald og blev let tryklabil næste dag, hvorfor der blev foretaget abdominal computertomografi (CT), som viste en svær gennemgående sagittal leverlæsion, som næsten delte segment IV i to dele, desuden sås ekstravasation af kontrast (Figur 1 ). Patienten blev akut overflyttet til en specialafdeling, hvor der blev foretaget arteriografi. Ved denne kunne der ikke påvises pågående blødning. For at udelukke kolaskos blev der udført ultralydvejledt diagnostisk punktur, og den intraperitoneale væske var uden galdetilblanding. Abdominale UL-skanninger blev regelmæssigt gentaget under indlæggelsen og viste uændrede forhold. Patienten var stabil under resten af indlæggelsen og blev udskrevet til hjemmet otte dage efter traumet. Han var velbefindende ved en kontrol efter fem måneder.

Diskussion

Fyrværkeriskader rammer oftest drenge og mænd i 10-24-års-alderen [1, 3]. Fyrværkeriinduceret leverruptur er ikke beskrevet før, og sygehistorien illustrerer, at fyrværkeri også kan medføre alvorlige indre organskader. Vores patient havde et stumpt levertraume. Forekomsten af stumpt levertraume er generelt stigende. Det er uvist om denne stigning blot er en følge af bedre diagnostik, eller om det drejer sig om en reel stigning i antallet af disse skader [4]. Akut blødning og hæmodynamisk instabilitet som følge af et stumpt levertraume kræver akut operation eller angiografisk embolisering. Sygehistorien her er et godt eksempel på, at man ved alvorligt stumpt levertraume kan opnå et godt behandlingsresultat uden operation. Grunden til dette er, at der sjældent opstår forsinket eller ny blødning fra leverlæsioner. I flere studier beskrives der en høj succesrate, oftest over 80%, ved nonoperativ behandling af leverlæsioner, som primært er hæmodynamisk stabile [4, 5]. I de tilfælde, hvor nonoperativ behandling mislykkes, skyldes det oftest blødning fra andre organer [4]. Det diskuteres, om alle grader af primært hæmodynamisk stabile stumpe levertraumer kan behandles nonoperativt. Nogle forfattere mener således, at man godt kan forsvare nonoperativ behandling også af de højere grader af stumpe levertraumer [4]. Ekstrahepatisk galdelækage som følge af stumpt levertraume antages at være sjælden [4]. Hos den her omtalte patient blev der med en UL-vejledt diagnostisk punktur kontrolleret, om der var kolaskos, hvis dette havde været tilfældet, havde det været nødvendigt med intraperitoneal drænage og endoskopisk kolangiopankreatikografi (ERCP) [4]. Hos vores patient blev leverlæsionen ikke fundet ved primær UL-skanning, men der blev fundet frit intraperitoneal væske. Ved senere UL-skanninger bekræftede man dog CT-fundet af leverlæsionen. Sensitiviteten af UL-skanning ved levertraume er på over 95% i erfarne hænder, men tilstedeværelse af adipositas, subkutan emfysem eller meteorisme begrænser brugbarheden [5]. Ved fund af fri intraperitoneal væske hos hæmodynamisk stabile patienter skal der foretages CT for at afklare årsagen til væsken [5]. Ved fund af fri væske ved UL hos hæmodynamisk ustabile patienter foretages der laparotomi. Generelt bør der foretages CT hos alle patienter med stumpt abdominalt traume, hvor traumemekanismen antages at være tilstrækkelig stor til at kunne forårsage intraabdominale læsioner [5].

Konservativ behandling af leverlæsioner indebærer immobilisering. Hos patienter med de lavere grader af leverlæsioner (grad I og grad II) anbefales total immobilsering i to dage. Hvis patienterne er asymptomatiske, og deres hæmoglobintal er stabile, påbegyndes der herefter forsigtig mobilisering, og oftest kan patienten udskrives efter 5-7 dages indlæggelse [5]. Hos disse patienter er det ikke nødvendigt at foretage kontrol-CT eller -UL under eller efter indlæggelser, medmindre patienten ønsker at genoptage hård fysisk aktivitet kort efter udskrivelsen, i så fald aftales en kontrol med CT eller UL 4-6 uger efter traumet [5]. Hos patienter med højere grader af leverlæsioner (grad III-V) anbefales total immobilisering i de første 5-7 dage efter traumet, hvorefter der foretages kontrol CT eller UL-skanning [5]. De fleste af disse skanninger viser uændrede forhold fra den primære skanning. Afhængig af skanningsresultaterne planlægges den videre behandling og mobilisering [5]. Hvis patienten er asymptomatisk med uændrede CT-fund påbegyndes forsigtig mobilisering. Der anbefales begrænset aktivitet til patienter med de højere grader af leverlæsioner i de første 8-12 uger efter traumet og kontrolskanning efter 8-12 uger [5]. Patienter med både højere og lavere grad af leverlæsioner skal være sammen med en pårørende i ugen efter udskrivelsen [5].

I medierne og fra politiets side har der været stigende bekymring for følgerne af den øgede mængde af ulovligt fyrværkeri. Den her omtalte sygehistorie illusterer, at selv lovligt fyrværkeri, hvis det er kraftigt nok, kan forårsage alvorlige skader.


Luit Penninga, Kirurgisk Gastroenterologisk Afdeling C, H:S Rigshospitalet, DK-2100 København Ø. E-mail: luitpenninga@hotmail.com

Antaget: 1. september 2004

Interessekonflikter: Ingen angivet

En fuldstændig litteraturliste kan fås hos forfatterne.



Sidebar placering
Venstrestillet
Article type
Journal
Magazine
Section
References

<ol class="Litt-list">
<li>Jorm L. Firework injuries in New South Wales, 1992-93 to 2001-02. NSW Public Health Bull 2003;14:110-3.</li>
<li>Saunte JP, Trojaborg NS, Nielsen OA et al. Two cases of severe eye and cranial injuries due to firework explosions. Ugeskr Læger 1999;161:7069-70.</li>
<li>Abdulwadud O, Ozanne-Smith J. Injuries associated with fireworks in Victoria: an epidemiological overview. Injur Prev 1998;4:272-5.</li>
<li>Velmahos GC, Toutozas K, Radin R et al. High success with nonoperative management of blunt hepatic trauma: the liver is a sturdy organ. Arch Surg 2003; 138:475-81.</li>
<li>Feliciano DV, Rozycki GS. Hepatic trauma. Scand J Surg 2002;91:72-9.</li>
</ol>

Woodwing Id
262751
Fil
English summary

Summary Liverrupture caused by recreational fireworks Ugeskr L&aelig;ger 2005;167:2066-2067. An 11-year-old boy was hit by a piece of firework in the epigastric area of the abdomen. He was admitted to hospital, and computed tomography (CT) showed a large central lesion of the liver, which had nearly parted the liver in two pieces. In addition, extravasation of contrast was found. Angiography was performed, and no ongoing bleeding was found. Diagnostic peritoneal aspiration did not show any sign of bile leakage. The patient was treated conservatively and was discharged eight days after the accident. He is well and free of symptoms at five months' follow-up.

Bib ref
Ugeskr Læger 2005;167(19):2066-2067.
Authors

Læge Luit Penninga, læge Kåre Gibsholm-Madsen & overlæge André Wettergren H:S Rigshospitalet, Kirurgisk Gastroenterologisk Afdeling og Diagnostisk Radiologisk Afdeling

0 likes
Read time
5