Medlem i

13 years 1 month
Indholdselementer
Billede
Sidebar placering
Venstrestillet


Lemierres syndrom er en dissemineret infektion med anaerobe bakterier, oftest Fusobacterium necrophorum [1]. Bakterierne, som er bestanddele af den normale svælg- og mundhuleflora [2], forårsager formentlig invasive infektioner ved bestående slimhindeskade [2].

Syndromet debuterer oftest med en orofaryngeal infektion [3], hyppigst faryngitis [1]. Primærinfektionen spredes til det parafaryngeale rum [3] og efterfølges af tromboflebitis i v. jugularis interna [3]. Patienterne får herefter pludselig høj feber, kulderystelser samt smerter og hævelse af m. sternocleidomastoideus. Septiske mikroembolier fra v. jugularis interna medfører hæmatogen spredning af infektionen [3]. Oftest afficeres lunger, centralnervesystem, lever, hud og led [2]. Bakteriæmien medfører risiko for septisk shock [2]. Der diagnosticeres minimum 20 tilfælde om året i Danmark [4], fortrinsvist hos tidligere raske, yngre personer [5].

SYGEHISTORIE

En 39-årig mand blev indlagt med vægttab på 16 kg over seks måneder, progredierende dyspnø, abscesdannelse på sternum, nattesved og springende temperaturer. Manden var tidligere rask og havde røget, hvad der svarer til 25 pakkeår. Abscesserne på sternum blev uden effekt forsøgt behandlet med dicloxacillin. En computertomografi (CT) viste en tumorsuspekt forandring samt pleurafortykkelse i lobus superior pulmonis dexter og glandelforstørrelse i mediastinum. Patienten blev henvist til ambulant lungecancerudredning i form af positronemissionstomografi-CT (PET-CT), transtorakal ultralyd (UL)-vejledt biopsi, bronkoskopi og endobronkial UL-skanning af mediastinum (EBUS). Bronkoskopien viste normale forhold, EBUS og den transtorakale biopsi viste tegn på akut og kronisk inflammation. Der var ingen tegn på malignitet. PET-CT viste en perikardial opladning, opladning i tre små processer i hepar og en tumorsuspekt forandring i den kardiofreniske vinkel på venstre side.

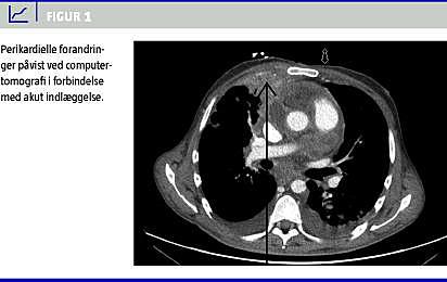
Før svarene på den invasive udredning forelå, fandt man patienten konfus og rodende i hjemmet, hvilket medførte akut indlæggelse. Han blev intuberet og indlagt på en intensivafdeling. Paraklinisk fandt man metabolisk acidose samt svær hyponatriæmi. Patienten var afebril, men havde en forhøjelse af C-reaktivt protein på 281 nmol/l og et leukocyttal på 41,9 mia./l. En ny CT af cerebrum, thorax og abdomen viste progression i de perikardielle forandringer (Figur 1 ). Man planlagde UL-skanning af hepar med biopsi til dyrkning og resistens samt hiv-test. Behandling med penicillin og metronidazol blev initieret. Patienten fik det klinisk bedre og blev ekstuberet efter to dage, herefter blev han overflyttet til en lungemedicinsk afdeling. Der var hurtig fremgang i almentilstanden. På baggrund af den billeddiagnostiske udvikling havde man mistanke om Actinomyces -infektion. Fra leverbiopsien fremkom positiv polymerasekædereaktion (PCR) for Fusobacterium nucleatum. Undersøgelser for Actinomyces og hiv-testen gav negativt resultat. Man fortsatte den langvarige højdosispenicillin- og -metronidazolbehandling, og patienten kom sig fuldstændigt.

DISKUSSION

Anamnese og billeddiagnostiske fund bevirkede, at der initialt opstod mistanke om lungecancer. Der var i stedet tale om en sjælden variant af Lemierres syndrom, Fusobacterium nucleatum isoleres hos kun 3% af patienterne [1]. Patienten havde ingen erindringer om forudgående halsbetændelse, men ved den objektive undersøgelse blev der konstateret dårlig tandstatus, og patienten fortalte også retrospektivt om recidiverende, ubehandlet gingivitis, hvorfor primærinfektionen formodentlig udgik fra gingiva. Alternativt kunne primærinfektionen være ubehandlet otitis media, mastoiditis eller sinuitis, men da patienten ikke rapporterede om symptomer, der var forenelige med disse lidelser, findes dette mindre sandsynligt. Ved CT'en diagnosticeredes der ingen trombose i v. jugularis interna, denne var formentlig opløst på skanningstidspunktet pga. det månedlange sygdomsforløb. Diagnosen var ikke stillet ved primærinfektionen, hvorfor symptomerne ved indlæggelsen var manifestationer af hæmatogen spredning efterfulgt af abscesdannelse. Man kan diskutere, om PCR-måling i tilstrækkeligt omfang kan stå alene som diagnostisk undersøgelse. Da PCR-niveauet først blev fundet positivt efter længerevarende behandling, var der intet oprindeligt materiale tilgængeligt til undersøgelse med dyrkning, samtidig var der givet længerevarende relevant antibiotisk behandling i højdosis, hvorfor yderligere undersøgelser ikke blev iværksat.


Jacob Reinholdt Jensen , Lungemedicinsk Afdeling, Medicinerhuset, Mølleparkvej 4, Postboks 561, 9100 Aalborg. E-mail: jacrein@gmail.com

ANTAGET: 8. september 2011

FØRST PÅ NETTET: 14. november 2011

INTERESSEKONFLIKTER: Forfatternes ICMJE-formularer er tilgængelige sammen med artiklen på Ugeskriftet.dk



Sidebar placering
Venstrestillet
Article type
Journal
Magazine
Section
References

<ol class="Litt-list">
<li>Karkos PD, Asrani A. Lemierre's syndrome: a systematic review. Laryngoscope 2009;119:1552-9.</li>
<li>Albilia JB, Humber CC. Lemierre syndrome from an odontogenic source: a review for dentists. J Can Dent Assoc 2010;76:a47.</li>
<li>Ravn T, Huniche B. Lemierre syndrome: still an important clinical entity. Scand J Infect Dis 2006;38:299-301.</li>
<li>Kristensen LH. Fusobacterium necrophorum: fra tonsillitis til Lemierres syndrome. Ugeskr Læger 2009;171:987.</li>
<li>Møller K. Post-anginal sepsis (Lemierre's disease): a persistent challenge. Scand J Infect Dis 1997;29:191-4.</li>
</ol>

Woodwing Id
263756
Fil
English summary

Summary Lemierre's syndrome as differential diagnosis of lung cancer Ugeskr L&aelig;ger 2012;174(22):1533-34 Lemierre's syndrome is a disseminated infection which is usually caused by Fusobacterium necrophorum . An oropharyngeal infection progresses to a septic thrombophlebitis of the internal jugular vein and later metastatic infections throughout the body occur. We present a clinical case in which a patient, initially presenting with symptoms characteristic of pulmonary cancer, turned out to have a rare variant of Lemierre's syndrome caused by Fusobacterium nucleatum .

Bib ref
Ugeskr Læger 2012;174(22):1533-34
Authors

Jacob Reinholdt Jensen & Ulla Møller Weinreich Lungemedicinsk Afdeling, Aarhus Universitetshospital, Aalborg Sygehus

0 likes
Read time
4