Medlem i

13 years 1 month
Indholdselementer
Billede
Sidebar placering
Venstrestillet
Billede
Sidebar placering
Venstrestillet
Billede
Sidebar placering
Venstrestillet
Billede
Sidebar placering
Venstrestillet
Billede
Sidebar placering
Venstrestillet
Billede
Sidebar placering
Venstrestillet


Levercyster udgør en heterogen gruppe af sygdomme med vidt forskellig genese spændende fra infektiøs, parasitær til neoplastisk. Ofte er cysterne asymptomatiske og diagnosticeres tilfældigt i forbindelse med billeddiagnostiske undersøgelser. Diagnostikken drejer sig overvejende om at udelukke malignitet. Behandlingen varierer, og fælles for størsteparten af sygdommene er, at kirurgisk behandling lige fra simpel drænage, laparoskopisk indgreb over anatomisk resektion til levertransplantation (LTX) kan komme på tale.

Afgrænsning og klassifikation

Nonparasitære levercyster menes at opstå fra medfødte, aberrante, intrahepatiske galdegange, der med alderen dilateres som følge af obstruktion eller stase. I det følgende er choledocuscyster ikke beskrevet, bortset fra Carolis sygdom, der er en type V-cyste, som er medtaget på grund af en ofte, overvejende intrahepatisk komponent og malignt potentiale. En række solide levertumorer, som kan vise sig cystisk som følge af central nekrose, er ikke medtaget i denne oversigt, ligesom pyogene leverabscesser efter instrumentering af galdeveje eller ascenderende kolangitter ikke er berørt.

Symptomatologi og præsentation

Generelt har symptomerne relation til cysternes størrelse. Smerter er det hyppigste første symptom, og de kan være forårsaget af direkte tryk, blødning eller infektion i cysten. Det er kun meget sjældent, at benigne cyster medfører nedsat leverfunktion, men icterus kan opstå på grund af det direkte tryk også fra nonmaligne cyster.

Simple cyster

Levercysters forekomst i befolkningen varierer fra ca. 0,1% og helt op til 20% [1, 2]. Den øgede anvendelse af ultralydskanning og computertomografi (CT) har medført hyppigere diagnostik, da nu også de mindre levercyster findes. Prævalensen er fortsat mindre end for nyrescyster, men mellem de to cysteformer er der et sammenfald, som øges med alderen uden signifikante kønsforskelle for de asymptomatiske cysters vedkommende [2], mens de symptomatiske forekommer i forholdet 9:1 hos kvinder og mænd. Simple cyster kommunikerer yderst sjældent med galdevejene, og en arbitrær grænse for intervention har været sat til seks cm (Figur 1 ).

Polycystisk leversygdom

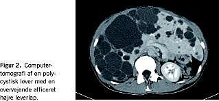
Polycystisk leversygdom er en sjælden benign, autosomal dominant sygdom med en prævalens på omkring 0,001%. Den findes oftest samtidigt med polycystisk nyresygdom. Tidligere anslog man, at ca. halvdelen af patienterne ville få leverkomponenten, men med forbedret overlevelse er andelen oppe på 70-90% [3]. Sygdommen forekommer hyppigere og er af større sværhedsgrad hos kvinder end hos mænd. Den fører stort set aldrig til leversvigt, og symptomerne er overvejende relateret til de polycystiske organers størrelse og fylde med tyngdefornemmelse, mavesmerter, kvalme, opkastninger, tidlig mæthedsfornemmelse, åndenød og evt. obstruktionsicterus. Leverens vægt udgjorde mediant 9% af legemsvægten i en dansk opgørelse af levertransplanterede [4] mod normalt 2%. Sygdommen kan inddeles efter udbredelsen og størrelsen af cysterne (fra grad I; få store cyster (< 10) til grad IV; multiple små til mellemstore cyster diffust i leveren) (Figur 2 ).

Carolis sygdom

Carolis sygdom udgør mindre end 1% af »choledocuscysterne« og består alene af intrahepatiske cyster (grad V). Prævalensen i Vesteuropa er mellem en pr. 130.000 og en pr. 2.000.000. Der er tale om en medfødt deformitet, som i mere end to tredjedele af tilfældene konstateres hos børn. I de ca. 20% af tilfældene, som diagnosticeres hos voksne, er det uklart, om det er erhvervet skade på galdeepitelet eller sen manifestation af en medfødt sygdom. Det hyppigste første symptom er smerter, icterus og eventuelt kolangitis.

Tilstanden anses for at være præmalign, og graden af malign transformation veksler mellem 2% og 28%. Prognostisk var der tidligere en middellevetid på under fem år efter diagnose [5], mens der er 61% femårsoverlevelse efter indførelsen af levertransplantation (Figur 3 ).

Parasitære cyster

En hydatidcyste opstår efter infektion med Echinoccoccus granulosus, hvor mennesket fungerer som mellemvært. Cysterne lokaliseres i 50-70% af tilfældene i leveren (alle organer kan involveres, næsthyppigst er lungerne 20-30%) og for 85% vedkommende findes de i højre leverlap. Sygdommen forekommer endemisk i Afrika, Asien, Australien, Middelhavsområdet samt Syd- og Mellemamerika. Den har generelt et godartet forløb, men i ca. 3% af tilfældene rumperer cysterne spontant til peritoneum og kan medføre anafylaktisk shock og cysteinfestation i peritoneum. Cysterne klassificeres efter deres ultralydmæssige udseende i fem typer (Ghambis klassifikation), hvor type I ligner simple cyster, og type V er en helt eller delvist kalcificeret cyste. De tidlige stadier I-III kan være behandlingskrævende [6] (Figur 4 ).

En anden parasitær cyste eller absces forårsages af Entamoeba histolytica, som forekommer endemisk i troperne hos ca. 2% af befolkningen. Den opstår efter indtagelse af kontamineret vand eller fødevarer og giver anledning til smerte, feber og vægttab. Mennesket udgør det væsentligste reservoir.

Cystadenom

Cystadenomer er sjældne, de udgør ca. 5% af alle cystiske processer i leveren og forekommer for 85% vedkommende hos kvinder. De indeholder septæ, mucinøs væske og er multilokulære. Histologisk er to former beskrevet, hvoraf den ene, der alene forekommer hos kvinder, har et ovarielignende mesenkymalt stroma [7]. Genesen er formentligt den samme som for simple cyster, og der er ikke holdepunkter for, at der er tale om ektopisk ovarievæv i leveren, men hormonel påvirkning menes at spille en rolle. Cystadenomer anses for at være præmaligne, og ca. 5% udvikler sig til cystadenokarcinomer.

Cystadenokarcinom

Denne cysteform udvikles over en årrække fra alle former af lever- og galdevejscyster. De opstår for 35-44% vedkommende hos mænd på 56-59 år. Hos to tredjedele af kvinderne har de en mesenkymal komponent. I modsætning til cystadenomer kan de indeholde solide områder. Generelt er prognosen lidt bedre for karcinomer med mesenkymal genese, men femårsoverlevelsen er meget variabelt beskrevet til at være på 28-85% med ca. 87% sygdomsfrihed [7].

Malignt hepatoblastom

Malignt hepatoblastom er den hyppigst forekommende levertumor hos børn i den vestlige verden. Den opstår oftest før femårsalderen og udgør 0,2-2% af alle pædiatriske cancere. Der er en lille overvægt af højresidige tumorer. På CT kan den ses som en stor cystisk proces med septæ eventuelt grove kalcifikationer i membranen og lobuleret randzone. Mistanken vækkes ved fund af abdominal udfyldning [8].

Diagnostik

Billeddiagnostisk anvendes ultralyd til klassifikation af cysterne med hensyn til antal, størrelse, art og bedømmelse af det intrahepatiske galdetræ. CT og magnetisk resonans (MR)-skanning kan også anvendes som initial diagnostik, men har primært en plads ved bedømmelse af resektabilitet og malignitetsmistanke. Ved icterus bør MR/CP udføres, og ved bedømmelse af resektabilitet ved Carolis sygdom kan en kortlægning af galdevejene indicere både endoskopisk retrograd kolangiografi og evt. perkutan transhepatisk kolangiografi.

Paraklinisk udredes cyster med infektionstal, leverbiokemi (alaninaminotransferase og/eller aspartataminotransferase, basisk fosfatase, bilirubin, koagulationsfaktorer og amylase), hepatitisserologi (skal overvejes ved påvirket leverbiokemi) og tumormarkører. Sidstnævnte omfatter karcinoembryonalt antigen, CA19-9, som er velegnet ved galdegangsrelaterede neoplasmer, og alfaføtoprotein ved mistanke om hepatoblastom. Ved en positiv topografisk anamnese udføres hydatidserologi eventuelt ledsaget af en differentialtælling af hvide blodlegemer med henblik på eosinofile granulocytter, som kan være forhøjede ved parasitær sygdom.

Behandling

Cysternes placering kan være udslagsgivende for valg af behandling, men også patientens alder og almentilstand spiller en væsentlig rolle, og man kan acceptere gentagne mindre, invasive indgreb hos den svækkede, ældre patient. Uden at der foreligger egentlige kontrollerede undersøgelser, synes der at være en tendens til lavere morbiditet og mortalitet ved laparoskopisk kirurgi end ved åben kirurgi hos selekterede patienter. Laparoskopisk behandling udføres fortrinsvis på lettilgængelige cyster på leverens forside og i venstre laterale segmenter. Behandlingen af alle »ikkesimple« cyster bør foretages på centre, hvor man har ekspertise i invasiv radiologi og leverkirurgi.

De simple cyster kræver sjældent behandling, men transkutan ultralydvejledt punktur kan anvendes til at afklare symptomatologi med. Man skal være opmærksom på en betydelig infektionsrisiko, som kan mindskes ved profylaktisk antibiotika, og at leversvigt efter punktur af cyster er beskrevet (Figur 5 ). Beslutter man efterfølgende at intervenere ved gendannelse af cysten, anvendes der et skleroserende agens (alkohol eller tetracyklin) til injektion i cysten. Cystevæske og membrandele skal altid undersøges for malign cytologi. Gendannes cysten, og har den været årsag til smerterne eller anden symptomatologi, udføres der laparoskopisk deroofing. Grundet den manglende kommunikation til galdevejene kan væskeudskillelsen fortsætte og resorption fra peritoneum kan finde sted. Såfremt symptomgivende cyster er svært tilgængelige, lokaliseret til en leverlap eller et anatomisk segment, kan resektion komme på tale i svære, behandlingsrefraktære tilfælde. Opfølgning er omdiskuteret, men bør formentligt begrænses til fornyet symptomatologi. I forbindelse med polycystisk leversygdom har det været diskuteret, om forudgående kirurgi vil vanskeliggøre en evt. senere LTX, men fordi der stort set aldrig indtræder leversvigt, udgør LTX en sidste udvej hos patienter med diffus organinvolvering og invaliderende symptomer [4].

Maligne og præmaligne tilstande adskiller sig billeddiagnostisk fra simple cyster ved at have større tendens til septumdannelse, have en mindre skarpt afgrænset randzone og et uensartet indhold (Figur 6 ). Den præoperative diagnostik skal ledsages af intraoperativ ultralydskanning for at bekræfte den præoperative strategi og udelukke dissemineret sygdom. Der foretages resektion af afficerede segmenter efter gængse leverkirurgiske principper og gives essentielt adjuverende kemoterapi. Om behandlingen skal foregå laparoskopisk eller åbent, er betinget af de neoplastiske cysters udbredelse og placering. Levertransplantation udgør kurativ behandling ved ikkeresektabelt hepatoblastom og diffust udbredt Carolis sygdom, forudsat at der ikke er dissemineret sygdom, og vena portae er åbenstående [9].

Behandlingen af hydatidcyster varierer med deres Ghambi-klassifikation. Omdrejningspunktet er peroral behandling med albendazol. Behandlingen indledes en uge før intervention og fortsættes 1-6 måneder efter. Type I-II behandles med den såkaldte puncture aspiration injection reaspiration (PAIR)-teknik, som ved større cyster (> 6 cm), hvor risikoen for kommunikation med galdevejene er større, kan modificeres med anlæggelse af et grisehalekateter [10]. Cystevæske udtømmes ultralydvejledt, hvorefter der injiceres hypertont saltvand, som udtømmes efter 20 minutter. Ved større cyster efterlades grisehalekateteret som passiv drænage i et døgn, og hvis der ikke er tegn i drænvæsken til kommunikation med galdevejene, injiceres 96% ætanol. Kirurgisk behandling er sjælden, men kan overvejes ved cyster, som er svært tilgængelige for punktur eller de multilobulerede type III-cyster. Ved operativ behandling afskærmes peritoneum med servietter for at undgå spild af cystemateriale, hvilket er kritisk ved alle teknikker. Risikoen for kolangitis ved injektion i en biliær fistel er formentlig negligeabel. Tidligere tiders risiko skyldtes de initiale behandlingsmetoder med formaldehyd [6]. Andre cysteformer behandles med perkutan drænage og antiamøbemidler.

Konklusion

Op mod 25% af alle symptomgivende cyster vil kræve kirurgisk intervention. Et højt niveau af mistanke er påkrævet for at udelukke de maligne tilstande. Generelt skal behandlingen varetages så noninvasivt som muligt, men recidivraten for de perkutane og laparoskopiske procedurer er relativt høj, 5-71%, og alene resektioner og LTX er kurativ.


Jens G. Hillingsø, Kirurgisk Afdeling C, Afsnit 2122, Abdominalcentre t, Rigshospitalet, DK-2100 København Ø.
E-mail: jenshillingsoe@dadlnet.dk

Antaget: 3. marts 2008

Interessekonflikter: Ingen

Taksigelse: Overlæge Flemming Jensen, Ultralydsafsnittet 3019, Diagnostisk Center, Rigshospitalet, takkes for bidrag med ultralydsbilleder.








Sidebar placering
Venstrestillet
Article type
Journal
Magazine
Section
References

<ol class="Litt-list">
<li>Caremani M, Vincenti A, Benci A et al. Eccographic epidemiology of non-parasitic hepatic cysts. J Clin Ultrasound 1993;21:115-8.</li>
<li>Carim ZI, Murchison JT. The prevalence of simple renal and hepatic cysts detected by spiral computed tomography. J Clin Radiology 2003;58:626-9.</li>
<li>Robert T Russell, C Wright Pinson. Surgical management of polycystic liver disease. W J Gastroenterol 2007;13:5052-9.</li>
<li>Krohn PS, Hillingsø JG, Kirkegaard P. Liver transplantation in polycystic liver disease: A relevant treatment modality in adults? Scand J Gastroenterol 2007 Sep 12;1-6 epub ahead of print.</li>
<li>Bismuth H, Krissat J. Choledochal cystic malignancies 1999;10:s94-8.</li>
<li>Kabaalioglu A, Ceken K, Alimoglu E et al. Percutaneous imaging-guided treatment of hydatid liver cysts: do long-term results make it a first choice? Eur J Radiol 2006;59:65-73.</li>
<li>Vogt DP, Henderson JM, Chmielewski E. Cystadenoma and cystadenocarcinoma of the liver: a single center experience. J Am Coll Surg 2005;200:727-33.</li>
<li>Alobaidi M, Shirkhoda A. Malignant cystic and necrotic liver lesions: a pattern approach to discrimination. Curr Probl Diagn Radiol 2004;33:254-68.</li>
<li>D'Antiga L, Vallortigara F, Cillo U et al. Features predicting unresectability in hepatoblastoma. Cancer 2007;110:1050-8.</li>
<li>Yagci G, Ustunoz B, Kaymakcioglu N et al. Results of surgical, laparoscopic, and percutaneous treatment for hydatid disease of the liver: 10 years experience with 355 patients. World J Surg 2005;29:1670-9.<span class="Br"><br></span><span class="Br"><br></span>
</li>
</ol>

Woodwing Id
268584
Fil
English summary

Summary Cysts of the liver Ugeskr L&aelig;ger 2008;170(16):1350-1353 Cysts of the liver are discovered in connection with a scope of diseases ranging from simple, infectious, or parasitic to neoplastic cysts. Symptoms, paraclinical, radiological and diagnostic characteristics are described with emphasis on ruling out malignancy. The treatment options from ultrasound guided drainage to resections and liver transplantation are discussed. It is concluded that up to 25% of cysts must be treated surgically, because recurrence after percutaneous or laparoscopic treatment is between 5% and 71%, and only resection or liver transplantation are curative.

Bib ref
Ugeskr Læger 2008;170(16):1350-1353
Authors

Afdelingslæge Jens G. Hillingsø & professor Preben Kirkegaard Rigshospitalet, Kirurgisk Afdeling C

0 likes
Read time
9